扫码关注公众号           扫码咨询技术支持           扫码咨询技术服务
  
客服热线:400-901-9800  客服QQ:4009019800  技术答疑  技术支持  质量反馈  人才招聘  关于我们  联系我们
产品中心-北京博奥森生物技术有限公司
首页 > 产品中心 > 一抗 > 产品信息
Frizzled 8 Recombinant Rabbit mAb (bsm-61049R)  
订购热线:400-901-9800
订购邮箱:sales@bioss.com.cn
订购QQ:  400-901-9800
技术支持:techsupport@bioss.com.cn
25ul/800.00元
50ul/1400.00元
100ul/2500.00元
大包装/询价

产品编号 bsm-61049R
英文名称 Frizzled 8 Recombinant Rabbit mAb
中文名称 卷曲蛋白8重组兔单抗
别    名 FZ-8; hFZ8; Fz8; FZD8_HUMAN; FZD8; FZD8_MOUSE; mFz8; FZD8_RAT;   
抗体来源 Rabbit
克隆类型 Recombinant
克 隆 号 15G15
交叉反应 Human,Mouse,Rat
产品应用 IHC-P=1:100-500,IHC-F=1:100-500,IF=1:100-500
not yet tested in other applications.
optimal dilutions/concentrations should be determined by the end user.
理论分子量 70 kDa
细胞定位 细胞核 细胞膜 
性    状 Liquid
免 疫 原 A synthesized peptide derived from human Frizzled 8: 640-694/694 
亚    型 IgG
纯化方法 affinity purified by Protein A
缓 冲 液 0.01M TBS(pH7.4) with 1% BSA, 0.02% Proclin300 and 50% Glycerol.
保存条件 Shipped at 4℃. Store at -20 °C for one year. Avoid repeated freeze/thaw cycles.
注意事项 This product as supplied is intended for research use only, not for use in human, therapeutic or diagnostic applications.
PubMed PubMed
产品介绍 The frizzled gene, originally identified in Drosophila melanogaster, is involved in the development of tissue polarity. The mammalian homolog of frizzled, as well as several secreted mammalian frizzled-related proteins (FRPs), have been described. The frizzled proteins contain seven transmembrane domains, a cysteine-rich domain in the extracellular region and a carboxy-terminal Ser/Thr-xxx-Val motif. They function as receptors for Wnt and are generally coupled to G proteins. The cysteine-rich domain of frizzled-8 blocks endogenous Wnts and the effects of Wnt-1 and Wnt-5 on proliferation. The mouse frizzled-8 gene, which encodes a Wnt receptor, is a potent cancer-associated activator of the Beta-catenin-TCF pathway. The frizzled-8 gene contains no introns. Frizzled-8 mRNA has been detected in fetal brain and kidney, and also in adult pancreas, skeletal muscle, kidney and heart. Frizzled is highly expressed in HeLa S3 (cervical uterus cancer) cells and A549 lung cancer cells.

Function:
Receptor for Wnt proteins. Component of the Wnt-Fzd-LRP5-LRP6 complex that triggers beta-catenin signaling through inducing aggregation of receptor-ligand complexes into ribosome-sized signalosomes. The beta-catenin canonical signaling pathway leads to the activation of disheveled proteins, inhibition of GSK-3 kinase, nuclear accumulation of beta-catenin and activation of Wnt target genes. A second signaling pathway involving PKC and calcium fluxes has been seen for some family members, but it is not yet clear if it represents a distinct pathway or if it can be integrated in the canonical pathway, as PKC seems to be required for Wnt-mediated inactivation of GSK-3 kinase. Both pathways seem to involve interactions with G-proteins. May be involved in transduction and intercellular transmission of polarity information during tissue morphogenesis and/or in differentiated tissues. Coreceptor along with RYK of Wnt proteins, such as WNT1

Subcellular Location:
Membrane. Golgi apparatus. Cell membrane. Colocalizes with GOPC at the Golgi apparatus.

Tissue Specificity:
Most abundant in fetal kidney, followed by brain and lung. In adult tissues, expressed in kidney, heart, pancreas and skeletal muscle.

Post-translational modifications:
Ubiquitinated by ZNRF3, leading to its degradation by the proteasome.

Similarity:
Belongs to the G-protein coupled receptor Fz/Smo family. Contains 1 FZ (frizzled) domain.

