扫码关注公众号           扫码咨询技术支持           扫码咨询技术服务
  
客服热线:400-901-9800  客服QQ:4009019800  技术答疑  技术支持  质量反馈  人才招聘  关于我们  联系我们
产品中心-北京博奥森生物技术有限公司
首页 > 产品中心 > 一抗 > 产品信息
WT1 Recombinant Rabbit mAb (bsm-60926R)  
订购热线:400-901-9800
订购邮箱:sales@bioss.com.cn
订购QQ:  400-901-9800
技术支持:techsupport@bioss.com.cn
25ul/800.00元
50ul/1400.00元
100ul/2500.00元
大包装/询价

产品编号 bsm-60926R
英文名称 WT1 Recombinant Rabbit mAb
中文名称 肾母细胞瘤蛋白重组兔单抗
别    名 AWT1; GUD; NPHS4; WAGR; WIT-2; WT-1; WT33; D630046I19Rik; WT1_HUMAN; WT1; WT1_MOUSE; WT1_RAT;   
抗体来源 Rabbit
克隆类型 Recombinant
克 隆 号 7C5
交叉反应 Human,Mouse
产品应用 WB=1:500-2000,IHC-P=1:500-1000,IHC-F=1:500-1000,IF=1:500-1000
not yet tested in other applications.
optimal dilutions/concentrations should be determined by the end user.
理论分子量 55 kDa
检测分子量 51-60
细胞定位 细胞核 细胞浆 
性    状 Liquid
浓    度 1mg/ml
免 疫 原 A synthesized peptide derived from human WT1: 60-250/449 
亚    型 IgG
纯化方法 affinity purified by Protein A
缓 冲 液 0.01M TBS(pH7.4) with 1% BSA, 0.02% Proclin300 and 50% Glycerol.
保存条件 Shipped at 4℃. Store at -20 °C for one year. Avoid repeated freeze/thaw cycles.
注意事项 This product as supplied is intended for research use only, not for use in human, therapeutic or diagnostic applications.
PubMed PubMed
产品介绍 Transcription factor that plays an important role in cellular development and cell survival. Regulates the expression of numerous target genes, including EPO. Plays an essential role for development of the urogenital system. Recognizes and binds to the DNA sequence 5'-CGCCCCCGC-3'. It has a tumor suppressor as well as an oncogenic role in tumor formation. Function may be isoform-specific: isoforms lacking the KTS motif may act as transcription factors. Isoforms containing the KTS motif may bind mRNA and play a role in mRNA metabolism or splicing. Isoform 1 has lower affinity for DNA, and can bind RNA.

Function:
Transcription factor that plays an important role in cellular development and cell survival. Regulates the expression of numerous target genes, including EPO. Plays an essential role for development of the urogenital system. Recognizes and binds to the DNA sequence 5'-CGCCCCCGC-3'. It has a tumor suppressor as well as an oncogenic role in tumor formation. Function may be isoform-specific: isoforms lacking the KTS motif may act as transcription factors. Isoforms containing the KTS motif may bind mRNA and play a role in mRNA metabolism or splicing. Isoform 1 has lower affinity for DNA, and can bind RNA.

Subunit:
Homodimer. Interacts with WTIP. Interacts with actively translating polysomes. Detected in nuclear ribonucleoprotein (mRNP) particles. Interacts with HNRNPU via the zinc-finger region. Interacts with U2AF2. Interacts with CITED2. Interacts with ZNF224 via the zinc-finger region. Interacts with WTAP and SRY. Interacts with FAM123B/WTX. Interacts with RBM4.

Subcellular Location:
Nucleus. Nucleus, nucleolus. Cytoplasm. Note=Shuttles between nucleus and cytoplasm. Isoform 1: Nucleus speckle. Isoform 4: Nucleus, nucleoplasm.

Tissue Specificity:
Expressed in the kidney and a subset of hematopoietic cells.

