扫码关注公众号           扫码咨询技术支持           扫码咨询技术服务
  
客服热线:400-901-9800  客服QQ:4009019800  技术答疑  技术支持  质量反馈  人才招聘  关于我们  联系我们
产品中心-北京博奥森生物技术有限公司
首页 > 产品中心 > 一抗 > 产品信息
AQP4 Recombinant Rabbit mAb (bsm-61035R)  
订购热线:400-901-9800
订购邮箱:sales@bioss.com.cn
订购QQ:  400-901-9800
技术支持:techsupport@bioss.com.cn
25ul/800.00元
50ul/1400.00元
100ul/2500.00元
大包装/询价

产品编号 bsm-61035R
英文名称 AQP4 Recombinant Rabbit mAb
中文名称 水通道蛋白4重组兔单抗
别    名 AQP-4; MIWC; WCH4; MLC4; hAQP4; AQP4_BOVIN; AQP4; Mercurial-insensitive water channel (MIWC); AQP4_HUMAN; AQP4_MOUSE; AQP4_RAT;  
抗体来源 Rabbit
克隆类型 Recombinant
克 隆 号 9F10
交叉反应 Human,Mouse,Rat
产品应用 IHC-P=1:200-500,IHC-F=1:200-500,IF=1:200-500
not yet tested in other applications.
optimal dilutions/concentrations should be determined by the end user.
理论分子量 36 kDa
细胞定位 细胞膜 
性    状 Liquid
免 疫 原 A synthesized peptide derived from human Aquaporin 4: 300-323 
亚    型 IgG
纯化方法 affinity purified by Protein A
缓 冲 液 0.01M TBS(pH7.4) with 1% BSA, 0.02% Proclin300 and 50% Glycerol.
保存条件 Shipped at 4℃. Store at -20 °C for one year. Avoid repeated freeze/thaw cycles.
注意事项 This product as supplied is intended for research use only, not for use in human, therapeutic or diagnostic applications.
PubMed PubMed
产品介绍

This gene encodes a member of the aquaporin family of intrinsic membrane proteins that function as water-selective channels in the plasma membranes of many cells. The encoded protein is the predominant aquaporin found in brain. Two alternatively spliced transcript variants encoding distinct isoforms have been found for this gene. [provided by RefSeq, Jul 2008]




Function:
Forms a water-specific channel. Osmoreceptor which regulates body water balance and mediates water flow within the central nervous system.

Subunit:
Homotetramer. Part of a complex containing MLC1, TRPV4, HEPACAM and ATP1B1.

Subcellular Location:
Membrane; Multi-pass membrane protein.

Tissue Specificity:
Brain, muscle, heart, kidney, lung, and trachea.

Similarity:
Belongs to the MIP/aquaporin (TC 1.A.8) family.

SWISS:
P55087

Gene ID:
361

Database links:

