扫码关注公众号           扫码咨询技术支持           扫码咨询技术服务
  
客服热线:400-901-9800  客服QQ:4009019800  技术答疑  技术支持  质量反馈  人才招聘  关于我们  联系我们
产品中心-北京博奥森生物技术有限公司
首页 > 产品中心 > 一抗 > 产品信息
S100A4 Mouse mAb (bsm-60916M)  
订购热线:400-901-9800
订购邮箱:sales@bioss.com.cn
订购QQ:  400-901-9800
技术支持:techsupport@bioss.com.cn
50ul/1580.00元
100ul/2500.00元
大包装/询价

产品编号 bsm-60916M
英文名称 S100A4 Mouse mAb
中文名称 FSP-1单克隆抗体
别    名 MTS1; 18A2; 42A; CAPL; FSP1; P9KA; PEL98; metastasin; pk9a; RNP9KA; S10A4_BOVIN; S100A4; Placental calcium-binding protein homolog; S100 calcium-binding protein A4; S10A4_CANLF; S10A4_HUMAN; Calvasculin; Placental calcium-binding protein; Protein Mts1; S10A4_MOUSE; Metastatic cell protein; Protein 18A2; S10A4_RAT; Nerve growth factor-induced protein 42A; P9K;   
抗体来源 Mouse
克隆类型 Monoclonal
克 隆 号 9E12
交叉反应 Human
产品应用 IHC-P=1:50-200,IHC-F=1:50-200,IF=1:50-200
not yet tested in other applications.
optimal dilutions/concentrations should be determined by the end user.
理论分子量 12 kDa
细胞定位 细胞核 细胞外基质 
性    状 Liquid
浓    度 1mg/ml
免 疫 原 KLH conjugated synthetic peptide derived from human S100A4 
亚    型 IgG2a kappa
纯化方法 affinity purified by Protein G
缓 冲 液 0.01M TBS(pH7.4) with 1% BSA, 0.02% Proclin300 and 50% Glycerol.
保存条件 Shipped at 4℃. Store at -20 °C for one year. Avoid repeated freeze/thaw cycles.
注意事项 This product as supplied is intended for research use only, not for use in human, therapeutic or diagnostic applications.
PubMed PubMed
产品介绍 The protein encoded by this gene is a member of the S100 family of proteins containing 2 EF-hand calcium-binding motifs. S100 proteins are localized in the cytoplasm and/or nucleus of a wide range of cells, and involved in the regulation of a number of cellular processes such as cell cycle progression and differentiation. S100 genes include at least 13 members which are located as a cluster on chromosome 1q21. This protein may function in motility, invasion, and tubulin polymerization. Chromosomal rearrangements and altered expression of this gene have been implicated in tumor metastasis. Multiple alternatively spliced variants, encoding the same protein, have been identified. [provided by RefSeq, Jul 2008]

Subunit:
Homodimer. Interacts with PPFIBP1 in a calcium-dependent mode.

Tissue Specificity:
Ubiquitously expressed.

Similarity:
Belongs to the S-100 family. Contains 2 EF-hand domains.

SWISS:
P26447

Gene ID:
6275

Database links:

Entrez Gene: 282343 Cow

Entrez Gene: 403787 Dog

Entrez Gene: 6275 Human

Entrez Gene: 20198 Mouse

Entrez Gene: 24615 Rat

Omim: 114210 Human

SwissProt: P35466 Cow

SwissProt: Q9TV56 Dog

SwissProt: P26447 Human

SwissProt: P07091 Mouse

SwissProt: P05942 Rat

Unigene: 654444 Human

Unigene: 3925 Mouse

Unigene: 504 Rat



产品图片
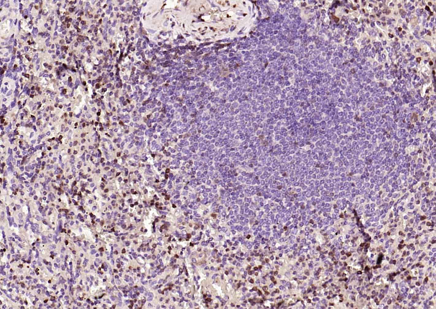
Paraformaldehyde-fixed, paraffin embedded (human tonsil); Antigen retrieval by boiling in sodium citrate buffer (pH6.0) for 15min; Block endogenous peroxidase by 3% hydrogen peroxide for 20 minutes; Blocking buffer (normal goat serum) at 37°C for 30min; Incubation with (S100A4) Monoclonal Antibody, Unconjugated (bsm-60916M) at 1:100 overnight at 4°C, followed by operating according to SP Kit(Mouse)(sp-0024)instructionsand DAB staining.
Paraformaldehyde-fixed, paraffin embedded (human gastric carcinoma); Antigen retrieval by boiling in sodium citrate buffer (pH6.0) for 15min; Block endogenous peroxidase by 3% hydrogen peroxide for 20 minutes; Blocking buffer (normal goat serum) at 37°C for 30min; Incubation with (S100A4) Monoclonal Antibody, Unconjugated (bsm-60916M) at 1:100 overnight at 4°C, followed by operating according to SP Kit(Mouse)(sp-0024)instructionsand DAB staining.
