扫码关注公众号           扫码咨询技术支持           扫码咨询技术服务
  
客服热线:400-901-9800  客服QQ:4009019800  技术答疑  技术支持  质量反馈  人才招聘  关于我们  联系我们
产品中心-北京博奥森生物技术有限公司
首页 > 产品中心 > 一抗 > 产品信息
CD105 Recombinant Rabbit mAb (bsm-61042R)  
订购热线:400-901-9800
订购邮箱:sales@bioss.com.cn
订购QQ:  400-901-9800
技术支持:techsupport@bioss.com.cn
25ul/800.00元
50ul/1400.00元
100ul/2500.00元
大包装/询价

产品编号 bsm-61042R
英文名称 CD105 Recombinant Rabbit mAb
中文名称 CD105重组兔单抗
别    名 END; HHT1; ORW1; EGLN_HUMAN; ENG; EGLN_MOUSE; Cell surface MJ7/18 antigen; Edg; CD105; Endo; S-endoglin;   
抗体来源 Rabbit
克隆类型 Recombinant
克 隆 号 18F13
交叉反应 Human
产品应用 IHC-P=1:50-200,IHC-F=1:50-200,IF=1:50-200
not yet tested in other applications.
optimal dilutions/concentrations should be determined by the end user.
理论分子量 70 kDa
细胞定位 细胞膜 
性    状 Liquid
免 疫 原 A synthesized peptide derived from human CD105: 1-200 
亚    型 IgG
纯化方法 affinity purified by Protein A
缓 冲 液 0.01M TBS(pH7.4) with 1% BSA, 0.02% Proclin300 and 50% Glycerol.
保存条件 Shipped at 4℃. Store at -20 °C for one year. Avoid repeated freeze/thaw cycles.
注意事项 This product as supplied is intended for research use only, not for use in human, therapeutic or diagnostic applications.
PubMed PubMed
产品介绍

This gene encodes a homodimeric transmembrane protein which is a major glycoprotein of the vascular endothelium. This protein is a component of the transforming growth factor beta receptor complex and it binds to the beta1 and beta3 peptides with high affinity. Mutations in this gene cause hereditary hemorrhagic telangiectasia, also known as Osler-Rendu-Weber syndrome 1, an autosomal dominant multisystemic vascular dysplasia. This gene may also be involved in preeclampsia and several types of cancer. Alternatively spliced transcript variants encoding different isoforms have been found for this gene. [provided by RefSeq, May 2013]




Function:
Major glycoprotein of vascular endothelium. May play a critical role in the binding of endothelial cells to integrins and/or other RGD receptors.

Subunit:
Homodimer that forms an heteromeric complex with the signaling receptors for transforming growth factor-beta: TGFBR1 and/or TGFBR2. It is able to bind TGF-beta 1, and 3 efficiently and TGF-beta 2 less efficiently. Interacts with TCTEX1D4. Interacts with ARRB2.

Subcellular Location:
Membrane; Single-pass type I membrane protein.

Tissue Specificity:
Endoglin is restricted to endothelial cells in all tissues except bone marrow.

DISEASE:
Defects in ENG are the cause of hereditary hemorrhagic telangiectasia type 1 (HHT1) [MIM:187300]; also known as Osler-Rendu-Weber syndrome 1 (ORW1). HHT1 is an autosomal dominant multisystemic vascular dysplasia, characterized by recurrent epistaxis, muco-cutaneous telangiectases, gastro-intestinal hemorrhage, and pulmonary (PAVM), cerebral (CAVM) and hepatic arteriovenous malformations; all secondary manifestations of the underlying vascular dysplasia. Although the first symptom of HHT1 in children is generally nose bleed, there is an important clinical heterogeneity.

SWISS:
P17813

Gene ID:
2022

Database links:

Entrez Gene: 2022 Human

Omim: 131195 Human

SwissProt: P17813 Human

Unigene: 76753 Human



细胞膜受体(Membrane Receptors) CD105(Endoglin):CD105是一种存在于细胞表面的同源二聚体跨膜糖蛋白,是TGF-β受体复合物的组成部分,是TGF-β的附属受体,能与多种TGF-β超家族成员结合尤其与TGF-β1、TGF-β3有很高的亲和力,调节TGF-βs与其受体结合而参与信号传导,是内皮细胞增殖相关膜抗原,在培养的高增殖活性内皮细胞和许多恶性肿瘤组织血管内皮细胞中高表达,参与血管生成,但其在血管生成调节中的作用机制尚未阐明。主要用于各种恶性肿瘤组织中的血管生成的研究. CD105(Endoglin):CD105是一种分子量为180kDa的存在于细胞表面的同源二聚体跨膜糖蛋白,是TGF-β受体复合物的组成部分,是TGF-β的附属受体,能与多种TGF-β超家族成员结合尤其与TGF-β1、TGF-β3有很高的亲和力,调节TGF-βs与其受体结合而参与信号传导,是内皮细胞增殖相关膜抗原,在培养的高增殖活性内皮细胞和许多恶性肿瘤组织血管内皮细胞中高表达,参与血管生成,但其在血管生成调节中的作用机制尚未阐明。CD105基因定位于人9号染色体,是Ⅰ型遗传性出血性毛细血管扩张症的相关基因。CD105基因敲除小鼠胚胎因血管生成缺陷而于受精后平均11.5天死亡,故有学者认为,CD105可能与血管生成启动有关,可用于标记肿瘤新生血管。 Endoglin是内皮细胞表面与细胞增殖相关的膜抗原,也是转化生长因子β超家族受体复合物成分之一。其具有调节内皮细胞对TGF的反应、促内皮细胞增殖和促血管形成等功能,与肿瘤血管的发生密切相关。近年来,Endoglin在肿瘤诊断、判断预后和疗效及抗肿瘤血管靶向治疗等方面的作用得到重视。
产品图片
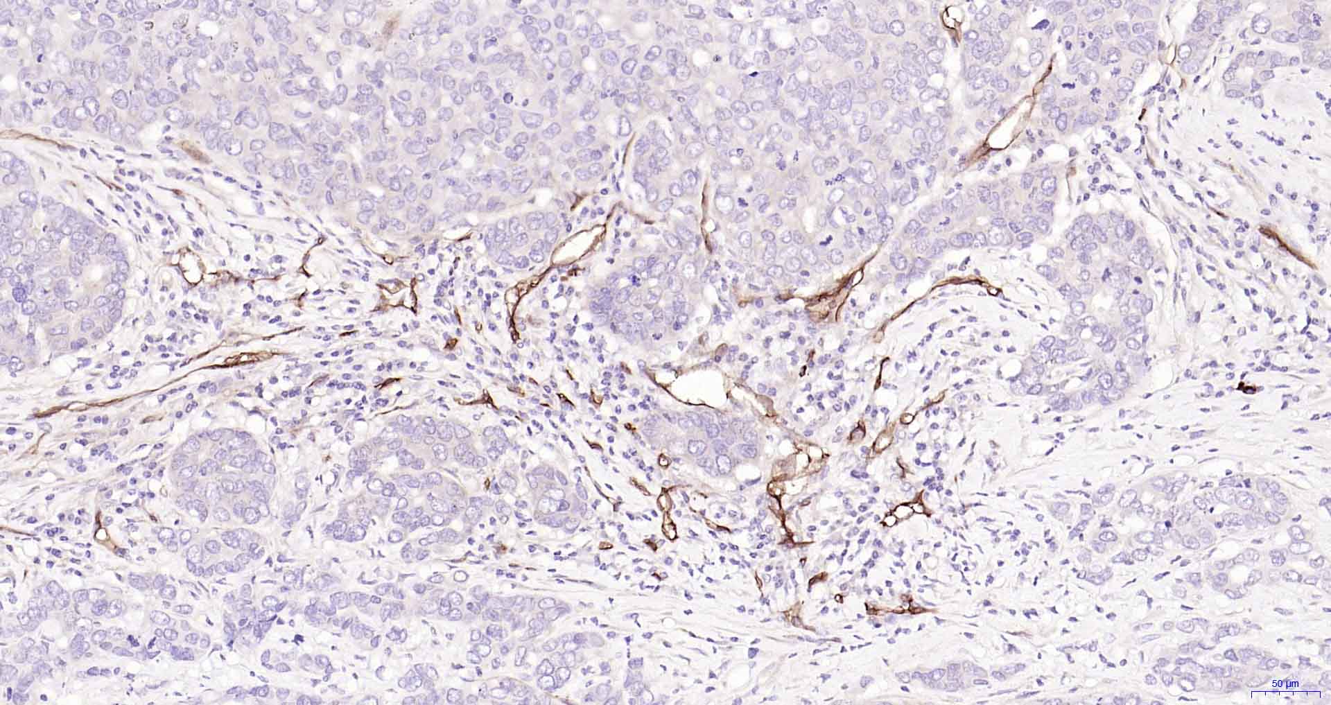
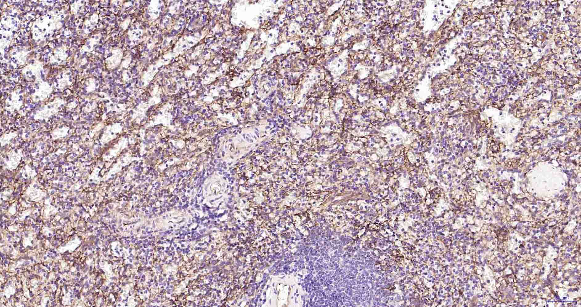
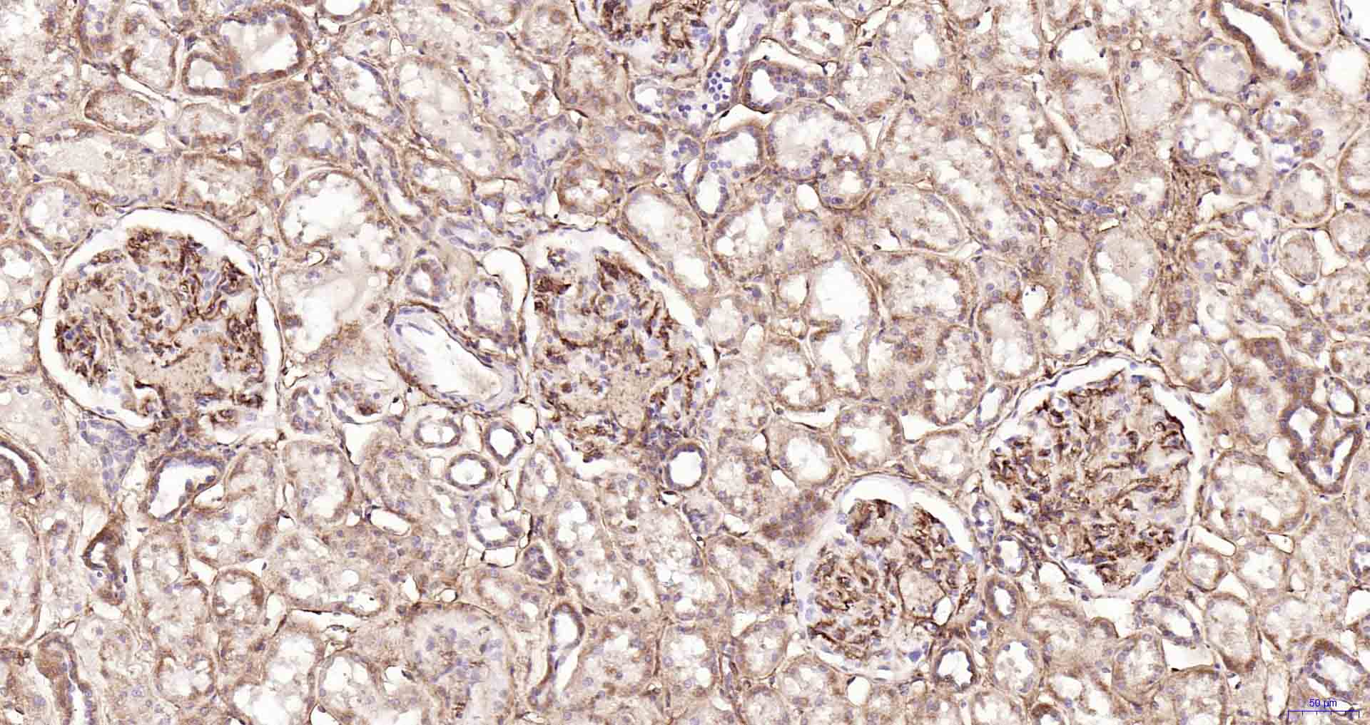
Paraformaldehyde-fixed, paraffin embedded Human Kidney; Antigen retrieval by boiling in sodium citrate buffer (pH6.0) for 15 min; Antibody incubation with CD105 Monoclonal Antibody, Unconjugated(bsm-61042R) at 1:100 overnight at 4°C, followed by conjugation to the SP Kit(Rabbit, SP-0023) and DAB (C-0010) staining.
