扫码关注公众号           扫码咨询技术支持           扫码咨询技术服务
  
客服热线:400-901-9800  客服QQ:4009019800  技术答疑  技术支持  质量反馈  人才招聘  关于我们  联系我们
产品中心-北京博奥森生物技术有限公司
首页 > 产品中心 > 一抗 > 产品信息
UPK3A Recombinant Rabbit mAb (bsm-61004R)  
订购热线:400-901-9800
订购邮箱:sales@bioss.com.cn
订购QQ:  400-901-9800
技术支持:techsupport@bioss.com.cn
25ul/800.00元
50ul/1400.00元
100ul/2500.00元
大包装/询价

产品编号 bsm-61004R
英文名称 UPK3A Recombinant Rabbit mAb
中文名称 尿路上皮特异蛋白3重组兔单抗
别    名 UP3A; UPIII; UPIIIA; UPK3; UPK3A_HUMAN; UPK3A; Uroplakin III (UPIII); Q32N05_HUMAN;   
抗体来源 Rabbit
克隆类型 Recombinant
克 隆 号 19A15
交叉反应 Human,Mouse
产品应用 IHC-P=1:100-500,IHC-F=1:100-500,IF=1:100-500
not yet tested in other applications.
optimal dilutions/concentrations should be determined by the end user.
理论分子量 29 kDa
细胞定位 细胞膜 
性    状 Liquid
浓    度 1mg/ml
免 疫 原 A synthesized peptide derived from human Uroplakin 3a: 220-287/287 
亚    型 IgG
纯化方法 affinity purified by Protein A
缓 冲 液 0.01M TBS(pH7.4) with 1% BSA, 0.02% Proclin300 and 50% Glycerol.
保存条件 Shipped at 4℃. Store at -20 °C for one year. Avoid repeated freeze/thaw cycles.
注意事项 This product as supplied is intended for research use only, not for use in human, therapeutic or diagnostic applications.
PubMed PubMed
产品介绍 The asymmetric unit membrane (AUM) forms numerous plaques, which cover the apical surface of the urothelium. These plaques are thought to strengthen the urothelium and reduce the risk of rupturing during ladder distention. They are composed of four major integral membrane proteins called uroplakins (UP). The uroplakin family comprises UPIa, UPIb, UPII, and UPIII. Family members are conserved among several species, including human, mouse, rat, rabbit, dog, pig and sheep. UPIa and UPIb form tightly packed structures with UPII and UPIII, respectively. This pairing is required for normal urothelial plaque formation and is regulated by proteolytic processing of the uroplakin proteins. Uroplakins are expressed in normal urothelium and are used as specific markers of urothelial differentiation. They are also expressed in a majority of transitional cell carcinomas of the bladder (TCCs), which make the uroplakins a useful marker for detecting bladder cancer metastasis and for staging and monitoring chemotherapeutic response.

Function:
Component of the asymmetric unit membrane (AUM); a highly specialized biomembrane elaborated by terminally differentiated urothelial cells. May play an important role in AUM-cytoskeleton interaction in terminally differentiated urothelial cells. It also contributes to the formation of urothelial glycocalyx which may play an important role in preventing bacterial adherence.

Subcellular Location:
Endoplasmic reticulum membrane. Heterodimer formation with UPK1B is a prerequisite to exit out of the endoplasmic reticulum (ER).

Tissue Specificity:
Expressed in ureter.

DISEASE:
Defects in UPK3A are a cause of renal adysplasia (RADYS) [MIM:191830]; also known as renal agenesis or renal aplasia. Renal agenesis refers to the absence of one (unilateral) or both (bilateral) kidneys at birth. Bilateral renal agenesis belongs to a group of perinatally lethal renal diseases, including severe bilateral renal dysplasia, unilateral renal agenesis with contralateral dysplasia and severe obstructive uropathy.

Similarity:
Belongs to the uroplakin-3 family.

