扫码关注公众号           扫码咨询技术支持           扫码咨询技术服务
  
客服热线:400-901-9800  客服QQ:4009019800  技术答疑  技术支持  质量反馈  人才招聘  关于我们  联系我们
产品中心-北京博奥森生物技术有限公司
首页 > 产品中心 > 一抗 > 产品信息
ULK1 Recombinant Rabbit mAb (bsm-61039R)  
订购热线:400-901-9800
订购邮箱:sales@bioss.com.cn
订购QQ:  400-901-9800
技术支持:techsupport@bioss.com.cn
25ul/800.00元
50ul/1400.00元
100ul/2500.00元
大包装/询价

产品编号 bsm-61039R
英文名称 ULK1 Recombinant Rabbit mAb
中文名称 自噬相关蛋白1重组兔单抗
别    名 ATG1; ATG1A; UNC51; Unc51.1; hATG1; mKIAA0722; ULK1_HUMAN; ULK1; Autophagy-related protein 1 homolog (ATG1 | hATG1); Unc-51-like kinase 1; 2.7.11.1; KIAA0722; ULK1_MOUSE; Serine/threonine-protein kinase Unc51.1;   
抗体来源 Rabbit
克隆类型 Recombinant
克 隆 号 6F4
交叉反应 Human,Mouse,Rat
产品应用 WB=1:500-2000,IHC-P=1:100-500,IHC-F=1:100-500,IF=1:100-500
not yet tested in other applications.
optimal dilutions/concentrations should be determined by the end user.
理论分子量 116 kDa
检测分子量 138
细胞定位 细胞浆 
性    状 Liquid
免 疫 原 A synthesized peptide derived from human ULK1: 950-1050 
亚    型 IgG
纯化方法 affinity purified by Protein A
缓 冲 液 0.01M TBS(pH7.4) with 1% BSA, 0.02% Proclin300 and 50% Glycerol.
保存条件 Shipped at 4℃. Store at -20 °C for one year. Avoid repeated freeze/thaw cycles.
注意事项 This product as supplied is intended for research use only, not for use in human, therapeutic or diagnostic applications.
PubMed PubMed
产品介绍 ULK1 belongs to the serine/threonine protein kinase family. It is involved in axon growth and plays an essential role in neurite branching during sensory axon outgrowth. Knockdown of ULK1 results in impaired endocytosis of nerve growth factor (NGF), excessive axon arborization, and severely stunted axon elongation indicating that ULK1 mediates a non clathrin coated endocytosis in sensory growth cones. Knockdown of ULK1 also inhibits the autophagic response. It appears to act as a convergence point for multiple signals that regulate autophagy, and in turn interacts with a large number of autophagy related (Atg) proteins.

Function:
Serine/threonine-protein kinase involved in autophagy in response to starvation. Acts upstream of phosphatidylinositol 3-kinase PIK3C3 to regulate the formation of autophagophores, the precursors of autophagosomes. Part of regulatory feedback loops in autophagy: acts both as a downstream effector and negative regulator of mammalian target of rapamycin complex 1 (mTORC1) via interaction with RPTOR. Activated via phosphorylation by AMPK and also acts as a regulator of AMPK by mediating phosphorylation of AMPK subunits PRKAA1, PRKAB2 and PRKAG1, leading to negatively regulate AMPK activity. May phosphorylate ATG13/KIAA0652 and RPTOR; however such data need additional evidences. Plays a role early in neuronal differentiation and is required for granule cell axon formation.

Subunit:
Interacts with GABARAP and GABARAPL2. Interacts (via C-terminus) with ATG13/KIAA0652. Part of a complex consisting of ATG13/KIAA0652, ULK1 and RB1CC1. Associates with the mammalian target of rapamycin complex 1 (mTORC1) through an interaction with RPTOR; the association depends on nutrient conditions and is reduced during starvation.

Subcellular Location:
Cytoplasm, cytosol. Preautophagosomal structure. Note=Under starvation conditions, is localized to puncate structures primarily representing the isolation membrane that sequesters a portion of the cytoplasm resulting in the formation of an autophagosome.

Tissue Specificity:
Ubiquitously expressed. Detected in the following adult tissues: skeletal muscle, heart, pancreas, brain, placenta, liver, kidney, and lung.