Paraformaldehyde-fixed, paraffin embedded Human Liver; Antigen retrieval by boiling in sodium citrate buffer (pH6.0) for 15 min; Antibody incubation with CD105 Monoclonal Antibody, Unconjugated(bsm-61042R) at 1:100 overnight at 4°C, followed by conjugation to the SP Kit(Rabbit, SP-0023) and DAB (C-0010) staining.
Paraformaldehyde-fixed, paraffin embedded Human Breast Cancer; Antigen retrieval by boiling in sodium citrate buffer (pH6.0) for 15 min; Antibody incubation with CD105 Monoclonal Antibody, Unconjugated(bsm-61042R) at 1:100 overnight at 4°C, followed by conjugation to the SP Kit(Rabbit, SP-0023) and DAB (C-0010) staining.
Paraformaldehyde-fixed, paraffin embedded Human Ovarian Cancer; Antigen retrieval by boiling in sodium citrate buffer (pH6.0) for 15 min; Antibody incubation with CD105 Monoclonal Antibody, Unconjugated(bsm-61042R) at 1:100 overnight at 4°C, followed by conjugation to the SP Kit(Rabbit, SP-0023) and DAB (C-0010) staining.
Paraformaldehyde-fixed, paraffin embedded Human Colon Cancer; Antigen retrieval by boiling in sodium citrate buffer (pH6.0) for 15 min; Antibody incubation with CD105 Monoclonal Antibody, Unconjugated(bsm-61042R) at 1:100 overnight at 4°C, followed by conjugation to the SP Kit(Rabbit, SP-0023) and DAB (C-0010) staining.
