扫码关注公众号           扫码咨询技术支持           扫码咨询技术服务
  
客服热线:400-901-9800  客服QQ:4009019800  技术答疑  技术支持  质量反馈  人才招聘  关于我们  联系我们
产品中心-北京博奥森生物技术有限公司
首页 > 产品中心 > 一抗 > 产品信息
CD138 Recombinant Rabbit mAb (bsm-60902R)  
订购热线:400-901-9800
订购邮箱:sales@bioss.com.cn
订购QQ:  400-901-9800
技术支持:techsupport@bioss.com.cn
25ul/800.00元
50ul/1400.00元
100ul/2500.00元
大包装/询价

产品编号 bsm-60902R
英文名称 CD138 Recombinant Rabbit mAb
中文名称 多配体蛋白聚糖1(CD138)重组兔单抗
别    名 CD138; SDC; SYND1; syndecan; SDC1_HUMAN; SDC1;   
抗体来源 Rabbit
克隆类型 Recombinant
克 隆 号 5D12
交叉反应 Human
产品应用 IHC-P=1:100-500,IHC-F=1:100-500,IF=1:100-500
not yet tested in other applications.
optimal dilutions/concentrations should be determined by the end user.
理论分子量 34 kDa
细胞定位 细胞膜 分泌型蛋白 
性    状 Liquid
浓    度 1mg/ml
免 疫 原 KLH conjugated synthetic peptide derived from human CD138 
亚    型 IgG
纯化方法 affinity purified by Protein A
缓 冲 液 0.01M TBS(pH7.4) with 1% BSA, 0.02% Proclin300 and 50% Glycerol.
保存条件 Shipped at 4℃. Store at -20 °C for one year. Avoid repeated freeze/thaw cycles.
注意事项 This product as supplied is intended for research use only, not for use in human, therapeutic or diagnostic applications.
PubMed PubMed
产品介绍 The protein encoded by this gene is a transmembrane (type I) heparan sulfate proteoglycan and is a member of the syndecan proteoglycan family. The syndecans mediate cell binding, cell signaling, and cytoskeletal organization and syndecan receptors are required for internalization of the HIV-1 tat protein. The syndecan-1 protein functions as an integral membrane protein and participates in cell proliferation, cell migration and cell-matrix interactions via its receptor for extracellular matrix proteins. Altered syndecan-1 expression has been detected in several different tumor types. While several transcript variants may exist for this gene, the full-length natures of only two have been described to date. These two represent the major variants of this gene and encode the same protein. [provided by RefSeq, Jul 2008]

Function:
Cell surface proteoglycan that bears both heparin sulfate and chondroitin sulfate and that links the cytoskeleton to the interstitial matrix.

Subunit:
Interacts with CDCP1.

Subcellular Location:
Membrane; Single-pass type I membrane protein. Secreted. Note=Shedding of the ectodomain produces a soluble form.

Post-translational modifications:
Shedding is enhanced by a number of factors such as heparanase, thrombin or EGF. Also by stress and wound healing. PMA-mediated shedding is inhibited by TIMP3.

Similarity:
Belongs to the syndecan proteoglycan family.

SWISS:
P18827

Gene ID:
6382

Database links:

Entrez Gene: 6382 Human

SwissProt: P18827 Human



Syndecan1(CD138)属于Syndecans基因家族,该家族是一类细胞表面跨膜蛋白多糖 ,是膜表面粘附受体 ,参与细胞-细胞外基质之间的粘附。
CD138表达于上皮细胞、胚胎间质细胞、血管平滑肌细胞、内皮细胞和神经细胞基底膜。Syndecan-1与恶性肿瘤的发生发展、浸润及转移有关,着色于胞浆和胞膜.
产品图片
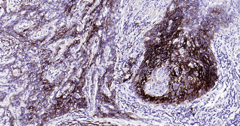
Paraformaldehyde-fixed, paraffin embedded (human cervical carcinoma); Antigen retrieval by boiling in sodium citrate buffer (pH6.0) for 15min; Block endogenous peroxidase by 3% hydrogen peroxide for 20 minutes; Blocking buffer (normal goat serum) at 37°C for 30min; Incubation with (CD138) Monoclonal Antibody, Unconjugated (bsm-60902R) at 1:200 overnight at 4°C, followed by operating according to SP Kit(Rabbit) (sp-0023)instructionsand DAB staining.
Paraformaldehyde-fixed, paraffin embedded (human liver carcinoma); Antigen retrieval by boiling in sodium citrate buffer (pH6.0) for 15min; Block endogenous peroxidase by 3% hydrogen peroxide for 20 minutes; Blocking buffer (normal goat serum) at 37°C for 30min; Incubation with (CD138) Monoclonal Antibody, Unconjugated (bsm-60902R) at 1:200 overnight at 4°C, followed by operating according to SP Kit(Rabbit) (sp-0023)instructionsand DAB staining.
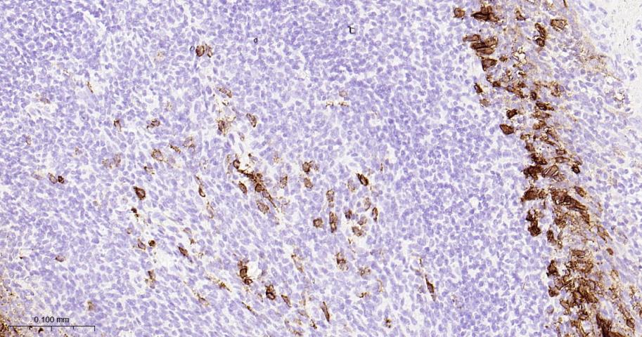
Paraformaldehyde-fixed, paraffin embedded Human Tonsil; Antigen retrieval by boiling in sodium citrate buffer (pH6.0) for 15 min; The section was incubated with CD138 Monoclonal Antibody, Unconjugated (bsm-60902R) at 1:200 overnight at 4°C, followed by conjugation to the bs-0295G-HRP and DAB (C-0010) staining.
Paraformaldehyde-fixed, paraffin embedded (human colon carcinoma); Antigen retrieval by boiling in sodium citrate buffer (pH6.0) for 15min; Block endogenous peroxidase by 3% hydrogen peroxide for 20 minutes; Blocking buffer (normal goat serum) at 37°C for 30min; Incubation with (CD138) Monoclonal Antibody, Unconjugated (bsm-60902R) at 1:200 overnight at 4°C, followed by operating according to SP Kit(Rabbit) (sp-0023)instructionsand DAB staining.
Paraformaldehyde-fixed, paraffin embedded (human esophagus); Antigen retrieval by boiling in sodium citrate buffer (pH6.0) for 15min; Block endogenous peroxidase by 3% hydrogen peroxide for 20 minutes; Blocking buffer (normal goat serum) at 37°C for 30min; Incubation with (CD138) Monoclonal Antibody, Unconjugated (bsm-60902R) at 1:200 overnight at 4°C, followed by operating according to SP Kit(Rabbit) (sp-0023) instructionsand DAB staining.
Paraformaldehyde-fixed, paraffin embedded (human colon); Antigen retrieval by boiling in sodium citrate buffer (pH6.0) for 15min; Block endogenous peroxidase by 3% hydrogen peroxide for 20 minutes; Blocking buffer (normal goat serum) at 37°C for 30min; Incubation with (CD138) Monoclonal Antibody, Unconjugated (bsm-60902R) at 1:200 overnight at 4°C, followed by operating according to SP Kit(Rabbit) (sp-0023) instructionsand DAB staining.
Paraformaldehyde-fixed, paraffin embedded (human Abdominal skin); Antigen retrieval by boiling in sodium citrate buffer (pH6.0) for 15min; Block endogenous peroxidase by 3% hydrogen peroxide for 20 minutes; Blocking buffer (normal goat serum) at 37°C for 30min; Incubation with (CD138) Monoclonal Antibody, Unconjugated (bsm-60902R) at 1:200 overnight at 4°C, followed by operating according to SP Kit(Rabbit) (sp-0023) instructionsand DAB staining.
Paraformaldehyde-fixed, paraffin embedded (human kidney); Antigen retrieval by boiling in sodium citrate buffer (pH6.0) for 15min; Block endogenous peroxidase by 3% hydrogen peroxide for 20 minutes; Blocking buffer (normal goat serum) at 37°C for 30min; Incubation with (CD138) Monoclonal Antibody, Unconjugated (bsm-60902R) at 1:200 overnight at 4°C, followed by operating according to SP Kit(Rabbit) (sp-0023) instructionsand DAB staining.
(Negative control) Paraformaldehyde-fixed, paraffin embedded Human Skeletal muscle; Antigen retrieval by boiling in sodium citrate buffer (pH6.0) for 15 min; The section was incubated with CD138 Monoclonal Antibody, Unconjugated (bsm-60902R) at 1:200 overnight at 4°C, followed by conjugation to the bs-0295G-HRP and DAB (C-0010) staining.
Paraformaldehyde-fixed, paraffin embedded Human Esophagus; Antigen retrieval by boiling in sodium citrate buffer (pH6.0) for 15 min; The section was incubated with CD138 Monoclonal Antibody, Unconjugated (bsm-60902R) at 1:200 overnight at 4°C. Followed by conjugated Goat Anti-Ratbbit IgG antibody (green, bs-0295G-BF488), DAPI (blue, C02-04002) was used to stain the cell nuclei.
版权所有 2004-2026 www.bioss.com.cn 北京博奥森生物技术有限公司
通过国际质量管理体系ISO 9001:2015 GB/T 19001-2016    证书编号: 00124Q34771R2M/1100
通过国际医疗器械-质量管理体系ISO 13485:2016 GB/T 42061-2022     证书编号: CQC24QY20047R0M/1100
京ICP备05066980号-1         京公网安备110107000727号