Entrez Gene: 281008 Cow

Entrez Gene: 361 Human

Entrez Gene: 11829 Mouse

Entrez Gene: 25293 Rat

Omim: 600308 Human

SwissProt: O77750 Cow

SwissProt: P55087 Human

SwissProt: P55088 Mouse

SwissProt: P47863 Rat

Unigene: 281008 Cow

Unigene: 315369 Human

Unigene: 250786 Mouse

Unigene: 90091 Rat



通道蛋白(Channel Protein)
水通道蛋白(AQPs)广泛分布于机体不同组织器官中,脑组织中的水通道蛋白主要为AQP4.
AQP-4蛋白主要在星型胶质细胞和室管膜细胞内表达,尤其在于毛细血管和软脑膜直接接触的胶质细胞上及血管周表达丰富.
水通道蛋白4的分布特点与其功能密切相关,可能是脑脊液重吸收、渗透压调节、脑水肿形成等生理、病理过程的分子生物学基础.研究水通道蛋白4可为脑水肿及水代谢疾病提供分子水平的理论依据,同时为临床治疗脑水肿及水代谢疾病提供一种新途径.
产品图片
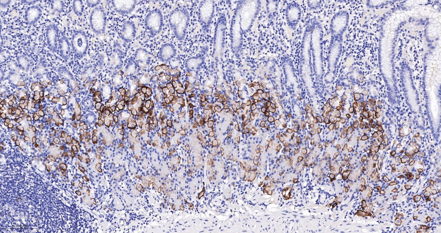
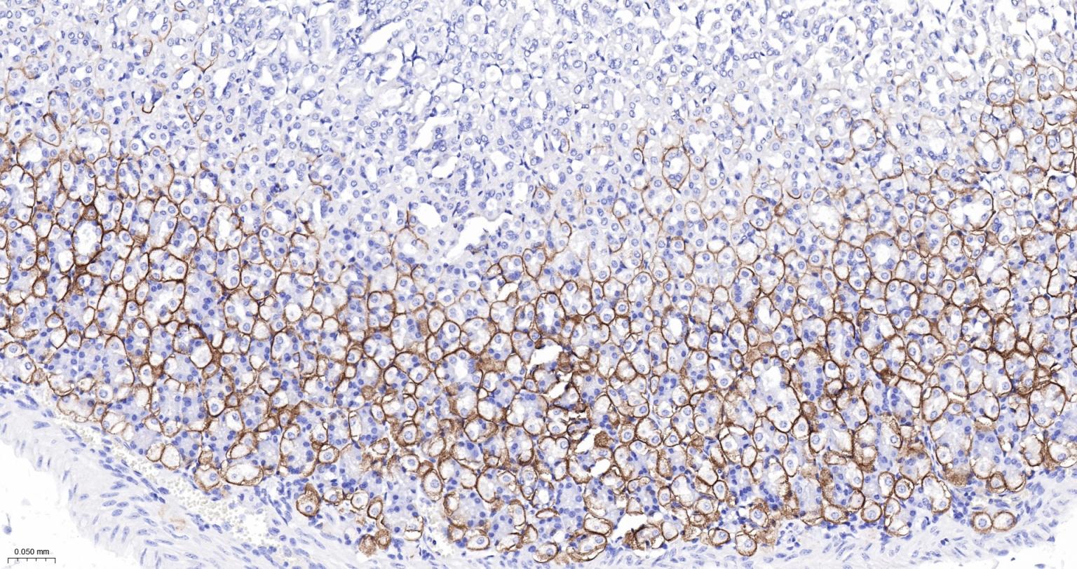
Paraformaldehyde-fixed, paraffin embedded Human Stomach; Antigen retrieval by boiling in sodium citrate buffer (pH6.0) for 15 min; The section was incubated with AQP4 Monoclonal Antibody, Unconjugated (bsm-61035R) at 1:200 overnight at 4°C, followed by conjugation to the bs-0295G-HRP and DAB (C-0010) staining.
Paraformaldehyde-fixed, paraffin embedded Rat Stomach; Antigen retrieval by boiling in sodium citrate buffer (pH6.0) for 15 min; The section was incubated with AQP4 Monoclonal Antibody, Unconjugated (bsm-61035R) at 1:200 overnight at 4°C, followed by conjugation to the bs-0295G-HRP and DAB (C-0010) staining.
Paraformaldehyde-fixed, paraffin embedded Mouse Stomach; Antigen retrieval by boiling in sodium citrate buffer (pH6.0) for 15 min; The section was incubated with AQP4 Monoclonal Antibody, Unconjugated (bsm-61035R) at 1:200 overnight at 4°C, followed by conjugation to the bs-0295G-HRP and DAB (C-0010) staining.
