扫码关注公众号           扫码咨询技术支持           扫码咨询技术服务
  
客服热线:400-901-9800  客服QQ:4009019800  技术答疑  技术支持  质量反馈  人才招聘  关于我们  联系我们
产品中心-北京博奥森生物技术有限公司
首页 > 产品中心 > 一抗 > 产品信息
ATPB Recombinant Rabbit mAb (bsm-52904R)  
订购热线:400-901-9800
订购邮箱:sales@bioss.com.cn
订购QQ:  400-901-9800
技术支持:techsupport@bioss.com.cn
50ul/1400.00元
100ul/2500.00元
大包装/询价

产品编号 bsm-52904R
英文名称 ATPB Recombinant Rabbit mAb
中文名称 ATP合成酶β5重组兔单克隆抗体
别    名 ATP5B; ATPMB; ATPSB; HEL-S-271; HUMOP2; ATPB_BOVIN; ATP5F1B; ATP synthase F1 subunit beta; 7.1.2.2; ATPB_HUMAN; ATPB_MOUSE; ATPB_RAT;   
抗体来源 Rabbit
克隆类型 Recombinant
克 隆 号 16C6
交叉反应 Human,Mouse,Rat
产品应用 WB=1:1000-2000,IHC-P=1:200-500,IHC-F=1:200-500,IF=1:200-500,ICC/IF=1:100-200,IP=1:20-50
not yet tested in other applications.
optimal dilutions/concentrations should be determined by the end user.
理论分子量 56 kDa
检测分子量 50
细胞定位 细胞浆 细胞膜 
性    状 Liquid
浓    度 1mg/ml
免 疫 原 A synthesized peptide derived from human ATP5F1B: 140-200/529 
亚    型 IgG
纯化方法 affinity purified by Protein G
缓 冲 液 0.01M TBS (pH7.4) with 1% BSA, 0.02% Proclin300 and 50% Glycerol.
保存条件 Shipped at 4℃. Store at -20℃ for one year. Avoid repeated freeze/thaw cycles.
注意事项 This product as supplied is intended for research use only, not for use in human, therapeutic or diagnostic applications.
PubMed PubMed
产品介绍 Mitochondrial ATP synthase is composed of two multi-subunit complexes that utilize an inner membrane electrochemical gradient to catalyze the synthesis of ATP during oxidative phosphorylation. The two multi-subunit complexes are designated F1 and F0, the former of which comprises the soluble catalytic core and the latter of which comprises the membrane-spanning proton channel of ATP synthase. F1 consists of five distinct subunits, designated ATP5A, ATP5B, ATP5C1, ATP5D and ATP5E, while F0 consists of ten subunits, designated ATP5H, ATP5G1, ATP5I, ATP5G2, ATP5J2, ATP5J, ATP5G3, ATP5S, ATP5F1 and ATP5L. ATP5B, also designated ATPMB, ATPSB or mitochondrial ATP synthetase, beta subunit, is a 529 amino acid protein that localizes to the mitochondrial membrane and exists as a subunit of the F0 complex. ATP5B is encoded by a nuclear gene and assembled with the other subunits encoded by both mitochondrial and nuclear genes. The ATP5B gene is activated by members of the Ets family of transcription factors, suggesting that Ets transcription factors are involved in the enhanced expression of the ATP5B gene in highly proliferating cells and in the coordinate transcription of nuclear genes for mitochondrial proteins. ATP5B mRNA levels vary among species through transcriptional control with high expression levels in heart, lower levels in skeletal muscle and the lowest levels in liver and kidney.

Function:
Mitochondrial membrane ATP synthase (F(1)F(0) ATP synthase or Complex V) produces ATP from ADP in the presence of a proton gradient across the membrane which is generated by electron transport complexes of the respiratory chain. F-type ATPases consist of two structural domains, F(1) - containing the extramembraneous catalytic core, and F(0) - containing the membrane proton channel, linked together by a central stalk and a peripheral stalk. During catalysis, ATP synthesis in the catalytic domain of F(1) is coupled via a rotary mechanism of the central stalk subunits to proton translocation. Subunits alpha and beta form the catalytic core in F(1). Rotation of the central stalk against the surrounding alpha(3)beta(3) subunits leads to hydrolysis of ATP in three separate catalytic sites on the beta subunits.

