扫码关注公众号           扫码咨询技术支持           扫码咨询技术服务
  
客服热线:400-901-9800  客服QQ:4009019800  技术答疑  技术支持  质量反馈  人才招聘  关于我们  联系我们
产品中心-北京博奥森生物技术有限公司
首页 > 产品中心 > 一抗 > 产品信息
CD56 Mouse mAb (bsm-43504M)  
订购热线:400-901-9800
订购邮箱:sales@bioss.com.cn
订购QQ:  400-901-9800
技术支持:techsupport@bioss.com.cn
50ul/1180.00元
100ul/1980.00元
200ul/2800.00元
大包装/询价

产品编号 bsm-43504M
英文名称 CD56 Mouse mAb
中文名称 神经细胞粘附分子1单克隆抗体
别    名 CD56; MSK39; NCAM; E-NCAM; NCAM-1; N-CAM; N-CAM-1; NCAM-C; NCAMC; NCAM1_HUMAN; NCAM1; NCAM1_MOUSE; NCAM1_RAT;   
抗体来源 Mouse
克隆类型 Monoclonal
克 隆 号 5B7
交叉反应 Human
产品应用 IHC-P=1:100-500,IHC-F=1:100-500,IF=1:100-500
not yet tested in other applications.
optimal dilutions/concentrations should be determined by the end user.
理论分子量 92 kDa
细胞定位 细胞膜 分泌型蛋白 
性    状 Liquid
免 疫 原 Recombinant human CD56 protein: 21-603/761 
亚    型
纯化方法 affinity purified by Protein A
缓 冲 液 0.01M TBS (pH7.4) with 1% BSA, 0.02% Proclin300 and 50% Glycerol.
保存条件 Shipped at 4℃. Store at -20℃ for one year. Avoid repeated freeze/thaw cycles.
注意事项 This product as supplied is intended for research use only, not for use in human, therapeutic or diagnostic applications.
PubMed PubMed
产品介绍 This gene encodes a cell adhesion protein which is a member of the immunoglobulin superfamily. The encoded protein is involved in cell-to-cell interactions as well as cell-matrix interactions during development and differentiation. The encoded protein has been shown to be involved in development of the nervous system, and for cells involved in the expansion of T cells and dendritic cells which play an important role in immune surveillance. Alternative splicing results in multiple transcript variants. [provided by RefSeq, Jun 2011]

Function:
This protein is a cell adhesion molecule involved in neuron-neuron adhesion, neurite fasciculation, outgrowth of neurites, etc. Subcellular Location : Isoform 1, 2,: Cell membrane; Single-pass type I membrane protein. Isoform 3, 4: Cell membrane; Lipid-anchor, GPI-anchor. Isoform 5, 6: Secreted.

Subcellular Location:
Isoform 1, 2,: Cell membrane; Single-pass type I membrane protein. Isoform 3, 4: Cell membrane; Lipid-anchor, GPI-anchor. Isoform 5, 6: Secreted.

Similarity:
Contains 2 fibronectin type-III domains. Contains 5 Ig-like C2-type (immunoglobulin-like) domains.

SWISS:
P13591

Gene ID:
4684

Database links:

