扫码关注公众号           扫码咨询技术支持           扫码咨询技术服务
  
客服热线:400-901-9800  客服QQ:4009019800  技术答疑  技术支持  质量反馈  人才招聘  关于我们  联系我们
产品中心-北京博奥森生物技术有限公司
首页 > 产品中心 > 一抗 > 产品信息
STAT5A Recombinant Rabbit mAb (bsm-60899R)  
订购热线:400-901-9800
订购邮箱:sales@bioss.com.cn
订购QQ:  400-901-9800
技术支持:techsupport@bioss.com.cn
25ul/800.00元
50ul/1400.00元
100ul/2500.00元
大包装/询价

产品编号 bsm-60899R
英文名称 STAT5A Recombinant Rabbit mAb
中文名称 信号转导和转录激活因子5重组兔单抗
别    名 MGF; STAT5; STA5A_HUMAN; STAT5A; STA5A_MOUSE; Mammary gland factor; Mpf; STA5A_RAT;   
抗体来源 Rabbit
克隆类型 Recombinant
克 隆 号 15H8
交叉反应 Human
产品应用 IHC-P=1:100-500,IHC-F=1:100-500,IF=1:100-500
not yet tested in other applications.
optimal dilutions/concentrations should be determined by the end user.
理论分子量 90 kDa
细胞定位 细胞核 细胞浆 
性    状 Liquid
浓    度 1mg/ml
免 疫 原 KLH conjugated synthetic peptide derived from human STAT5 
亚    型 IgG
纯化方法 affinity purified by Protein A
缓 冲 液 0.01M TBS(pH7.4) with 1% BSA, 0.02% Proclin300 and 50% Glycerol.
保存条件 Shipped at 4℃. Store at -20 °C for one year. Avoid repeated freeze/thaw cycles.
注意事项 This product as supplied is intended for research use only, not for use in human, therapeutic or diagnostic applications.
PubMed PubMed
产品介绍 The protein encoded by this gene is a member of the STAT family of transcription factors. In response to cytokines and growth factors, STAT family members are phosphorylated by the receptor associated kinases, and then form homo- or heterodimers that translocate to the cell nucleus where they act as transcription activators. This protein is activated by, and mediates the responses of many cell ligands, such as IL2, IL3, IL7 GM-CSF, erythropoietin, thrombopoietin, and different growth hormones. Activation of this protein in myeloma and lymphoma associated with a TEL/JAK2 gene fusion is independent of cell stimulus and has been shown to be essential for the tumorigenesis. The mouse counterpart of this gene is found to induce the expression of BCL2L1/BCL-X(L), which suggests the antiapoptotic function of this gene in cells. [provided by RefSeq, Jul 2008]

Function:
Carries out a dual function: signal transduction and activation of transcription. Mediates cellular responses to the cytokine KITLG/SCF and other growth factors. May mediate cellular responses to activated FGFR1, FGFR2, FGFR3 and FGFR4. Binds to the GAS element and activates PRL-induced transcription. Regulates the expression of milk proteins during lactation.

Subunit:
Forms a homodimer or a heterodimer with a related family member. Binds NR3C1. Interacts with NCOA1 and SOCS7. Interacts with ERBB4.

Subcellular Location:
Cytoplasm. Nucleus. Note=Mostly cytoplasmic during pregnancy, whereas it becomes predominantly nuclear during early lactation. It is translocated into the nucleus in response to phosphorylation.

Tissue Specificity:
Expressed in heart, lung, and weakly in muscle.

Post-translational modifications:
Tyrosine phosphorylated in response to IL2, IL3, IL7, IL15, KITLG/SCF, CSF2/GMCSF, GH1, PRL, EPO and THPO. Tyrosine phosphorylated in response to signaling via activated FLT3 and KIT, resulting in translocation to the nucleus. Tyrosine phosphorylated in response to constitutively activated FGFR1, FGFR2, FGFR3 and FGFR4. Alternatively, can be phosphorylated by JAK2 at Tyr-694. Tyrosine phosphorylation is required for DNA-binding activity and dimerization. Serine phosphorylation is also required for maximal transcriptional activity (By similarity).

Similarity:
Belongs to the transcription factor STAT family. Contains 1 SH2 domain.