Subunit:
F-type ATPases have 2 components, CF(1) - the catalytic core - and CF(0) - the membrane proton channel. CF(1) has five subunits: alpha(3), beta(3), gamma(1), delta(1), epsilon(1). CF(0) has three main subunits: a, b and c. Component of an ATP synthase complex composed of ATP5F1, ATP5G1, ATP5E, ATP5H, ATP5I, ATP5J, ATP5J2, MT-ATP6, MT-ATP8, ATP5A1, ATP5B, ATP5D, ATP5C1, ATP5O, ATP5L, USMG5 and MP68

Subcellular Location:
Mitochondrion. Mitochondrion inner membrane. Peripheral membrane protein.

Similarity:
Belongs to the ATPase alpha/beta chains family.

SWISS:
P06576

Gene ID:
506

Database links:

Entrez Gene: 327675 Cow

Entrez Gene: 506 Human

Entrez Gene: 11947 Mouse

Entrez Gene: 171374 Rat

GenBank: BC016512 Human

Omim: 102910 Human

SwissProt: P00829 Cow

SwissProt: P06576 Human

SwissProt: P56480 Mouse

SwissProt: P10719 Rat

Unigene: 406510 Human

Unigene: 238973 Mouse

Unigene: 92965 Rat



产品图片
25 ug total protein per lane of various lysates (see on figure) probed with ATPB monoclonal antibody, unconjugated (bsm-52904R) at 1:1000 dilution and 4°C overnight incubation. Followed by conjugated secondary antibody incubation at r.t. for 60 min.
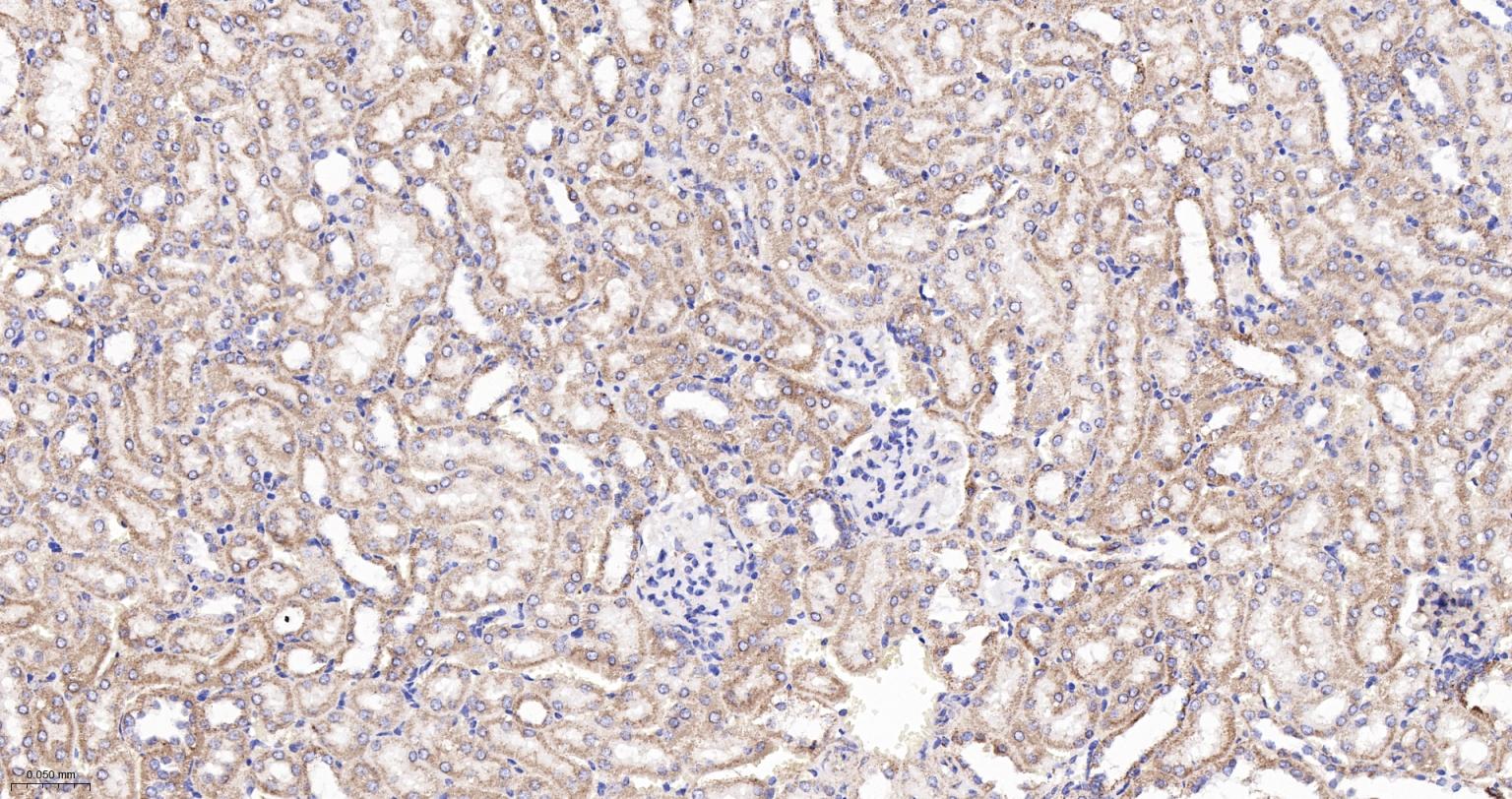
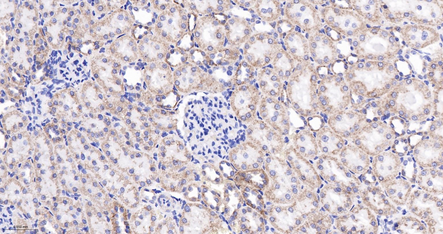
