扫码关注公众号           扫码咨询技术支持           扫码咨询技术服务
  
客服热线:400-901-9800  客服QQ:4009019800  技术答疑  技术支持  质量反馈  关于我们  联系我们
产品中心-北京博奥森生物技术有限公司
首页 > 产品中心 > 一抗 > 产品信息
Collagen VI Recombinant Rabbit mAb (bsm-61026R)  
订购热线:400-901-9800
订购邮箱:sales@bioss.com.cn
订购QQ:  400-901-9800
技术支持:techsupport@bioss.com.cn
25ul/800.00元
50ul/1400.00元
100ul/2500.00元
大包装/询价

产品编号 bsm-61026R
英文名称 Collagen VI Recombinant Rabbit mAb
中文名称 6型胶原重组兔单抗
别    名 CO6A1_HUMAN; COL6A1; COL6A2; COL6A3; Collagen alpha 1(VI) chain; Collagen alpha 1(VI) chain precursor; Collagen alpha-1(VI) chain; Collagen type VI alpha 1; Collagen type VI alpha 2; Collagen type VI alpha 3; Collagen VI alpha 1 polypeptide; Collagen VI alpha 2 polypeptide; Collagen VI alpha 3 polypeptide; CollagenVI; Human mRNA for collagen VI alpha 1 C terminal globular domain; OPLL; PP3610.  
抗体来源 Rabbit
克隆类型 Recombinant
克 隆 号 4D10
交叉反应 Human,Mouse,Rat
产品应用 WB=1:1000-5000,IHC-P=1:200-800,IHC-F=1:200-800,IF=1:200-800
not yet tested in other applications.
optimal dilutions/concentrations should be determined by the end user.
理论分子量 106 kDa
检测分子量
细胞定位 细胞浆 
性    状 Liquid
免 疫 原 A synthesized peptide derived from human Collagen VI: 15-250 
亚    型 IgG
纯化方法 affinity purified by Protein A
缓 冲 液 0.01M TBS(pH7.4) with 1% BSA, 0.02% Proclin300 and 50% Glycerol.
保存条件 Shipped at 4℃. Store at -20 °C for one year. Avoid repeated freeze/thaw cycles.
注意事项 This product as supplied is intended for research use only, not for use in human, therapeutic or diagnostic applications.
PubMed PubMed
产品介绍

The collagens are a superfamily of proteins that play a role in maintaining the integrity of various tissues. Collagens are extracellular matrix proteins and have a triple-helical domain as their common structural element. Collagen VI is a major structural component of microfibrils. The basic structural unit of collagen VI is a heterotrimer of the alpha1(VI), alpha2(VI), and alpha3(VI) chains. The alpha2(VI) and alpha3(VI) chains are encoded by the COL6A2 and COL6A3 genes, respectively. The protein encoded by this gene is the alpha 1 subunit of type VI collagen (alpha1(VI) chain). Mutations in the genes that code for the collagen VI subunits result in the autosomal dominant disorder, Bethlem myopathy. [provided by RefSeq, Jul 2008]




Function:
Collagen VI acts as a cell-binding protein.

Subunit:
Trimers composed of three different chains: alpha-1(VI), alpha-2(VI), and alpha-3(VI) or alpha-5(VI) or alpha-6(VI).

Subcellular Location:
Secreted, extracellular space, extracellular matrix (By similarity).

Tissue Specificity:
Prolines at the third position of the tripeptide repeating unit (G-X-Y) are hydroxylated in some or all of the chains.

DISEASE:
Bethlem myopathy (BM) [MIM:158810]: A benign autosomal dominant proximal myopathy characterized by early childhood onset and joint contractures most frequently affecting the elbows and ankles. Note=The disease is caused by mutations affecting the gene represented in this entry. Ullrich congenital muscular dystrophy (UCMD) [MIM:254090]: UCMD is a congenital myopathy characterized by muscle weakness and multiple joint contractures, generally noted at birth or early infancy. The clinical course is more severe than in Bethlem myopathy. Note=The disease is caused by mutations affecting the gene represented in this entry.

