扫码关注公众号           扫码咨询技术支持           扫码咨询技术服务
  
客服热线:400-901-9800  客服QQ:4009019800  技术答疑  技术支持  质量反馈  人才招聘  关于我们  联系我们
产品中心-北京博奥森生物技术有限公司
首页 > 产品中心 > 一抗 > 产品信息
APPL1 Recombinant Rabbit mAb (bsm-61064R)  
订购热线:400-901-9800
订购邮箱:sales@bioss.com.cn
订购QQ:  400-901-9800
技术支持:techsupport@bioss.com.cn
25ul/800.00元
50ul/1400.00元
100ul/2500.00元
大包装/询价

产品编号 bsm-61064R
英文名称 APPL1 Recombinant Rabbit mAb
中文名称 衔接因子蛋白含pH域蛋白1重组兔单抗
别    名 APPL; DIP13alpha; MODY14; 2900057D21Rik; 7330406P05Rik; DIP13; RGD1309388; DP13A_HUMAN; APPL1; Dip13-alpha; Adapter protein containing PH domain, PTB domain and leucine zipper motif 1; DIP13A; KIAA1428; DP13A_MOUSE;   
抗体来源 Rabbit
克隆类型 Recombinant
克 隆 号 6F1
交叉反应 Human,Mouse,Rat
产品应用 WB=1:500-2000,IHC-P=1:100-500,IHC-F=1:100-500,IF=1:100-500
not yet tested in other applications.
optimal dilutions/concentrations should be determined by the end user.
理论分子量 80 kDa
检测分子量 80
细胞定位 细胞核 细胞浆 细胞膜 
性    状 Liquid
浓    度 1mg/ml
免 疫 原 A synthesized peptide derived from human Dip13 alpha: 400-450/709 
亚    型
纯化方法 affinity purified by Protein A
缓 冲 液 0.01M TBS(pH7.4) with 1% BSA, 0.02% Proclin300 and 50% Glycerol.
保存条件 Shipped at 4℃. Store at -20 °C for one year. Avoid repeated freeze/thaw cycles.
注意事项 This product as supplied is intended for research use only, not for use in human, therapeutic or diagnostic applications.
PubMed PubMed
产品介绍 The protein encoded by this gene has been shown to be involved in the regulation of cell proliferation, and in the crosstalk between the adiponectin signalling and insulin signalling pathways. The encoded protein binds many other proteins, including RAB5A, DCC, AKT2, PIK3CA, adiponectin receptors, and proteins of the NuRD/MeCP1 complex. This protein is found associated with endosomal membranes, but can be released by EGF and translocated to the nucleus. [provided by RefSeq, Jul 2008]

Function:
Required for the regulation of cell proliferation in response to extracellular signals from an early endosomal compartment. Links Rab5 to nuclear signal transduction.

Subunit:
Binds RAB5A/Rab5 through an N-terminal domain. This interaction is essential for its recruitment to endosomal membranes as well as its role in cell proliferation. Binds DCC and the catalytic domain of the inactive form of AKT2 through its PID domain. Binds PIK3CA and subunits of the NuRD/MeCP1 complex. Interacts with OCRL and INPP5B.

Subcellular Location:
Early endosome membrane; Peripheral membrane protein. Nucleus. Note=Early endosomal membrane-bound and nuclear. Translocated into the nucleus upon release from endosomal membranes following internalization of EGF.

Tissue Specificity:
High levels in heart, ovary, pancreas and skeletal muscle.

Post-translational modifications:
Phosphorylated upon DNA damage, probably by ATM or ATR. Phosophorylation at Ser-410 by PKA severely impairs binding to OCRL.

Similarity:
Contains 1 PH domain. Contains 1 PID domain.

Database links:

Entrez Gene: 26060 Human

Entrez Gene: 72993 Mouse

Entrez Gene: 290537 Rat

Omim: 604299 Human

SwissProt: Q9UKG1 Human

SwissProt: Q8K3H0 Mouse

Unigene: 476415 Human

Unigene: 202322 Mouse



衔接因子蛋白含pH域磷酸酪氨酸结合域和亮氨酸拉链基元1抗体.
APPL1可调节脂联素和胰岛素信号,是细胞膜与细胞核之间重要的信息传递蛋白,同时也是细胞增殖所必需的蛋白,它有调节脂联素在脂肪酸氧化和葡萄糖吸收中的作用,APPL1通过激酶通道来调节脂联素的胰岛素敏感效应。
产品图片
25 ug total protein per lane of various lysates (see on figure) probed with APPL1 monoclonal antibody, unconjugated (bsm-61064R) at 1:1000 dilution and 4°C overnight incubation. Followed by conjugated secondary antibody incubation at r.t. for 60 min.
Paraformaldehyde-fixed, paraffin embedded Human Cerebrum; Antigen retrieval by boiling in sodium citrate buffer (pH6.0) for 15 min; Antibody incubation with APPL1 Monoclonal Antibody, Unconjugated(bsm-61064R) at 1:250 overnight at 4°C, followed by conjugation to the SP Kit (Rabbit, SP-0023) and DAB (C-0010) staining.
Paraformaldehyde-fixed, paraffin embedded Rat Cerebrum; Antigen retrieval by boiling in sodium citrate buffer (pH6.0) for 15 min; Antibody incubation with APPL1 Monoclonal Antibody, Unconjugated(bsm-61064R) at 1:250 overnight at 4°C, followed by conjugation to the SP Kit (Rabbit, SP-0023) and DAB (C-0010) staining.
Paraformaldehyde-fixed, paraffin embedded Mouse Cerebrum; Antigen retrieval by boiling in sodium citrate buffer (pH6.0) for 15 min; Antibody incubation with APPL1 Monoclonal Antibody, Unconjugated(bsm-61064R) at 1:250 overnight at 4°C, followed by conjugation to the SP Kit (Rabbit, SP-0023) and DAB (C-0010) staining.
Paraformaldehyde-fixed, paraffin embedded Human Lung; Antigen retrieval by boiling in sodium citrate buffer (pH6.0) for 15 min; Antibody incubation with APPL1 Monoclonal Antibody, Unconjugated(bsm-61064R) at 1:250 overnight at 4°C, followed by conjugation to the SP Kit (Rabbit, SP-0023) and DAB (C-0010) staining.
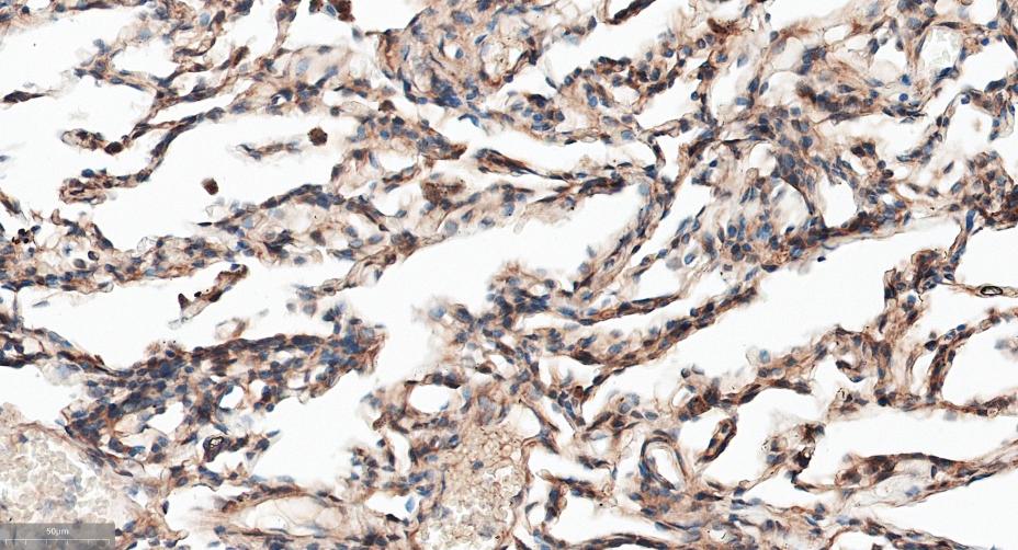
Paraformaldehyde-fixed, paraffin embedded Mouse Lung; Antigen retrieval by boiling in sodium citrate buffer (pH6.0) for 15 min; Antibody incubation with APPL1 Monoclonal Antibody, Unconjugated(bsm-61064R) at 1:250 overnight at 4°C, followed by conjugation to the SP Kit (Rabbit, SP-0023) and DAB (C-0010) staining.
版权所有 2004-2026 www.bioss.com.cn 北京博奥森生物技术有限公司
通过国际质量管理体系ISO 9001:2015 GB/T 19001-2016    证书编号: 00124Q34771R2M/1100
通过国际医疗器械-质量管理体系ISO 13485:2016 GB/T 42061-2022     证书编号: CQC24QY20047R0M/1100
京ICP备05066980号-1         京公网安备110107000727号