扫码关注公众号           扫码咨询技术支持           扫码咨询技术服务
  
客服热线:400-901-9800  客服QQ:4009019800  技术答疑  技术支持  质量反馈  人才招聘  关于我们  联系我们
产品中心-北京博奥森生物技术有限公司
首页 > 产品中心 > 一抗 > 产品信息
Human IgD Recombinant Rabbit mAb (bsm-60908R)  
订购热线:400-901-9800
订购邮箱:sales@bioss.com.cn
订购QQ:  400-901-9800
技术支持:techsupport@bioss.com.cn
25ul/800.00元
50ul/1400.00元
100ul/2500.00元
大包装/询价

产品编号 bsm-60908R
英文名称 Human IgD Recombinant Rabbit mAb
中文名称 免疫球蛋白D重链保守区重组兔单抗
别    名 IGHD_HUMAN; IGHD; Ig delta chain C region; Ig delta chain C region NIG-65; Ig delta chain C region WAH;  
抗体来源 Rabbit
克隆类型 Recombinant
克 隆 号 20D14
交叉反应 Human
产品应用 IHC-P=1:50-200,IHC-F=1:50-200,IF=1:50-200
not yet tested in other applications.
optimal dilutions/concentrations should be determined by the end user.
理论分子量 42 kDa
细胞定位 细胞膜 分泌型蛋白 
性    状 Liquid
浓    度 1mg/ml
亚    型
纯化方法 affinity purified by Protein A
缓 冲 液 0.01M TBS(pH7.4) with 1% BSA, 0.02% Proclin300 and 50% Glycerol.
保存条件 Shipped at 4℃. Store at -20 °C for one year. Avoid repeated freeze/thaw cycles.
注意事项 This product as supplied is intended for research use only, not for use in human, therapeutic or diagnostic applications.
PubMed PubMed
产品介绍 Ig delta chain C region is an allelic product of the human IGHD gene. The two known IGHD alleles, IGHD*01 and IGHD*02, respectively produce isoforms 1, a secreted protein, and 2, a single-pass type I membrane protein. A member of the adaptive immune system, IgD antibodies are monomers expressed by activated B cells. Containing 3 Ig-like (immunoglobulin-like) domains, IgD chain C is located on chromosome 14 within the human heavy chain locus, lying on the 3’ side of the IgM chain C region from the V-D-J cassette. Polyadenylation at certain sites along the heavy chain locus likely effects the mechanism that determines the alternative splicing event which results in the expression of either IgD chain C or IgM chain C. Some studies have suggested that antigenic coactivation of IgD+ B cells can have a negative influence on bone resorption during infectious events.

Function:
IgD is the major antigen receptor isotype on the surface of most peripheral B-cells, where it is coexpressed with IgM. The membrane-bound IgD (mIgD) induces the phosphorylation of CD79A and CD79B by the Src family of protein tyrosine kinases. Soluble IgD (sIgD) concentration in serum below those of IgG, IgA, and IgM but much higher than that of IgE. IgM and IgD molecules present on B cells have identical V regions and antigen-binding sites. After the antigen binds to the B-cell receptor, the secreted form sIgD is shut off. IgD is a potent inducer of TNF, IL1B, and IL1RN. IgD also induces release of IL6, IL10, and LIF from peripheral blood mononuclear cells. Monocytes seem to be the main producers of cytokines in vitro in the presence of IgD.

Subunit:
Immunoglobulin (Ig) molecules consist of two chains, one heavy chain (which can be alpha, delta, epsilon, gamma or mu) and one light chain (which can be kappa or lambda) each consisting of a variable and a constant region. An IgD molecule contains thus a delta heavy chain combined with either a kappa or a lambda light chains. Kappa light chains are found predominantly on the membrane IgD (mIgD) form and lambda on the secreted IgD (sIgD) form, this fact is poorly understood. Membrane-bound IgD molecules are non-covalently associated with a heterodimer of CD79A and CD79B.

Subcellular Location:
Isoform 1: Secreted. Isoform 2: Cell membrane; Single-pass type I membrane protein.

Similarity:
Contains 3 Ig-like (immunoglobulin-like) domains.

Database links:

Entrez Gene: 3495 Human

Omim: 147170 Human

SwissProt: P01880 Human



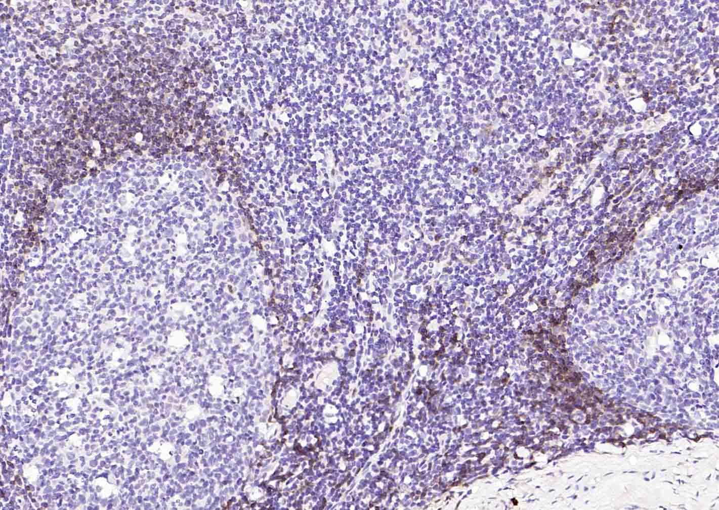
产品图片
Paraformaldehyde-fixed, paraffin embedded (human tonsil); Antigen retrieval by boiling in sodium citrate buffer (pH6.0) for 15min; Block endogenous peroxidase by 3% hydrogen peroxide for 20 minutes; Blocking buffer (normal goat serum) at 37°C for 30min; Incubation with (Human IgD) Monoclonal Antibody, Unconjugated (bsm-60908R) at 1:50 overnight at 4°C, followed by operating according to SP Kit(Rabbit) (sp-0023) instructionsand DAB staining.
版权所有 2004-2026 www.bioss.com.cn 北京博奥森生物技术有限公司
通过国际质量管理体系ISO 9001:2015 GB/T 19001-2016    证书编号: 00124Q34771R2M/1100
通过国际医疗器械-质量管理体系ISO 13485:2016 GB/T 42061-2022     证书编号: CQC24QY20047R0M/1100
京ICP备05066980号-1         京公网安备110107000727号