扫码关注公众号           扫码咨询技术支持           扫码咨询技术服务
  
客服热线:400-901-9800  客服QQ:4009019800  技术答疑  技术支持  质量反馈  人才招聘  关于我们  联系我们
产品中心-北京博奥森生物技术有限公司
首页 > 产品中心 > 一抗 > 产品信息
TTF1/NKX2-1 Mouse mAb (bsm-34158M)  
订购热线:400-901-9800
订购邮箱:sales@bioss.com.cn
订购QQ:  400-901-9800
技术支持:techsupport@bioss.com.cn
50ul/1180.00元
100ul/1980.00元
大包装/询价

产品编号 bsm-34158M
英文名称 TTF1/NKX2-1 Mouse mAb
中文名称 甲状腺核转录因子-1单克隆抗体
别    名 BCH; BHC; NK-2; NKX2.1; NKX2A; NMTC1; T/EBP; TEBP; TITF1; TTF-1; TTF1; NKX21_HUMAN; NKX2-1; Homeobox protein NK-2 homolog A; Thyroid nuclear factor 1; Thyroid transcription factor 1 (TTF-1); Thyroid-specific enhancer-binding protein (T/EBP); NKX21_MOUSE; Nkx-2.1; NKX21_RAT;   
抗体来源 Mouse
克隆类型 Monoclonal
克 隆 号 5B12
交叉反应 Human,Mouse,Rat
产品应用 IHC-P=1:100-500,IHC-F=1:100-500,IF=1:100-500
not yet tested in other applications.
optimal dilutions/concentrations should be determined by the end user.
细胞定位 细胞核 
性    状 Liquid
浓    度 1mg/ml
免 疫 原 KLH conjugated synthetic peptide derived from human TTF-1 
亚    型 IgG1, Kappa
纯化方法 affinity purified by Protein A
缓 冲 液 PBS, pH7.2, 0.02% Porcolin 300, containing stabilizing protein.
保存条件 Shipped at 4℃. Store at -20℃ for one year. Avoid repeated freeze/thaw cycles.
注意事项 This product as supplied is intended for research use only, not for use in human, therapeutic or diagnostic applications.
PubMed PubMed
产品介绍 This gene encodes a protein initially identified as a thyroid-specific transcription factor. The encoded protein binds to the thyroglobulin promoter and regulates the expression of thyroid-specific genes but has also been shown to regulate the expression of genes involved in morphogenesis. Mutations and deletions in this gene are associated with benign hereditary chorea, choreoathetosis, congenital hypothyroidism, and neonatal respiratory distress, and may be associated with thyroid cancer. Multiple transcript variants encoding different isoforms have been found for this gene. This gene shares the symbol/alias 'TFF1' with another gene, transcription termination factor 1, which plays a role in ribosomal gene transcription. [provided by RefSeq, Apr 2011]

Function:
Transcription factor that binds and activates the promoter of thyroid specific genes such as thyroglobulin, thyroperoxidase, and thyrotropin receptor. Crucial in the maintenance of the thyroid differentiation phenotype. May play a role in lung development and surfactant homeostasis.

Subcellular Location:
Nucleus.

Tissue Specificity:
Thyroid, lung and CNS. Expressed in restricted regions of the developing brain within the diencephalon, in parts of the hypothalamus and neurohypophysis, and in the telencephalon.

Post-translational modifications:
Phosphorylated on serine residues by STK3.

DISEASE:
Chorea, hereditary benign (BHC) [MIM:118700]: A rare autosomal dominant movement disorder, defined by early onset in childhood, a stable or non-progressive course of chorea, and no mental deterioration. Chorea is characterized by involuntary, forcible, rapid, jerky movements that may be subtle or become confluent, markedly altering normal patterns of movement. Note=The disease is caused by mutations affecting the gene represented in this entry. Choreoathetosis and congenital hypothyroidism with or without pulmonary dysfunction (CAHTP) [MIM:610978]: An autosomal dominant disorder that manifests in infancy with neurological disturbances, hypothyroidism, and respiratory problems. It is characterized by movement abnormalities beginning with muscular hypotonia followed by the development of chorea, athetosis, dystonia, ataxia, and dysarthria. {ECO:0000269|PubMed:11854318, Note=The disease is caused by mutations affecting the gene represented in this entry.

Similarity:
Belongs to the NK-2 homeobox family. Contains 1 homeobox DNA-binding domain.

SWISS:
P43699

Gene ID:
7080

Database links:

Entrez Gene: 7080 Human

Entrez Gene: 21869 Mouse

Entrez Gene: 25628 Rat

Omim: 600635 Human

SwissProt: P43699 Human

SwissProt: P50220 Mouse

SwissProt: P23441 Rat

Unigene: 94367 Human

Unigene: 89972 Mouse

Unigene: 34265 Rat



结合并激活甲状腺特异性基因(如甲状腺球蛋白,甲状腺过氧化物酶和促甲状腺激素受体)启动子的转录因子;对于维持甲状腺分化表型至关重要;可能在肺部发育和表面活性剂稳态中起作用;与GRHL2形成一个调节环,该环调节肺上皮细胞形态的发生和分化;抑制生物钟转录阻遏物NR1D1的转录等。
产品图片
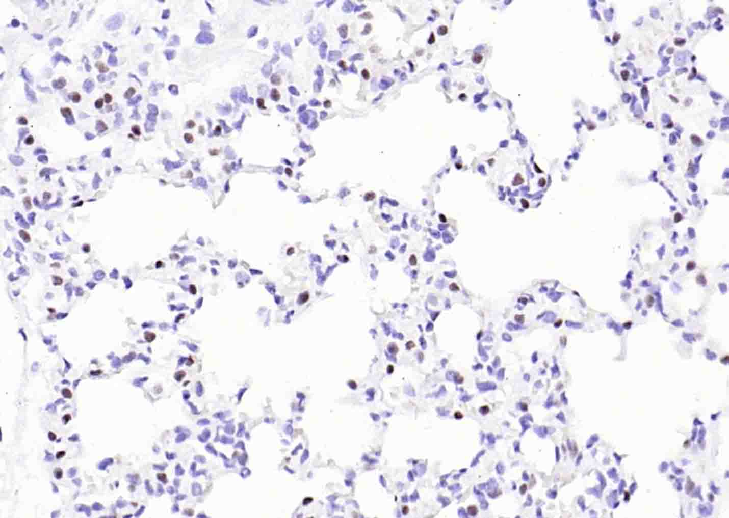
Paraformaldehyde-fixed, paraffin embedded (mouse lung ); Antigen retrieval by boiling in sodium citrate buffer (pH6.0) for 15min; Block endogenous peroxidase by 3% hydrogen peroxide for 20 minutes; Blocking buffer (normal goat serum) at 37°C for 30min; Incubation with (TTF1/NKX2-1 ) Monoclonal Antibody, Unconjugated (bsm-34158M) at 1:200 overnight at 4°C, followed by operating according to SP Kit(Mouse)(sp-0024) instructionsand DAB staining.
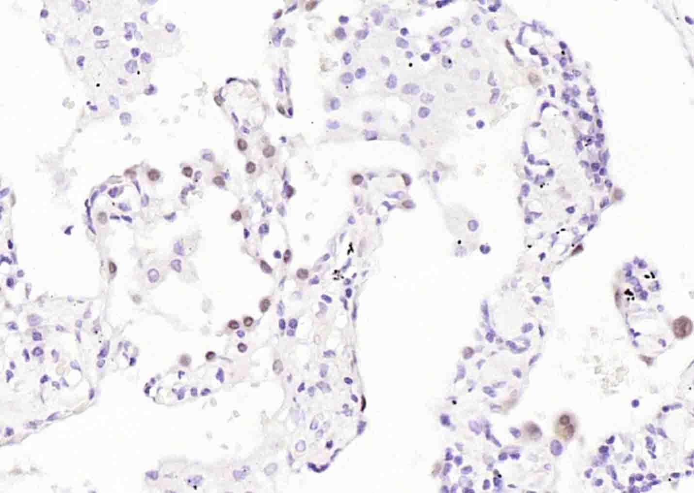
Paraformaldehyde-fixed, paraffin embedded (human lung carcinoma); Antigen retrieval by boiling in sodium citrate buffer (pH6.0) for 15min; Block endogenous peroxidase by 3% hydrogen peroxide for 20 minutes; Blocking buffer (normal goat serum) at 37°C for 30min; Incubation with (TTF1/NKX2-1 ) Monoclonal Antibody, Unconjugated (bsm-34158M) at 1:200 overnight at 4°C, followed by operating according to SP Kit(Mouse)(sp-0024) instructionsand DAB staining.
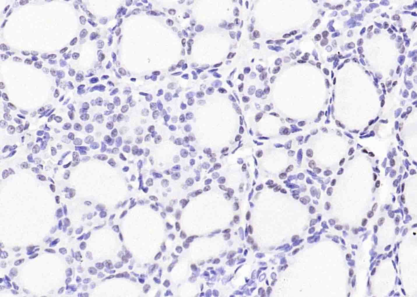
Paraformaldehyde-fixed, paraffin embedded (rat thyroid gland); Antigen retrieval by boiling in sodium citrate buffer (pH6.0) for 15min; Block endogenous peroxidase by 3% hydrogen peroxide for 20 minutes; Blocking buffer (normal goat serum) at 37°C for 30min; Incubation with (TTF1/NKX2-1 ) Monoclonal Antibody, Unconjugated (bsm-34158M) at 1:200 overnight at 4°C, followed by operating according to SP Kit(Mouse)(sp-0024) instructionsand DAB staining.
Paraformaldehyde-fixed, paraffin embedded (rat lung); Antigen retrieval by boiling in sodium citrate buffer (pH6.0) for 15min; Block endogenous peroxidase by 3% hydrogen peroxide for 20 minutes; Blocking buffer (normal goat serum) at 37°C for 30min; Incubation with (TTF1/NKX2-1 ) Monoclonal Antibody, Unconjugated (bsm-34158M) at 1:200 overnight at 4°C, followed by operating according to SP Kit(Mouse)(sp-0024) instructionsand DAB staining.
版权所有 2004-2026 www.bioss.com.cn 北京博奥森生物技术有限公司
通过国际质量管理体系ISO 9001:2015 GB/T 19001-2016    证书编号: 00124Q34771R2M/1100
通过国际医疗器械-质量管理体系ISO 13485:2016 GB/T 42061-2022     证书编号: CQC24QY20047R0M/1100
京ICP备05066980号-1         京公网安备110107000727号