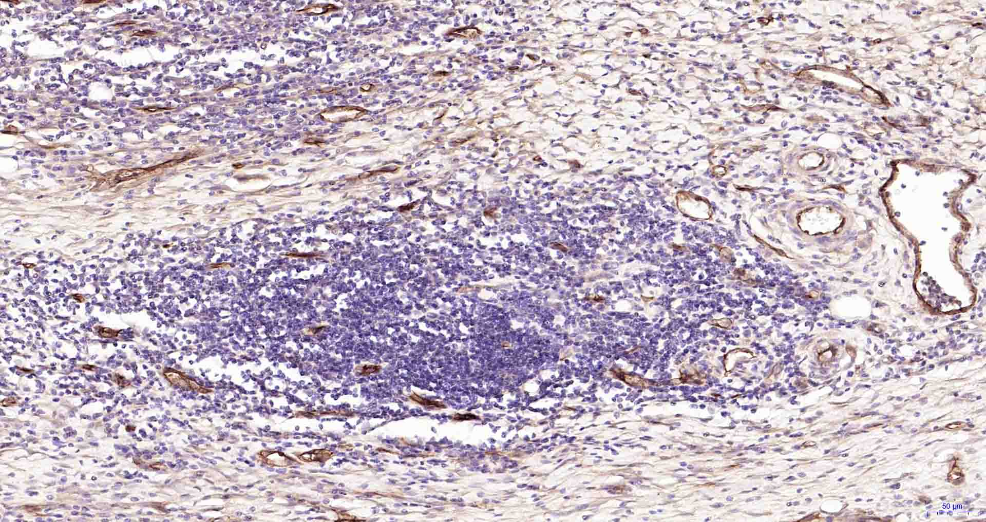
Paraformaldehyde-fixed, paraffin embedded Human Glioma; Antigen retrieval by boiling in sodium citrate buffer (pH6.0) for 15 min; Antibody incubation with CD105 Monoclonal Antibody, Unconjugated(bsm-61042R) at 1:100 overnight at 4°C, followed by conjugation to the SP Kit(Rabbit, SP-0023) and DAB (C-0010) staining.
Paraformaldehyde-fixed, paraffin embedded Human Spleen; Antigen retrieval by boiling in sodium citrate buffer (pH6.0) for 15 min; Antibody incubation with CD105 Monoclonal Antibody, Unconjugated(bsm-61042R) at 1:100 overnight at 4°C, followed by conjugation to the SP Kit(Rabbit, SP-0023) and DAB (C-0010) staining.
Paraformaldehyde-fixed, paraffin embedded Human Colon Cancer; Antigen retrieval by boiling in sodium citrate buffer (pH6.0) for 15 min; The section was incubated with CD105 Monoclonal Antibody, Unconjugated (bsm-61042R) at 1:200 overnight at 4°C. Followed by conjugated Goat Anti-Ratbbit IgG antibody (green, bs-0295G-BF488), DAPI (blue, C02-04002) was used to stain the cell nuclei.
版权所有 2004-2026 www.bioss.com.cn 北京博奥森生物技术有限公司
通过国际质量管理体系ISO 9001:2015 GB/T 19001-2016    证书编号: 00124Q34771R2M/1100
通过国际医疗器械-质量管理体系ISO 13485:2016 GB/T 42061-2022     证书编号: CQC24QY20047R0M/1100
京ICP备05066980号-1         京公网安备110107000727号