扫码关注公众号           扫码咨询技术支持           扫码咨询技术服务
  
客服热线:400-901-9800  客服QQ:4009019800  技术答疑  技术支持  质量反馈  人才招聘  关于我们  联系我们
产品中心-北京博奥森生物技术有限公司
首页 > 产品中心 > 一抗 > 产品信息
TROP2 Mouse mAb (bsm-43037M)  
订购热线:400-901-9800
订购邮箱:sales@bioss.com.cn
订购QQ:  400-901-9800
技术支持:techsupport@bioss.com.cn
50ul/1180.00元
100ul/1980.00元
200ul/2800.00元
200ug(PBS only)/5600.00元
大包装/询价

产品编号 bsm-43037M
英文名称 TROP2 Mouse mAb
中文名称 肿瘤相关钙信号传感器2单克隆抗体
别    名 EGP-1; EGP1; GA733-1; GA7331; GP50; M1S1; TROP2; Ly97; Prp1; TACD2_HUMAN; TACSTD2; Cell surface glycoprotein Trop-2; Membrane component chromosome 1 surface marker 1; Pancreatic carcinoma marker protein GA733-1; TACD2_MOUSE; TACD2_RAT; Parturition-related protein 1;   
抗体来源 Mouse
克隆类型 Monoclonal
克 隆 号 1A8
交叉反应 Human
产品应用 IHC-P=1:100-500,IHC-F=1:100-500,IF=1:100-500
not yet tested in other applications.
optimal dilutions/concentrations should be determined by the end user.
理论分子量 33 kDa
细胞定位 细胞膜 
性    状 Liquid
浓    度 1mg/ml
免 疫 原 Recombinant human TROP2 protein: 27-274/323 
亚    型 IgG
纯化方法 affinity purified by Protein A
缓 冲 液 0.01M TBS (pH7.4) with 1% BSA, 0.02% Proclin300 and 50% Glycerol.
保存条件 Shipped at 4℃. Store at -20℃ for one year. Avoid repeated freeze/thaw cycles.
注意事项 This product as supplied is intended for research use only, not for use in human, therapeutic or diagnostic applications.
PubMed PubMed
产品介绍 his intronless gene encodes a carcinoma-associated antigen. This antigen is a cell surface receptor that transduces calcium signals. Mutations of this gene have been associated with gelatinous drop-like corneal dystrophy.[provided by RefSeq, Dec 2009]

Function:
May function as a growth factor receptor.

Subcellular Location:
Membrane; Single-pass type I membrane protein.

Tissue Specificity:
Placenta, pancreatic carcinoma cell lines.

Post-translational modifications:
The N-terminus is blocked.

DISEASE:
Corneal dystrophy, gelatinous drop-like (GDLD) [MIM:204870]: A form of lattice corneal dystrophy, a class of inherited stromal amyloidoses characterized by pathognomonic branching lattice figures in the cornea. GDLD is an autosomal recessive disorder characterized by severe corneal amyloidosis leading to blindness. Clinical manifestations, which appear in the first decade of life, include blurred vision, photophobia, and foreign-body sensation. By the third decade, raised, yellowish-gray, gelatinous masses severely impair visual acuity. Note=The disease is caused by mutations affecting the gene represented in this entry.

Similarity:
Belongs to the EPCAM family. Contains 1 thyroglobulin type-1 domain.

SWISS:
P09758

Gene ID:
4070

Database links:

Entrez Gene: 4070 Human

Entrez Gene: 56753 Mouse

Entrez Gene: 494343 Rat

Omim: 137290 Human

SwissProt: P09758 Human

SwissProt: Q8BGV3 Mouse

SwissProt: Q6P9Z6 Rat

Unigene: 23582 Human

Unigene: 439913 Mouse

Unigene: 24809 Rat



产品图片
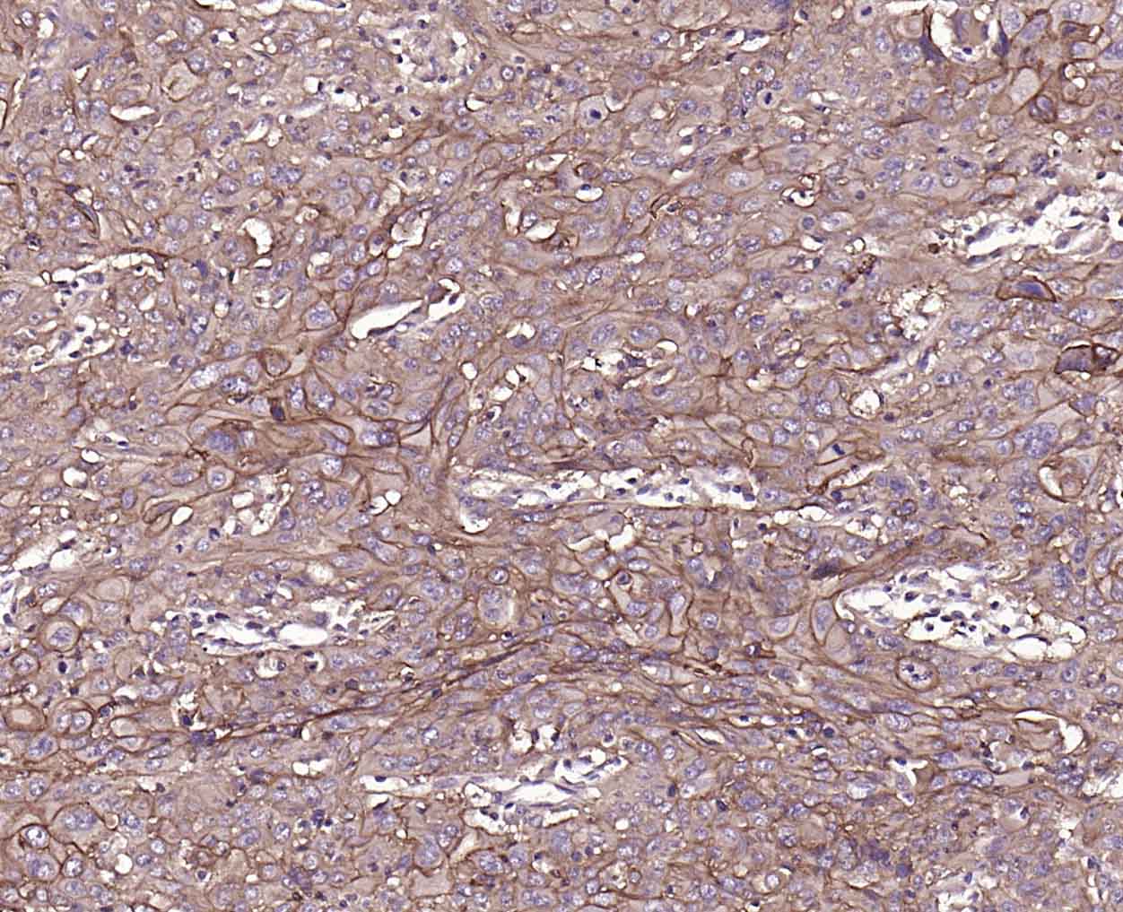
Paraformaldehyde-fixed, paraffin embedded (Human esophagus); Antigen retrieval by boiling in sodium citrate buffer (pH6.0) for 15min; Block endogenous peroxidase by 3% hydrogen peroxide for 20 minutes; Blocking buffer (normal goat serum) at 37°C for 30min; Incubation with (TROP2) Monoclonal Antibody, Unconjugated (bsm-43037M) at 1:200 overnight at 4°C, followed by operating according to SP Kit(Mouse)(sp-0024) instructionsand DAB staining.
Paraformaldehyde-fixed, paraffin embedded (Human Cervical squamous epithelial lesions); Antigen retrieval by boiling in sodium citrate buffer (pH6.0) for 15min; Block endogenous peroxidase by 3% hydrogen peroxide for 20 minutes; Blocking buffer (normal goat serum) at 37°C for 30min; Incubation with (TROP2) Monoclonal Antibody, Unconjugated (bsm-43037M) at 1:200 overnight at 4°C, followed by operating according to SP Kit(Mouse)(sp-0024) instructionsand DAB staining.
Paraformaldehyde-fixed, paraffin embedded (Human Prostate); Antigen retrieval by boiling in sodium citrate buffer (pH6.0) for 15min; Block endogenous peroxidase by 3% hydrogen peroxide for 20 minutes; Blocking buffer (normal goat serum) at 37°C for 30min; Incubation with (TROP2) Monoclonal Antibody, Unconjugated (bsm-43037M) at 1:200 overnight at 4°C, followed by operating according to SP Kit(Mouse)(sp-0024) instructionsand DAB staining.
Paraformaldehyde-fixed, paraffin embedded (Human abdominal skin); Antigen retrieval by boiling in sodium citrate buffer (pH6.0) for 15min; Block endogenous peroxidase by 3% hydrogen peroxide for 20 minutes; Blocking buffer (normal goat serum) at 37°C for 30min; Incubation with (TROP2) Monoclonal Antibody, Unconjugated (bsm-43037M) at 1:200 overnight at 4°C, followed by operating according to SP Kit(Mouse)(sp-0024) instructionsand DAB staining.
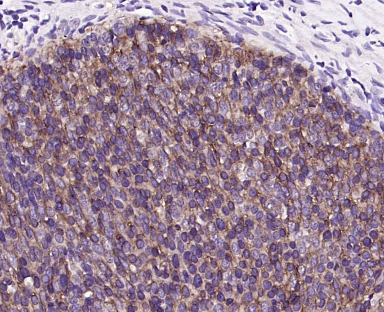
