扫码关注公众号           扫码咨询技术支持           扫码咨询技术服务
  
客服热线:400-901-9800  客服QQ:4009019800  技术答疑  技术支持  质量反馈  人才招聘  关于我们  联系我们
产品中心-北京博奥森生物技术有限公司
首页 > 产品中心 > 一抗 > 产品信息
Fibulin 5 Rabbit pAb (bs-42060R)  
订购热线:400-901-9800
订购邮箱:sales@bioss.com.cn
订购QQ:  400-901-9800
技术支持:techsupport@bioss.com.cn
50ul/1180.00元
100ul/1980.00元
200ul/2800.00元
大包装/询价

产品编号 bs-42060R
英文名称 Fibulin 5 Rabbit pAb
中文名称 衰老关键蛋白抗体
别    名 ADCL2; ARCL1A; ARMD3; CMT1H; DANCE; EVEC; FIBL-5; HNARMD; UP50; A55; FBLN5_HUMAN; FBLN5; Developmental arteries and neural crest EGF-like protein (Dance); Urine p50 protein (UP50); FBLN5_MOUSE;   
抗体来源 Rabbit
克隆类型 Polyclonal
克 隆 号
交叉反应 Human
产品应用 WB=1:500-2000,IHC-P=1:100-500,IHC-F=1:100-500,IF=1:100-500,ICC/IF=1:50-200
not yet tested in other applications.
optimal dilutions/concentrations should be determined by the end user.
理论分子量 48 kDa
细胞定位 分泌型蛋白 
性    状 Liquid
浓    度 1mg/ml
免 疫 原 Recombinant human Fibulin 5 protein: 199-448/448 
亚    型 IgG
纯化方法 affinity purified by Protein A
缓 冲 液 0.01M TBS (pH7.4) with 1% BSA, 0.02% Proclin300 and 50% Glycerol.
保存条件 Shipped at 4℃. Store at -20℃ for one year. Avoid repeated freeze/thaw cycles.
注意事项 This product as supplied is intended for research use only, not for use in human, therapeutic or diagnostic applications.
PubMed PubMed
产品介绍 Fibulin 5: A protein that belongs to a family of extracellular proteins expressed in the basement membranes of blood vessels. Fibulin 5 may be essential for the polymerization of elastin. Missense mutations in FBLN5, the gene that encodes fibulin 5, appear responsible for 1-2% of cases of age-related macular degeneration (AMD). FBLN5 is located on chromosome 14 in band 14q32.1. See also: Fibulin 3. May play a role in vascular growth and maturation during development and in lesions of injured vessels.

Function:
Promotes adhesion of endothelial cells through interaction of integrins and the RGD motif. Could be a vascular ligand for integrin receptors and may play a role in vascular development and remodeling.

Subunit:
Homodimer.

Subcellular Location:
Secreted.

Tissue Specificity:
Expressed predominantly in heart, ovary, and colon but also in kidney, pancreas, testis, lung and placenta. Not detectable in brain, liver, thymus, prostate, or peripheral blood leukocytes.

DISEASE:
Cutis laxa, autosomal dominant, 2 (ADCL2) [MIM:614434]: A connective tissue disorder characterized by loose, hyperextensible skin with decreased resilience and elasticity leading to a premature aged appearance. Face, hands, feet, joints, and torso may be differentially affected. Additional variable clinical features are gastrointestinal diverticula, hernia, and genital prolapse. Rare manifestations are pulmonary artery stenosis, aortic aneurysm, bronchiectasis, and emphysema. Note=The disease is caused by mutations affecting the gene represented in this entry. Cutis laxa, autosomal recessive, 1A (ARCL1A) [MIM:219100]: A connective tissue disorder characterized by loose, hyperextensible skin with decreased resilience and elasticity leading to a premature aged appearance. Face, hands, feet, joints, and torso may be differentially affected. The clinical spectrum of autosomal recessive cutis laxa is highly heterogeneous with respect to organ involvement and severity. Type I autosomal recessive cutis laxa is a specific, life-threatening disorder with organ involvement, lung atelectasis and emphysema, diverticula of the gastrointestinal and genitourinary systems, and vascular anomalies. Associated cranial anomalies, late closure of the fontanel, joint laxity, hip dislocation, and inguinal hernia have been observed but are uncommon. Note=The disease is caused by mutations affecting the gene represented in this entry. Age-related macular degeneration 3 (ARMD3) [MIM:608895]: A form of age-related macular degeneration, a multifactorial eye disease and the most common cause of irreversible vision loss in the developed world. In most patients, the disease is manifest as ophthalmoscopically visible yellowish accumulations of protein and lipid that lie beneath the retinal pigment epithelium and within an elastin-containing structure known as Bruch membrane. Note=Disease susceptibility is associated with variations affecting the gene represented in this entry.

Similarity:
Belongs to the fibulin family. Contains 6 EGF-like domains.