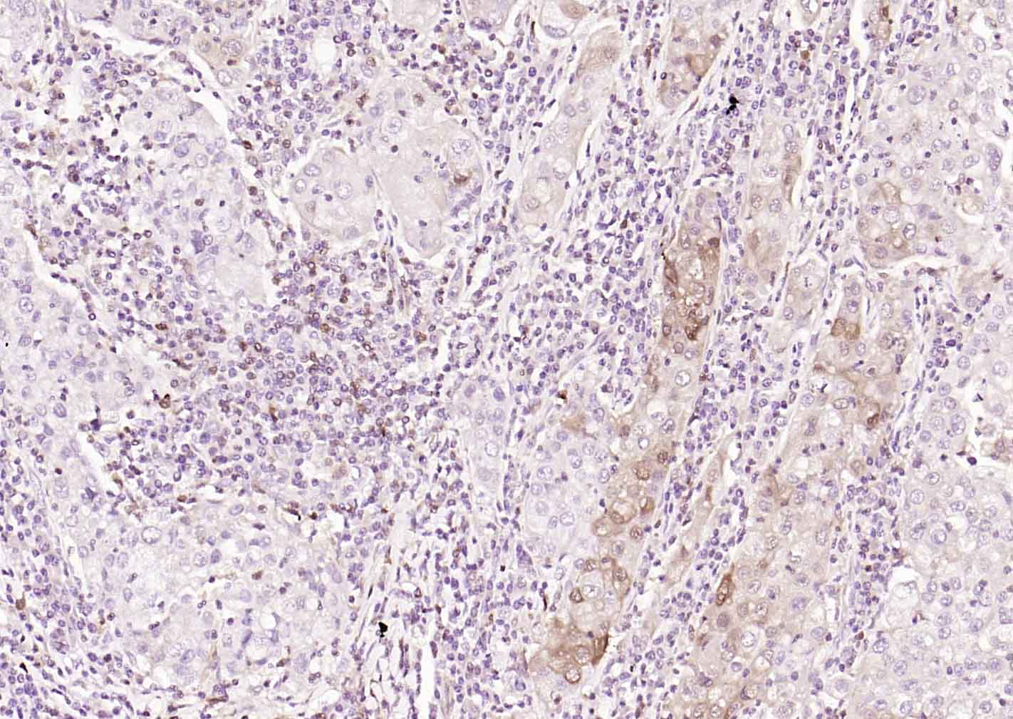
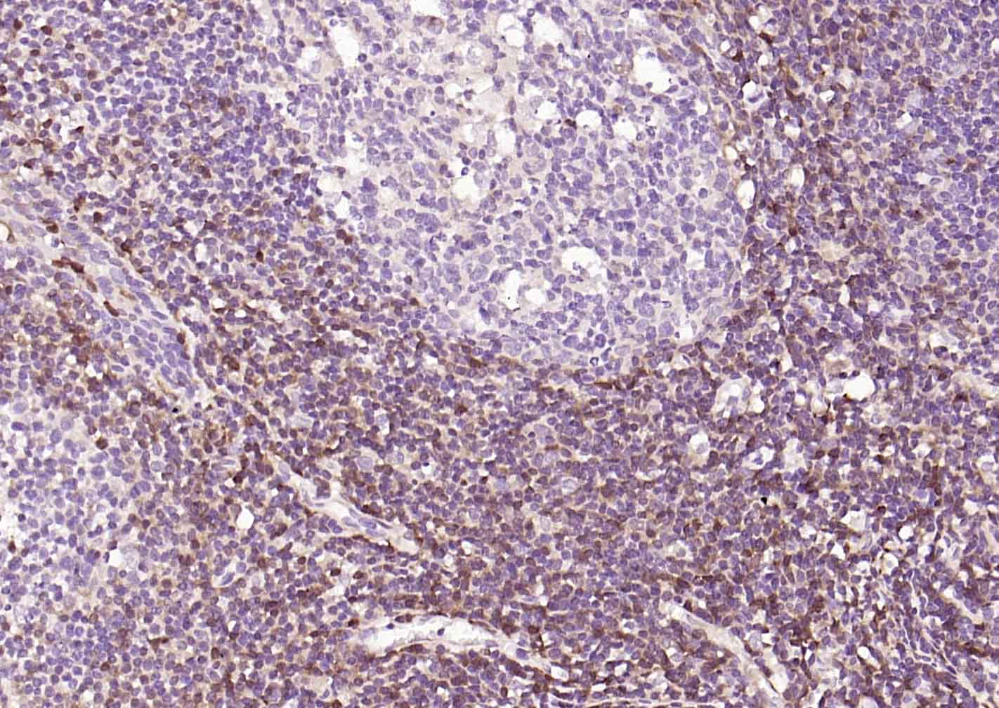
Paraformaldehyde-fixed, paraffin embedded (human spleen); Antigen retrieval by boiling in sodium citrate buffer (pH6.0) for 15min; Block endogenous peroxidase by 3% hydrogen peroxide for 20 minutes; Blocking buffer (normal goat serum) at 37°C for 30min; Incubation with (S100A4) Monoclonal Antibody, Unconjugated (bsm-60916M) at 1:100 overnight at 4°C, followed by operating according to SP Kit(Mouse)(sp-0024)instructionsand DAB staining.
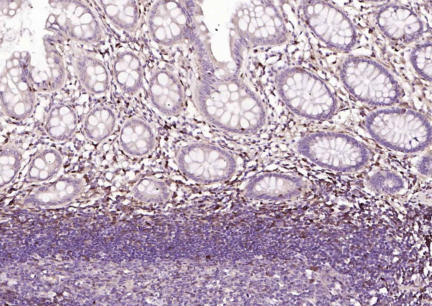
Paraformaldehyde-fixed, paraffin embedded (human colon); Antigen retrieval by boiling in sodium citrate buffer (pH6.0) for 15min; Block endogenous peroxidase by 3% hydrogen peroxide for 20 minutes; Blocking buffer (normal goat serum) at 37°C for 30min; Incubation with (S100A4) Monoclonal Antibody, Unconjugated (bsm-60916M) at 1:100 overnight at 4°C, followed by operating according to SP Kit(Mouse)(sp-0024)instructionsand DAB staining.