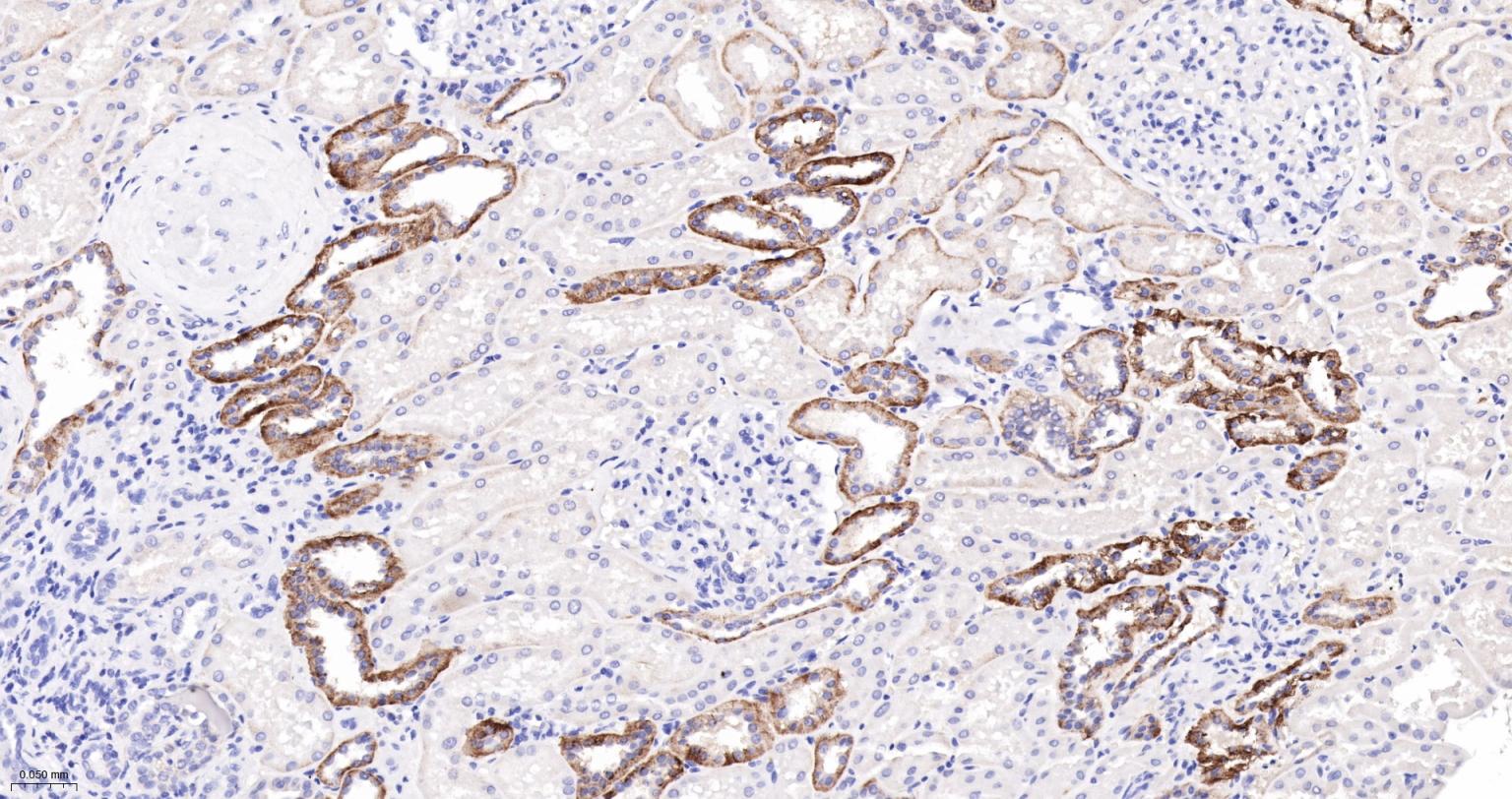
Paraformaldehyde-fixed, paraffin embedded Human Kidney; Antigen retrieval by boiling in sodium citrate buffer (pH6.0) for 15 min; The section was incubated with AQP4 Monoclonal Antibody, Unconjugated (bsm-61035R) at 1:200 overnight at 4°C, followed by conjugation to the bs-0295G-HRP and DAB (C-0010) staining.
Paraformaldehyde-fixed, paraffin embedded Mouse Kidney; Antigen retrieval by boiling in sodium citrate buffer (pH6.0) for 15 min; The section was incubated with AQP4 Monoclonal Antibody, Unconjugated (bsm-61035R) at 1:200 overnight at 4°C, followed by conjugation to the bs-0295G-HRP and DAB (C-0010) staining.
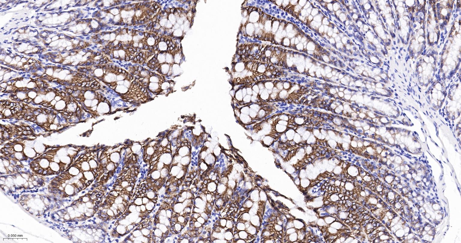
Paraformaldehyde-fixed, paraffin embedded Mouse Colon; Antigen retrieval by boiling in sodium citrate buffer (pH6.0) for 15 min; The section was incubated with AQP4 Monoclonal Antibody, Unconjugated (bsm-61035R) at 1:200 overnight at 4°C, followed by conjugation to the bs-0295G-HRP and DAB (C-0010) staining.
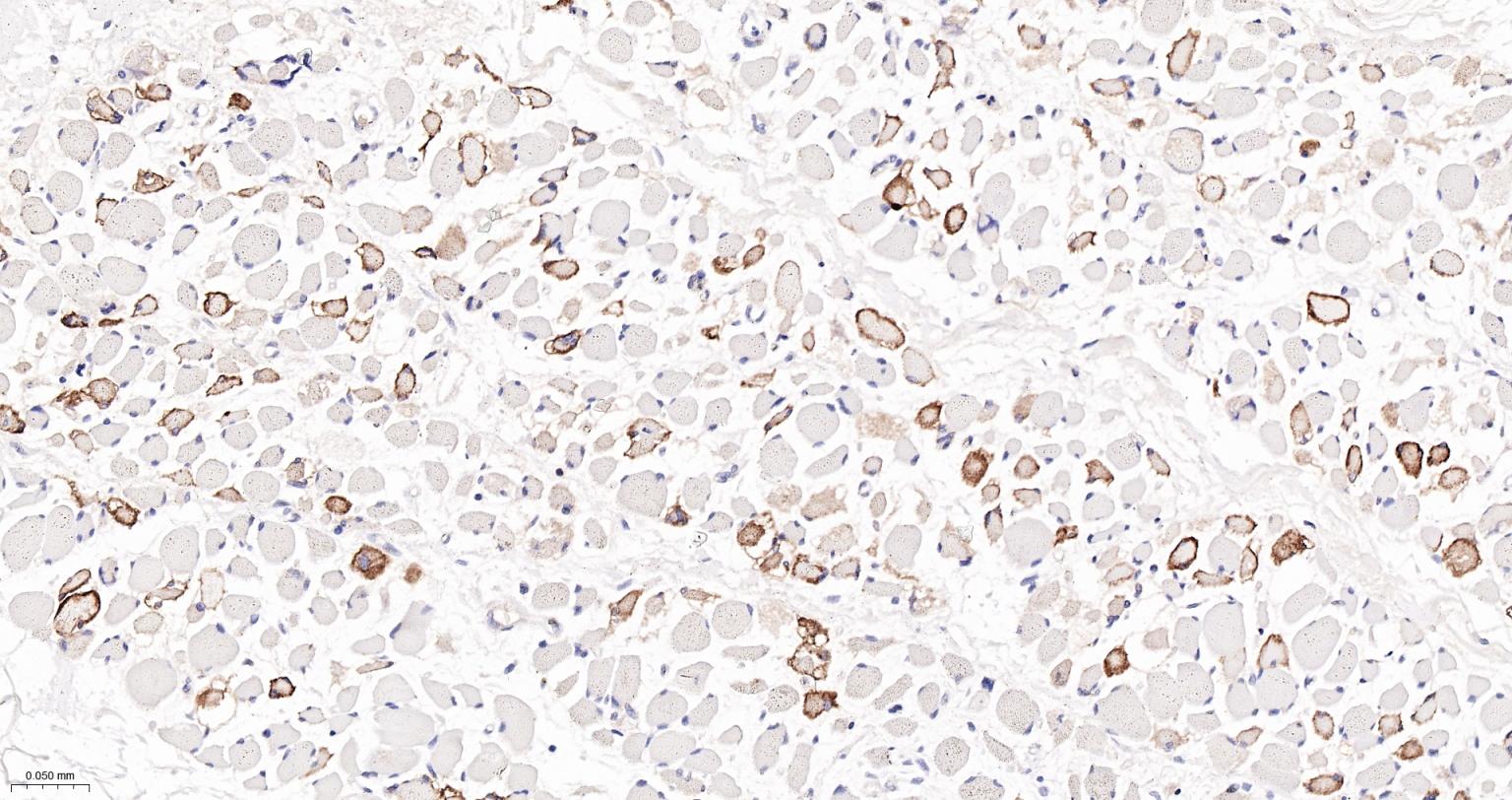
Paraformaldehyde-fixed, paraffin embedded Human Skeletal muscle; Antigen retrieval by boiling in sodium citrate buffer (pH6.0) for 15 min; The section was incubated with AQP4 Monoclonal Antibody, Unconjugated (bsm-61035R) at 1:200 overnight at 4°C, followed by conjugation to the bs-0295G-HRP and DAB (C-0010) staining.