DISEASE:
Defects in WT1 are the cause of Frasier syndrome (FS) [MIM:136680]. FS is characterized by a slowly progressing nephropathy leading to renal failure in adolescence or early adulthood, male pseudohermaphroditism, and no Wilms tumor. As for histological findings of the kidneys, focal glomerular sclerosis is often observed. There is phenotypic overlap with Denys-Drash syndrome. Inheritance is autosomal dominant. Defects in WT1 are the cause of Wilms tumor 1 (WT1) [MIM:194070]. WT is an embryonal malignancy of the kidney that affects approximately 1 in 10'000 infants and young children. It occurs both in sporadic and hereditary forms. Defects in WT1 are the cause of Denys-Drash syndrome (DDS) [MIM:194080]. DDS is a typical nephropathy characterized by diffuse mesangial sclerosis, genital abnormalities, and/or Wilms tumor. There is phenotypic overlap with WAGR syndrome and Frasier syndrome. Inheritance is autosomal dominant, but most cases are sporadic.

Similarity:
Belongs to the EGR C2H2-type zinc-finger protein family. Contains 4 C2H2-type zinc fingers.

SWISS:
P19544

Gene ID:
7490

Database links:

Entrez Gene: 7490 Human

Entrez Gene: 22431 Mouse

Entrez Gene: 24883 Rat

Omim: 607102 Human

SwissProt: P19544 Human

SwissProt: P22561 Mouse

SwissProt: P49952 Rat

Unigene: 591980 Human

Unigene: 389339 Mouse

Unigene: 92531 Rat



产品图片