SWISS:
P42229

Gene ID:
6776

Database links:

Entrez Gene: 6776 Human

Entrez Gene: 20850 Mouse

Entrez Gene: 24918 Rat

Omim: 601511 Human

SwissProt: P42229 Human

SwissProt: P42230 Mouse

SwissProt: Q62771 Rat

Unigene: 437058 Human

Unigene: 277403 Mouse

Unigene: 154399 Rat



转录调节因子(Transcriptin Regulators)
STAT-信号转导和转录激活因子蛋白家族是近年来发现的一类转录因子.通过JAK-STAT途径介导许多由细胞因子诱导的反应,参与细胞的信号转导和转录。
产品图片
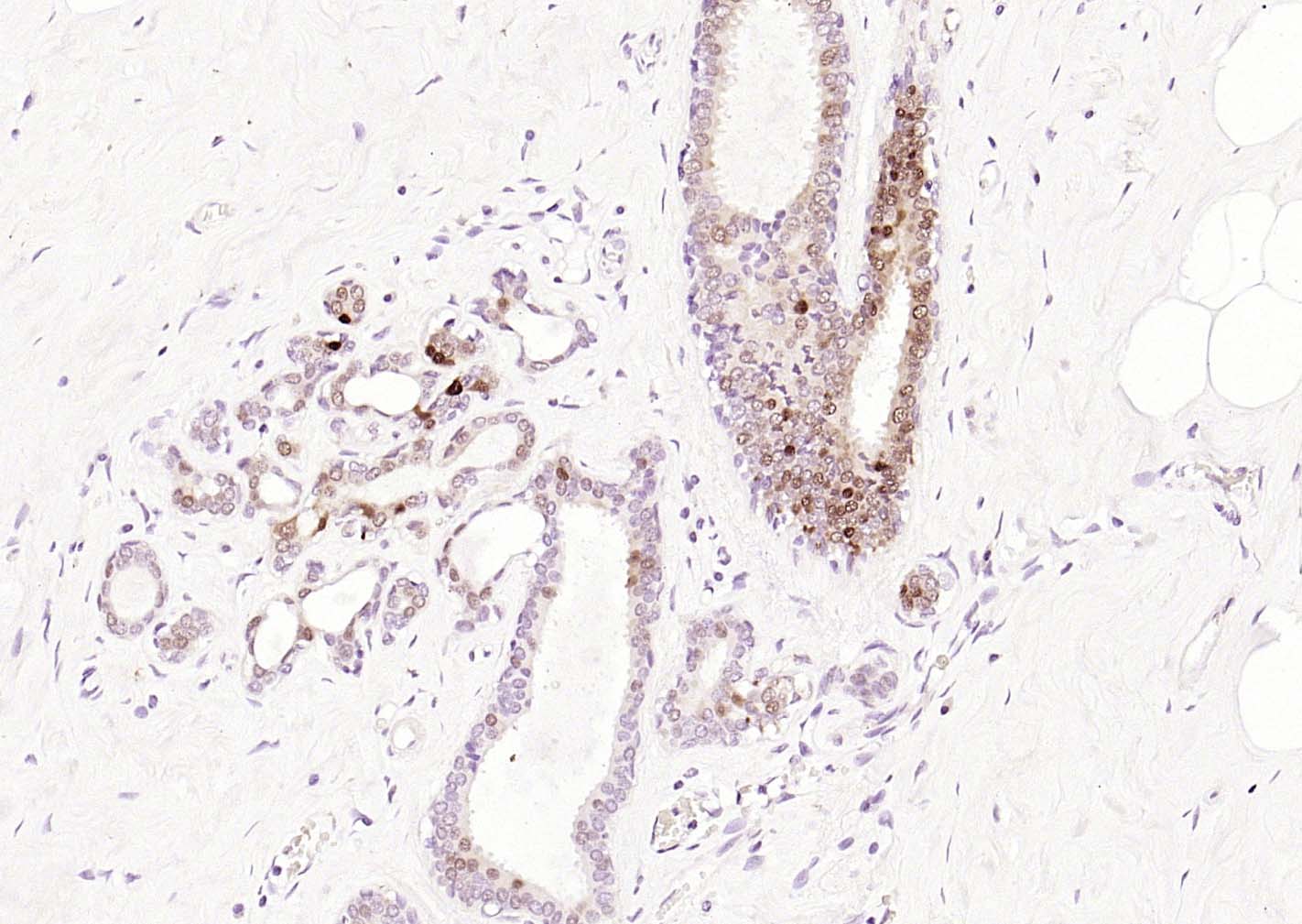
Paraformaldehyde-fixed, paraffin embedded (human breast); Antigen retrieval by boiling in EDTA buffer (pH6.0) for 15min; Block endogenous peroxidase by 3% hydrogen peroxide for 20 minutes; Blocking buffer (normal goat serum) at 37°C for 30min; Incubation with (STAT5A) Monoclonal Antibody, Unconjugated (bsm-60899R) at 1:100 overnight at 4°C, followed by operating according to SP Kit(Rabbit) (sp-0023) instructionsand DAB staining.