Similarity:
Belongs to the type VI collagen family. Contains 3 VWFA domains.

SWISS:
P12111

Gene ID:
1293

Database links:

Entrez Gene: 1291 Human

Entrez Gene: 1292 Human

Entrez Gene: 1293 Human

Entrez Gene: 12833 Mouse

Entrez Gene: 12834 Mouse

Entrez Gene: 12835 Mouse

Entrez Gene: 294337 Rat

Entrez Gene: 361821 Rat

Omim: 120220 Human

Omim: 120240 Human

Omim: 120250 Human

SwissProt: P12109 Human

SwissProt: P12110 Human

SwissProt: P12111 Human

SwissProt: Q02788 Mouse

SwissProt: Q04857 Mouse

Unigene: 474053 Human

Unigene: 2509 Mouse

Unigene: 232118 Rat



产品图片
25 ug total protein per lane of various lysates (see on figure) probed with Collagen VI monoclonal antibody, unconjugated (bsm-61026R) at 1:1000 dilution and 4°C overnight incubation. Followed by conjugated secondary antibody incubation at r.t. for 60 min.
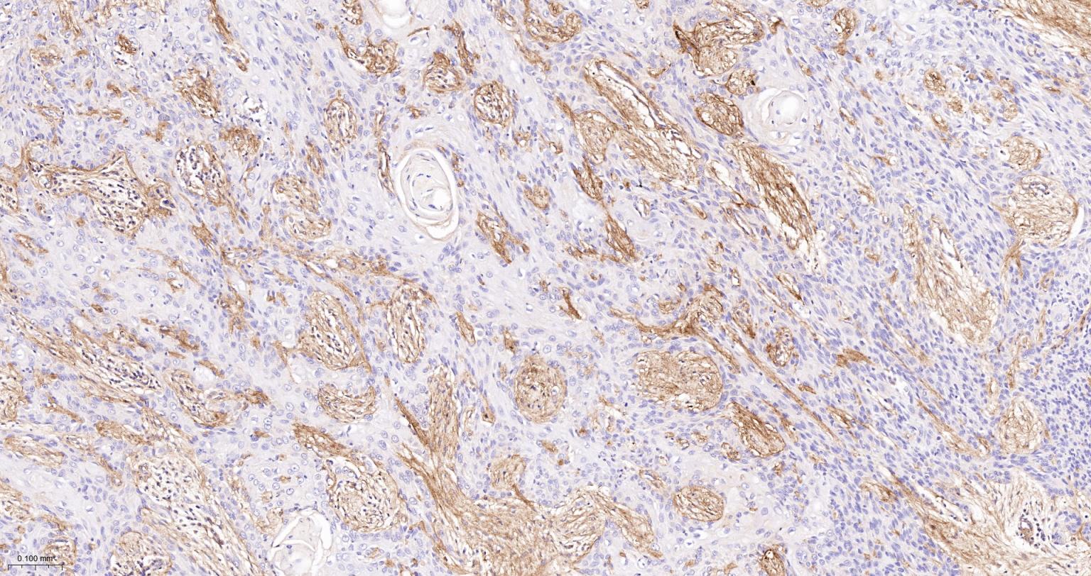
Paraformaldehyde-fixed, paraffin embedded Human Esophageal Cancer; Antigen retrieval by boiling in sodium citrate buffer (pH6.0) for 15 min; The section was incubated with Collagen VI Monoclonal Antibody, Unconjugated (bsm-61026R) at 1:200 overnight at 4°C, followed by conjugation to the bs-0295G-HRP and DAB (C-0010) staining.
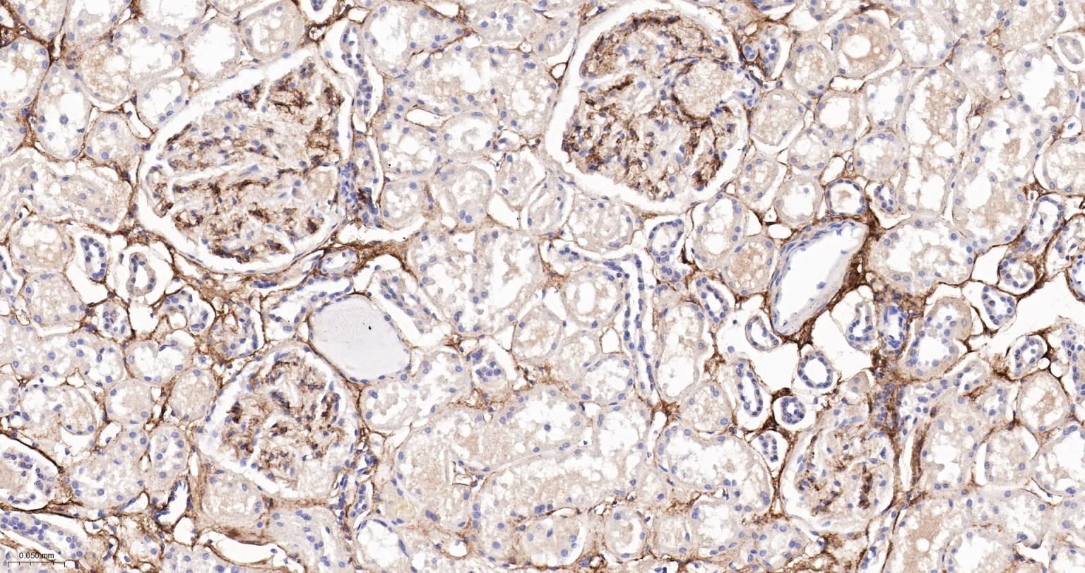