SWISS:
Q9UBX5

Gene ID:
10516

Database links:

Entrez Gene: 10516 Human

Entrez Gene: 23876 Mouse

Omim: 604580 Human

SwissProt: Q9UBX5 Human

SwissProt: Q9WVH9 Mouse

Unigene: 332708 Human

Unigene: 288381 Mouse



Fibulin-5 Fibulin-5亦称为FBLN-5、DANCE或EVEC是细胞外基质蛋白质家族的一员,在组织器官发育、重塑和修复过程中起重要作用,并与内皮细胞相互作用.Fibulin-5广泛分布于富含弹性蛋白的组织, 能直接与原弹性蛋白结合,并将后者锚于细胞表面,这对形成弹性纤维十分关键, 对血管的发育和修复具有重要作用.此外,Fibuljn-5还能促进创口愈合, 与细胞的增殖、运动和侵袭有关
fibulin-5有学者称“皮肤衰老关键蛋白”与皮肤弹性有关的蛋白,对于起着固定细胞外壁、保持肌肤紧绷、维护肺部和血管柔韧性作用的弹性纤维的发育十分关键.
还有学者认为:fibulin-5能够抑制血管的形成,该蛋白质在肿瘤转移过程中表达降低或消失,将有可能用于肿瘤治疗方面的研究。
产品图片
Sample: Lane 1: Recombinant human Fibulin 5 protein, C-His(bs-42060P) Primary: Anti-Fibulin 5 (bs-42060R) at 1/1000 dilution Secondary: IRDye800CW Goat Anti-Rabbit IgG at 1/20000 dilution Predicted band size: 48 kDa Observed band size: 30 kDa
Paraformaldehyde-fixed, paraffin embedded Human Uterus; Antigen retrieval by boiling in sodium citrate buffer (pH6.0) for 15 min; The section was incubated with Fibulin 5 Polyclonal Antibody, Unconjugated (bs-42060R) at 1:200 overnight at 4°C, followed by conjugation to the bs-0295G-HRP and DAB (C-0010) staining.
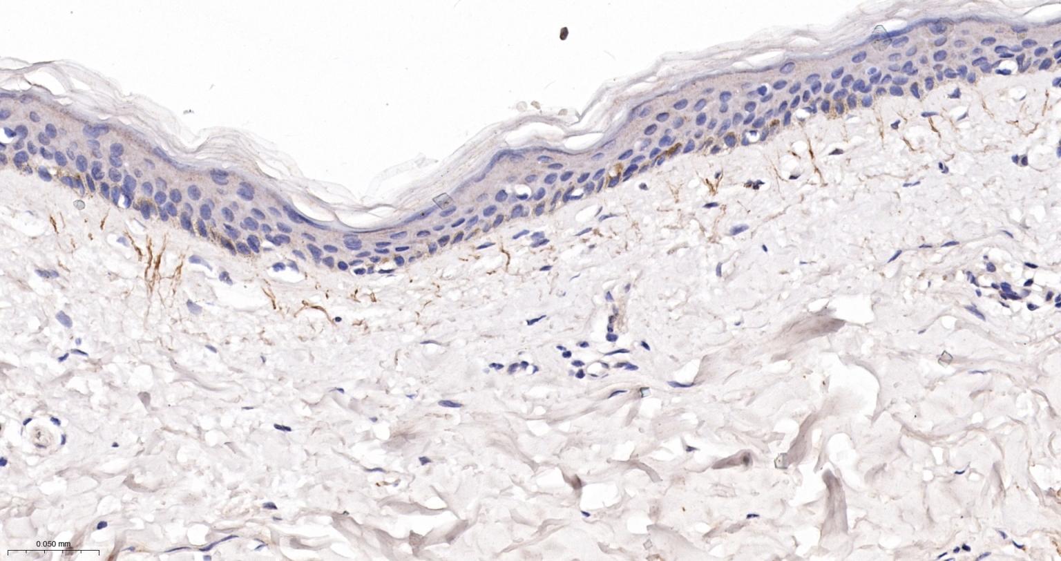
Paraformaldehyde-fixed, paraffin embedded Human Skin; Antigen retrieval by boiling in sodium citrate buffer (pH6.0) for 15 min; The section was incubated with Fibulin 5 Polyclonal Antibody, Unconjugated (bs-42060R) at 1:200 overnight at 4°C, followed by conjugation to the bs-0295G-HRP and DAB (C-0010) staining.
Paraformaldehyde-fixed, paraffin embedded Human Lung; Antigen retrieval by boiling in sodium citrate buffer (pH6.0) for 15 min; The section was incubated with Fibulin 5 Polyclonal Antibody, Unconjugated (bs-42060R) at 1:200 overnight at 4°C, followed by conjugation to the bs-0295G-HRP and DAB (C-0010) staining.
版权所有 2004-2026 www.bioss.com.cn 北京博奥森生物技术有限公司
通过国际质量管理体系ISO 9001:2015 GB/T 19001-2016    证书编号: 00124Q34771R2M/1100
通过国际医疗器械-质量管理体系ISO 13485:2016 GB/T 42061-2022     证书编号: CQC24QY20047R0M/1100
京ICP备05066980号-1         京公网安备110107000727号