扫码关注公众号           扫码咨询技术支持           扫码咨询技术服务
  
客服热线:400-901-9800  客服QQ:4009019800  技术答疑  技术支持  质量反馈  人才招聘  关于我们  联系我们
产品中心-北京博奥森生物技术有限公司
首页 > 产品中心 > 一抗 > 产品信息
DPP4/CD26 Recombinant Rabbit mAb (bsm-60915R)  
订购热线:400-901-9800
订购邮箱:sales@bioss.com.cn
订购QQ:  400-901-9800
技术支持:techsupport@bioss.com.cn
25ul/800.00元
50ul/1400.00元
100ul/2500.00元
大包装/询价

产品编号 bsm-60915R
英文名称 DPP4/CD26 Recombinant Rabbit mAb
中文名称 CD26D/PP4抗体
别    名 ADABP; ADCP2; CD26; DPPIV; TP103; Dpp-4; THAM; DPP4_HUMAN; DPP4; Adenosine deaminase complexing protein 2 (ADCP-2); Dipeptidyl peptidase IV (DPP IV); T-cell activation antigen CD26; 3.4.14.5; DPP4_MOUSE; Thymocyte-activating molecule (THAM); DPP4_RAT; Bile canaliculus domain-specific membrane glycoprotein; GP110 glycoprotein;   
抗体来源 Rabbit
克隆类型 Recombinant
克 隆 号 4C15
交叉反应 Human,Mouse,Rat
产品应用 WB=1:500-2000,IHC-P=1:100-500,IHC-F=1:100-500
not yet tested in other applications.
optimal dilutions/concentrations should be determined by the end user.
理论分子量 84 kDa
检测分子量 110
细胞定位 细胞浆 细胞膜 
性    状 Liquid
浓    度 1mg/ml
免 疫 原 KLH conjugated synthetic peptide derived from human CD26 
亚    型 IgG
纯化方法 affinity purified by Protein A
缓 冲 液 0.01M TBS(pH7.4) with 1% BSA, 0.02% Proclin300 and 50% Glycerol.
保存条件 Shipped at 4℃. Store at -20 °C for one year. Avoid repeated freeze/thaw cycles.
注意事项 This product as supplied is intended for research use only, not for use in human, therapeutic or diagnostic applications.
PubMed PubMed
产品介绍 The DPP4 gene encodes dipeptidyl peptidase 4, which is identical to adenosine deaminase complexing protein-2, and to the T-cell activation antigen CD26. It is an intrinsic type II transmembrane glycoprotein and a serine exopeptidase that cleaves X-proline dipeptides from the N-terminus of polypeptides. Dipeptidyl peptidase 4 is highly involved in glucose and insulin metabolism, as well as in immune regulation. This protein was shown to be a functional receptor for Middle East respiratory syndrome coronavirus (MERS-CoV), and protein modeling suggests that it may play a similar role with SARS-CoV-2, the virus responsible for COVID-19. [provided by RefSeq, Apr 2020]

Function:
Cell surface glycoprotein receptor involved in the costimulatory signal essential for T-cell receptor (TCR)-mediated T-cell activation. Acts as a positive regulator of T-cell coactivation, by binding at least ADA, CAV1, IGF2R, and PTPRC. Its binding to CAV1 and CARD11 induces T-cell proliferation and NF-kappa-B activation in a T-cell receptor/CD3-dependent manner. Its interaction with ADA also regulates lymphocyte-epithelial cell adhesion. In association with FAP is involved in the pericellular proteolysis of the extracellular matrix (ECM), the migration and invasion of endothelial cells into the ECM. May be involved in the promotion of lymphatic endothelial cells adhesion, migration and tube formation. When overexpressed, enhanced cell proliferation, a process inhibited by GPC3. Acts also as a serine exopeptidase with a dipeptidyl peptidase activity that regulates various physiological processes by cleaving peptides in the circulation, including many chemokines, mitogenic growth factors, neuropeptides and peptide hormones. Removes N-terminal dipeptides sequentially from polypeptides having unsubstituted N-termini provided that the penultimate residue is proline.

