扫码关注公众号           扫码咨询技术支持           扫码咨询技术服务
  
客服热线:400-901-9800  客服QQ:4009019800  技术答疑  技术支持  质量反馈  人才招聘  关于我们  联系我们
产品中心-北京博奥森生物技术有限公司
首页 > 产品中心 > 一抗 > 产品信息
Benzoyllysine Mouse mAb (bsm-60864M)  
订购热线:400-901-9800
订购邮箱:sales@bioss.com.cn
订购QQ:  400-901-9800
技术支持:techsupport@bioss.com.cn
20ul/1280.00元
50ul/2800.00元
大包装/询价

产品编号 bsm-60864M
英文名称 Benzoyllysine Mouse mAb
中文名称 苯甲酰基赖氨酸/苯甲酰化赖氨酸单克隆抗体
别    名 Benzoylated Lysine; Benzoyllysine; benzyl-lysine; benzyl Lys; Kbz; ;  赖氨酸苯甲酰化; 苯甲酰化修饰赖氨酸
抗体来源 Mouse
克隆类型 Monoclonal
克 隆 号 9B7
交叉反应 Species independent
产品应用 WB=1:500-1000,IHC-P=1:200-1000,IHC-F=1:200-1000,IF=1:200-1000
not yet tested in other applications.
optimal dilutions/concentrations should be determined by the end user.
检测分子量 Multiple
性    状 Liquid
浓    度 1mg/ml
免 疫 原 benzoylated BSA 
亚    型 IgG
纯化方法 免疫亲和层析纯化
缓 冲 液 PBS, Glycerol, BSA.
保存条件 Shipped at 4℃. Store at -20℃ for one year. Avoid repeated freeze/thaw cycles.
注意事项 This product as supplied is intended for research use only, not for use in human, therapeutic or diagnostic applications.
PubMed PubMed
产品介绍 Lysine benzoyllysine is a newly-identified histone post-translational modification by integrated proteomic approaches and elaborate biochemistry analyses. It has been shown that lysine benzoylation is an evolutionarily conserved PTM in multiple species of both prokaryotes and eukaryotes.


赖氨酸苯甲酰化是一种进化保守的修饰,在很多原核和真核生物中都有表达。
产品图片
Sealing solution and concentration: 5% NFDM/TBST First antibody dilution: 1:1000 Incubation conditions for primary antibody: 2 hours at room temperature Secondary antibody: Goat Anti Mouse IgG H&L (HRP) Cracking liquid: HeLa, N2a, HepG2 Protein loading amount: 20 μ G Exposure time: 60 seconds Theoretical molecular weight: Multiple kDa Actual molecular weight: Multiple kDa
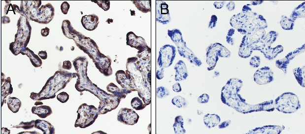
Tissue: human placenta Section type: Formalin fixed & Paraffin -embedded section Retrieval method: High temperature and high pressure Retrieval buffer: Tris/EDTA buffer, pH 9.0 Primary Ab dilution: 1:1000 Primary Ab incubation condition: 1 hour at room temperature Secondary Ab: SP Kit(Mouse)(sp-0024) Counter stain: Hematoxylin (Blue) Comment: Color brown is the positive signal for bsm-60864M
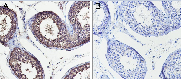
Tissue: human testis Section type: Formalin fixed & Paraffin -embedded section Retrieval method: High temperature and high pressure Retrieval buffer: Tris/EDTA buffer, pH 9.0 Primary Ab dilution: 1:1000 Primary Ab incubation condition: 1 hour at room temperature Secondary Ab: SP Kit(Mouse)(sp-0024) Counter stain: Hematoxylin (Blue) Comment: Color brown is the positive signal for bsm-60864M
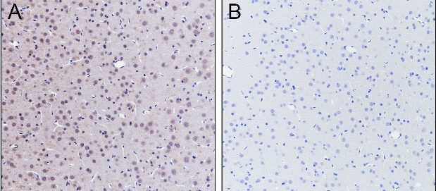
Tissue: rat brain Section type: Formalin fixed & Paraffin -embedded section Retrieval method: High temperature and high pressure Retrieval buffer: Tris/EDTA buffer, pH 9.0 Primary Ab dilution: 1:1000 Primary Ab incubation condition: 1 hour at room temperature Secondary Ab: SP Kit(Mouse)(sp-0024) Counter stain: Hematoxylin (Blue) Comment: Color brown is the positive signal for bsm-60864M
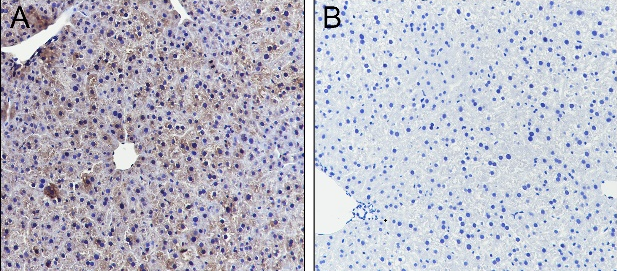
Tissue: mouse liver Section type: Formalin fixed & Paraffin -embedded section Retrieval method: High temperature and high pressure Retrieval buffer: Tris/EDTA buffer, pH 9.0 Primary Ab dilution: 1:1000 Primary Ab incubation condition: 1 hour at room temperature Secondary Ab: SP Kit(Mouse)(sp-0024) Counter stain: Hematoxylin (Blue) Comment: Color brown is the positive signal for bsm-60864M
版权所有 2004-2026 www.bioss.com.cn 北京博奥森生物技术有限公司
通过国际质量管理体系ISO 9001:2015 GB/T 19001-2016    证书编号: 00124Q34771R2M/1100
通过国际医疗器械-质量管理体系ISO 13485:2016 GB/T 42061-2022     证书编号: CQC24QY20047R0M/1100
京ICP备05066980号-1         京公网安备110107000727号