25 ug total protein per lane of various lysates (see on figure) probed with WT1 monoclonal antibody, unconjugated (bsm-60926R) at 1:1000 dilution and 4°C overnight incubation. Followed by conjugated secondary antibody incubation at r.t. for 60 min.
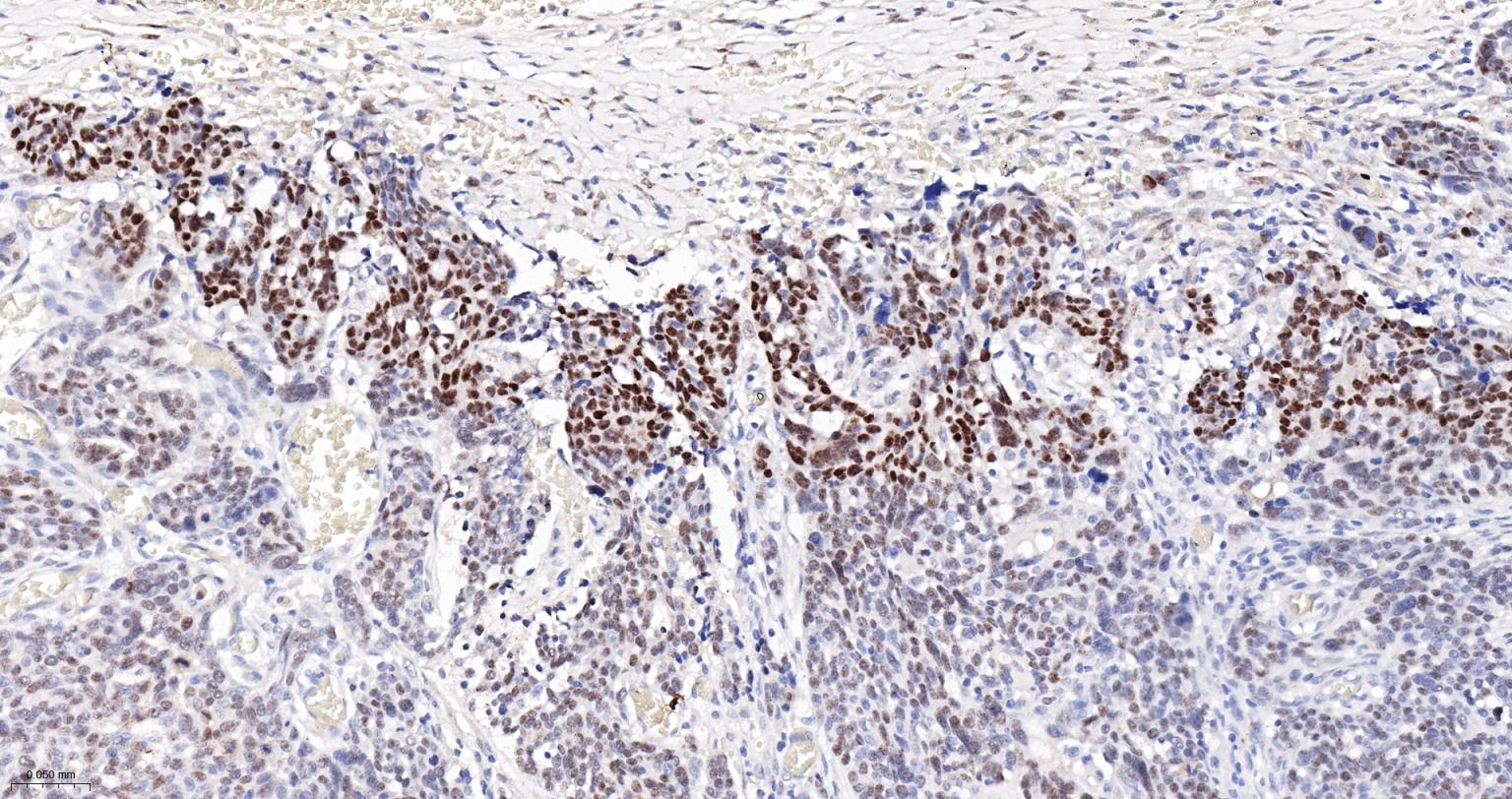
Paraformaldehyde-fixed, paraffin embedded Human serous fluid carcinoma of ovary; Antigen retrieval by boiling in sodium citrate buffer (pH6.0) for 15 min; The section was incubated with WT1 Monoclonal Antibody, Unconjugated (bsm-60926R) at 1:800 overnight at 4°C, followed by conjugation to the bs-0295G-HRP and DAB (C-0010) staining.
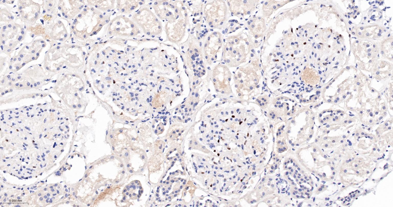
Paraformaldehyde-fixed, paraffin embedded Human Kidney; Antigen retrieval by boiling in sodium citrate buffer (pH6.0) for 15 min; Antibody incubation with WT1 Monoclonal Antibody, Unconjugated (bsm-60926R) at 1:800 overnight at 4°C, followed by conjugation to the bs-0295G-HRP and DAB (C-0010) staining.
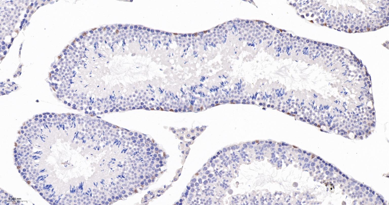
Paraformaldehyde-fixed, paraffin embedded Human Testicles; Antigen retrieval by boiling in sodium citrate buffer (pH6.0) for 15 min; Antibody incubation with WT1 Monoclonal Antibody, Unconjugated(bsm-60926R) at 1:800 overnight at 4°C, followed by conjugation to the SP Kit (Rabbit, SP-0023)and DAB (C-0010) staining.
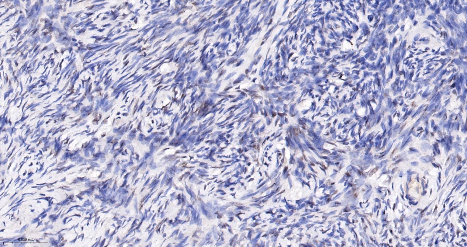
