扫码关注公众号           扫码咨询技术支持           扫码咨询技术服务
  
客服热线:400-901-9800  客服QQ:4009019800  技术答疑  技术支持  质量反馈  人才招聘  关于我们  联系我们
产品中心-北京博奥森生物技术有限公司
首页 > 产品中心 > 一抗 > 产品信息
Synapsin 1 Mouse mAb (bsm-60850M)  
订购热线:400-901-9800
订购邮箱:sales@bioss.com.cn
订购QQ:  400-901-9800
技术支持:techsupport@bioss.com.cn
50ul/1580.00元
100ul/2500.00元
大包装/询价

产品编号 bsm-60850M
英文名称 Synapsin 1 Mouse mAb
中文名称 神经突触素1单克隆抗体
别    名 EPILX; EPILX1; MRX50; SYN1a; SYN1b; SYNI; Syn-1; Syn1-S; SYN1_HUMAN; SYN1; Brain protein 4.1; Synapsin I; SYN1_MOUSE; SYN1_RAT;   
抗体来源 Mouse
克隆类型 Monoclonal
克 隆 号 1F4
交叉反应 Human,Rat (predicted: Mouse)
产品应用 IHC-P=1:50-200,IHC-F=1:50-200,IF=1:50-200
not yet tested in other applications.
optimal dilutions/concentrations should be determined by the end user.
理论分子量 85 kDa
细胞定位 细胞浆 细胞膜 
性    状 Liquid
浓    度 1mg/ml
免 疫 原 KLH conjugated synthetic peptide derived from human Synapsin I 
亚    型 IgG1, Kappa
缓 冲 液 PBS, Glycerol, BSA.
保存条件 Shipped at 4℃. Store at -20℃ for one year. Avoid repeated freeze/thaw cycles.
注意事项 This product as supplied is intended for research use only, not for use in human, therapeutic or diagnostic applications.
PubMed PubMed
产品介绍 This gene is a member of the synapsin gene family. Synapsins encode neuronal phosphoproteins which associate with the cytoplasmic surface of synaptic vesicles. Family members are characterized by common protein domains, and they are implicated in synaptogenesis and the modulation of neurotransmitter release, suggesting a potential role in several neuropsychiatric diseases. This member of the synapsin family plays a role in regulation of axonogenesis and synaptogenesis. The protein encoded serves as a substrate for several different protein kinases and phosphorylation may function in the regulation of this protein in the nerve terminal. Mutations in this gene may be associated with X-linked disorders with primary neuronal degeneration such as Rett syndrome. Alternatively spliced transcript variants encoding different isoforms have been identified. [provided by RefSeq, Jul 2008]

Function:
Neuronal phosphoprotein that coats synaptic vesicles, binds to the cytoskeleton, and is believed to function in the regulation of neurotransmitter release. The complex formed with NOS1 and CAPON proteins is necessary for specific nitric-oxid functions at a presynaptic level.

Subunit:
Homodimer. Interacts with CAPON. Forms a ternary complex with NOS1. Isoform Ib interacts with PRNP.

Subcellular Location:
Cell junction, synapse. Golgi apparatus.

Post-translational modifications:
Substrate of at least four different protein kinases. It is probable that phosphorylation plays a role in the regulation of synapsin-1 in the nerve terminal. Phosphorylated upon DNA damage, probably by ATM or ATR. Phosphorylation at Ser-9 dissociates synapsins from synaptic vesicles.

DISEASE:
Defects in SYN1 are a cause of epilepsy X-linked with variable learning disabilities and behavior disorders [MIM:300491]. XELBD is characterized by variable combinations of epilepsy, learning difficulties, macrocephaly, and aggressive behavior.

Similarity:
Belongs to the synapsin family.