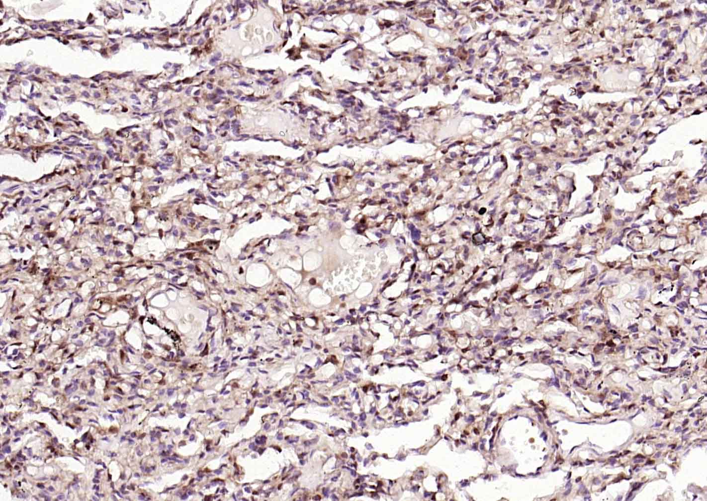
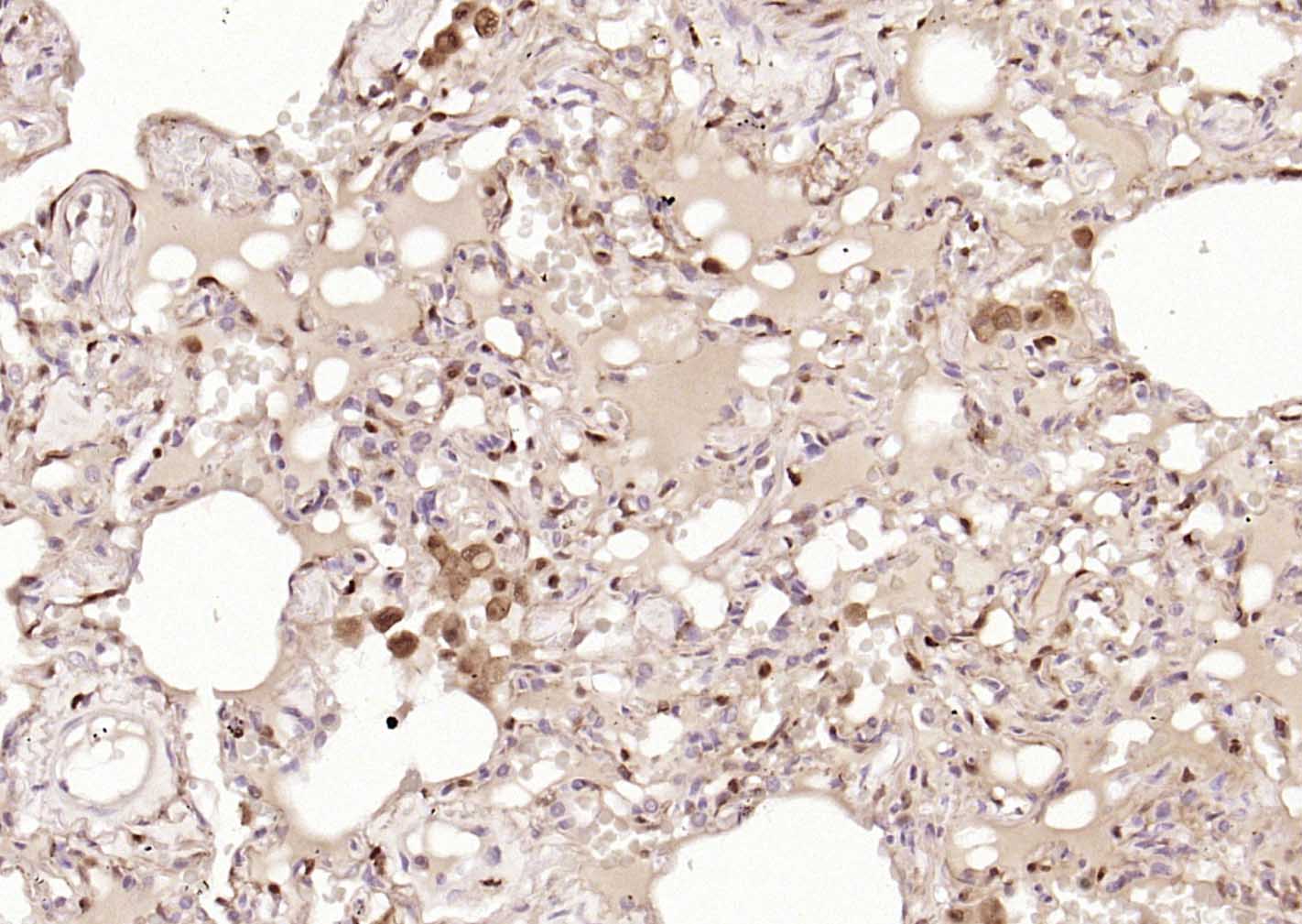
Paraformaldehyde-fixed, paraffin embedded (human lung); Antigen retrieval by boiling in sodium citrate buffer (pH6.0) for 15min; Block endogenous peroxidase by 3% hydrogen peroxide for 20 minutes; Blocking buffer (normal goat serum) at 37°C for 30min; Incubation with (S100A4) Monoclonal Antibody, Unconjugated (bsm-60916M) at 1:100 overnight at 4°C, followed by operating according to SP Kit(Mouse)(sp-0024)instructionsand DAB staining.
Paraformaldehyde-fixed, paraffin embedded (human colon carcinoma); Antigen retrieval by boiling in sodium citrate buffer (pH6.0) for 15min; Block endogenous peroxidase by 3% hydrogen peroxide for 20 minutes; Blocking buffer (normal goat serum) at 37°C for 30min; Incubation with (S100A4) Monoclonal Antibody, Unconjugated (bsm-60916M) at 1:100 overnight at 4°C, followed by operating according to SP Kit(Mouse)(sp-0024)instructionsand DAB staining.
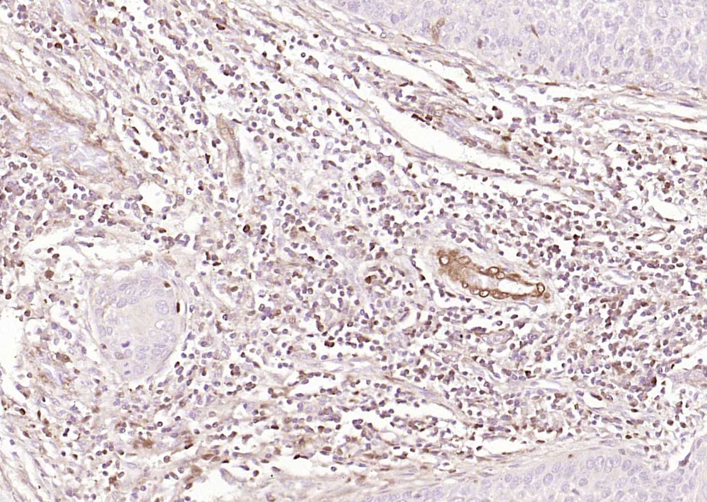