SWISS:
Q9H461

Gene ID:
8325

Database links:

Entrez Gene: 8325 Human

Entrez Gene: 14370 Mouse

Entrez Gene: 100909849 Rat

Entrez Gene: 364754 Rat

Omim: 606146 Human

SwissProt: Q9H461 Human

SwissProt: Q61091 Mouse

SwissProt: Q498S8 Rat



产品图片
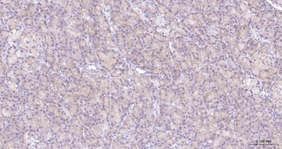
Paraformaldehyde-fixed, paraffin embedded Mouse pancreas; Antigen retrieval by boiling in sodium citrate buffer (pH6.0) for 15 min; Antibody incubation with Frizzled 8 Monoclonal Antibody, Unconjugated(bsm-61049R) at 1:200 overnight at 4°C, followed by conjugation to the SP Kit(Rabbit, SP-0023) and DAB (C-0010) staining.
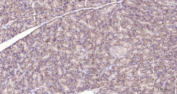
Paraformaldehyde-fixed, paraffin embedded Rat pancreas; Antigen retrieval by boiling in sodium citrate buffer (pH6.0) for 15 min; Antibody incubation with Frizzled 8 Monoclonal Antibody, Unconjugated(bsm-61049R) at 1:200 overnight at 4°C, followed by conjugation to the SP Kit(Rabbit, SP-0023) and DAB (C-0010) staining.
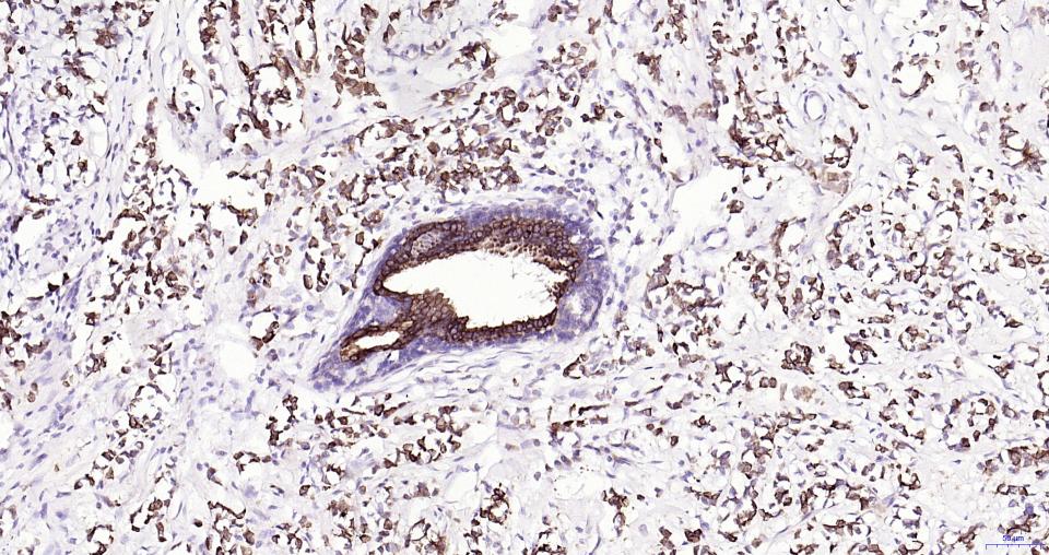
Paraformaldehyde-fixed, paraffin embedded Human Pancreatic Cancer; Antigen retrieval by boiling in sodium citrate buffer (pH6.0) for 15 min; Antibody incubation with Frizzled 8 Monoclonal Antibody, Unconjugated(bsm-61049R) at 1:200 overnight at 4°C, followed by conjugation to the SP Kit(Rabbit, SP-0023) and DAB (C-0010) staining.
Paraformaldehyde-fixed, paraffin embedded Human Uterus; Antigen retrieval by boiling in sodium citrate buffer (pH6.0) for 15 min; Antibody incubation with Frizzled 8 Monoclonal Antibody, Unconjugated(bsm-61049R) at 1:200 overnight at 4°C, followed by conjugation to the SP Kit(Rabbit, SP-0023) and DAB (C-0010) staining.
