扫码关注公众号           扫码咨询技术支持           扫码咨询技术服务
  
客服热线:400-901-9800  客服QQ:4009019800  技术答疑  技术支持  质量反馈  人才招聘  关于我们  联系我们
产品中心-北京博奥森生物技术有限公司
首页 > 产品中心 > 一抗 > 产品信息
eIF2B epsilon Recombinant Rabbit mAb (bsm-61011R)  
订购热线:400-901-9800
订购邮箱:sales@bioss.com.cn
订购QQ:  400-901-9800
技术支持:techsupport@bioss.com.cn
25ul/800.00元
50ul/1400.00元
100ul/2500.00元
大包装/询价

产品编号 bsm-61011R
英文名称 eIF2B epsilon Recombinant Rabbit mAb
中文名称 eIF2B蛋白重组兔单抗
别    名 CACH; CLE; EIF-2B; EIF2Bepsilon; LVWM; VWM5; EI2BE_HUMAN; EIF2B5; eIF2B GDP-GTP exchange factor subunit epsilon; EIF2BE; EI2BE_MOUSE; EI2BE_RAT;   
抗体来源 Rabbit
克隆类型 Recombinant
克 隆 号 4B15
交叉反应 Human
产品应用 WB=1:500-2000,IHC-P=1:100-500,IHC-F=1:100-500,IF=1:100-500
not yet tested in other applications.
optimal dilutions/concentrations should be determined by the end user.
理论分子量 80 kDa
检测分子量 80
细胞定位 细胞核 细胞浆 
性    状 Liquid
浓    度 1mg/ml
免 疫 原 A synthesized peptide derived from human eIF2B5: 1-44/721 
亚    型 IgG
纯化方法 affinity purified by Protein A
缓 冲 液 0.01M TBS(pH7.4) with 1% BSA, 0.02% Proclin300 and 50% Glycerol.
保存条件 Shipped at 4℃. Store at -20 °C for one year. Avoid repeated freeze/thaw cycles.
注意事项 This product as supplied is intended for research use only, not for use in human, therapeutic or diagnostic applications.
PubMed PubMed
产品介绍 This gene encodes one of five subunits of eukaryotic translation initiation factor 2B (EIF2B), a GTP exchange factor for eukaryotic initiation factor 2 and an essential regulator for protein synthesis. Mutations in this gene and the genes encoding other EIF2B subunits have been associated with leukoencephalopathy with vanishing white matter. [provided by RefSeq, Nov 2009]

Function:
Catalyzes the exchange of eukaryotic initiation factor 2-bound GDP for GTP.

Subunit:
Complex of five different subunits; alpha, beta, gamma, delta and epsilon. Interacts with RGS2.

Tissue Specificity:
Widely expressed. Not detected in lymphocytes.

Post-translational modifications:
Phosphorylated at Ser-544 by DYRK2; this is required for subsequent phosphorylation by GSK3B (By similarity). Phosphorylated on serine and threonine residues by GSK3B; phosphorylation inhibits its function. Polyubiquitinated, probably by NEDD4 (By similarity).

DISEASE:
Defects in EIF2B5 are a cause of leukodystrophy with vanishing white matter (VWM) [MIM:603896]. VWM is a leukodystrophy that occurs mainly in children. Neurological signs include progressive cerebellar ataxia, spasticity, inconstant optic atrophy and relatively preserved mental abilities. The disease is chronic-progressive with, in most individuals, additional episodes of rapid deterioration following febrile infections or minor head trauma. While childhood onset is the most common form of the disorder, some severe forms are apparent at birth. A severe, early-onset form seen among the Cree and Chippewayan populations of Quebec and Manitoba is called Cree leukoencephalopathy. Milder forms may not become evident until adolescence or adulthood. Some females with milder forms of the disease who survive to adolescence exhibit ovarian dysfunction. This variant of the disorder is called ovarioleukodystrophy.

Similarity:
Belongs to the eIF-2B gamma/epsilon subunits family. Contains 1 W2 domain.

Database links:

Entrez Gene: 8893 Human

Entrez Gene: 224045 Mouse

Entrez Gene: 192234 Rat

Omim: 603945 Human

SwissProt: Q13144 Human

SwissProt: Q8CHW4 Mouse

SwissProt: Q64350 Rat

Unigene: 283551 Human

Unigene: 233855 Mouse

Unigene: 10607 Rat



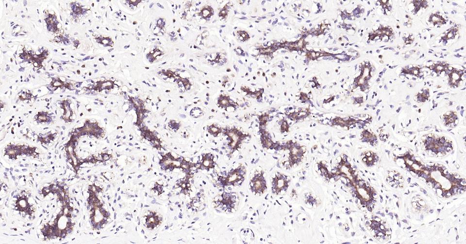
产品图片
25 ug total protein per lane of various lysates (see on figure) probed with eIF2B epsilon monoclonal antibody, unconjugated (bsm-61011R) at 1:1000 dilution and 4°C overnight incubation. Followed by conjugated secondary antibody incubation at r.t. for 60 min.
Paraformaldehyde-fixed, paraffin embedded Human Breast; Antigen retrieval by boiling in sodium citrate buffer (pH6.0) for 15 min; Antibody incubation with eIF2B epsilon Monoclonal Antibody, Unconjugated(bsm-61011R) at 1:200 overnight at 4°C, followed by conjugation to the SP Kit (Rabbit, SP-0023) and DAB (C-0010) staining.
版权所有 2004-2026 www.bioss.com.cn 北京博奥森生物技术有限公司
通过国际质量管理体系ISO 9001:2015 GB/T 19001-2016    证书编号: 00124Q34771R2M/1100
通过国际医疗器械-质量管理体系ISO 13485:2016 GB/T 42061-2022     证书编号: CQC24QY20047R0M/1100
京ICP备05066980号-1         京公网安备110107000727号