扫码关注公众号           扫码咨询技术支持           扫码咨询技术服务
  
客服热线:400-901-9800  客服QQ:4009019800  技术答疑  技术支持  质量反馈  人才招聘  关于我们  联系我们
产品中心-北京博奥森生物技术有限公司
首页 > 产品中心 > 一抗 > 产品信息
PTGER2 Recombinant Rabbit mAb (bsm-61050R)  
订购热线:400-901-9800
订购邮箱:sales@bioss.com.cn
订购QQ:  400-901-9800
技术支持:techsupport@bioss.com.cn
25ul/800.00元
50ul/1400.00元
100ul/2500.00元
大包装/询价

产品编号 bsm-61050R
英文名称 PTGER2 Recombinant Rabbit mAb
中文名称 列腺素E2受体2重组兔单抗
别    名 COX-2; EP2; Ptgerep2; Ptger-ep2; PE2R2_HUMAN; PTGER2; PGE receptor EP2 subtype; PGE2 receptor EP2 subtype; Prostanoid EP2 receptor; PE2R2_MOUSE; PE2R2_RAT;   
抗体来源 Rabbit
克隆类型 Recombinant
克 隆 号 2F16
交叉反应 Human,Mouse,Rat
产品应用 IHC-P=1:100-500,IHC-F=1:100-500,IF=1:100-500
not yet tested in other applications.
optimal dilutions/concentrations should be determined by the end user.
理论分子量 40 kDa
细胞定位 细胞膜 
性    状 Liquid
免 疫 原 A synthesized peptide derived from human PTGER2: 320-358/358 
亚    型 IgG
纯化方法 affinity purified by Protein A
缓 冲 液 0.01M TBS(pH7.4) with 1% BSA, 0.02% Proclin300 and 50% Glycerol.
保存条件 Shipped at 4℃. Store at -20 °C for one year. Avoid repeated freeze/thaw cycles.
注意事项 This product as supplied is intended for research use only, not for use in human, therapeutic or diagnostic applications.
PubMed PubMed
产品介绍 Prostaglandins are produced by the metabolism of arachidonic acid. Prostaglandin E2 is one of the five physiologically significant prostanoids known. Its wide spectrum of physiologic and pharmacologic effects in various tissues is mediated through binding to the Prostaglandin E2 receptors (EP1, EP2, EP3 & EP4). These include effects on the immune, endocrine, cardiovascular, renal and reproductive systems as well as smooth muscle. It is also one of the most abundant of the prostanoid family in the brain where it plays an important role in many neural functions, particularly in newborn babies, and as a mediator of inflammation. Prostaglandin E2 signals through a family of G-protein coupled receptors known as EP receptors. There are 4 subtypes of EP receptors, known as EP1, EP2, EP3 and EP4. EP2 receptors are 358 amino acid proteins with a short third intracellular loop. EP2 receptors stimulate adenylyl cyclase by their coupling to Gs and do not undergo Prostaglandin E2 induced internalization. The EP2 receptors is involved with the contration and relaxation of smooth muscle tissue. These receptors are mainly localized in lung and placental tissues and in smooth muscle.

Function:
Receptor for prostaglandin E2 (PGE2). The activity of this receptor is mediated by G(s) proteins that stimulate adenylate cyclase. The subsequent raise in intracellular cAMP is responsible for the relaxing effect of this receptor on smooth muscle.

Subcellular Location:
Cell membrane; Multi-pass membrane protein.

Tissue Specificity:
Placenta and lung.

Similarity:
Belongs to the G-protein coupled receptor 1 family.

SWISS:
P43116

Gene ID:
5732

Database links:

Entrez Gene: 282329 Cow

Entrez Gene: 5732 Human

Entrez Gene: 19217 Mouse

Entrez Gene: 100360765 Rat

Entrez Gene: 81752 Rat

Omim: 176804 Human

SwissProt: P43116 Human

SwissProt: Q62053 Mouse

SwissProt: Q62928 Rat

Unigene: 2090 Human

Unigene: 4630 Mouse

Unigene: 10264 Rat



产品图片
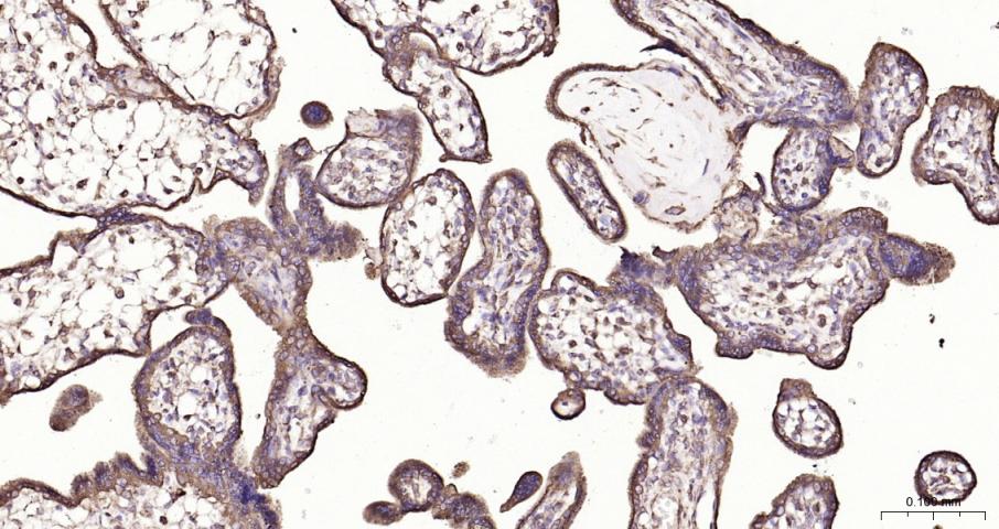
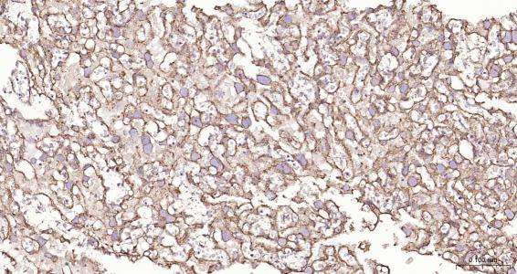
Paraformaldehyde-fixed, paraffin embedded Human placenta; Antigen retrieval by boiling in sodium citrate buffer (pH6.0) for 15 min; Antibody incubation with PTGER2 Monoclonal Antibody, Unconjugated(bsm-61050R) at 1:200 overnight at 4°C, followed by conjugation to the SP Kit(Rabbit, SP-0023) and DAB (C-0010) staining.
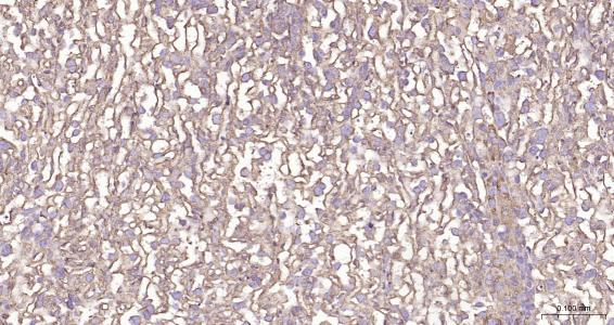
Paraformaldehyde-fixed, paraffin embedded Human spleen; Antigen retrieval by boiling in sodium citrate buffer (pH6.0) for 15 min; Antibody incubation with PTGER2 Monoclonal Antibody, Unconjugated(bsm-61050R) at 1:200 overnight at 4°C, followed by conjugation to the SP Kit(Rabbit, SP-0023) and DAB (C-0010) staining.
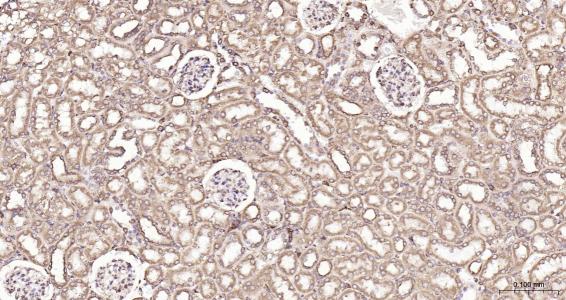
Paraformaldehyde-fixed, paraffin embedded Human kidney; Antigen retrieval by boiling in sodium citrate buffer (pH6.0) for 15 min; Antibody incubation with PTGER2 Monoclonal Antibody, Unconjugated(bsm-61050R) at 1:200 overnight at 4°C, followed by conjugation to the SP Kit(Rabbit, SP-0023) and DAB (C-0010) staining.
Paraformaldehyde-fixed, paraffin embedded Mouse placenta; Antigen retrieval by boiling in sodium citrate buffer (pH6.0) for 15 min; Antibody incubation with PTGER2 Monoclonal Antibody, Unconjugated(bsm-61050R) at 1:200 overnight at 4°C, followed by conjugation to the SP Kit(Rabbit, SP-0023) and DAB (C-0010) staining.
Paraformaldehyde-fixed, paraffin embedded Mouse kidney; Antigen retrieval by boiling in sodium citrate buffer (pH6.0) for 15 min; Antibody incubation with PTGER2 Monoclonal Antibody, Unconjugated(bsm-61050R) at 1:200 overnight at 4°C, followed by conjugation to the SP Kit(Rabbit, SP-0023) and DAB (C-0010) staining.
Paraformaldehyde-fixed, paraffin embedded Mouse spleen; Antigen retrieval by boiling in sodium citrate buffer (pH6.0) for 15 min; Antibody incubation with PTGER2 Monoclonal Antibody, Unconjugated(bsm-61050R) at 1:200 overnight at 4°C, followed by conjugation to the SP Kit(Rabbit, SP-0023) and DAB (C-0010) staining.
Paraformaldehyde-fixed, paraffin embedded Mouse bladder; Antigen retrieval by boiling in sodium citrate buffer (pH6.0) for 15 min; Antibody incubation with PTGER2 Monoclonal Antibody, Unconjugated(bsm-61050R) at 1:200 overnight at 4°C, followed by conjugation to the SP Kit(Rabbit, SP-0023) and DAB (C-0010) staining.
