扫码关注公众号           扫码咨询技术支持           扫码咨询技术服务
  
客服热线:400-901-9800  客服QQ:4009019800  技术答疑  技术支持  质量反馈  人才招聘  关于我们  联系我们
产品中心-北京博奥森生物技术有限公司
首页 > 产品中心 > 一抗 > 产品信息
SOCS1 Mouse mAb (bsm-33894M)  
订购热线:400-901-9800
订购邮箱:sales@bioss.com.cn
订购QQ:  400-901-9800
技术支持:techsupport@bioss.com.cn
50ul/1180.00元
100ul/1980.00元
大包装/询价

产品编号 bsm-33894M
英文名称 SOCS1 Mouse mAb
中文名称 细胞因子信号传导抑制蛋白1单克隆抗体
别    名 AISIMD; CIS1; CISH1; JAB; SOCS-1; SSI-1; SSI1; TIP-3; TIP3; Cish7; SOCS1_HUMAN; SOCS1; JAK-binding protein (JAB); STAT-induced STAT inhibitor 1 (SSI-1); Tec-interacting protein 3 (TIP-3); SOCS1_MOUSE; SOCS1_RAT;   
抗体来源 Mouse
克隆类型 Monoclonal
克 隆 号 4B2
交叉反应 Human,Rat (predicted: Mouse)
产品应用 IHC-P=1:100-500,IHC-F=1:100-500,IF=1:100-500
not yet tested in other applications.
optimal dilutions/concentrations should be determined by the end user.
理论分子量 23 kDa
细胞定位 细胞核 细胞浆 
性    状 Liquid
浓    度 1mg/ml
免 疫 原 KLH conjugated synthetic peptide derived from human Socs 1 
亚    型 IgG1
纯化方法 affinity purified by Protein A
缓 冲 液 PBS, pH7.4, containing 0.02% Proclin300 as Preservative and 50% Glycerol.
保存条件 Shipped at 4℃. Store at -20℃ for one year. Avoid repeated freeze/thaw cycles.
注意事项 This product as supplied is intended for research use only, not for use in human, therapeutic or diagnostic applications.
PubMed PubMed
产品介绍 SOCS family proteins form part of a classical negative feedback system that regulates cytokine signal transduction. SOCS1 is involved in negative regulation of cytokines that signal through the JAK/STAT3 pathway. Through binding to JAKs, inhibits their kinase activity. In vitro, also suppresses Tec protein-tyrosine activity (By similarity). Appears to be a major regulator of signaling by interleukin 6 (IL6) and leukemia inhibitory factor(LIF). Regulates interferon-gamma mediated sensory neuron survival. Implicated, through SOCS box binding, in ubiquitin-dependent protein degradation. High expression in thymus. Lower expression in lung and spleen.

Function:
SOCS family proteins form part of a classical negative feedback system that regulates cytokine signal transduction. SOCS1 is involved in negative regulation of cytokines that signal through the JAK/STAT3 pathway. Through binding to JAKs, inhibits their kinase activity. In vitro, also suppresses Tec protein-tyrosine activity. Appears to be a major regulator of signaling by interleukin 6 (IL6) and leukemia inhibitory factor (LIF). Regulates interferon-gamma mediated sensory neuron survival (By similarity). Probable substrate recognition component of an ECS (Elongin BC-CUL2/5-SOCS-box protein) E3 ubiquitin ligase complex which mediates the ubiquitination and subsequent proteasomal degradation of target proteins. Seems to recognize JAK2. SOCS1 appears to be a negative regulator in IGF1R signaling pathway.