Entrez Gene: 4684 Human

Entrez Gene: 17967 Mouse

Entrez Gene: 24586 Rat

Omim: 116930 Human

SwissProt: P13591 Human

SwissProt: P13595 Mouse

SwissProt: P13596 Rat

Unigene: 503878 Human

Unigene: 711235 Human

Unigene: 733031 Human

Unigene: 439182 Mouse

Unigene: 4974 Mouse

Unigene: 11283 Rat



细胞粘附蛋白(Call Adhesion Protein) 神经元标志物 NCAM-1为神经细胞粘附分子,主要分布于神经组织,神经—肌肉接头,神经—内分泌腺和某些内分泌腺以及大多数神经外胚层来源的细胞、组织和肿瘤中。 NCAM 1主要用于视网膜母细胞瘤、髓母细胞瘤、星形细胞瘤、神经母细胞瘤等肿瘤方面的研究。CD56(神经细胞黏附分子,NCAM)表达于大部分神经外胚层来源的细胞系、组织和肿瘤如视网膜母细胞瘤、成神经管细胞瘤、星形细胞瘤以及成神经细胞瘤。它也表达于一些中胚层来源的肿瘤如横纹肌肉瘤。NK细胞以及NK细胞淋巴瘤为阳性。CD56被认为是NK细胞肿瘤的重要标志物。该抗体识别分子量为180,145和125kDa亚型。
产品图片
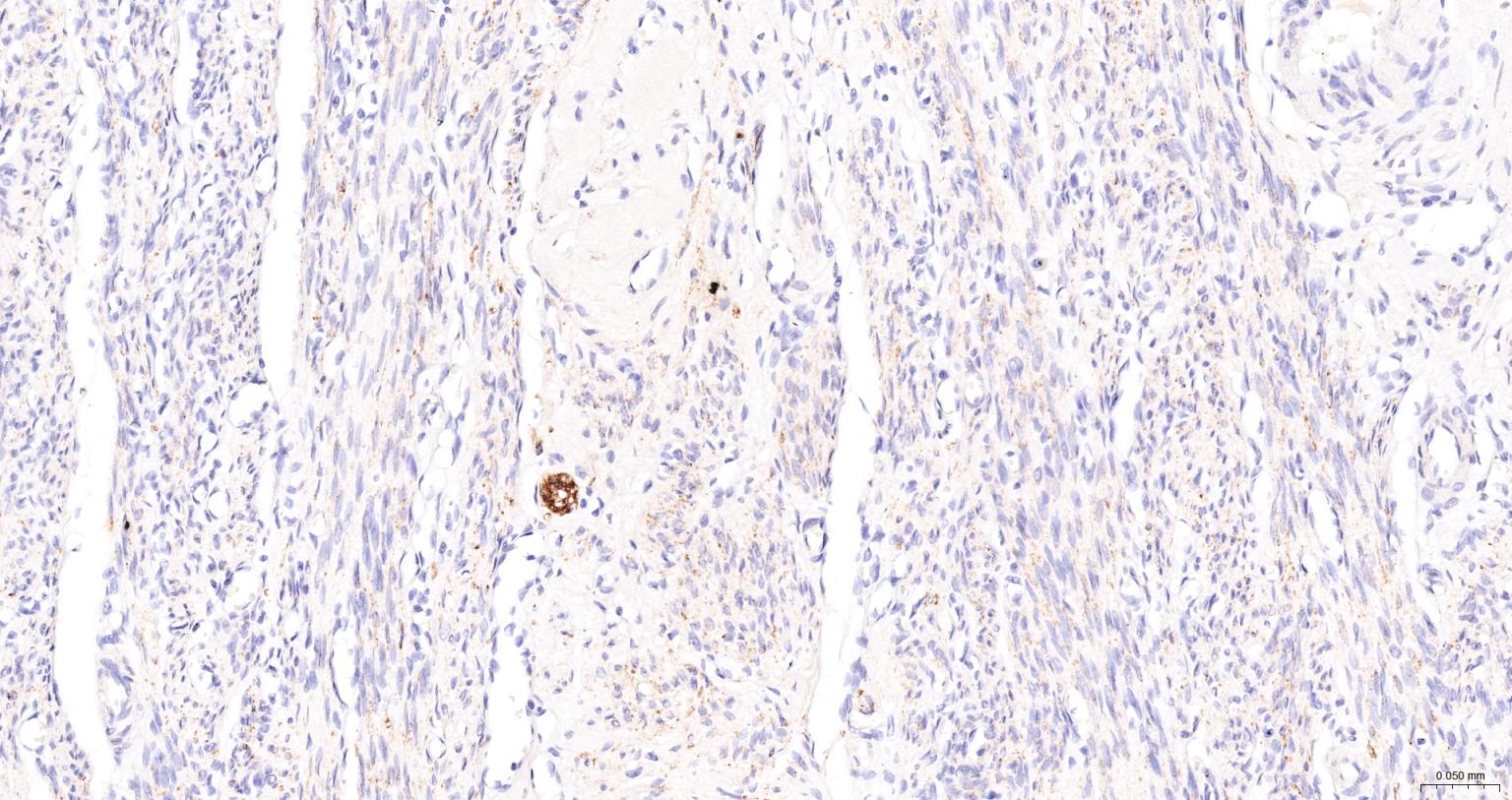
Paraformaldehyde-fixed, paraffin embedded Human Endometrial Cancer; Antigen retrieval by boiling in sodium citrate buffer (pH6.0) for 15 min; The section was incubated with CD56 Monoclonal Antibody, Unconjugated (bsm-43504M) at 1:200 overnight at 4°C, followed by conjugation to the bs-40296G-HRP and DAB (C-0010) staining.
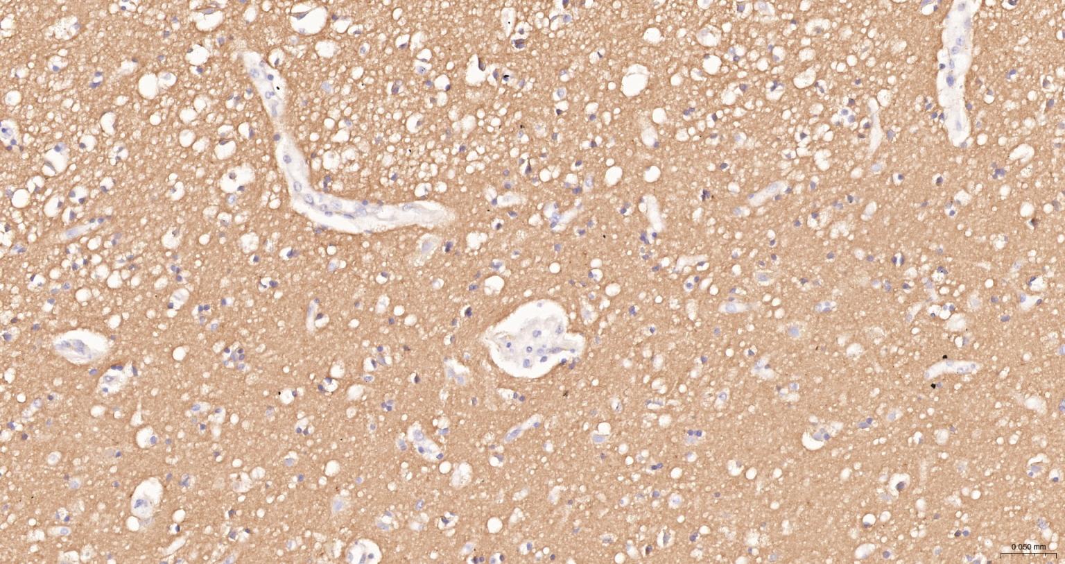
Paraformaldehyde-fixed, paraffin embedded Human Left Parietal Lobe; Antigen retrieval by boiling in sodium citrate buffer (pH6.0) for 15 min; The section was incubated with CD56 Monoclonal Antibody, Unconjugated (bsm-43504M) at 1:200 overnight at 4°C, followed by conjugation to the bs-40296G-HRP and DAB (C-0010) staining.
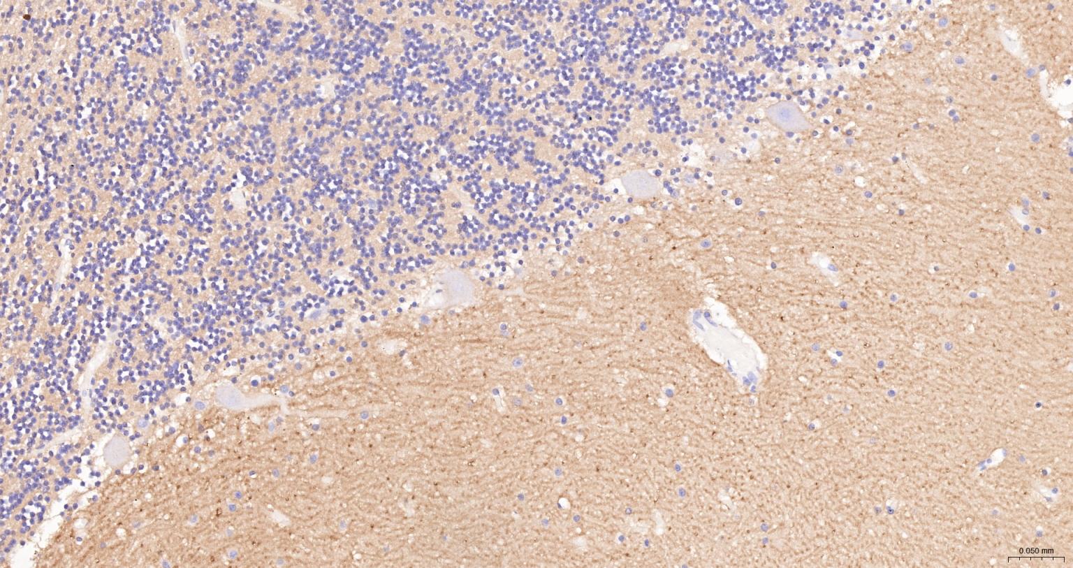
Paraformaldehyde-fixed, paraffin embedded Human Cerebellum; Antigen retrieval by boiling in sodium citrate buffer (pH6.0) for 15 min; The section was incubated with CD56 Monoclonal Antibody, Unconjugated (bsm-43504M) at 1:200 overnight at 4°C, followed by conjugation to the bs-40296G-HRP and DAB (C-0010) staining.
