扫码关注公众号           扫码咨询技术支持           扫码咨询技术服务
  
客服热线:400-901-9800  客服QQ:4009019800  技术答疑  技术支持  质量反馈  人才招聘  关于我们  联系我们
产品中心-北京博奥森生物技术有限公司
首页 > 产品中心 > 一抗 > 产品信息
Renin Mouse mAb (bsm-43146M)  
订购热线:400-901-9800
订购邮箱:sales@bioss.com.cn
订购QQ:  400-901-9800
技术支持:techsupport@bioss.com.cn
50ul/1180.00元
100ul/1980.00元
200ul/2800.00元
200ug(PBS only)/5600.00元
大包装/询价

产品编号 bsm-43146M
英文名称 Renin Mouse mAb
中文名称 肾素/血管紧张素形成酶Ren1单克隆抗体
别    名 CK820_G0012883; ADTKD4; HNFJ2; RTD; Ren; Ren-1; Ren-A; Ren1c; Ren1d; Rn-1; Rnr; Ren-2; Ren-B; Rn-2; RATRENAA; RENAA; Ren1; RENI_PANTR; Angiotensinogenase; 3.4.23.15; RENI_MACFA; RENI_HUMAN; RENI2_MOUSE; Ren2; Submandibular gland renin; RENI1_MOUSE; Kidney renin; RENI_RAT;  
抗体来源 Mouse
克隆类型 Monoclonal
克 隆 号 5C9
交叉反应 Human
产品应用 WB=1:500-2000,IHC-P=1:100-500,IHC-F=1:100-500,IF=1:100-500
not yet tested in other applications.
optimal dilutions/concentrations should be determined by the end user.
理论分子量 37 kDa
检测分子量 45
细胞定位 细胞膜 分泌型蛋白 
性    状 Liquid
免 疫 原 Recombinant human Renin protein: 24-406/406 
亚    型
纯化方法 affinity purified by Protein A
缓 冲 液 0.01M TBS (pH7.4) with 1% BSA, 0.02% Proclin300 and 50% Glycerol.
保存条件 Shipped at 4℃. Store at -20℃ for one year. Avoid repeated freeze/thaw cycles.
注意事项 This product as supplied is intended for research use only, not for use in human, therapeutic or diagnostic applications.
PubMed PubMed
产品介绍 Renin catalyzes the first step in the activation pathway of angiotensinogen--a cascade that can result in aldosterone release,vasoconstriction, and increase in blood pressure. Renin, an aspartyl protease, cleaves angiotensinogen to form angiotensin I, which is converted to angiotensin II by angiotensin I converting enzyme, an important regulator of blood pressure and electrolyte balance. Transcript variants that encode different protein isoforms and that arise from alternative splicing and the use of alternative promoters have been described, but their full-length nature has not been determined. Mutations in this gene have been shown to cause familial hyperproreninemia. [provided by RefSeq, Jul 2008].

Function:
Renin is a highly specific endopeptidase, whose only known function is to generate angiotensin I from angiotensinogen in the plasma, initiating a cascade of reactions that produce an elevation of blood pressure and increased sodium retention by the kidney.

Subunit:
Interacts with ATP6AP2.

Subcellular Location:
Secreted. Membrane. Associated to membranes via binding to ATP6AP2.

DISEASE:
Defects in REN are the cause of familial juvenile hyperuricemic nephropathy type 2 (HNFJ2) [MIM:613092]. It is a renal disease characterized by juvenile onset of hyperuricemia, slowly progressive renal failure and anemia.

Similarity:
Belongs to the peptidase A1 family.

SWISS:
P00797

Gene ID:
5972

Database links:

Entrez Gene: 469651 Chimpanzee

Entrez Gene: 5972 Human

Entrez Gene: 19701 Mouse

Entrez Gene: 19702 Mouse

Entrez Gene: 24715 Rat

Omim: 179820 Human

SwissProt: P60016 Chimpanzee

SwissProt: Q6DLS0 Cynomolgus Monkey

SwissProt: P00797 Human

SwissProt: P00796 Mouse

SwissProt: P06281 Mouse

SwissProt: P08424 Rat

Unigene: 3210 Human

Unigene: 220955 Mouse

Unigene: 9831 Rat



产品图片
Sample: Lane 1: Recombinant human Renin protein, C-His (HEK293)(bs-43146P) Primary: Anti-Renin (bsm-43146M) at 1/1000 dilution Secondary: Alexa Fluor 790 AffiniPure Goat Anti-Mouse IgG, light chain specific Predicted band size: 37 kDa Observed band size: 45 kDa
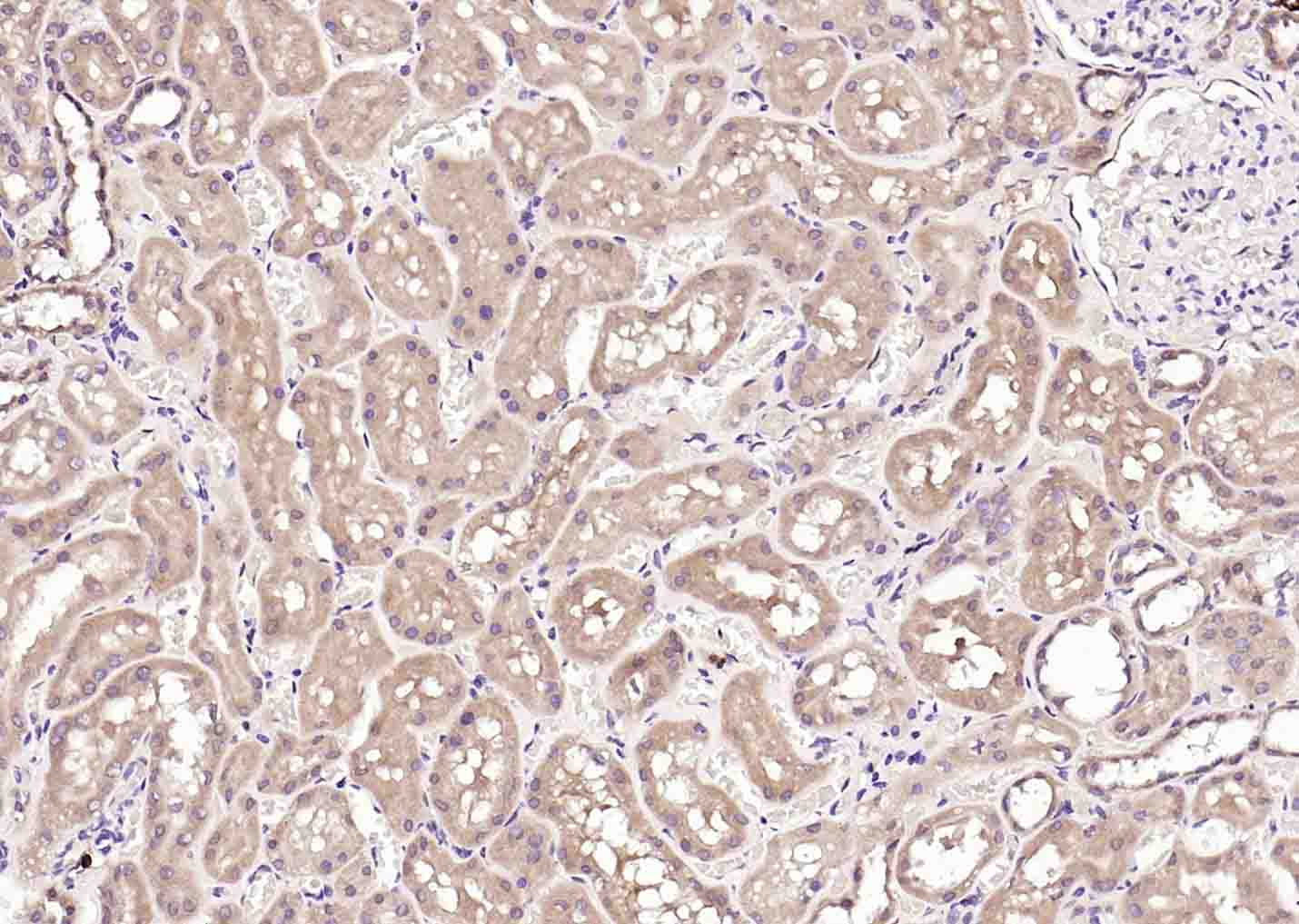
Paraformaldehyde-fixed, paraffin embedded (Human kidney); Antigen retrieval by boiling in sodium citrate buffer (pH6.0) for 15min; Block endogenous peroxidase by 3% hydrogen peroxide for 20 minutes; Blocking buffer (normal goat serum) at 37°C for 30min; Incubation with (Renin) Monoclonal Antibody, Unconjugated (bsm-43146M) at 1:200 overnight at 4°C, followed by operating according to SP Kit(Mouse)(sp-0024) instructionsand DAB staining.
版权所有 2004-2026 www.bioss.com.cn 北京博奥森生物技术有限公司
通过国际质量管理体系ISO 9001:2015 GB/T 19001-2016    证书编号: 00124Q34771R2M/1100
通过国际医疗器械-质量管理体系ISO 13485:2016 GB/T 42061-2022     证书编号: CQC24QY20047R0M/1100
京ICP备05066980号-1         京公网安备110107000727号