Subunit:
Interacts with multiple activated signaling proteins of the tyrosine kinase signaling pathway including JAK family kinases, TEC, KIT, GRB2 and VAV. Binding to JAKs is mediated through the KIR and SH2 domains to a phosphorylated tyrosine residue within the JAK JH1 domain. Binds the SH3 domain of GRB2 via diproline determinants in the N-terminus, and the N-terminal regulatory domain of VAV. Interacts with the Elongin BC complex (TCEB1 and TCEB2). Component of an ECS CBC(SOCS1) E3 ubiquitin-protein ligase complex which contains Elongin BC, CUL5, RBX1 and SOCS1. Interacts (via SH2 domain and SOCS box) with TRIM8. Interacts with AXL, CUL2 and FGFR3. Interacts with INSR.

Subcellular Location:
Nucleus. Cytoplasmic vesicle. Note=Detected in perinuclear cytoplasmic vesicles upon interaction with FGFR3.

Tissue Specificity:
Expressed in all tissues with high expression in spleen, small intestine and peripheral blood leukocytes.

Similarity:
Contains 1 SH2 domain. Contains 1 SOCS box domain.

SWISS:
O15524

Gene ID:
8651

Database links:

Entrez Gene: 8651 Human

Entrez Gene: 12703 Mouse

Entrez Gene: 252971 Rat

Omim: 603597 Human

SwissProt: O15524 Human

SwissProt: O35716 Mouse

SwissProt: Q9QX78 Rat

Unigene: 50640 Human

Unigene: 130 Mouse

Unigene: 82754 Rat