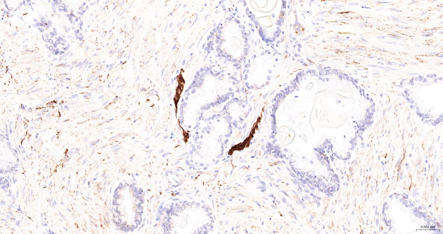
Paraformaldehyde-fixed, paraffin embedded Human Prostate; Antigen retrieval by boiling in sodium citrate buffer (pH6.0) for 15 min; The section was incubated with CD56 Monoclonal Antibody, Unconjugated (bsm-43504M) at 1:200 overnight at 4°C, followed by conjugation to the bs-40296G-HRP and DAB (C-0010) staining.
Paraformaldehyde-fixed, paraffin embedded Human Colon; Antigen retrieval by boiling in sodium citrate buffer (pH6.0) for 15 min; The section was incubated with CD56 Monoclonal Antibody, Unconjugated (bsm-43504M) at 1:200 overnight at 4°C, followed by conjugation to the bs-40296G-HRP and DAB (C-0010) staining.
Paraformaldehyde-fixed, paraffin embedded Human Colon Cancer; Antigen retrieval by boiling in sodium citrate buffer (pH6.0) for 15 min; The section was incubated with CD56 Monoclonal Antibody, Unconjugated (bsm-43504M) at 1:200 overnight at 4°C, followed by conjugation to the bs-40296G-HRP and DAB (C-0010) staining.
Paraformaldehyde-fixed, paraffin embedded Human Left parietal lobe; Antigen retrieval by boiling in sodium citrate buffer (pH6.0) for 15 min; The section was incubated with CD56 Monoclonal Antibody, Unconjugated (bsm-43504M) at 1:200 overnight at 4°C. Followed by conjugated Goat Anti-Mouse IgG antibody (Red, bs-0296G-BF594), DAPI (blue, C02-04002) was used to stain the cell nuclei.