Paraformaldehyde-fixed, paraffin embedded Human Kidney; Antigen retrieval by boiling in sodium citrate buffer (pH6.0) for 15 min; The section was incubated with Collagen VI Monoclonal Antibody, Unconjugated (bsm-61026R) at 1:200 overnight at 4°C, followed by conjugation to the bs-0295G-HRP and DAB (C-0010) staining.
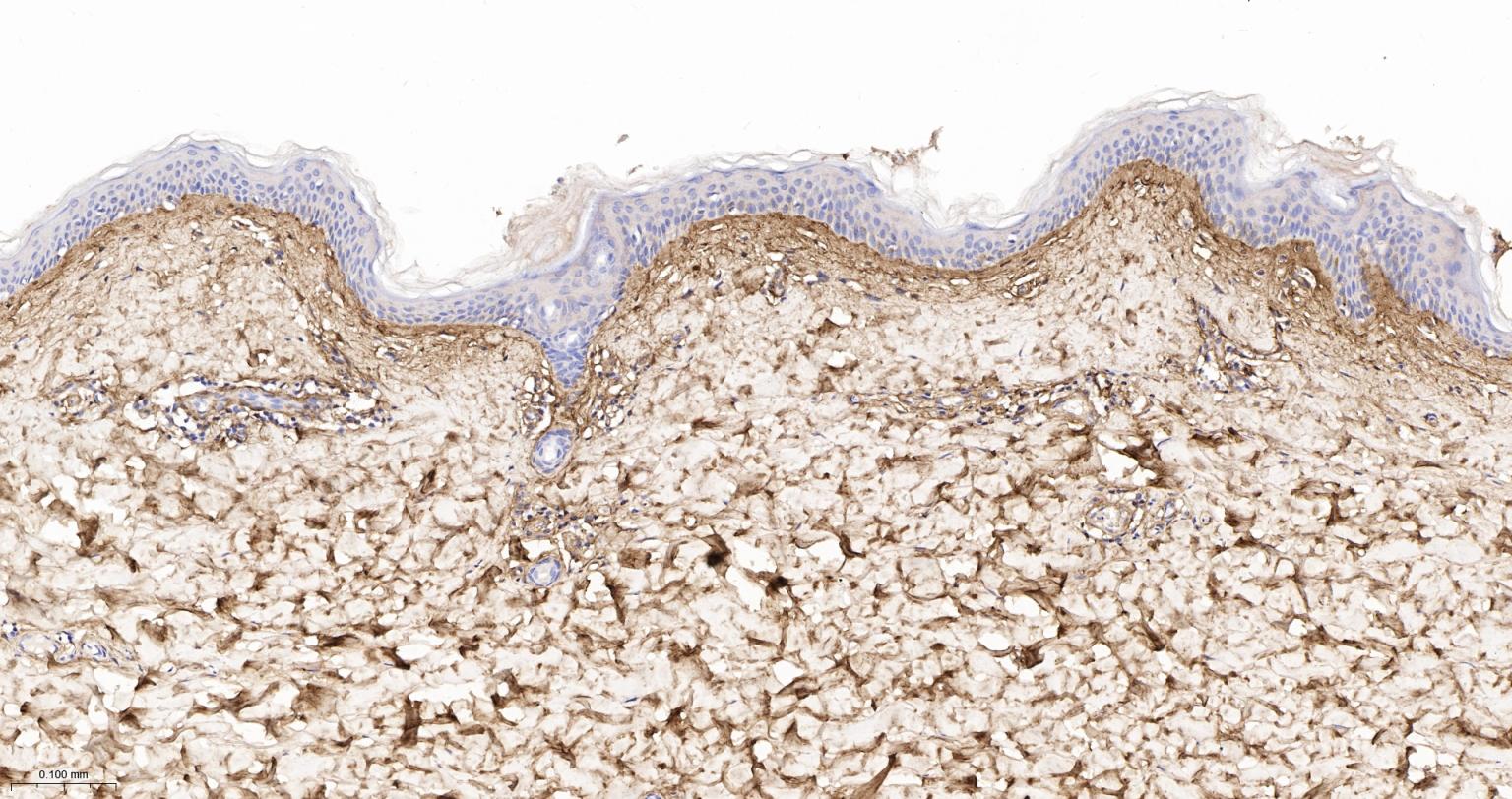
Paraformaldehyde-fixed, paraffin embedded Rat Skin; Antigen retrieval by boiling in sodium citrate buffer (pH6.0) for 15 min; The section was incubated with Collagen VI Monoclonal Antibody, Unconjugated (bsm-61026R) at 1:200 overnight at 4°C, followed by conjugation to the bs-0295G-HRP and DAB (C-0010) staining.
Paraformaldehyde-fixed, paraffin embedded Mouse Skin; Antigen retrieval by boiling in sodium citrate buffer (pH6.0) for 15 min; The section was incubated with Collagen VI Monoclonal Antibody, Unconjugated (bsm-61026R) at 1:200 overnight at 4°C, followed by conjugation to the bs-0295G-HRP and DAB (C-0010) staining.
Paraformaldehyde-fixed, paraffin embedded Human Heart; Antigen retrieval by boiling in sodium citrate buffer (pH6.0) for 15 min; Antibody incubation with Collagen VI Monoclonal Antibody, Unconjugated(bsm-61026R) at 1:300 overnight at 4°C, followed by conjugation to the SP Kit(Rabbit, SP-0023) and DAB (C-0010) staining.
