扫码关注公众号           扫码咨询技术支持           扫码咨询技术服务
  
客服热线:400-901-9800  客服QQ:4009019800  技术答疑  技术支持  质量反馈  人才招聘  关于我们  联系我们
产品中心-北京博奥森生物技术有限公司
首页 > 产品中心 > 一抗 > 产品信息
CD30 Recombinant Rabbit mAb (bsm-54798R)  
订购热线:400-901-9800
订购邮箱:sales@bioss.com.cn
订购QQ:  400-901-9800
技术支持:techsupport@bioss.com.cn
25ul/800.00元
50ul/1400.00元
100ul/2500.00元
大包装/询价

产品编号 bsm-54798R
英文名称 CD30 Recombinant Rabbit mAb
中文名称 CD30重组兔单抗
别    名 TNR8_HUMAN; TNFRSF8; CD30L receptor; Ki-1 antigen; Lymphocyte activation antigen CD30; CD30; D1S166E;   
抗体来源 Rabbit
克隆类型 Recombinant
克 隆 号 3A20
交叉反应 Human
产品应用 WB=1:1000-5000,IHC-P=1:100-500,IHC-F=1:100-500,IF=1:100-500
not yet tested in other applications.
optimal dilutions/concentrations should be determined by the end user.
理论分子量 62 kDa
检测分子量 110
细胞定位 细胞浆 细胞膜 
性    状 Liquid
浓    度 1mg/ml
免 疫 原 A synthesized peptide derived from human CD30: 570-595/595 <Cytoplasmic>
亚    型 IgG
纯化方法 affinity purified by Protein A
缓 冲 液 0.01M TBS(pH7.4) with 1% BSA, 0.02% Proclin300 and 50% Glycerol.
保存条件 Shipped at 4℃. Store at -20 °C for one year. Avoid repeated freeze/thaw cycles.
注意事项 This product as supplied is intended for research use only, not for use in human, therapeutic or diagnostic applications.
PubMed PubMed
产品介绍 The protein encoded by this gene is a member of the TNF-receptor superfamily. This receptor is expressed by activated, but not by resting, T and B cells. TRAF2 and TRAF5 can interact with this receptor, and mediate the signal transduction that leads to the activation of NF-kappaB. This receptor is a positive regulator of apoptosis, and also has been shown to limit the proliferative potential of autoreactive CD8 effector T cells and protect the body against autoimmunity. Two alternatively spliced transcript variants of this gene encoding distinct isoforms have been reported. [provided by RefSeq, Jul 2008]

Function:
Receptor for TNFSF8/CD30L. May play a role in the regulation of cellular growth and transformation of activated lymphoblasts. Regulates gene expression through activation of NF-kappa-B.

Subunit:
Interacts with TRAF1, TRAF2, TRAF3 and TRAF5.

Subcellular Location:
Isoform Long: Cell membrane; Single-pass type I membrane protein. Isoform Short: Cytoplasm.

Tissue Specificity:
Detected in thymus and in activated splenocytes.

Post-translational modifications:
Phosphorylated on serine and tyrosine residues.

Similarity:
Contains 6 TNFR-Cys repeats

SWISS:
P28908

Gene ID:
943

Database links:

Entrez Gene: 943 Human

Omim: 153243 Human

SwissProt: P28908 Human

Unigene: 1314 Human



CD30是一种单链糖蛋白,标记活化T和B淋巴细胞,R-S细胞和部分淋巴滤泡间区免疫母细胞。CD30是霍奇金淋巴瘤的一个特异性标记,也是大细胞间变型淋巴瘤的诊断型标志。
产品图片
25 ug total protein per lane of various lysates (see on figure) probed with CD30 monoclonal antibody, unconjugated (bsm-54798R) at 1:1000 dilution and 4°C overnight incubation. Followed by conjugated secondary antibody incubation at r.t. for 60 min.
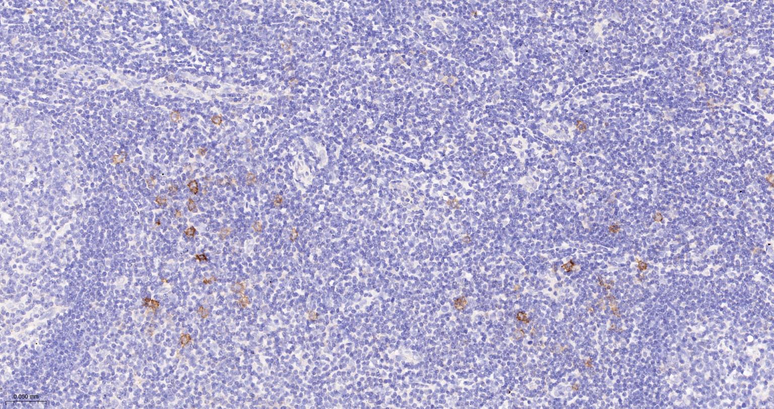
Paraformaldehyde-fixed, paraffin embedded Human Tonsil; Antigen retrieval by boiling in sodium citrate buffer (pH6.0) for 15 min; Antibody incubation with CD30 Monoclonal Antibody, Unconjugated(bsm-54798R) at 1:200 overnight at 4°C, followed by conjugation to the bs-0295G-HRP and DAB (C-0010) staining.
版权所有 2004-2026 www.bioss.com.cn 北京博奥森生物技术有限公司
通过国际质量管理体系ISO 9001:2015 GB/T 19001-2016    证书编号: 00124Q34771R2M/1100
通过国际医疗器械-质量管理体系ISO 13485:2016 GB/T 42061-2022     证书编号: CQC24QY20047R0M/1100
京ICP备05066980号-1         京公网安备110107000727号