Paraformaldehyde-fixed, paraffin embedded Rat Skeletal muscle; Antigen retrieval by boiling in sodium citrate buffer (pH6.0) for 15 min; The section was incubated with AQP4 Monoclonal Antibody, Unconjugated (bsm-61035R) at 1:200 overnight at 4°C, followed by conjugation to the bs-0295G-HRP and DAB (C-0010) staining.
Paraformaldehyde-fixed, paraffin embedded Mouse Skeletal muscle; Antigen retrieval by boiling in sodium citrate buffer (pH6.0) for 15 min; The section was incubated with AQP4 Monoclonal Antibody, Unconjugated (bsm-61035R) at 1:200 overnight at 4°C, followed by conjugation to the bs-0295G-HRP and DAB (C-0010) staining.
Paraformaldehyde-fixed, paraffin embedded Rat Kidney; Antigen retrieval by boiling in sodium citrate buffer (pH6.0) for 15 min; Antibody incubation with AQP4 Monoclonal Antibody, Unconjugated(bsm-61035R) at 1:100 overnight at 4°C, followed by conjugation to the SP Kit (Rabbit, SP-0023) and DAB (C-0010) staining.
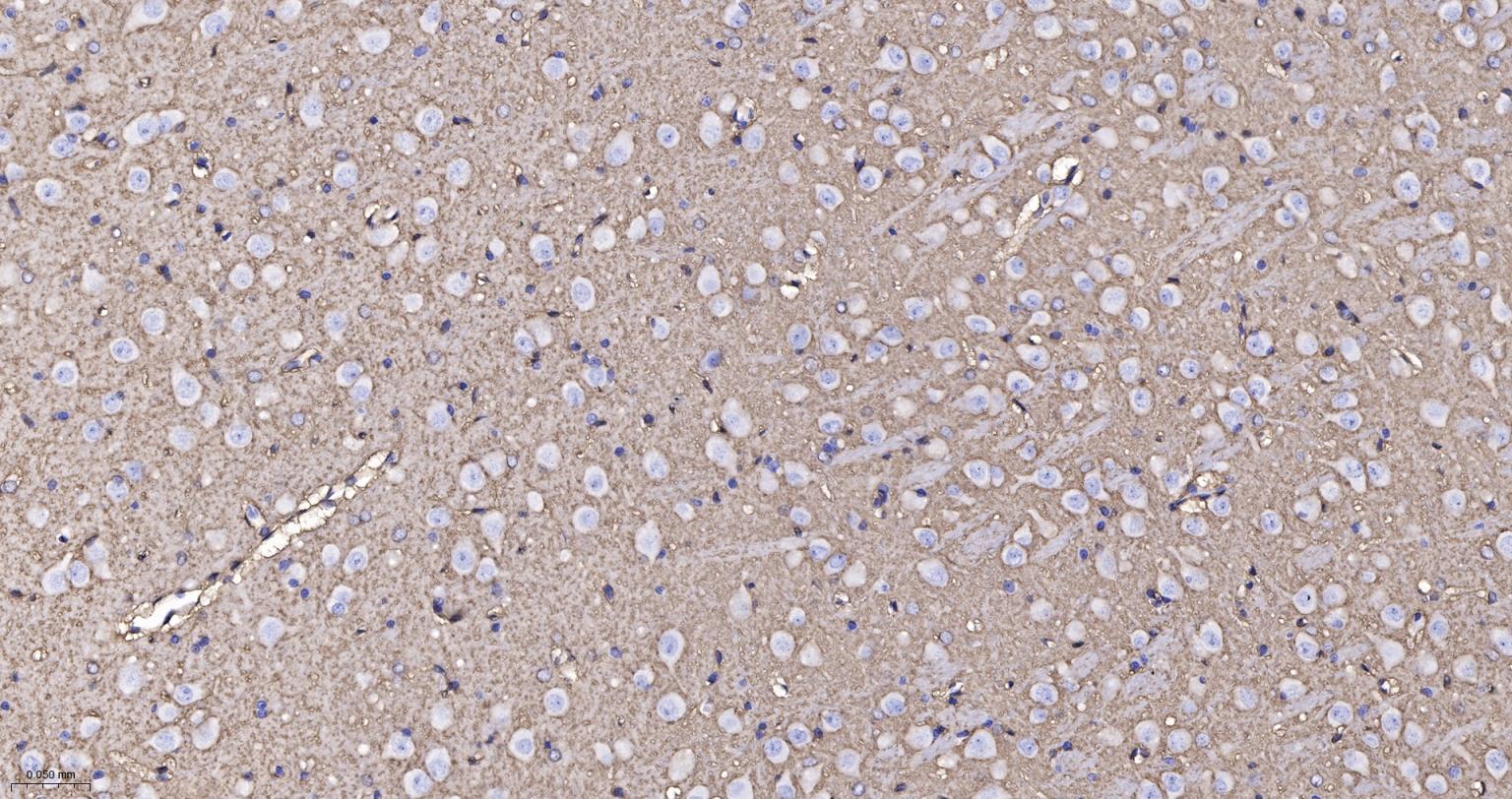
Paraformaldehyde-fixed, paraffin embedded Human Cerebellum; Antigen retrieval by boiling in sodium citrate buffer (pH6.0) for 15 min; Antibody incubation with AQP4 Monoclonal Antibody, Unconjugated(bsm-61035R) at 1:100 overnight at 4°C, followed by conjugation to the SP Kit (Rabbit, SP-0023) and DAB (C-0010) staining.