Post-translational modifications:
Autophosphorylated. Phosphorylated under nutrient-rich conditions; dephosphorylated during starvation or following treatment with rapamycin. Under nutrient sufficiency phosphorylated by MTOR/mTOR, disrupting the interaction with AMPK and preventing activation of ULK1 (By similarity). In response to nutrient limitation, phosphorylated and activated by AMPK, leading to activate autophagy.

Similarity:
Belongs to the protein kinase superfamily. Ser/Thr protein kinase family. APG1/unc-51/ULK1 subfamily. Contains 1 protein kinase domain.

SWISS:
O75385

Gene ID:
8408

Database links:

Entrez Gene: 8408 Human

Entrez Gene: 22241 Mouse

Entrez Gene: 360827 Rat

Omim: 603168 Human

SwissProt: O75385 Human

SwissProt: O70405 Mouse

Unigene: 47061 Human



Atg1是一种丝氨酸/苏氨酸蛋白激酶。Atg1的激脢活性是CVT信号传导通路以及細胞自噬所必須的。Atg1可以和一些执行细胞自噬的蛋白相互作用,而且有很多调控細胞自噬的信号传导通路汇集在Atg1。因此Atg1可能是一个可以调控細胞自噬很多步驟的一个调节关键点。但在较高等的真核生物中,Atg1的角色仍然不是很清楚。通过目前的研究已经比较了解细胞自噬可以导致细胞的死亡,但是如何导致死亡的分子机制还不清楚,有待于进一步研究。
产品图片
