扫码关注公众号           扫码咨询技术支持           扫码咨询技术服务
  
客服热线:400-901-9800  客服QQ:4009019800  技术答疑  技术支持  质量反馈  人才招聘  关于我们  联系我们
产品中心-北京博奥森生物技术有限公司
首页 > 产品中心 > 一抗 > 产品信息
ASNS Mouse mAb (bsm-60846M)  
订购热线:400-901-9800
订购邮箱:sales@bioss.com.cn
订购QQ:  400-901-9800
技术支持:techsupport@bioss.com.cn
50ul/1180.00元
100ul/1980.00元
大包装/询价

产品编号 bsm-60846M
英文名称 ASNS Mouse mAb
中文名称 天冬酰胺合成酶单克隆抗体
别    名 ASNSD; TS11; ASNS_HUMAN; ASNS; Cell cycle control protein TS11; Glutamine-dependent asparagine synthetase; 6.3.5.4; ASNS_MOUSE; ASNS_RAT;   
抗体来源 Mouse
克隆类型 Monoclonal
克 隆 号 2A9
交叉反应 Human,Mouse,Rat
产品应用 WB=1:500-2000,IHC-P=1:100-500,IHC-F=1:100-500,IF=1:100-500
not yet tested in other applications.
optimal dilutions/concentrations should be determined by the end user.
理论分子量 64 kDa
检测分子量 64
细胞定位 细胞浆 
性    状 Liquid
浓    度 1mg/ml
免 疫 原 KLH conjugated synthetic peptide derived from human ASNS 
亚    型 IgG1, Kappa
纯化方法 affinity purified by Protein A
缓 冲 液 PBS, Glycerol, BSA.
保存条件 Shipped at 4℃. Store at -20℃ for one year. Avoid repeated freeze/thaw cycles.
注意事项 This product as supplied is intended for research use only, not for use in human, therapeutic or diagnostic applications.
PubMed PubMed
产品介绍 The protein encoded by this gene is involved in the synthesis of asparagine. This gene complements a mutation in the temperature-sensitive hamster mutant ts11, which blocks progression through the G1 phase of the cell cycle at nonpermissive temperature. Alternatively spliced transcript variants have been described for this gene. [provided by RefSeq, May 2010]

DISEASE:
Asparagine synthetase deficiency (ASNSD) [MIM:615574]: An inborn error of asparagine biosynthesis that results in a severe neurologic disorder characterized by microcephaly, severely delayed psychomotor development, progressive encephalopathy, cortical atrophy, and seizure or hyperekplexic activity. {ECO:0000269|PubMed:24139043}. Note=The disease is caused by mutations affecting the gene represented in this entry.

Similarity:
Contains 1 asparagine synthetase domain. Contains 1 glutamine amidotransferase type-2 domain.

SWISS:
P08243

Gene ID:
440

Database links:

Entrez Gene: 440 Human

Entrez Gene: 27053 Mouse

Entrez Gene: 25612 Rat

SwissProt: P08243 Human

SwissProt: Q61024 Mouse

SwissProt: P49088 Rat



产品图片
25 ug total protein per lane of various lysates (see on figure) probed with ASNS monoclonal antibody, unconjugated (bsm-60846M) at 1:1000 dilution and 4°C overnight incubation. Followed by conjugated secondary antibody incubation at r.t. for 60 min.
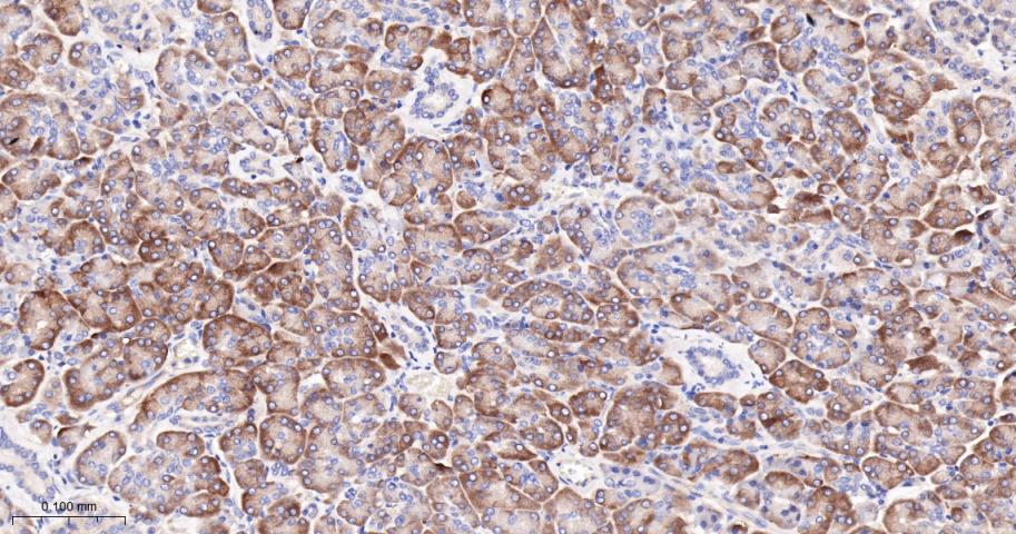
Paraformaldehyde-fixed, paraffin embedded Human Pancreas; Antigen retrieval by boiling in sodium citrate buffer (pH6.0) for 15 min; The section was incubated with ASNS Monoclonal Antibody, Unconjugated (bsm-60846M) at 1:300 overnight at 4°C, followed by conjugation to the bs-40296G-HRP and DAB (C-0010) staining.
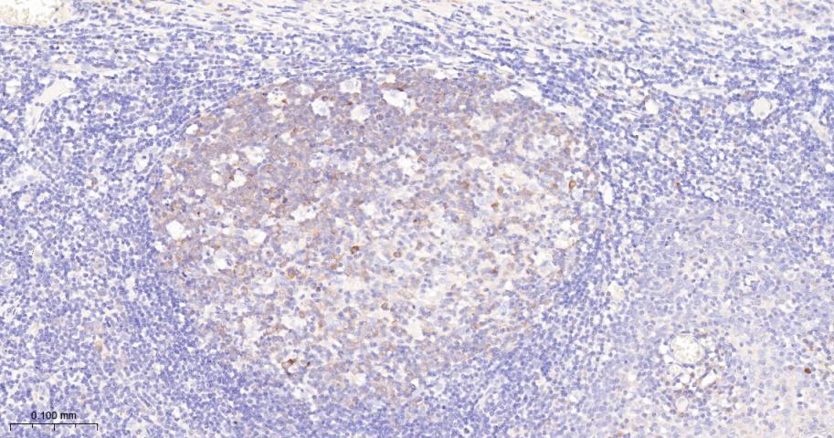
Paraformaldehyde-fixed, paraffin embedded Human Tonsil; Antigen retrieval by boiling in sodium citrate buffer (pH6.0) for 15 min; The section was incubated with ASNS Monoclonal Antibody, Unconjugated (bsm-60846M) at 1:300 overnight at 4°C, followed by conjugation to the bs-40296G-HRP and DAB (C-0010) staining.
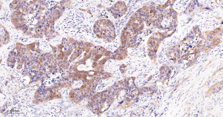
Paraformaldehyde-fixed, paraffin embedded Human Lung Cancer; Antigen retrieval by boiling in sodium citrate buffer (pH6.0) for 15 min; The section was incubated with ASNS Monoclonal Antibody, Unconjugated (bsm-60846M) at 1:300 overnight at 4°C, followed by conjugation to the bs-40296G-HRP and DAB (C-0010) staining.
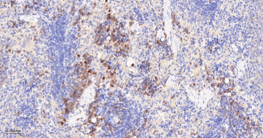
Paraformaldehyde-fixed, paraffin embedded Rat Spleen; Antigen retrieval by boiling in sodium citrate buffer (pH6.0) for 15 min; The section was incubated with ASNS Monoclonal Antibody, Unconjugated (bsm-60846M) at 1:300 overnight at 4°C, followed by conjugation to the bs-40296G-HRP and DAB (C-0010) staining.
Paraformaldehyde-fixed, paraffin embedded Rat Testicles; Antigen retrieval by boiling in sodium citrate buffer (pH6.0) for 15 min; The section was incubated with ASNS Monoclonal Antibody, Unconjugated (bsm-60846M) at 1:300 overnight at 4°C, followed by conjugation to the bs-40296G-HRP and DAB (C-0010) staining.
版权所有 2004-2026 www.bioss.com.cn 北京博奥森生物技术有限公司
通过国际质量管理体系ISO 9001:2015 GB/T 19001-2016    证书编号: 00124Q34771R2M/1100
通过国际医疗器械-质量管理体系ISO 13485:2016 GB/T 42061-2022     证书编号: CQC24QY20047R0M/1100
京ICP备05066980号-1         京公网安备110107000727号