Paraformaldehyde-fixed, paraffin embedded Rat Cerebellum; Antigen retrieval by boiling in sodium citrate buffer (pH6.0) for 15 min; Antibody incubation with AQP4 Monoclonal Antibody, Unconjugated(bsm-61035R) at 1:100 overnight at 4°C, followed by conjugation to the SP Kit (Rabbit, SP-0023) and DAB (C-0010) staining.
Paraformaldehyde-fixed, paraffin embedded Mouse Cerebellum; Antigen retrieval by boiling in sodium citrate buffer (pH6.0) for 15 min; Antibody incubation with AQP4 Monoclonal Antibody, Unconjugated(bsm-61035R) at 1:100 overnight at 4°C, followed by conjugation to the SP Kit (Rabbit, SP-0023) and DAB (C-0010) staining.
Paraformaldehyde-fixed, paraffin embedded Rat Cerebrum; Antigen retrieval by boiling in sodium citrate buffer (pH6.0) for 15 min; Antibody incubation with AQP4 Monoclonal Antibody, Unconjugated(bsm-61035R) at 1:100 overnight at 4°C, followed by conjugation to the SP Kit(Rabbit, SP-0023) and DAB (C-0010) staining.
Paraformaldehyde-fixed, paraffin embedded Mouse Cerebrum; Antigen retrieval by boiling in sodium citrate buffer (pH6.0) for 15 min; Antibody incubation with AQP4 Monoclonal Antibody, Unconjugated(bsm-61035R) at 1:100 overnight at 4°C, followed by conjugation to the SP Kit(Rabbit, SP-0023) and DAB (C-0010) staining.
Paraformaldehyde-fixed, paraffin embedded Human Cerebrum; Antigen retrieval by boiling in sodium citrate buffer (pH6.0) for 15 min; Antibody incubation with AQP4 Monoclonal Antibody, Unconjugated(bsm-61035R) at 1:100 overnight at 4°C, followed by conjugation to the SP Kit (Rabbit, SP-0023) and DAB (C-0010) staining.
