扫码关注公众号           扫码咨询技术支持           扫码咨询技术服务
  
客服热线:400-901-9800  客服QQ:4009019800  技术答疑  技术支持  质量反馈  人才招聘  关于我们  联系我们
产品中心-北京博奥森生物技术有限公司
首页 > 产品中心 > 一抗 > 产品信息
MPO Mouse mAb (bsm-43010M)  
订购热线:400-901-9800
订购邮箱:sales@bioss.com.cn
订购QQ:  400-901-9800
技术支持:techsupport@bioss.com.cn
50ul/1180.00元
100ul/1980.00元
200ul/2800.00元
大包装/询价

产品编号 bsm-43010M
英文名称 MPO Mouse mAb
中文名称 髓过氧化物酶单克隆抗体
别    名 mKIAA4033; PERM_HUMAN; MPO; 1.11.2.2; PERM_MOUSE;   
抗体来源 Mouse
克隆类型 Monoclonal
克 隆 号 6D9
交叉反应 Human
产品应用 WB=1:500-2000,IHC-P=1:100-500,IHC-F=1:100-500,IF=1:100-500,ELISA=1:5000-10000
not yet tested in other applications.
optimal dilutions/concentrations should be determined by the end user.
理论分子量 84 kDa
细胞定位 细胞浆 
性    状 Liquid
免 疫 原 Recombinant human MPO protein 
亚    型
纯化方法 affinity purified by Protein A
缓 冲 液 0.01M TBS (pH7.4) with 1% BSA, 0.02% Proclin300 and 50% Glycerol.
保存条件 Shipped at 4℃. Store at -20℃ for one year. Avoid repeated freeze/thaw cycles.
注意事项 This product as supplied is intended for research use only, not for use in human, therapeutic or diagnostic applications.
PubMed PubMed
产品介绍 Myeloperoxidase (MPO) is a heme protein synthesized during myeloid differentiation that constitutes the major component of neutrophil azurophilic granules. Produced as a single chain precursor, myeloperoxidase is subsequently cleaved into a light and heavy chain. The mature myeloperoxidase is a tetramer composed of 2 light chains and 2 heavy chains. This enzyme produces hypohalous acids central to the microbicidal activity of neutrophils. [provided by RefSeq, Nov 2014]

Function:
Part of the host defense system of polymorphonuclear leukocytes. It is responsible for microbicidal activity against a wide range of organisms. In the stimulated PMN, MPO catalyzes the production of hypohalous acids, primarily hypochlorous acid in physiologic situations, and other toxic intermediates that greatly enhance PMN microbicidal activity.

Subunit:
Tetramer of two light chains and two heavy chains.

Subcellular Location:
Lysosome.

DISEASE:
Defects in MPO are the cause of myeloperoxidase deficiency (MPD) [MIM:254600]. MPD is an autosomal recessive defect that results in disseminated candidiasis.

Similarity:
Belongs to the peroxidase family. XPO subfamily.

SWISS:
P05164

Gene ID:
4353

Database links:

Entrez Gene: 4353 Human

Entrez Gene: 17523 Mouse

Entrez Gene: 303413 Rat

Omim: 606989 Human

SwissProt: P05164 Human

SwissProt: P11247 Mouse

Unigene: 458272 Human

Unigene: 4668 Mouse

Unigene: 47782 Rat



髓过氧化物酶MPO,作为一种白细胞酶,具有介导炎性反应、调节免疫应答等多种功能,并可参与疾病的发生发展过程。同时,髓过氧化物酶基因存在基因多态性,也影响机体对疾病的易感性. 在正常淋巴组织中和各种髓样细胞增生症中,MPO均有较强表达,如:淋巴样细胞、原核细胞、肥大细胞、浆细胞以及各种上皮源性肿瘤和肉瘤等。
髓过氧化物酶(myeloperoxidase,MPO),是一种血红素蛋白,富含于中性粒细胞中,由粒细胞进入循环之前在骨髓内合成并存储于噬天青颗粒内。外界刺激可导致中性粒细胞聚集,从而释放髓过氧化物酶。MPO的相对分子量为150kDa,是由两个亚单位通过共价结合形成的四聚体,每个亚单位又有一条重链α(相对分子量60kDa)和一条轻链β链(相对分子量为15kDa)构成。(重链和轻链通过二硫键结合)
产品图片
50 ng rhMPO protein, C-His (HEK293) (bs-43010P) per lane probed with MPO monoclonal antibody respectively, unconjugated (bsm-43010M) at 1:1000 dilution and 4°C overnight incubation. Followed by corresponding conjugated secondary antibody incubation at r.t. for 60 min.
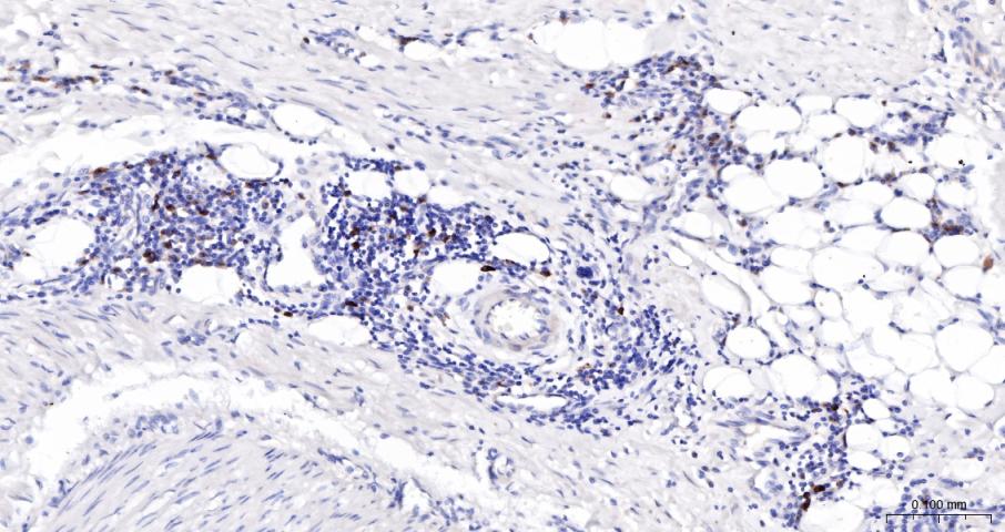
Paraformaldehyde-fixed, paraffin embedded Human Gastric cancer; Antigen retrieval by boiling in sodium citrate buffer (pH6.0) for 15 min; Antibody incubation with MPO Monoclonal Antibody, Unconjugated(bsm-43010M) at 1:200 overnight at 4°C, followed by conjugation to the bs-40296G-HRP and DAB (C-0010) staining.
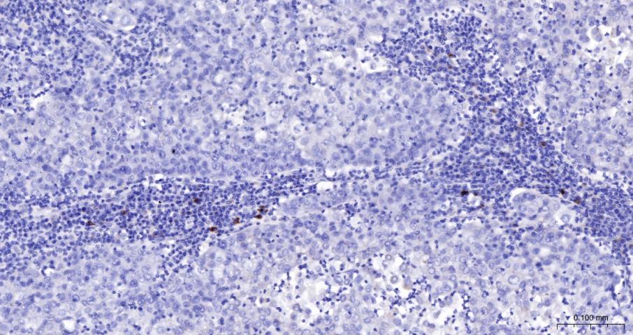
Paraformaldehyde-fixed, paraffin embedded Human tonsils; Antigen retrieval by boiling in sodium citrate buffer (pH6.0) for 15 min; Antibody incubation with MPO Monoclonal Antibody, Unconjugated(bsm-43010M) at 1:200 overnight at 4°C, followed by conjugation to the bs-40296G-HRP and DAB (C-0010) staining.
Paraformaldehyde-fixed, paraffin embedded Human colon cancer; Antigen retrieval by boiling in sodium citrate buffer (pH6.0) for 15 min; Antibody incubation with MPO Monoclonal Antibody, Unconjugated(bsm-43010M) at 1:200 overnight at 4°C, followed by conjugation to the bs-40296G-HRP and DAB (C-0010) staining.
版权所有 2004-2026 www.bioss.com.cn 北京博奥森生物技术有限公司
通过国际质量管理体系ISO 9001:2015 GB/T 19001-2016    证书编号: 00124Q34771R2M/1100
通过国际医疗器械-质量管理体系ISO 13485:2016 GB/T 42061-2022     证书编号: CQC24QY20047R0M/1100
京ICP备05066980号-1         京公网安备110107000727号