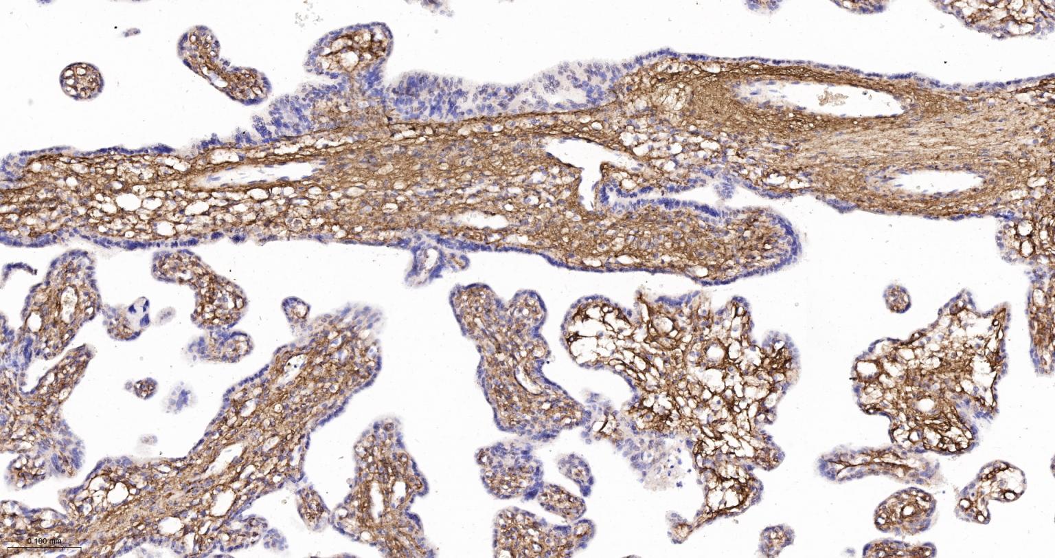
Paraformaldehyde-fixed, paraffin embedded Human Placenta; Antigen retrieval by boiling in sodium citrate buffer (pH6.0) for 15 min; Antibody incubation with Collagen VI Monoclonal Antibody, Unconjugated(bsm-61026R) at 1:300 overnight at 4°C, followed by conjugation to the SP Kit(Rabbit, SP-0023) and DAB (C-0010) staining.
Paraformaldehyde-fixed, paraffin embedded Human Esophagus; Antigen retrieval by boiling in sodium citrate buffer (pH6.0) for 15 min; Antibody incubation with Collagen VI Monoclonal Antibody, Unconjugated(bsm-61026R) at 1:300 overnight at 4°C, followed by conjugation to the SP Kit(Rabbit, SP-0023) and DAB (C-0010) staining.
Paraformaldehyde-fixed, paraffin embedded Rat Kidney; Antigen retrieval by boiling in sodium citrate buffer (pH6.0) for 15 min; The section was incubated with Collagen VI Monoclonal Antibody, Unconjugated (bsm-61026R) at 1:200 overnight at 4°C, followed by conjugation to the bs-0295G-HRP and DAB (C-0010) staining.
Paraformaldehyde-fixed, paraffin embedded Mouse Esophagus; Antigen retrieval by boiling in sodium citrate buffer (pH6.0) for 15 min; The section was incubated with Collagen VI Monoclonal Antibody, Unconjugated (bsm-61026R) at 1:200 overnight at 4°C, followed by conjugation to the bs-0295G-HRP and DAB (C-0010) staining.