25 ug total protein per lane of various lysates (see on figure) probed with ULK1 monoclonal antibody, unconjugated (bsm-61039R) at 1:2000 dilution and 4°C overnight incubation. Followed by conjugated secondary antibody incubation at r.t. for 60 min.
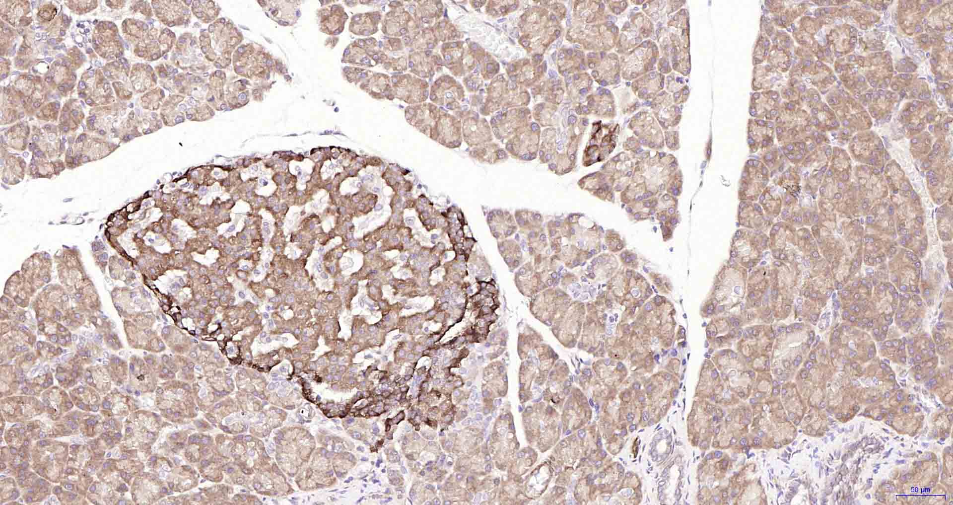
Paraformaldehyde-fixed, paraffin embedded Mouse Pancreas; Antigen retrieval by boiling in sodium citrate buffer (pH6.0) for 15 min; Antibody incubation with ULK1 Monoclonal Antibody, Unconjugated(bsm-61039R) at 1:100 overnight at 4°C, followed by conjugation to the SP Kit(Rabbit, SP-0023) and DAB (C-0010) staining.
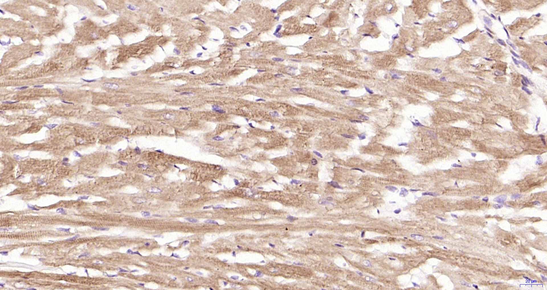
Paraformaldehyde-fixed, paraffin embedded Mouse Heart; Antigen retrieval by boiling in sodium citrate buffer (pH6.0) for 15 min; Antibody incubation with ULK1 Monoclonal Antibody, Unconjugated(bsm-61039R) at 1:100 overnight at 4°C, followed by conjugation to the SP Kit(Rabbit, SP-0023) and DAB (C-0010) staining.
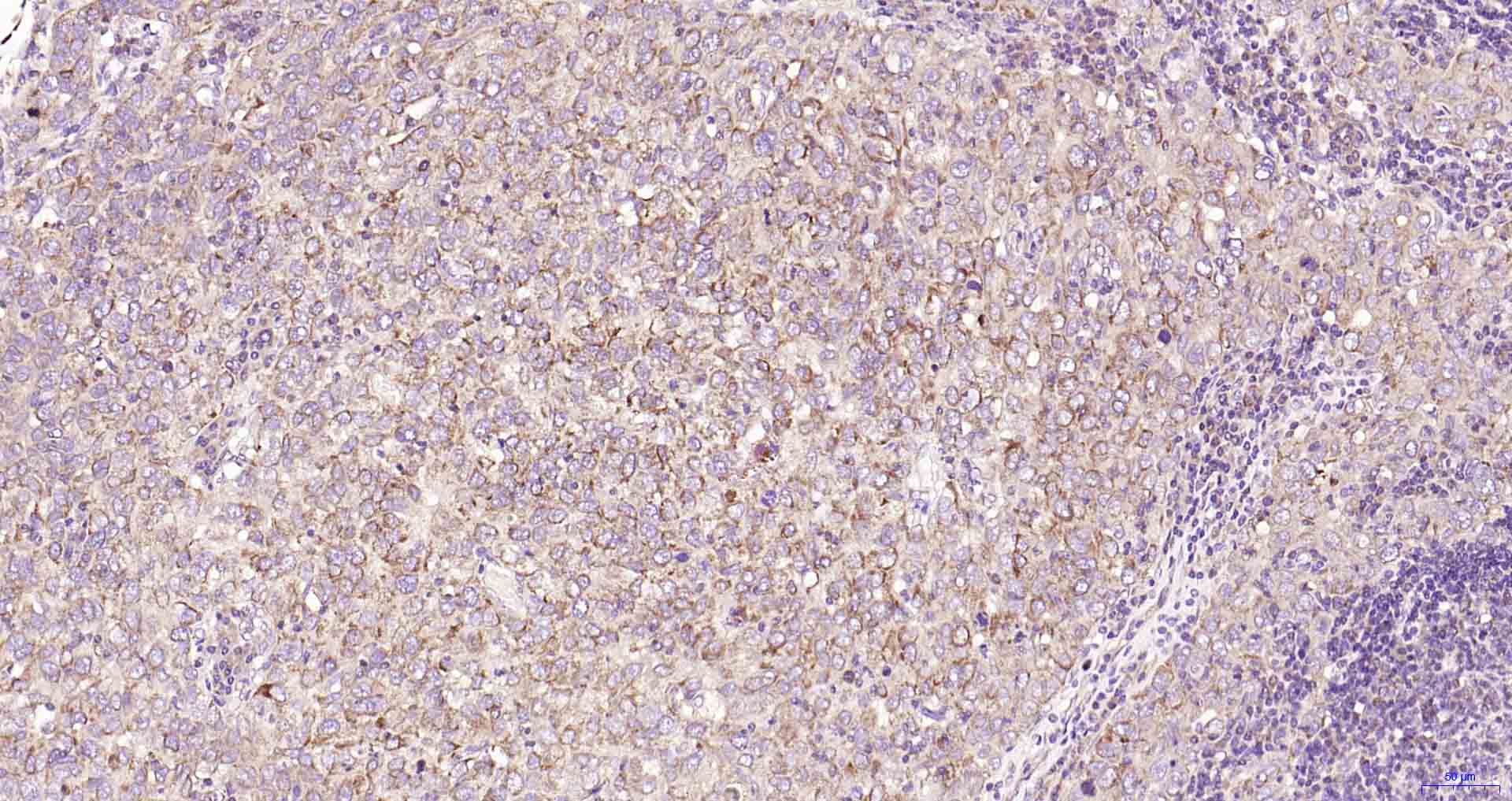
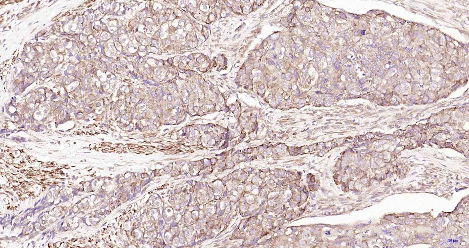
