扫码关注公众号           扫码咨询技术支持           扫码咨询技术服务
  
客服热线:400-901-9800  客服QQ:4009019800  技术答疑  技术支持  质量反馈  人才招聘  关于我们  联系我们
产品中心-北京博奥森生物技术有限公司
首页 > 产品中心 > 一抗 > 产品信息
IL7R/CD127 Mouse mAb (bsm-43043M)  
订购热线:400-901-9800
订购邮箱:sales@bioss.com.cn
订购QQ:  400-901-9800
技术支持:techsupport@bioss.com.cn
50ul/1180.00元
100ul/1980.00元
200ul/2800.00元
大包装/询价

产品编号 bsm-43043M
英文名称 IL7R/CD127 Mouse mAb
中文名称 白细胞介素-7受体a(CD127)单克隆抗体
别    名 CD127; CDW127; IL-7R-alpha; IL-7Ralpha; IL7RA; IL7Ralpha; ILRA; IMD104; lnc-IL7R; sIL-7R; IL7RA_HUMAN; IL7R; IL-7 receptor subunit alpha; IL-7R subunit alpha; IL-7RA; IL7RA_MOUSE;   
抗体来源 Mouse
克隆类型 Monoclonal
克 隆 号 11D4
交叉反应 Human
产品应用 IHC-P=1:50-200,IHC-F=1:50-200,IF=1:50-200
not yet tested in other applications.
optimal dilutions/concentrations should be determined by the end user.
理论分子量 50 kDa
细胞定位 细胞膜 分泌型蛋白 
性    状 Liquid
浓    度 1mg/ml
免 疫 原 Recombinant human IL-7R Alpha / CD127 protein: 21-239/459 
亚    型
纯化方法 affinity purified by Protein A
缓 冲 液 0.01M TBS (pH7.4) with 1% BSA, 0.02% Proclin300 and 50% Glycerol.
保存条件 Shipped at 4℃. Store at -20℃ for one year. Avoid repeated freeze/thaw cycles.
注意事项 This product as supplied is intended for research use only, not for use in human, therapeutic or diagnostic applications.
PubMed PubMed
产品介绍 The protein encoded by this gene is a receptor for interleukine 7 (IL7). The function of this receptor requires the interleukin 2 receptor, gamma chain (IL2RG), which is a common gamma chain shared by the receptors of various cytokines, including interleukine 2, 4, 7, 9, and 15. This protein has been shown to play a critical role in the V(D)J recombination during lymphocyte development. This protein is also found to control the accessibility of the TCR gamma locus by STAT5 and histone acetylation. Knockout studies in mice suggested that blocking apoptosis is an essential function of this protein during differentiation and activation of T lymphocytes. The functional defects in this protein may be associated with the pathogenesis of the severe combined immunodeficiency (SCID).

Function:
Receptor for interleukin-7. Also acts as a receptor for thymic stromal lymphopoietin (TSLP).

Subunit:
The IL7 receptor is an heterodimer of IL7R and IL2RG. The TSLP receptor is an heterodimer of CRLF2 and IL7R.

Subcellular Location:
Secreted and Cell membrane.

Post-translational modifications:
N-glycosylated IL-7Ralpha binds IL7 300-fold more tightly than the unglycosylated form.

DISEASE:
Defects in IL7R are a cause of severe combined immunodeficiency autosomal recessive T-cell-negative/B-cell-positive/NK-cell-positive (T(-)B(+)NK(+) SCID) [MIM:608971]. A form of severe combined immunodeficiency (SCID), a genetically and clinically heterogeneous group of rare congenital disorders characterized by impairment of both humoral and cell-mediated immunity, leukopenia, and low or absent antibody levels. Patients present in infancy recurrent, persistent infections by opportunistic organisms. The common characteristic of all types of SCID is absence of T-cell-mediated cellular immunity due to a defect in T-cell development. Genetic variations in IL7R are a cause of susceptibility to multiple sclerosis type 3 (MS3) [MIM:612595]. A multifactorial, inflammatory, demyelinating disease of the central nervous system. Sclerotic lesions are characterized by perivascular infiltration of monocytes and lymphocytes and appear as indurated areas in pathologic specimens (sclerosis in plaques). The pathological mechanism is regarded as an autoimmune attack of the myelin sheat, mediated by both cellular and humoral immunity. Clinical manifestations include visual loss, extra-ocular movement disorders, paresthesias, loss of sensation, weakness, dysarthria, spasticity, ataxia and bladder dysfunction. Genetic and environmental factors influence susceptibility to the disease. Note=A polymorphism at position 244 strongly influences susceptibility to multiple sclerosis. Overtransmission of the major 'C' allele coding for Thr-244 is detected in offspring affected with multiple sclerosis. In vitro analysis of transcripts from minigenes containing either 'C' allele (Thr-244) or 'T' allele (Ile-244) shows that the 'C' allele results in an approximately two-fold increase in the skipping of exon 6, leading to increased production of a soluble form of IL7R. Thus, the multiple sclerosis associated 'C' risk allele of IL7R would probably decrease membrane-bound expression of IL7R. As this risk allele is common in the general population, some additional triggers are probably required for the development and progression of MS.

Similarity:
Belongs to the type I cytokine receptor family. Type 4 subfamily. Contains 1 fibronectin type-III domain.