Paraformaldehyde-fixed, paraffin embedded Human Skin; Antigen retrieval by boiling in sodium citrate buffer (pH6.0) for 15 min; The section was incubated with Collagen VI Monoclonal Antibody, Unconjugated (bsm-61026R) at 1:200 overnight at 4°C, followed by conjugation to the bs-0295G-HRP and DAB (C-0010) staining.
Paraformaldehyde-fixed, paraffin embedded Rat Skeletal muscle; Antigen retrieval by boiling in sodium citrate buffer (pH6.0) for 15 min; The section was incubated with Collagen VI Monoclonal Antibody, Unconjugated (bsm-61026R) at 1:200 overnight at 4°C, followed by conjugation to the bs-0295G-HRP and DAB (C-0010) staining.
Paraformaldehyde-fixed, paraffin embedded Mouse Skeletal muscle; Antigen retrieval by boiling in sodium citrate buffer (pH6.0) for 15 min; The section was incubated with Collagen VI Monoclonal Antibody, Unconjugated (bsm-61026R) at 1:200 overnight at 4°C, followed by conjugation to the bs-0295G-HRP and DAB (C-0010) staining.
版权所有 2004-2026 www.bioss.com.cn 北京博奥森生物技术有限公司
通过国际质量管理体系ISO 9001:2015 GB/T 19001-2016    证书编号: 00124Q34771R2M/1100
通过国际医疗器械-质量管理体系ISO 13485:2016 GB/T 42061-2022     证书编号: CQC24QY20047R0M/1100
京ICP备05066980号-1         京公网安备110107000727号