Paraformaldehyde-fixed, paraffin embedded Human Esophageal Cancer; Antigen retrieval by boiling in sodium citrate buffer (pH6.0) for 15 min; Antibody incubation with ULK1 Monoclonal Antibody, Unconjugated(bsm-61039R) at 1:100 overnight at 4°C, followed by conjugation to the SP Kit(Rabbit, SP-0023) and DAB (C-0010) staining.
Paraformaldehyde-fixed, paraffin embedded Human Breast Cancer; Antigen retrieval by boiling in sodium citrate buffer (pH6.0) for 15 min; Antibody incubation with ULK1 Monoclonal Antibody, Unconjugated(bsm-61039R) at 1:100 overnight at 4°C, followed by conjugation to the SP Kit(Rabbit, SP-0023) and DAB (C-0010) staining.
Paraformaldehyde-fixed, paraffin embedded Human Heart; Antigen retrieval by boiling in sodium citrate buffer (pH6.0) for 15 min; Antibody incubation with ULK1 Monoclonal Antibody, Unconjugated(bsm-61039R) at 1:100 overnight at 4°C, followed by conjugation to the SP Kit(Rabbit, SP-0023) and DAB (C-0010) staining.
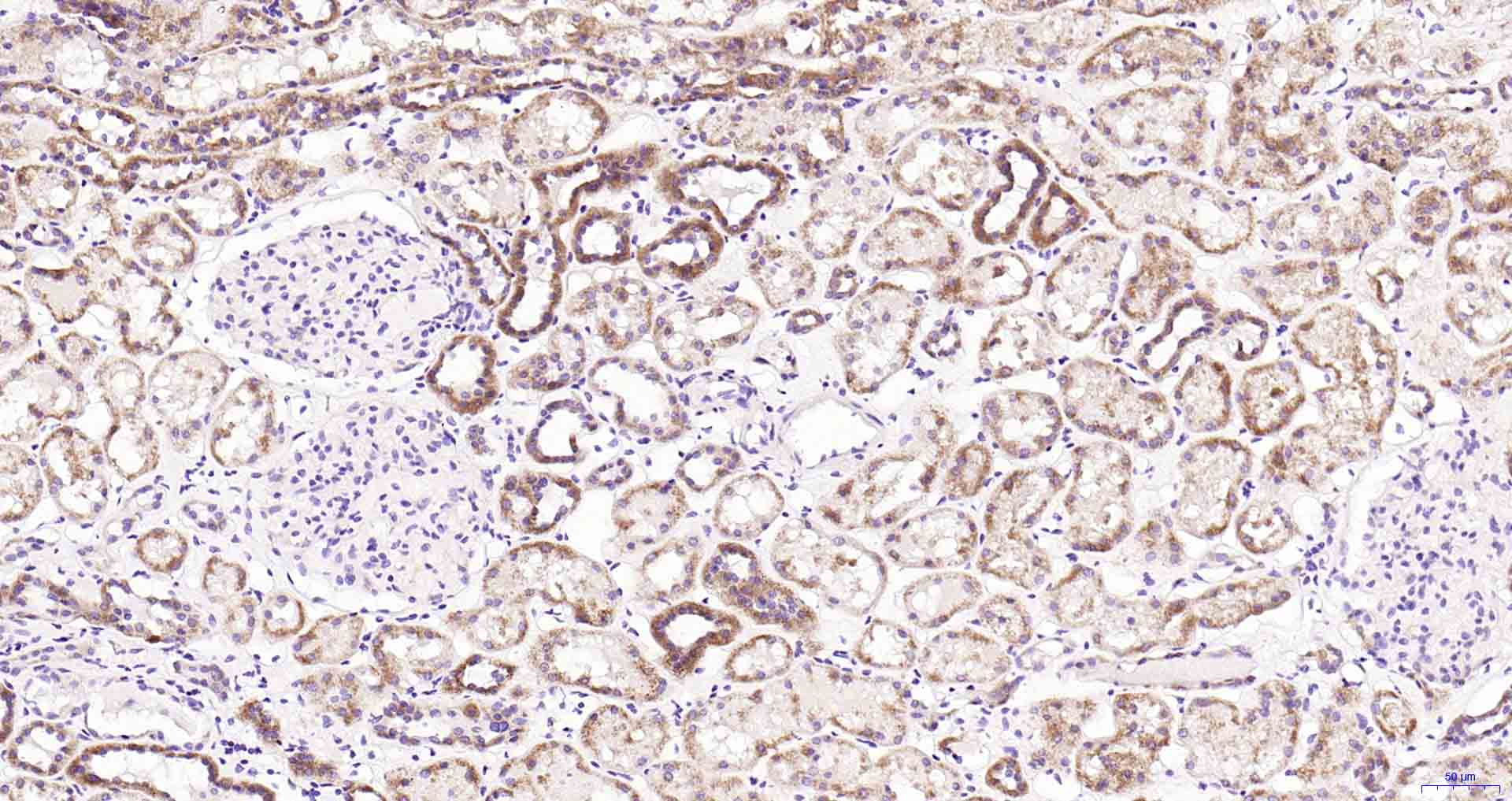
