扫码关注公众号           扫码咨询技术支持           扫码咨询技术服务
  
客服热线:400-901-9800  客服QQ:4009019800  技术答疑  技术支持  质量反馈  人才招聘  关于我们  联系我们
产品中心-北京博奥森生物技术有限公司
首页 > 产品中心 > 一抗 > 产品信息
Acetyl Lysine Recombinant Rabbit mAb (bsm-60865R)  
订购热线:400-901-9800
订购邮箱:sales@bioss.com.cn
订购QQ:  400-901-9800
技术支持:techsupport@bioss.com.cn
25ul/800.00元
50ul/1400.00元
100ul/2500.00元
大包装/询价

产品编号 bsm-60865R
英文名称 Acetyl Lysine Recombinant Rabbit mAb
中文名称 乙酰基赖氨酸/乙酰化赖氨酸重组兔单抗
别    名 Lysine (acetyl) | 56-87-1; ac-Lysine; acetyl-Lysine; pan acetyl Lys;   赖氨酸乙酰化; 乙酰化修饰赖氨酸;乙酰赖氨酸;
抗体来源 Rabbit
克隆类型 Recombinant
克 隆 号 6E11
交叉反应 Species independent
产品应用 WB=1:500-1000,IHC-P=1:100-500,IHC-F=1:100-500,IF=1:100-500
not yet tested in other applications.
optimal dilutions/concentrations should be determined by the end user.
检测分子量 Multiple
细胞定位 细胞核 细胞浆 
性    状 Liquid
浓    度 1mg/ml
亚    型 IgG
纯化方法 affinity purified by Protein A
缓 冲 液 PBS, Glycerol, BSA.
保存条件 Shipped at 4℃. Store at -20℃ for one year. Avoid repeated freeze/thaw cycles.
注意事项 This product as supplied is intended for research use only, not for use in human, therapeutic or diagnostic applications.
PubMed PubMed
产品介绍


产品图片
Sealing solution and concentration: 5% NFDM/TBST First antibody dilution: 1:1000 Incubation conditions for primary antibody: 2 hours at room temperature Cracking solution: 1: HeLa, 2: NIH-3T3, 3: BRL, 4: Mouse liver, 5: Mouse kidney Secondary antibody: Goat Anti Rabbit IgG H&L (HRP) Protein loading amount: 20 μ G Exposure time: 60 seconds Theoretical molecular weight: Multiple kDa Actual molecular weight: Multiple kDa
Sealing solution and concentration: 5% NFDM/TBST Cracking liquid: HeLa First antibody dilution: 1:1000 Incubation conditions for primary antibody: 2 hours at room temperature Secondary antibody: Goat Anti Rabbit IgG H&L (HRP) Processing method: 1: bsm-60865R pre adorbed with 3 μ M synthetic Kac peptides; 2: bsm-60865R pre adorbed with 3 μ M unmodified peptides Protein loading amount: 20 μ G Exposure time: 30 seconds Theoretical molecular weight: Multiple kDa Actual molecular weight: Multiple kDa
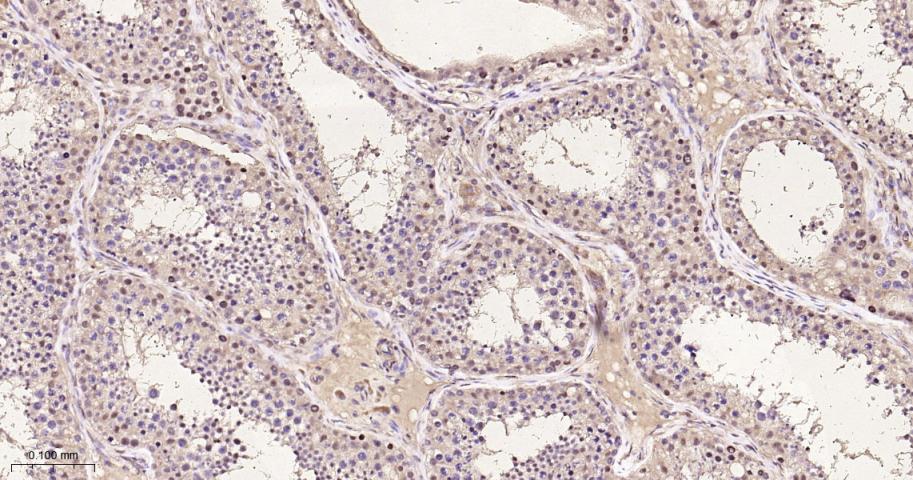
Paraformaldehyde-fixed, paraffin embedded Human Testicles; Antigen retrieval by boiling in sodium citrate buffer (pH6.0) for 15 min; The section was incubated with Acetyl Lysine Monoclonal Antibody, Unconjugated (bsm-60865R) at 1:200 overnight at 4°C, followed by conjugation to the bs-0295G-HRP and DAB (C-0010) staining.
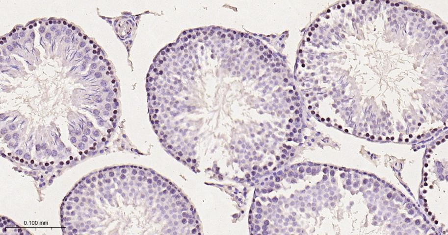
Paraformaldehyde-fixed, paraffin embedded Rat Testicles; Antigen retrieval by boiling in sodium citrate buffer (pH6.0) for 15 min; The section was incubated with Acetyl Lysine Monoclonal Antibody, Unconjugated (bsm-60865R) at 1:200 overnight at 4°C, followed by conjugation to the bs-0295G-HRP and DAB (C-0010) staining.
版权所有 2004-2026 www.bioss.com.cn 北京博奥森生物技术有限公司
通过国际质量管理体系ISO 9001:2015 GB/T 19001-2016    证书编号: 00124Q34771R2M/1100
通过国际医疗器械-质量管理体系ISO 13485:2016 GB/T 42061-2022     证书编号: CQC24QY20047R0M/1100
京ICP备05066980号-1         京公网安备110107000727号