SWISS:
P17600

Gene ID:
6853

Database links:

Entrez Gene: 6853 Human

Entrez Gene: 20964 Mouse

Entrez Gene: 24949 Rat

Omim: 313440 Human

SwissProt: P17600 Human

SwissProt: O88935 Mouse

SwissProt: P09951 Rat

Unigene: 225936 Human

Unigene: 439844 Mouse

Unigene: 9923 Rat



产品图片
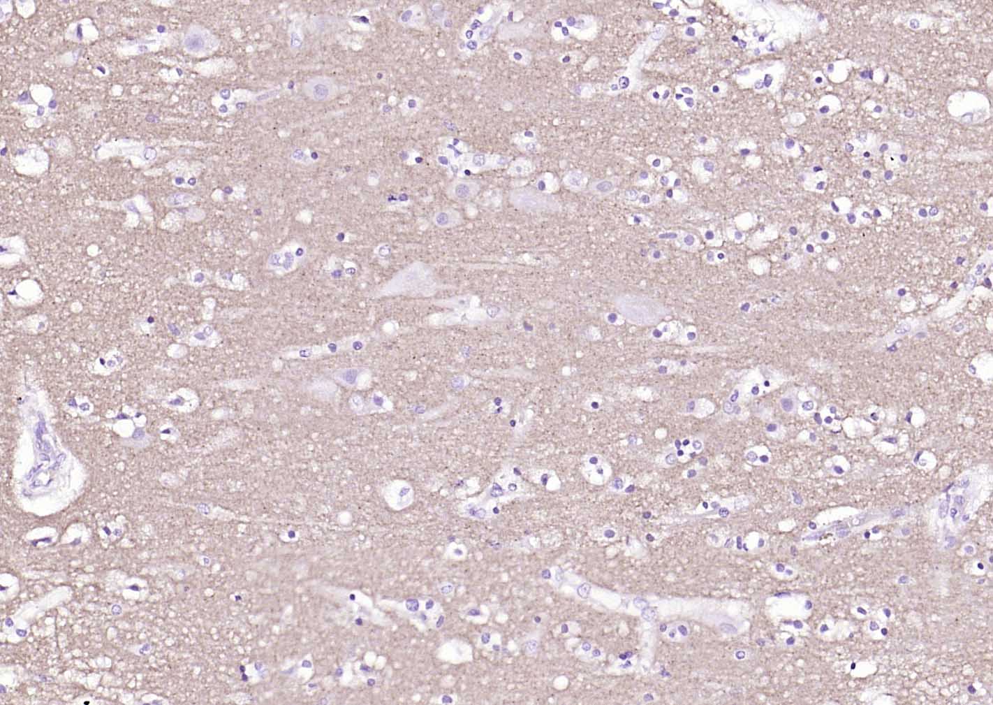
Paraformaldehyde-fixed, paraffin embedded (Human left parietal lobe); Antigen retrieval by boiling in sodium citrate buffer (pH6.0) for 15min; Block endogenous peroxidase by 3% hydrogen peroxide for 20 minutes; Blocking buffer (normal goat serum) at 37°C for 30min; Incubation with (Synapsin 1) Monoclonal Antibody, Unconjugated (bsm-60850M) at 1:50 overnight at 4°C, followed by operating according to SP Kit(Mouse)(sp-0024) instructionsand DAB staining.
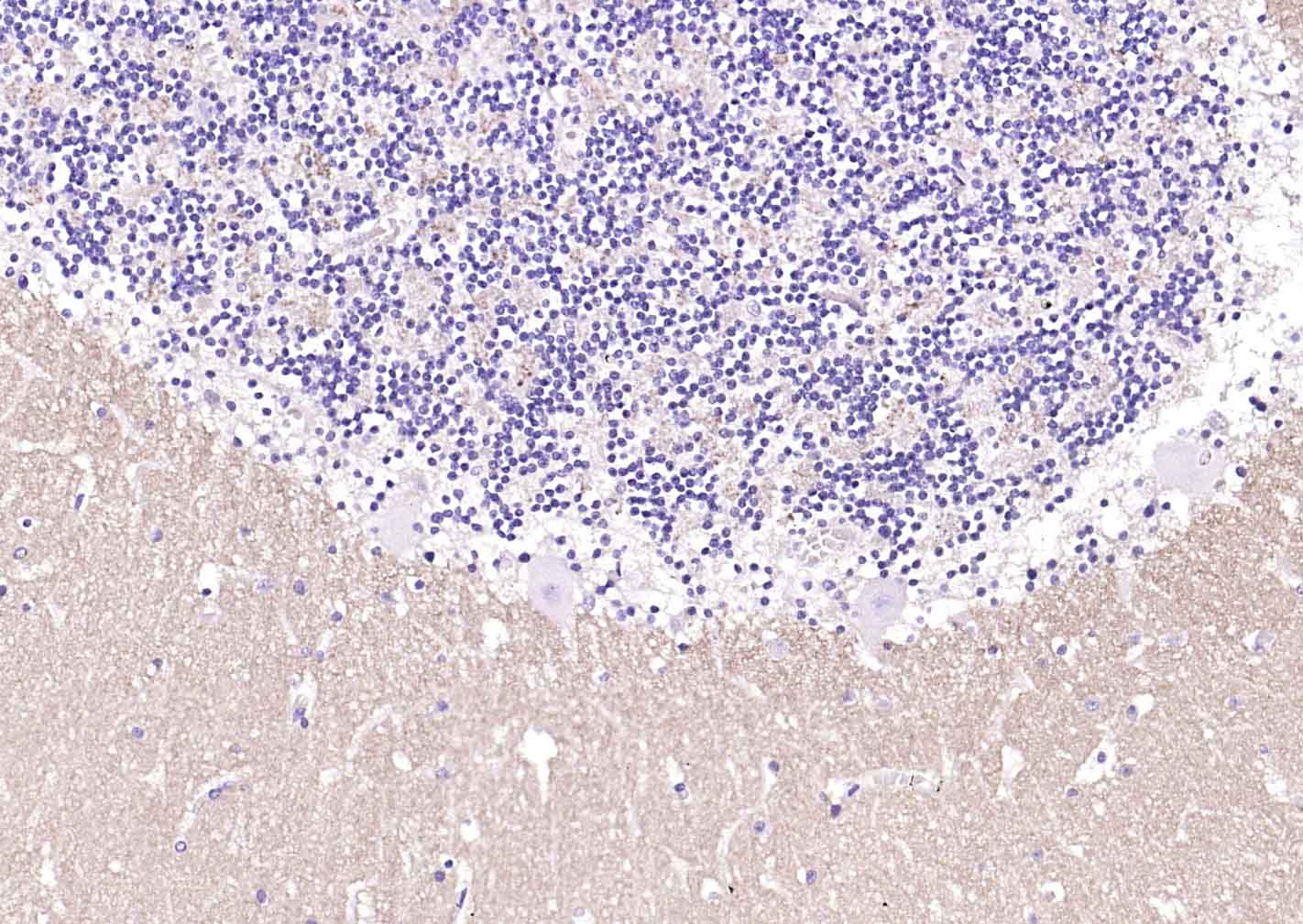
Paraformaldehyde-fixed, paraffin embedded (human cerebellum); Antigen retrieval by boiling in sodium citrate buffer (pH6.0) for 15min; Block endogenous peroxidase by 3% hydrogen peroxide for 20 minutes; Blocking buffer (normal goat serum) at 37°C for 30min; Incubation with (Synapsin 1) Monoclonal Antibody, Unconjugated (bsm-60850M) at 1:50 overnight at 4°C, followed by operating according to SP Kit(Mouse)(sp-0024) instructionsand DAB staining.