Paraformaldehyde-fixed, paraffin embedded Human Kidney; Antigen retrieval by boiling in sodium citrate buffer (pH6.0) for 15 min; Antibody incubation with ATPB Monoclonal Antibody, Unconjugated(bsm-52904R) at 1:200 overnight at 4°C, followed by conjugation to the bs-0295G-HRP and DAB (C-0010) staining.
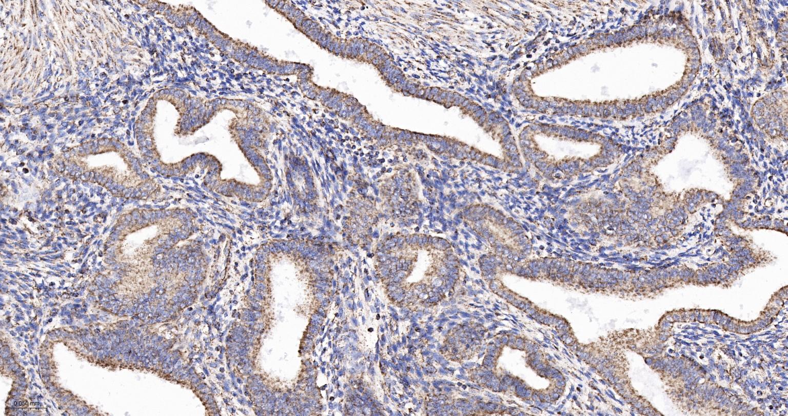
Paraformaldehyde-fixed, paraffin embedded Human Uterus; Antigen retrieval by boiling in sodium citrate buffer (pH6.0) for 15 min; Antibody incubation with ATPB Monoclonal Antibody, Unconjugated(bsm-52904R) at 1:200 overnight at 4°C, followed by conjugation to the bs-0295G-HRP and DAB (C-0010) staining.
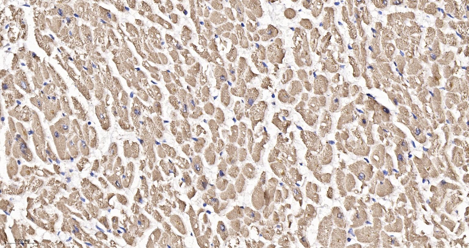
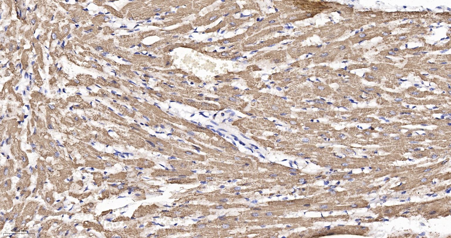
Paraformaldehyde-fixed, paraffin embedded Human Heart; Antigen retrieval by boiling in sodium citrate buffer (pH6.0) for 15 min; Antibody incubation with ATPB Monoclonal Antibody, Unconjugated(bsm-52904R) at 1:200 overnight at 4°C, followed by conjugation to the bs-0295G-HRP and DAB (C-0010) staining.
Paraformaldehyde-fixed, paraffin embedded Rat Heart; Antigen retrieval by boiling in sodium citrate buffer (pH6.0) for 15 min; Antibody incubation with ATPB Monoclonal Antibody, Unconjugated(bsm-52904R) at 1:200 overnight at 4°C, followed by conjugation to the bs-0295G-HRP and DAB (C-0010) staining.