Paraformaldehyde-fixed, paraffin embedded Mouse Embryo; Antigen retrieval by boiling in sodium citrate buffer (pH6.0) for 15 min; Antibody incubation with WT1 Monoclonal Antibody, Unconjugated(bsm-60926R) at 1:800 overnight at 4°C, followed by conjugation to the SP Kit (Rabbit, SP-0023)and DAB (C-0010) staining.
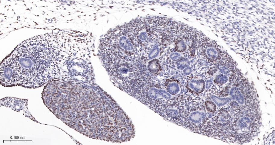
Paraformaldehyde-fixed, paraffin embedded Human Ovary; Antigen retrieval by boiling in sodium citrate buffer (pH6.0) for 15 min; The section was incubated with WT1 Monoclonal Antibody, Unconjugated (bsm-60926R) at 1:800 overnight at 4°C, followed by conjugation to the bs-0295G-HRP and DAB (C-0010) staining.
Paraformaldehyde-fixed, paraffin embedded Mouse Testicles; Antigen retrieval by boiling in sodium citrate buffer (pH6.0) for 15 min; The section was incubated with WT1 Monoclonal Antibody, Unconjugated (bsm-60926R) at 1:800 overnight at 4°C, followed by conjugation to the bs-0295G-HRP and DAB (C-0010) staining.
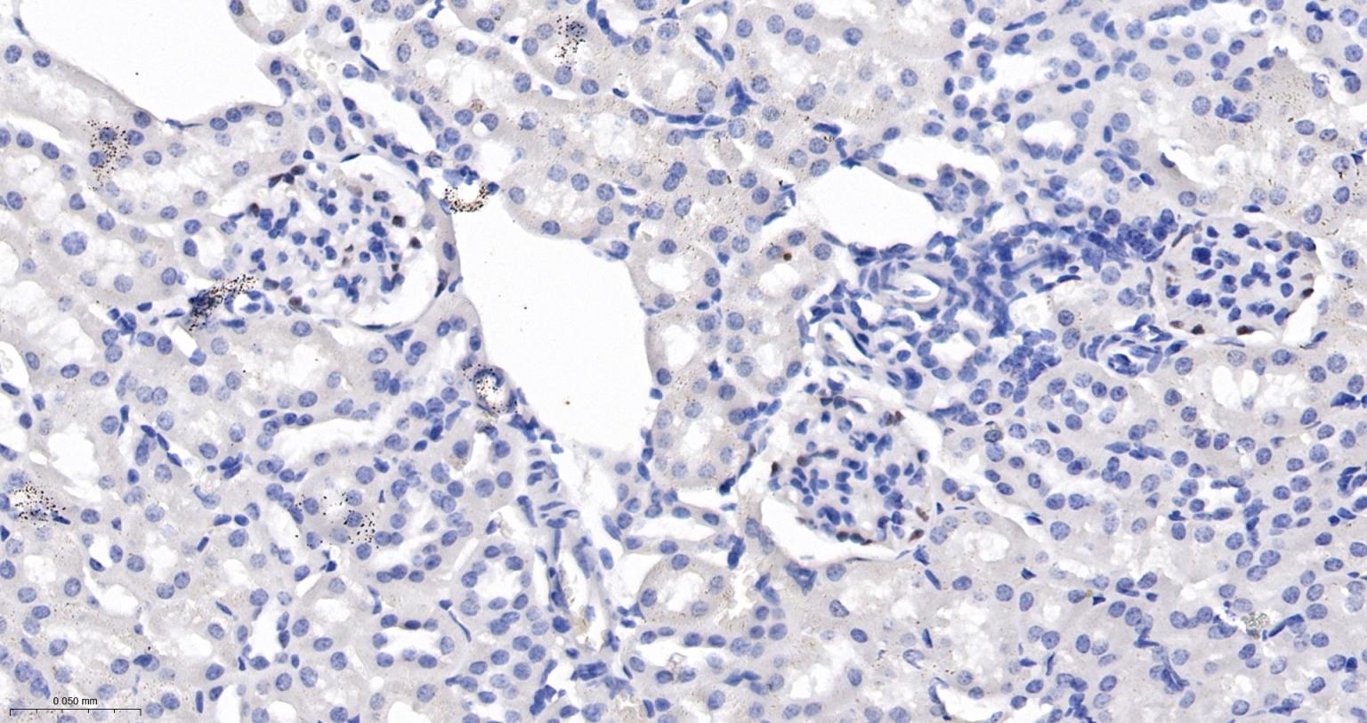
Paraformaldehyde-fixed, paraffin embedded Mouse Kidney; Antigen retrieval by boiling in sodium citrate buffer (pH6.0) for 15 min; Antibody incubation with WT1 Monoclonal Antibody, Unconjugated (bsm-60926R) at 1:800 overnight at 4°C, followed by conjugation to the bs-0295G-HRP and DAB (C-0010) staining.
版权所有 2004-2026 www.bioss.com.cn 北京博奥森生物技术有限公司
通过国际质量管理体系ISO 9001:2015 GB/T 19001-2016    证书编号: 00124Q34771R2M/1100
通过国际医疗器械-质量管理体系ISO 13485:2016 GB/T 42061-2022     证书编号: CQC24QY20047R0M/1100
京ICP备05066980号-1         京公网安备110107000727号