Paraformaldehyde-fixed, paraffin embedded Human Cerebellum; Antigen retrieval by boiling in sodium citrate buffer (pH6.0) for 15 min; The section was incubated with CD56 Monoclonal Antibody, Unconjugated (bsm-43504M) at 1:200 overnight at 4°C. Followed by conjugated Goat Anti-Mouse IgG antibody (Red, bs-0296G-BF594), DAPI (blue, C02-04002) was used to stain the cell nuclei.
Paraformaldehyde-fixed, paraffin embedded Human Cerebrum; Antigen retrieval by boiling in sodium citrate buffer (pH6.0) for 15 min; The section was incubated with CD56 Monoclonal Antibody, Unconjugated (bsm-43504M) at 1:200 overnight at 4°C. Followed by conjugated Goat Anti-Mouse IgG antibody (Red, bs-0296G-BF594), DAPI (blue, C02-04002) was used to stain the cell nuclei.
Paraformaldehyde-fixed, paraffin embedded Human Colon Cancer; Antigen retrieval by boiling in sodium citrate buffer (pH6.0) for 15 min; The section was incubated with CD56 Monoclonal Antibody, Unconjugated (bsm-43504M) at 1:200 overnight at 4°C. Followed by conjugated Goat Anti-Mouse IgG antibody (Red, bs-0296G-BF594), DAPI (blue, C02-04002) was used to stain the cell nuclei.
Paraformaldehyde-fixed, paraffin embedded Human Colon; Antigen retrieval by boiling in sodium citrate buffer (pH6.0) for 15 min; The section was incubated with CD56 Monoclonal Antibody, Unconjugated (bsm-43504M) at 1:200 overnight at 4°C. Followed by conjugated Goat Anti-Mouse IgG antibody (Red, bs-0296G-BF594), DAPI (blue, C02-04002) was used to stain the cell nuclei.
版权所有 2004-2026 www.bioss.com.cn 北京博奥森生物技术有限公司
通过国际质量管理体系ISO 9001:2015 GB/T 19001-2016    证书编号: 00124Q34771R2M/1100
通过国际医疗器械-质量管理体系ISO 13485:2016 GB/T 42061-2022     证书编号: CQC24QY20047R0M/1100
京ICP备05066980号-1         京公网安备110107000727号