Paraformaldehyde-fixed, paraffin embedded Mouse Heart; Antigen retrieval by boiling in sodium citrate buffer (pH6.0) for 15 min; Antibody incubation with ATPB Monoclonal Antibody, Unconjugated(bsm-52904R) at 1:200 overnight at 4°C, followed by conjugation to the bs-0295G-HRP and DAB (C-0010) staining.
Paraformaldehyde-fixed, paraffin embedded Rat Kidney; Antigen retrieval by boiling in sodium citrate buffer (pH6.0) for 15 min; Antibody incubation with ATPB Monoclonal Antibody, Unconjugated(bsm-52904R) at 1:200 overnight at 4°C, followed by conjugation to the bs-0295G-HRP and DAB (C-0010) staining.
Paraformaldehyde-fixed, paraffin embedded Mouse Kidney; Antigen retrieval by boiling in sodium citrate buffer (pH6.0) for 15 min; Antibody incubation with ATPB Monoclonal Antibody, Unconjugated(bsm-52904R) at 1:200 overnight at 4°C, followed by conjugation to the bs-0295G-HRP and DAB (C-0010) staining.
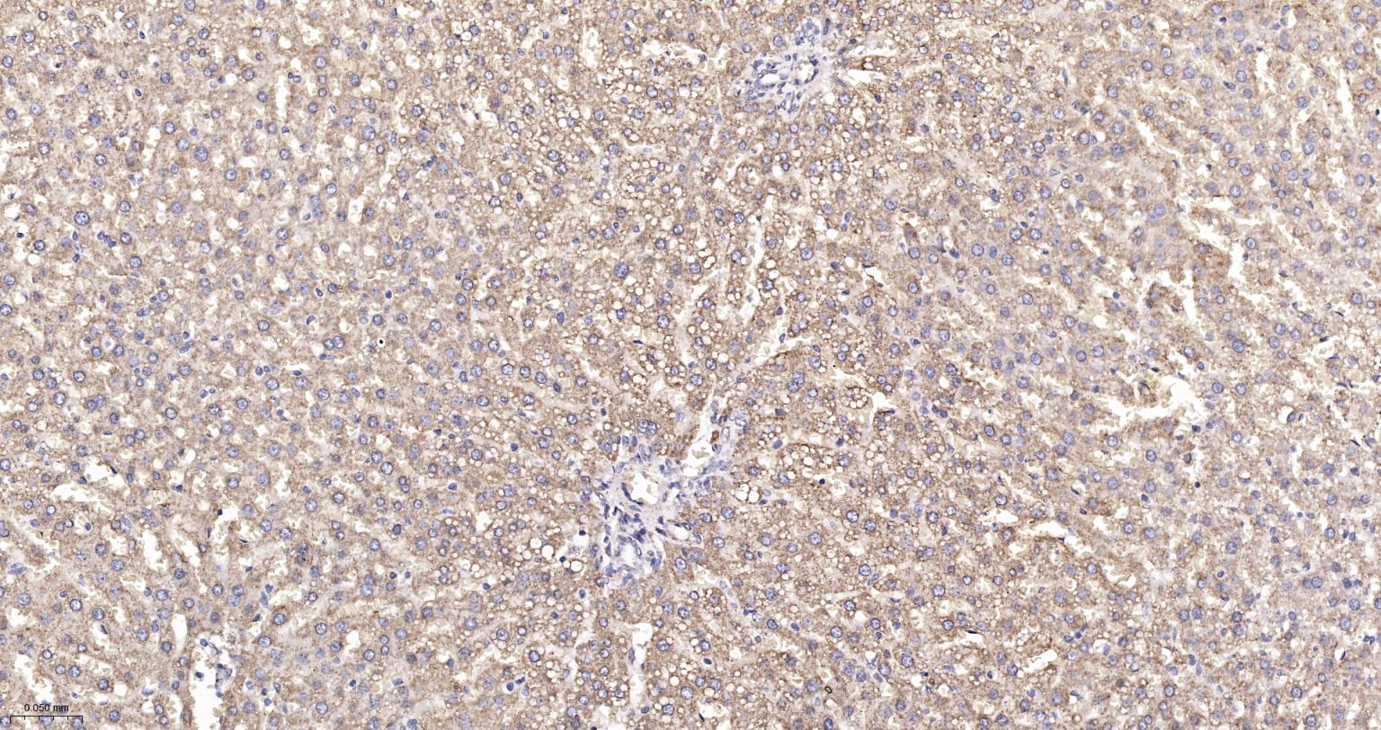
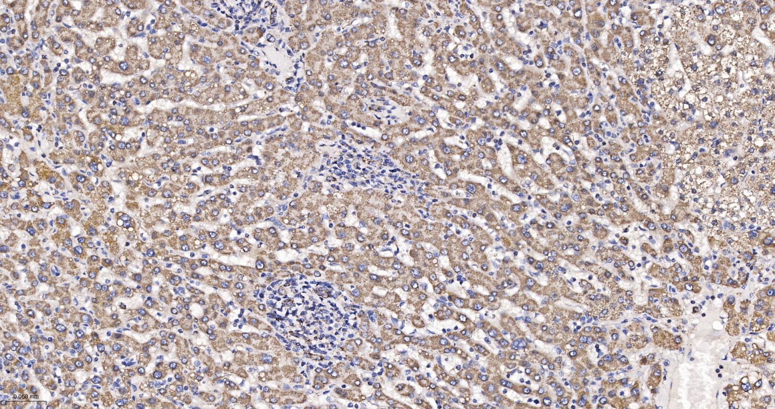
Paraformaldehyde-fixed, paraffin embedded Human Liver; Antigen retrieval by boiling in sodium citrate buffer (pH6.0) for 15 min; Antibody incubation with ATPB Monoclonal Antibody, Unconjugated(bsm-52904R) at 1:200 overnight at 4°C, followed by conjugation to the bs-0295G-HRP and DAB (C-0010) staining.