Paraformaldehyde-fixed, paraffin embedded Mouse Stomach; Antigen retrieval by boiling in sodium citrate buffer (pH6.0) for 15 min; The section was incubated with AQP4 Monoclonal Antibody, Unconjugated (bsm-61035R) at 1:200 overnight at 4°C. Followed by conjugated Goat Anti-Rabbit IgG antibody (Red, bs-0295G-BF594), DAPI (blue, C02-04002) was used to stain the cell nuclei.
Paraformaldehyde-fixed, paraffin embedded Human Stomach; Antigen retrieval by boiling in sodium citrate buffer (pH6.0) for 15 min; The section was incubated with AQP4 Monoclonal Antibody, Unconjugated (bsm-61035R) at 1:200 overnight at 4°C. Followed by conjugated Goat Anti-Rabbit IgG antibody (Red, bs-0295G-BF594), DAPI (blue, C02-04002) was used to stain the cell nuclei.
Paraformaldehyde-fixed, paraffin embedded Rat Stomach; Antigen retrieval by boiling in sodium citrate buffer (pH6.0) for 15 min; The section was incubated with AQP4 Monoclonal Antibody, Unconjugated (bsm-61035R) at 1:200 overnight at 4°C. Followed by conjugated Goat Anti-Rabbit IgG antibody (Red, bs-0295G-BF594), DAPI (blue, C02-04002) was used to stain the cell nuclei.
版权所有 2004-2026 www.bioss.com.cn 北京博奥森生物技术有限公司
通过国际质量管理体系ISO 9001:2015 GB/T 19001-2016    证书编号: 00124Q34771R2M/1100
通过国际医疗器械-质量管理体系ISO 13485:2016 GB/T 42061-2022     证书编号: CQC24QY20047R0M/1100
京ICP备05066980号-1         京公网安备110107000727号