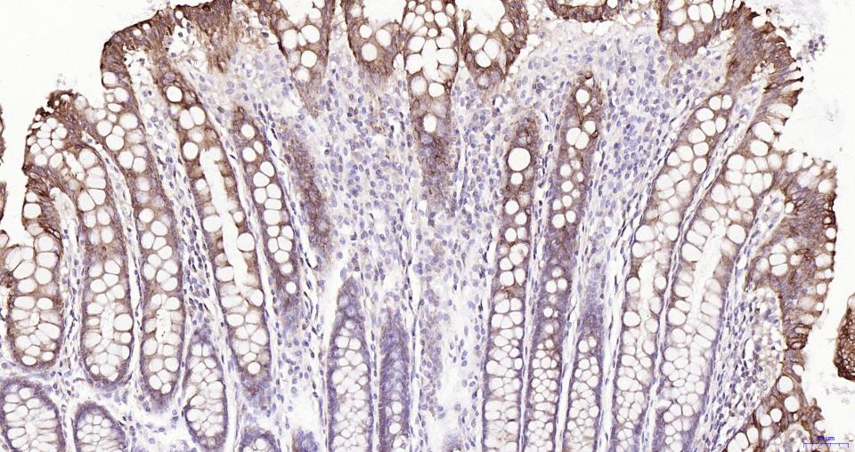
Paraformaldehyde-fixed, paraffin embedded Human Colon; Antigen retrieval by boiling in sodium citrate buffer (pH6.0) for 15 min; Antibody incubation with Frizzled 8 Monoclonal Antibody, Unconjugated(bsm-61049R) at 1:200 overnight at 4°C, followed by conjugation to the SP Kit(Rabbit, SP-0023) and DAB (C-0010) staining.
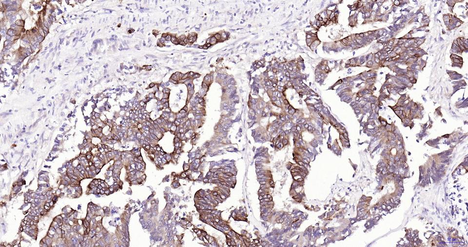
Paraformaldehyde-fixed, paraffin embedded Human Colon Cancer; Antigen retrieval by boiling in sodium citrate buffer (pH6.0) for 15 min; Antibody incubation with Frizzled 8 Monoclonal Antibody, Unconjugated(bsm-61049R) at 1:200 overnight at 4°C, followed by conjugation to the SP Kit(Rabbit, SP-0023) and DAB (C-0010) staining.
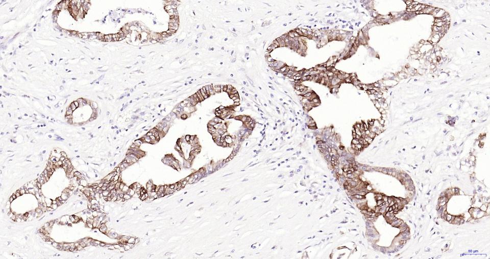
Paraformaldehyde-fixed, paraffin embedded Human Breast Cancer; Antigen retrieval by boiling in sodium citrate buffer (pH6.0) for 15 min; Antibody incubation with Frizzled 8 Monoclonal Antibody, Unconjugated(bsm-61049R) at 1:200 overnight at 4°C, followed by conjugation to the SP Kit(Rabbit, SP-0023) and DAB (C-0010) staining.
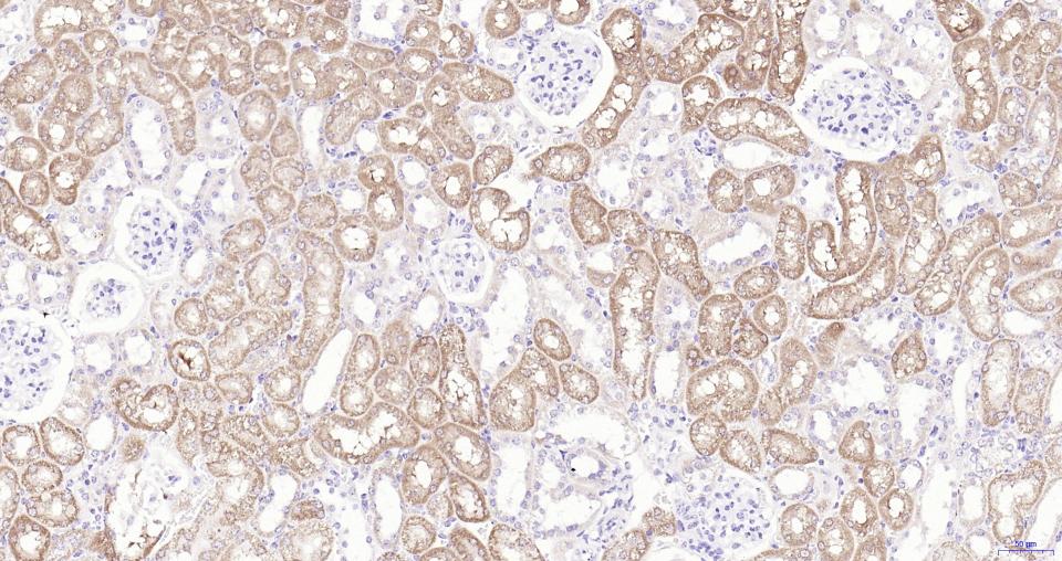
Paraformaldehyde-fixed, paraffin embedded Mouse Kidney; Antigen retrieval by boiling in sodium citrate buffer (pH6.0) for 15 min; Antibody incubation with Frizzled 8 Monoclonal Antibody, Unconjugated(bsm-61049R) at 1:200 overnight at 4°C, followed by conjugation to the SP Kit(Rabbit, SP-0023) and DAB (C-0010) staining.
版权所有 2004-2026 www.bioss.com.cn 北京博奥森生物技术有限公司
通过国际质量管理体系ISO 9001:2015 GB/T 19001-2016    证书编号: 00124Q34771R2M/1100
通过国际医疗器械-质量管理体系ISO 13485:2016 GB/T 42061-2022     证书编号: CQC24QY20047R0M/1100
京ICP备05066980号-1         京公网安备110107000727号