Paraformaldehyde-fixed, paraffin embedded Rat Liver; Antigen retrieval by boiling in sodium citrate buffer (pH6.0) for 15 min; Antibody incubation with ATPB Monoclonal Antibody, Unconjugated(bsm-52904R) at 1:200 overnight at 4°C, followed by conjugation to the bs-0295G-HRP and DAB (C-0010) staining.
Paraformaldehyde-fixed, paraffin embedded Mouse Liver; Antigen retrieval by boiling in sodium citrate buffer (pH6.0) for 15 min; Antibody incubation with ATPB Monoclonal Antibody, Unconjugated(bsm-52904R) at 1:200 overnight at 4°C, followed by conjugation to the bs-0295G-HRP and DAB (C-0010) staining.
4% Paraformaldehyde-fixed Hela (H) cell; Triton X-100 at r.t. for 20 min; Antibody incubation with (ATPB) monoclonal Antibody, unconjugated (bsm-52904R) 1:100, 90 min at 37°C; followed by conjugated Goat Anti-Rabbit IgG antibody (green, bs-40295G-FITC) at 37°C for 90 min, DAPI (blue, C02-04002) was used to stain the cell nuclei. PBS instead of the primary antibody was used as the blank control.
版权所有 2004-2026 www.bioss.com.cn 北京博奥森生物技术有限公司
通过国际质量管理体系ISO 9001:2015 GB/T 19001-2016    证书编号: 00124Q34771R2M/1100
通过国际医疗器械-质量管理体系ISO 13485:2016 GB/T 42061-2022     证书编号: CQC24QY20047R0M/1100
京ICP备05066980号-1         京公网安备110107000727号