Paraformaldehyde-fixed, paraffin embedded Human Kidney; Antigen retrieval by boiling in sodium citrate buffer (pH6.0) for 15 min; Antibody incubation with ULK1 Monoclonal Antibody, Unconjugated(bsm-61039R) at 1:100 overnight at 4°C, followed by conjugation to the SP Kit(Rabbit, SP-0023) and DAB (C-0010) staining.
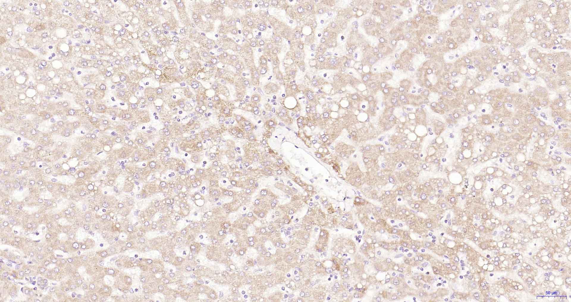
Paraformaldehyde-fixed, paraffin embedded Human Liver; Antigen retrieval by boiling in sodium citrate buffer (pH6.0) for 15 min; Antibody incubation with ULK1 Monoclonal Antibody, Unconjugated(bsm-61039R) at 1:100 overnight at 4°C, followed by conjugation to the SP Kit(Rabbit, SP-0023) and DAB (C-0010) staining.
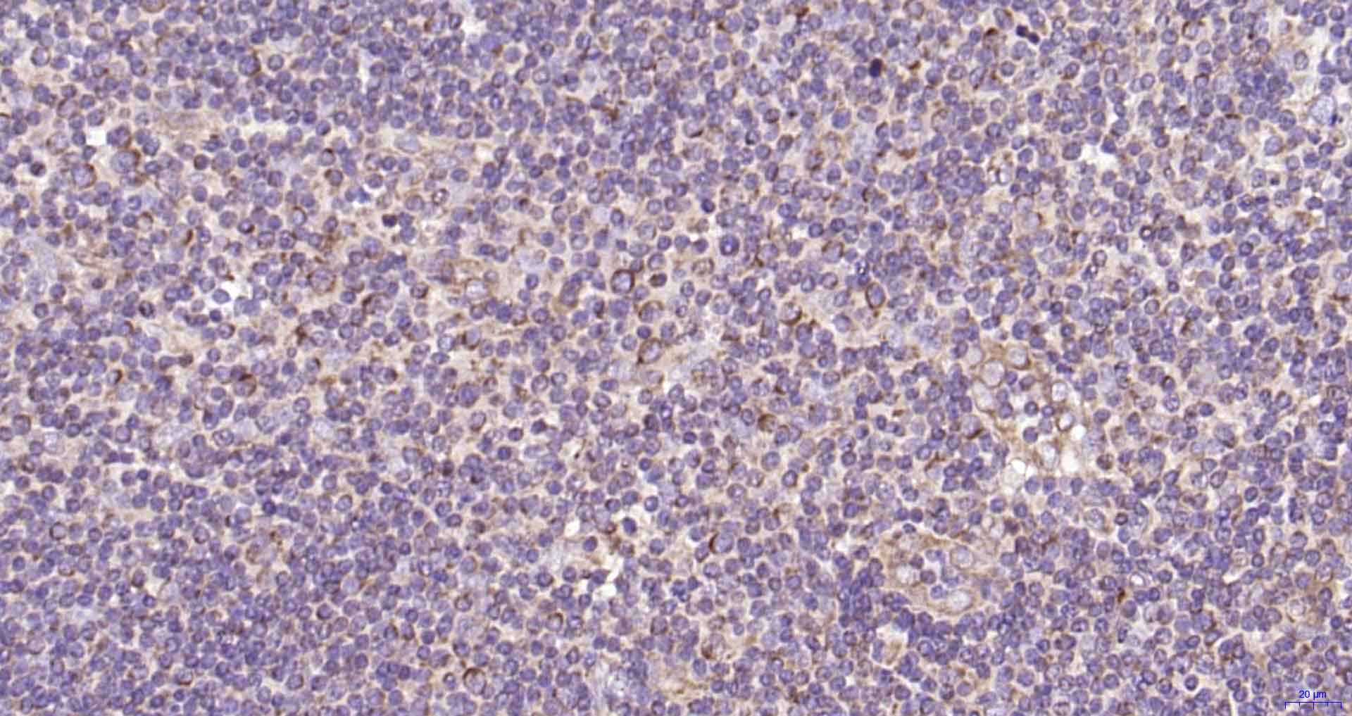
Paraformaldehyde-fixed, paraffin embedded Human Tonsil; Antigen retrieval by boiling in sodium citrate buffer (pH6.0) for 15 min; Antibody incubation with ULK1 Monoclonal Antibody, Unconjugated(bsm-61039R) at 1:100 overnight at 4°C, followed by conjugation to the SP Kit(Rabbit, SP-0023) and DAB (C-0010) staining.