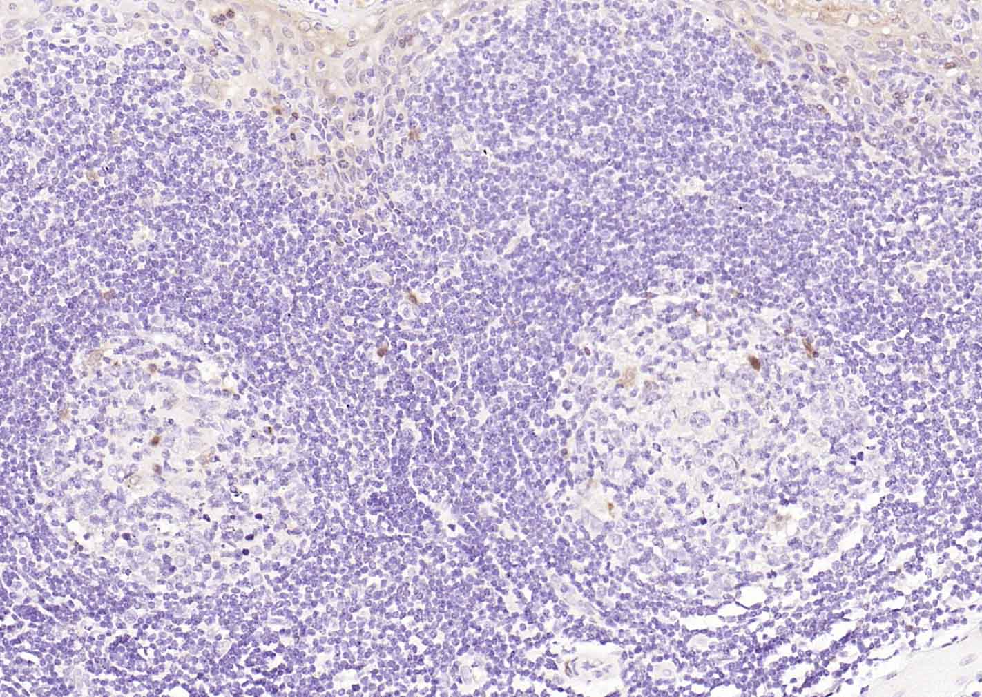
Paraformaldehyde-fixed, paraffin embedded (human tonsil); Antigen retrieval by boiling in sodium citrate buffer (pH6.0) for 15min; Block endogenous peroxidase by 3% hydrogen peroxide for 20 minutes; Blocking buffer (normal goat serum) at 37°C for 30min; Incubation with (STAT5A) Monoclonal Antibody, Unconjugated (bsm-60899R) at 1:200 overnight at 4°C, followed by operating according to SP Kit(Rabbit) (sp-0023)instructionsand DAB staining.
版权所有 2004-2026 www.bioss.com.cn 北京博奥森生物技术有限公司
通过国际质量管理体系ISO 9001:2015 GB/T 19001-2016    证书编号: 00124Q34771R2M/1100
通过国际医疗器械-质量管理体系ISO 13485:2016 GB/T 42061-2022     证书编号: CQC24QY20047R0M/1100
京ICP备05066980号-1         京公网安备110107000727号