Database links:

Entrez Gene: 7380 Human

Omim: 611559 Human

SwissProt: O75631 Human

SwissProt: Q32N05 Human

Unigene: 632787 Human



产品图片
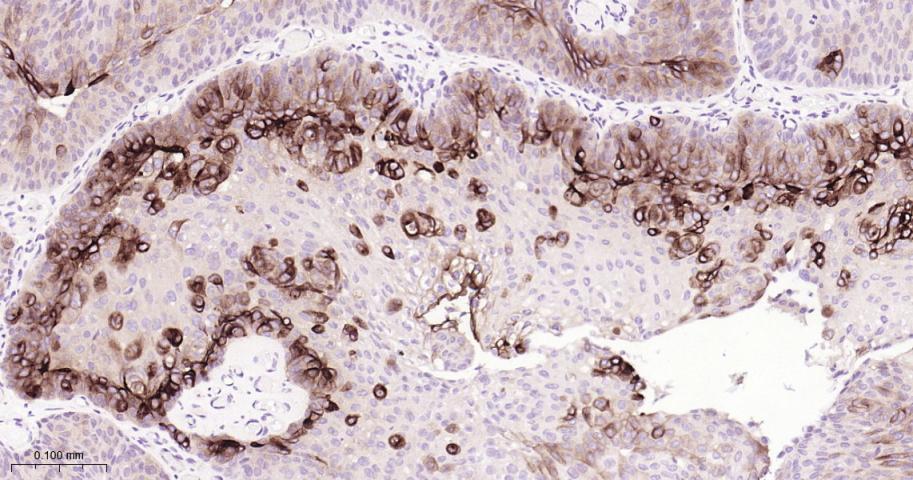
Paraformaldehyde-fixed, paraffin embedded Human Bladder; Antigen retrieval by boiling in sodium citrate buffer (pH6.0) for 15 min; Antibody incubation with UPK3A Monoclonal Antibody, Unconjugated(bsm-61004R) at 1:400 overnight at 4°C, followed by conjugation to the bs-0295G-HRP and DAB (C-0010) staining.
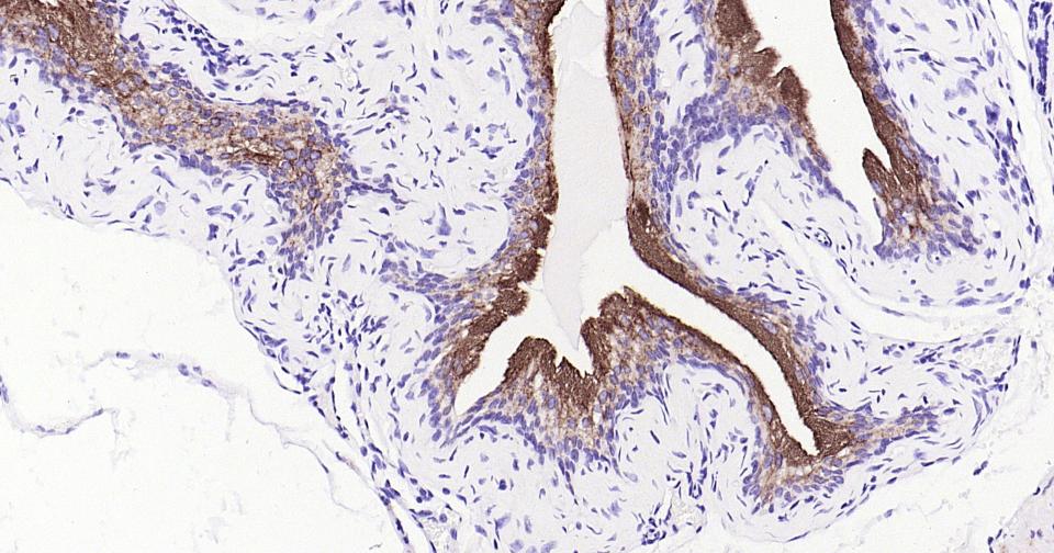
Paraformaldehyde-fixed, paraffin embedded Mouse Bladder; Antigen retrieval by boiling in sodium citrate buffer (pH6.0) for 15 min; Antibody incubation with UPK3A Monoclonal Antibody, Unconjugated(bsm-61004R) at 1:500 overnight at 4°C, followed by conjugation to the SP Kit (Rabbit, SP-0023) and DAB (C-0010) staining.
版权所有 2004-2026 www.bioss.com.cn 北京博奥森生物技术有限公司
通过国际质量管理体系ISO 9001:2015 GB/T 19001-2016    证书编号: 00124Q34771R2M/1100
通过国际医疗器械-质量管理体系ISO 13485:2016 GB/T 42061-2022     证书编号: CQC24QY20047R0M/1100
京ICP备05066980号-1         京公网安备110107000727号