SWISS:
P16871

Gene ID:
3575

Database links:

Entrez Gene: 3575 Human

Entrez Gene: 16197 Mouse

Entrez Gene: 294797 Rat

Omim: 146661 Human

SwissProt: P16871 Human

SwissProt: P16872 Mouse

SwissProt: 224662 Rat

Unigene: 591742 Human

Unigene: 635723 Human

Unigene: 389 Mouse



产品图片
Paraformaldehyde-fixed, paraffin embedded Human Thymus; Antigen retrieval by boiling in sodium citrate buffer (pH6.0) for 15 min; Antibody incubation with IL7R Monoclonal Antibody, Unconjugated(ascites of bsm-43043M) at 1:200 overnight at 4°C, followed by conjugation to the SP Kit(Mouse, SP-0024) and DAB (C-0010) staining.
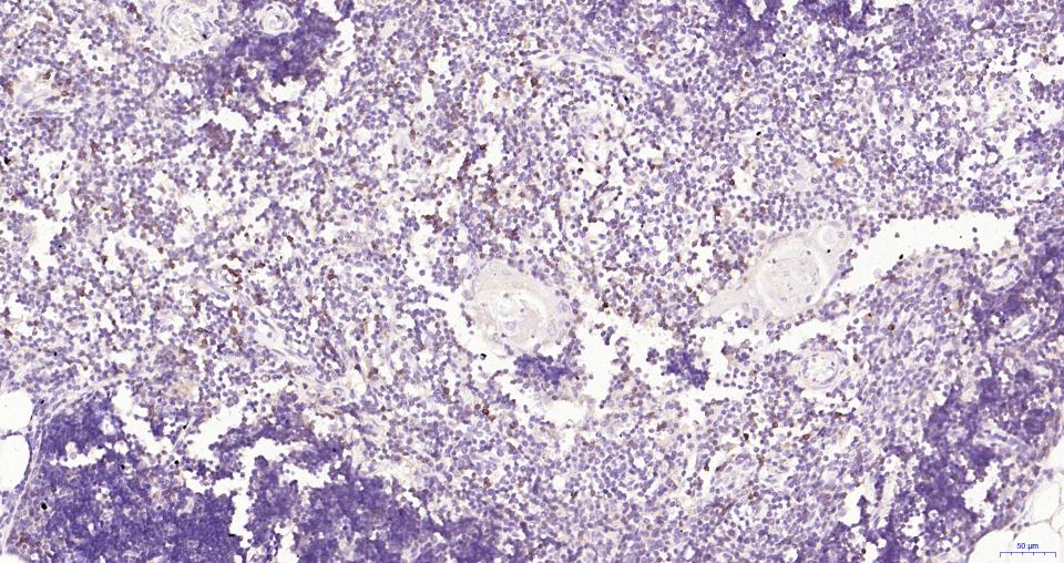
Paraformaldehyde-fixed, paraffin embedded Human spleen; Antigen retrieval by boiling in sodium citrate buffer (pH6.0) for 15 min; Antibody incubation with IL7R Monoclonal Antibody, Unconjugated(ascites of bsm-43043M) at 1:200 overnight at 4°C, followed by conjugation to the SP Kit(Mouse, SP-0024) and DAB (C-0010) staining.
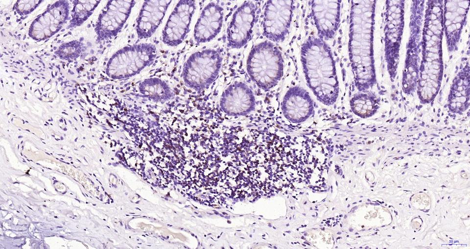
Paraformaldehyde-fixed, paraffin embedded Human Colon; Antigen retrieval by boiling in sodium citrate buffer (pH6.0) for 15 min; Antibody incubation with IL7R Monoclonal Antibody, Unconjugated(ascites of bsm-43043M) at 1:200 overnight at 4°C, followed by conjugation to the SP Kit(Mouse, SP-0024) and DAB (C-0010) staining.
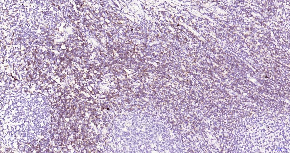
Paraformaldehyde-fixed, paraffin embedded Human tonsil; Antigen retrieval by boiling in sodium citrate buffer (pH6.0) for 15 min; Antibody incubation with IL7R Monoclonal Antibody, Unconjugated(ascites of bsm-43043M) at 1:200 overnight at 4°C, followed by conjugation to the SP Kit(Mouse, SP-0024) and DAB (C-0010) staining.
Paraformaldehyde-fixed, paraffin embedded Human Spleen; Antigen retrieval by boiling in sodium citrate buffer (pH6.0) for 15 min; The section was incubated with IL7R/CD127 Monoclonal Antibody, Unconjugated (bsm-43043M) at 1:200 overnight at 4°C. Followed by conjugated Goat Anti-Mouse IgG antibody (green, bs-0295G-BF488), DAPI (blue, C02-04002) was used to stain the cell nuclei.
版权所有 2004-2026 www.bioss.com.cn 北京博奥森生物技术有限公司
通过国际质量管理体系ISO 9001:2015 GB/T 19001-2016    证书编号: 00124Q34771R2M/1100
通过国际医疗器械-质量管理体系ISO 13485:2016 GB/T 42061-2022     证书编号: CQC24QY20047R0M/1100
京ICP备05066980号-1         京公网安备110107000727号