Paraformaldehyde-fixed, paraffin embedded (human tonsil); Antigen retrieval by boiling in sodium citrate buffer (pH6.0) for 15min; Block endogenous peroxidase by 3% hydrogen peroxide for 20 minutes; Blocking buffer (normal goat serum) at 37°C for 30min; Incubation with (TROP2) Monoclonal Antibody, Unconjugated (bsm-43037M) at 1:200 overnight at 4°C, followed by operating according to SP Kit(Mouse)(sp-0024) instructionsand DAB staining.
Paraformaldehyde-fixed, paraffin embedded (human cervical carcinoma); Antigen retrieval by boiling in sodium citrate buffer (pH6.0) for 15min; Block endogenous peroxidase by 3% hydrogen peroxide for 20 minutes; Blocking buffer (normal goat serum) at 37°C for 30min; Incubation with (TROP2) Monoclonal Antibody, Unconjugated (bsm-43037M) at 1:200 overnight at 4°C, followed by operating according to SP Kit(Mouse)(sp-0024) instructionsand DAB staining.
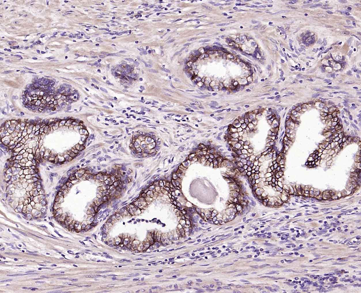
Paraformaldehyde-fixed, paraffin embedded (human breast); Antigen retrieval by boiling in sodium citrate buffer (pH6.0) for 15min; Block endogenous peroxidase by 3% hydrogen peroxide for 20 minutes; Blocking buffer (normal goat serum) at 37°C for 30min; Incubation with (TROP2) Monoclonal Antibody, Unconjugated (bsm-43037M) at 1:200 overnight at 4°C, followed by operating according to SP Kit(Mouse)(sp-0024) instructionsand DAB staining.
Paraformaldehyde-fixed, paraffin embedded Human Esophagus; Antigen retrieval by boiling in sodium citrate buffer (pH6.0) for 15 min; Antibody incubation with TROP2 Monoclonal Antibody, Unconjugated (bsm-43037M) at 1:200 overnight at 4°C. Followed by conjugated Goat Anti-Mouse IgG antibody (green, bs-0296G-BF488), DAPI (blue, C02-04002) was used to stain the cell nuclei.
Paraformaldehyde-fixed, paraffin embedded Human Prostate; Antigen retrieval by boiling in sodium citrate buffer (pH6.0) for 15 min; Antibody incubation with TROP2 Monoclonal Antibody, Unconjugated (bsm-43037M) at 1:200 overnight at 4°C. Followed by conjugated Goat Anti-Mouse IgG antibody (green, bs-0296G-BF488), DAPI (blue, C02-04002) was used to stain the cell nuclei.
版权所有 2004-2026 www.bioss.com.cn 北京博奥森生物技术有限公司
通过国际质量管理体系ISO 9001:2015 GB/T 19001-2016    证书编号: 00124Q34771R2M/1100
通过国际医疗器械-质量管理体系ISO 13485:2016 GB/T 42061-2022     证书编号: CQC24QY20047R0M/1100
京ICP备05066980号-1         京公网安备110107000727号