扫码关注公众号           扫码咨询技术支持           扫码咨询技术服务
  
客服热线:400-901-9800  客服QQ:4009019800  技术答疑  技术支持  质量反馈  人才招聘  关于我们  联系我们
产品中心-北京博奥森生物技术有限公司
首页 > 产品中心 > 一抗 > 产品信息
human IgA Mouse mAb (bsm-0474M)  
订购热线:400-901-9800
订购邮箱:sales@bioss.com.cn
订购QQ:  400-901-9800
技术支持:techsupport@bioss.com.cn
50ul/1180.00元
100ul/1980.00元
200ul/2800.00元
200ug(PBS only)/5600.00元
大包装/询价

产品编号 bsm-0474M
英文名称 human IgA Mouse mAb
中文名称 人血清型免疫球蛋白A抗体
别    名 IgA1; IGHA_MOUSE; IGHA1_HUMAN; IGHA1; Ig alpha-1 chain C region; Ig alpha-1 chain C region BUR; Ig alpha-1 chain C region TRO;   
抗体来源 Mouse
克隆类型 Monoclonal
克 隆 号 7H8
交叉反应 Human
产品应用 IHC-P=1:500-1500,IHC-F=1:500-1500,IF=1:500-1500
not yet tested in other applications.
optimal dilutions/concentrations should be determined by the end user.
细胞定位 分泌型蛋白 
性    状 Liquid
免 疫 原 purified human Serum IgA 
亚    型 IgG
纯化方法 affinity purified by Protein A
缓 冲 液 0.01M TBS (pH7.4) with 1% BSA, 0.02% Proclin300 and 50% Glycerol.
保存条件 Shipped at 4℃. Store at -20℃ for one year. Avoid repeated freeze/thaw cycles.
注意事项 This product as supplied is intended for research use only, not for use in human, therapeutic or diagnostic applications.
PubMed PubMed
产品介绍 Monomeric IgA constitutes 5-15 % of the serum immunoglobulins whereas dimeric IgA is localized to mucosa surfaces such as saliva, gastrointestinal secretion, bronchial fluids and milk. Mucosal IgA plays a major role in host defence by neutralising infectious agents at mucosal surfaces. The production is usually local and antigen specific IgA producing B-cells can be found in regions under the lamina propria where they mature into dimeric IgA producing plasma cells. IgA deficiency is the most common immunodeficiency that may affect both serum and mucosal produced IgA.

Subcellular Location:
Secreted.

SWISS:
P01876

Gene ID:
3493

IgA有IgA1和IgA2两个亚类。IgA1主要存在于血清中,约占血清中IgA的85%,α1链分子量为56kD;IgA2主要存在于外分泌液中,少部分以血清型IgA存在,约占血清中IgA的15%,α2链缺乏铰链区,分子量为52kD。血清中的IgA除单体形式外还有由J链共价相连的二聚体或三聚体等形式。分泌型IgA是由J连接的双体和分泌成分所组成,主要存在于初乳、唾液、泪液、胃肠液、支气管分泌等外分泌液中,是粘膜局部免疫的最重要因素,分泌型IgA通过与相应的病原微生物(如脊髓灰质炎病毒)结合,阻抑其吸附到易感细胞上,分泌型IgA还可中和毒素如霍乱弧菌毒素和大肠杆毒素等。
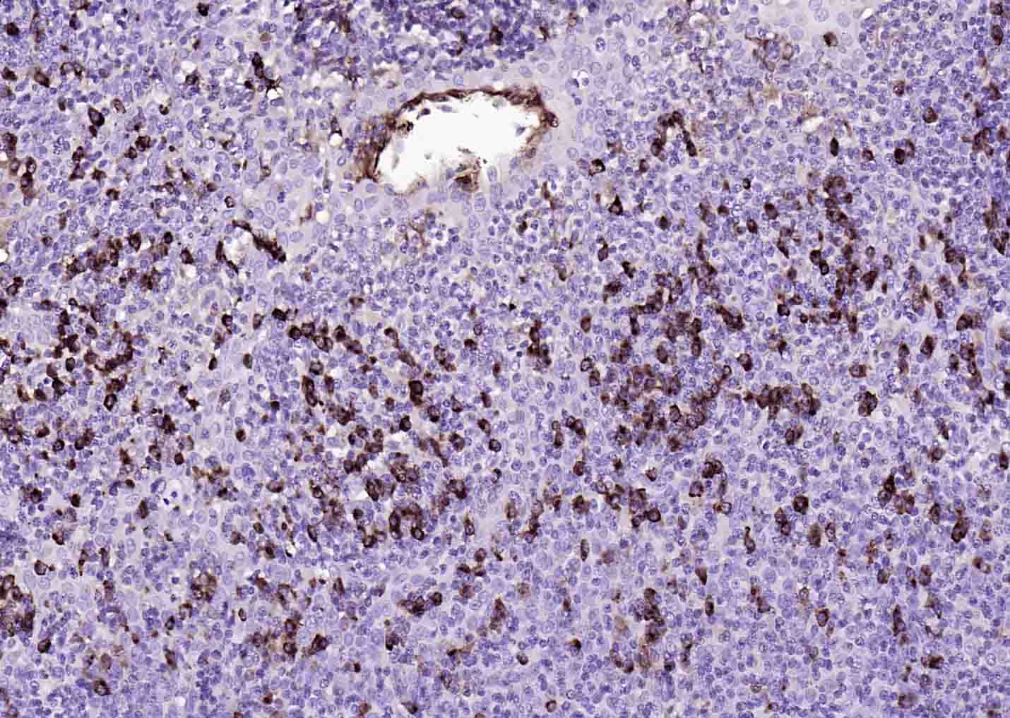
产品图片
Paraformaldehyde-fixed, paraffin embedded (human colon carcinoma); Antigen retrieval by boiling in sodium citrate buffer (pH6.0) for 15min; Block endogenous peroxidase by 3% hydrogen peroxide for 20 minutes; Blocking buffer (normal goat serum) at 37°C for 30min; Incubation with (human IgA ) Monoclonal Antibody, Unconjugated (bsm-0474M) at 1:1000 overnight at 4°C, followed by operating according to SP Kit(Mouse)(sp-0024) instructionsand DAB staining.
Paraformaldehyde-fixed, paraffin embedded (human tonsil); Antigen retrieval by boiling in sodium citrate buffer (pH6.0) for 15min; Block endogenous peroxidase by 3% hydrogen peroxide for 20 minutes; Blocking buffer (normal goat serum) at 37°C for 30min; Incubation with (human IgA) Monoclonal Antibody, Unconjugated (bsm-0474M) at 1:200 overnight at 4°C, followed by operating according to SP Kit(Mouse)(sp-0024) instructionsand DAB staining.
版权所有 2004-2026 www.bioss.com.cn 北京博奥森生物技术有限公司
通过国际质量管理体系ISO 9001:2015 GB/T 19001-2016    证书编号: 00124Q34771R2M/1100
通过国际医疗器械-质量管理体系ISO 13485:2016 GB/T 42061-2022     证书编号: CQC24QY20047R0M/1100
京ICP备05066980号-1         京公网安备110107000727号