Paraformaldehyde-fixed, paraffin embedded Rat Pancreas; Antigen retrieval by boiling in sodium citrate buffer (pH6.0) for 15 min; Antibody incubation with ULK1 Monoclonal Antibody, Unconjugated(bsm-61039R) at 1:100 overnight at 4°C, followed by conjugation to the SP Kit(Rabbit, SP-0023) and DAB (C-0010) staining.
Paraformaldehyde-fixed, paraffin embedded Rat Heart; Antigen retrieval by boiling in sodium citrate buffer (pH6.0) for 15 min; Antibody incubation with ULK1 Monoclonal Antibody, Unconjugated(bsm-61039R) at 1:100 overnight at 4°C, followed by conjugation to the SP Kit(Rabbit, SP-0023) and DAB (C-0010) staining.
Paraformaldehyde-fixed, paraffin embedded Rat Spleen; Antigen retrieval by boiling in sodium citrate buffer (pH6.0) for 15 min; Antibody incubation with ULK1 Monoclonal Antibody, Unconjugated(bsm-61039R) at 1:100 overnight at 4°C, followed by conjugation to the SP Kit(Rabbit, SP-0023) and DAB (C-0010) staining.
版权所有 2004-2026 www.bioss.com.cn 北京博奥森生物技术有限公司
通过国际质量管理体系ISO 9001:2015 GB/T 19001-2016    证书编号: 00124Q34771R2M/1100
通过国际医疗器械-质量管理体系ISO 13485:2016 GB/T 42061-2022     证书编号: CQC24QY20047R0M/1100
京ICP备05066980号-1         京公网安备110107000727号