Paraformaldehyde-fixed, paraffin embedded Rat placenta; Antigen retrieval by boiling in sodium citrate buffer (pH6.0) for 15 min; Antibody incubation with PTGER2 Monoclonal Antibody, Unconjugated(bsm-61050R) at 1:200 overnight at 4°C, followed by conjugation to the SP Kit(Rabbit, SP-0023) and DAB (C-0010) staining.
Paraformaldehyde-fixed, paraffin embedded Rat kidney; Antigen retrieval by boiling in sodium citrate buffer (pH6.0) for 15 min; Antibody incubation with PTGER2 Monoclonal Antibody, Unconjugated(bsm-61050R) at 1:200 overnight at 4°C, followed by conjugation to the SP Kit(Rabbit, SP-0023) and DAB (C-0010) staining.
Paraformaldehyde-fixed, paraffin embedded Rat spleen; Antigen retrieval by boiling in sodium citrate buffer (pH6.0) for 15 min; Antibody incubation with PTGER2 Monoclonal Antibody, Unconjugated(bsm-61050R) at 1:200 overnight at 4°C, followed by conjugation to the SP Kit(Rabbit, SP-0023) and DAB (C-0010) staining.
Paraformaldehyde-fixed, paraffin embedded Rat bladder; Antigen retrieval by boiling in sodium citrate buffer (pH6.0) for 15 min; Antibody incubation with PTGER2 Monoclonal Antibody, Unconjugated(bsm-61050R) at 1:200 overnight at 4°C, followed by conjugation to the SP Kit(Rabbit, SP-0023) and DAB (C-0010) staining.
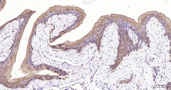
Paraformaldehyde-fixed, paraffin embedded human placenta; Antigen retrieval by boiling in sodium citrate buffer (pH6.0) for 15 min; The section was incubated with PTGER2 Monoclonal Antibody, Unconjugated (bsm-61050R) at 1:200 overnight at 4°C. Followed by conjugated Goat Anti-Ratbbit IgG antibody (red, bs-0295G-BF594), DAPI (blue, C02-04002) was used to stain the cell nuclei.
Paraformaldehyde-fixed, paraffin embedded Mouse bladder; Antigen retrieval by boiling in sodium citrate buffer (pH6.0) for 15 min; The section was incubated with PTGER2 Monoclonal Antibody, Unconjugated (bsm-61050R) at 1:200 overnight at 4°C. Followed by conjugated Goat Anti-Ratbbit IgG antibody (red, bs-0295G-BF594), DAPI (blue, C02-04002) was used to stain the cell nuclei.
Paraformaldehyde-fixed, paraffin embedded Rat bladder; Antigen retrieval by boiling in sodium citrate buffer (pH6.0) for 15 min; The section was incubated with PTGER2 Monoclonal Antibody, Unconjugated (bsm-61050R) at 1:200 overnight at 4°C. Followed by conjugated Goat Anti-Ratbbit IgG antibody (red, bs-0295G-BF594), DAPI (blue, C02-04002) was used to stain the cell nuclei.
版权所有 2004-2026 www.bioss.com.cn 北京博奥森生物技术有限公司
通过国际质量管理体系ISO 9001:2015 GB/T 19001-2016    证书编号: 00124Q34771R2M/1100
通过国际医疗器械-质量管理体系ISO 13485:2016 GB/T 42061-2022     证书编号: CQC24QY20047R0M/1100
京ICP备05066980号-1         京公网安备110107000727号