Paraformaldehyde-fixed, paraffin embedded (human cervical carcinoma); Antigen retrieval by boiling in sodium citrate buffer (pH6.0) for 15min; Block endogenous peroxidase by 3% hydrogen peroxide for 20 minutes; Blocking buffer (normal goat serum) at 37°C for 30min; Incubation with (S100A4) Monoclonal Antibody, Unconjugated (bsm-60916M) at 1:100 overnight at 4°C, followed by operating according to SP Kit(Mouse)(sp-0024)instructionsand DAB staining.
Paraformaldehyde-fixed, paraffin embedded (human lung carcinoma); Antigen retrieval by boiling in sodium citrate buffer (pH6.0) for 15min; Block endogenous peroxidase by 3% hydrogen peroxide for 20 minutes; Blocking buffer (normal goat serum) at 37°C for 30min; Incubation with (S100A4) Monoclonal Antibody, Unconjugated (bsm-60916M) at 1:100 overnight at 4°C, followed by operating according to SP Kit(Mouse)(sp-0024)instructionsand DAB staining.
版权所有 2004-2026 www.bioss.com.cn 北京博奥森生物技术有限公司
通过国际质量管理体系ISO 9001:2015 GB/T 19001-2016    证书编号: 00124Q34771R2M/1100
通过国际医疗器械-质量管理体系ISO 13485:2016 GB/T 42061-2022     证书编号: CQC24QY20047R0M/1100
京ICP备05066980号-1         京公网安备110107000727号