Paraformaldehyde-fixed, paraffin embedded (rat cerebellum); Antigen retrieval by boiling in sodium citrate buffer (pH6.0) for 15min; Block endogenous peroxidase by 3% hydrogen peroxide for 20 minutes; Blocking buffer (normal goat serum) at 37°C for 30min; Incubation with (Synapsin 1) Monoclonal Antibody, Unconjugated (bsm-60850M) at 1:50 overnight at 4°C, followed by operating according to SP Kit(Mouse)(sp-0024) instructionsand DAB staining.
Paraformaldehyde-fixed, paraffin embedded (rat brain); Antigen retrieval by boiling in sodium citrate buffer (pH6.0) for 15min; Block endogenous peroxidase by 3% hydrogen peroxide for 20 minutes; Blocking buffer (normal goat serum) at 37°C for 30min; Incubation with (Synapsin 1) Monoclonal Antibody, Unconjugated (bsm-60850M) at 1:50 overnight at 4°C, followed by operating according to SP Kit(Mouse)(sp-0024) instructionsand DAB staining.
版权所有 2004-2026 www.bioss.com.cn 北京博奥森生物技术有限公司
通过国际质量管理体系ISO 9001:2015 GB/T 19001-2016    证书编号: 00124Q34771R2M/1100
通过国际医疗器械-质量管理体系ISO 13485:2016 GB/T 42061-2022     证书编号: CQC24QY20047R0M/1100
京ICP备05066980号-1         京公网安备110107000727号