Subcellular Location:
Cell membrane. Apical cell membrane. Cell projection > invadopodium membrane. Cell projection > lamellipodium membrane. Cell junction. Membrane raft. Translocated to the apical membrane through the concerted action of N- and O-Glycans and its association with lipid microdomains containing cholesterol and sphingolipids. Redistributed to membrane rafts in T-cell in a interleukin-12-dependent activation. Its interaction with CAV1 is necessary for its translocation to membrane rafts. Colocalized with PTPRC in membrane rafts. Colocalized with FAP in invadopodia and lamellipodia of migratory activated endothelial cells in collagenous matrix. Colocalized with FAP on endothelial cells of capillary-like microvessels but not large vessels within invasive breast ductal carcinoma. Colocalized with ADA at the cell junction in lymphocyte-epithelial cell adhesion. Colocalized with IGF2R in internalized cytoplasmic vesicles adjacent to the cell surface and Secreted. Detected in the serum and the seminal fluid.

Tissue Specificity:
Expressed specifically in lymphatic vessels but not in blood vessels in the skin, small intestine, esophagus, ovary, breast and prostate glands. Not detected in lymphatic vessels in the lung, kidney, uterus, liver and stomach (at protein level). Expressed in the poorly differentiated crypt cells of the small intestine as well as in the mature villous cells. Expressed at very low levels in the colon.

Post-translational modifications:
The soluble form (Dipeptidyl peptidase 4 soluble form also named SDPP) derives from the membrane form (Dipeptidyl peptidase 4 membrane form also named MDPP) by proteolytic processing. N- and O-Glycosylated. Phosphorylated. Mannose 6-phosphate residues in the carbohydrate moiety are necessary for interaction with IGF2R in activated T-cells. Mannose 6-phosphorylation is induced during T-cell activation.

Similarity:
Belongs to the peptidase S9B family. DPPIV subfamily.

SWISS:
P27487

Gene ID:
1803

Database links:

Entrez Gene: 1803 Human

Entrez Gene: 13482 Mouse

Entrez Gene: 25253 Rat

Omim: 102720 Human

SwissProt: P27487 Human

SwissProt: P28843 Mouse

SwissProt: P14740 Rat

Unigene: 368912 Human

Unigene: 1151 Mouse

Unigene: 91364 Rat



CD26是细胞表面上一种氨基肽酶,具有丝氨酸蛋白酶活性,属于丝氨酸蛋白酶s9b家族,分布于多种细胞表面或游离于胞浆中,具有高度保守的蛋白水解酶活性. 还是一种细胞膜受体、共刺激分子,参与机体免疫调节、细胞迁移、细胞黏附和细胞凋亡.
产品图片
25 ug total protein per lane of various lysates (see on figure) probed with CD26/DPP4 monoclonal antibody, unconjugated (bsm-60915R) at 1:1000 dilution and 4°C overnight incubation. Followed by conjugated secondary antibody incubation at r.t. for 60 min.
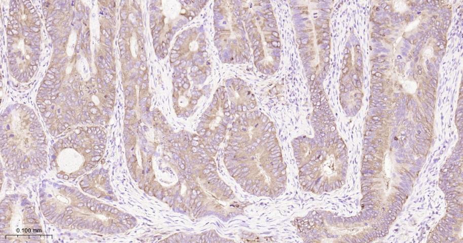
Paraformaldehyde-fixed, paraffin embedded Human Colon Cancer; Antigen retrieval by boiling in sodium citrate buffer (pH6.0) for 15 min; The section was incubated with DPP4/CD26 Monoclonal Antibody, Unconjugated (bsm-60915R) at 1:200 overnight at 4°C, followed by conjugation to the bs-0295G-HRP and DAB (C-0010) staining.
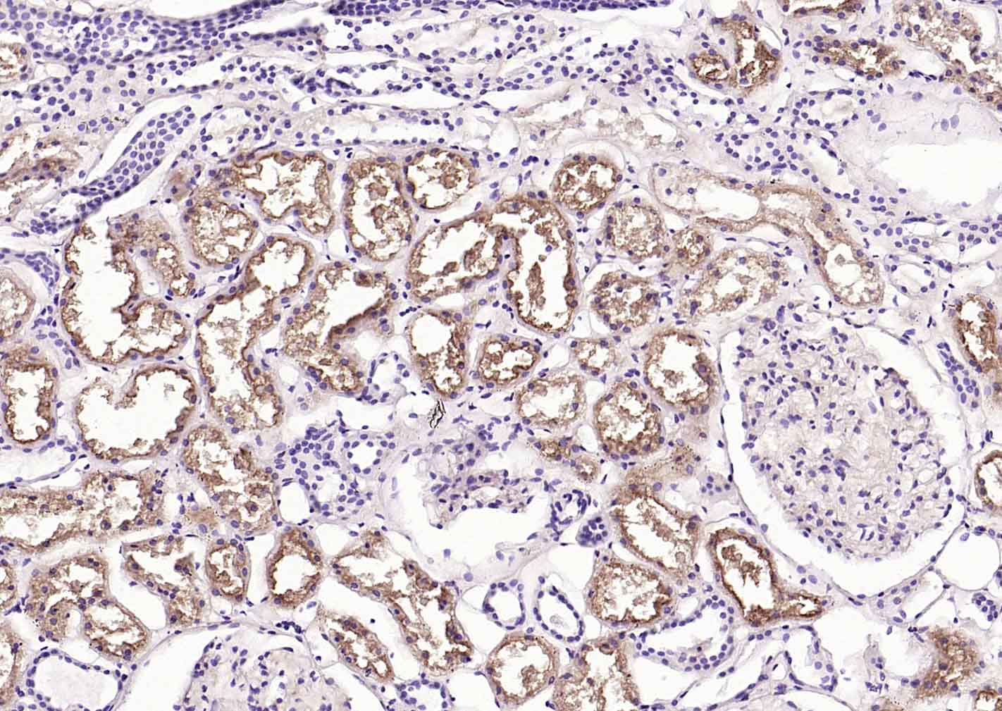
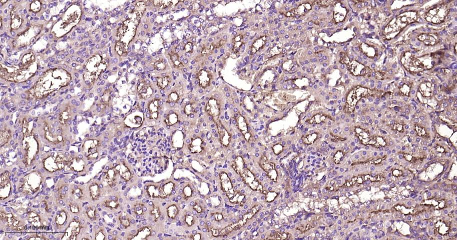
Paraformaldehyde-fixed, paraffin embedded Rat Kidney; Antigen retrieval by boiling in sodium citrate buffer (pH6.0) for 15 min; The section was incubated with DPP4/CD26 Monoclonal Antibody, Unconjugated (bsm-60915R) at 1:200 overnight at 4°C, followed by conjugation to the bs-0295G-HRP and DAB (C-0010) staining.
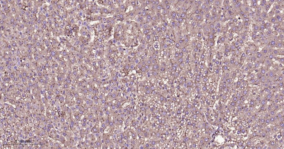
Paraformaldehyde-fixed, paraffin embedded Rat Liver; Antigen retrieval by boiling in sodium citrate buffer (pH6.0) for 15 min; The section was incubated with DPP4/CD26 Monoclonal Antibody, Unconjugated (bsm-60915R) at 1:200 overnight at 4°C, followed by conjugation to the bs-0295G-HRP and DAB (C-0010) staining.
Paraformaldehyde-fixed, paraffin embedded (human kidney); Antigen retrieval by boiling in sodium citrate buffer (pH6.0) for 15min; Block endogenous peroxidase by 3% hydrogen peroxide for 20 minutes; Blocking buffer (normal goat serum) at 37°C for 30min; Incubation with (CD26/DPP4) Monoclonal Antibody, Unconjugated (bsm-60915R) at 1:100 overnight at 4°C, followed by operating according to SP Kit(Rabbit) (sp-0023) instructionsand DAB staining.
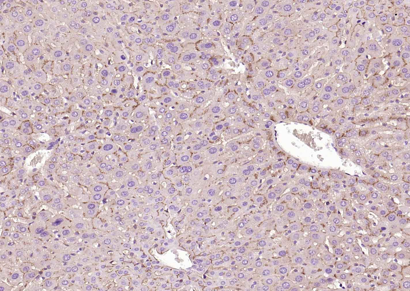
Paraformaldehyde-fixed, paraffin embedded (Mouse liver); Antigen retrieval by boiling in sodium citrate buffer (pH6.0) for 15min; Block endogenous peroxidase by 3% hydrogen peroxide for 20 minutes; Blocking buffer (normal goat serum) at 37°C for 30min; Incubation with (CD26/DPP4) Monoclonal Antibody, Unconjugated (bsm-60915R) at 1:100 overnight at 4°C, followed by operating according to SP Kit(Rabbit) (sp-0023) instructionsand DAB staining.
版权所有 2004-2026 www.bioss.com.cn 北京博奥森生物技术有限公司
通过国际质量管理体系ISO 9001:2015 GB/T 19001-2016    证书编号: 00124Q34771R2M/1100
通过国际医疗器械-质量管理体系ISO 13485:2016 GB/T 42061-2022     证书编号: CQC24QY20047R0M/1100
京ICP备05066980号-1         京公网安备110107000727号