细胞因子信号传导抑制蛋白(suppressor of cytokine signaling, SOCS)家族是一类由细胞产生并反馈性阻断细胞因子信号转导过程的负性调节因子,SOCS1可抑制IL-6、LIF、OSM、INF-γ以及GH等多种细胞因子的信号转导,对体内多种免疫反应的激活起调控作用。SOCS1异常表达与多种疾病的发病相关,在急慢性白血病、类风湿性关节炎、肝硬化和肝癌的发病中起重要作用;对信号转导,特别是JAKSTAT通路的负调控作用已被肯定。
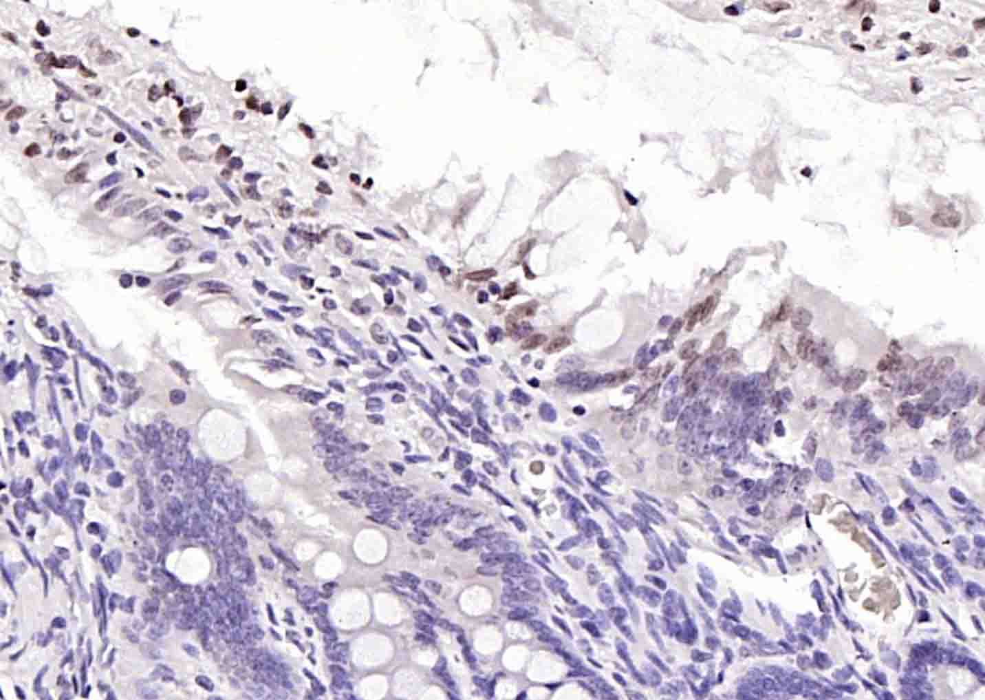
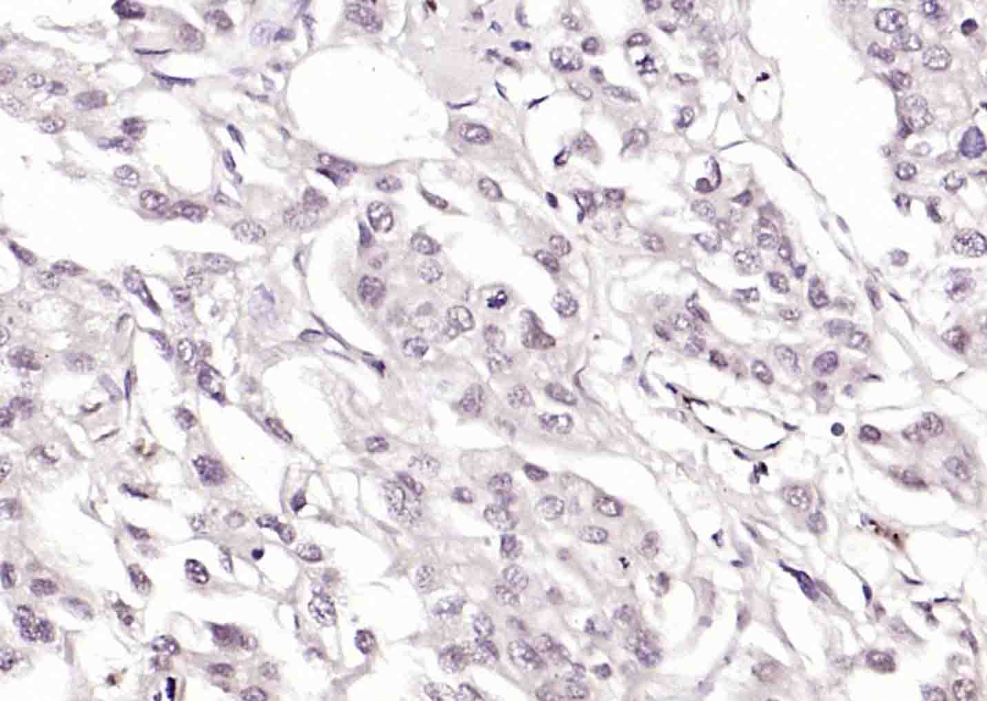
产品图片
Paraformaldehyde-fixed, paraffin embedded (human skin cancer); Antigen retrieval by boiling in sodium citrate buffer (pH6.0) for 15min; Block endogenous peroxidase by 3% hydrogen peroxide for 20 minutes; Blocking buffer (normal goat serum) at 37°C for 30min; Incubation with (SOCS1) Monoclonal Antibody, Unconjugated (bsm-33894M) at 1:200 overnight at 4°C, followed by operating according to SP Kit(Mouse)(sp-0024) instructionsand DAB staining.
Paraformaldehyde-fixed, paraffin embedded (rat intestine); Antigen retrieval by boiling in sodium citrate buffer (pH6.0) for 15min; Block endogenous peroxidase by 3% hydrogen peroxide for 20 minutes; Blocking buffer (normal goat serum) at 37°C for 30min; Incubation with (SOCS1) Monoclonal Antibody, Unconjugated (bsm-33894M) at 1:200 overnight at 4°C, followed by operating according to SP Kit(Mouse)(sp-0024) instructionsand DAB staining.
版权所有 2004-2026 www.bioss.com.cn 北京博奥森生物技术有限公司
通过国际质量管理体系ISO 9001:2015 GB/T 19001-2016    证书编号: 00124Q34771R2M/1100
通过国际医疗器械-质量管理体系ISO 13485:2016 GB/T 42061-2022     证书编号: CQC24QY20047R0M/1100
京ICP备05066980号-1         京公网安备110107000727号