扫码关注公众号           扫码咨询技术支持           扫码咨询技术服务
  
客服热线:400-901-9800  客服QQ:4009019800  技术答疑  技术支持  质量反馈  人才招聘  关于我们  联系我们
产品中心-北京博奥森生物技术有限公司
首页 > 产品中心 > 一抗 > 产品信息
CTNND1 Mouse mAb (bsm-34155M)  
订购热线:400-901-9800
订购邮箱:sales@bioss.com.cn
订购QQ:  400-901-9800
技术支持:techsupport@bioss.com.cn
50ul/1180.00元
100ul/1980.00元
大包装/询价

产品编号 bsm-34155M
英文名称 CTNND1 Mouse mAb
中文名称 连环蛋白delta-1单克隆抗体
别    名 BCDS2; CAS; CTNND; P120CAS; P120CTN; p120; p120(CAS); p120(CTN); Catns; mKIAA0384; CTND1_HUMAN; CTNND1; Cadherin-associated Src substrate (CAS); p120 catenin (p120(ctn)); KIAA0384; CTND1_MOUSE;   
抗体来源 Mouse
克隆类型 Monoclonal
克 隆 号 8G11
交叉反应 Human
产品应用 IHC-P=1:100-500,IHC-F=1:100-500,IF=1:100-500
not yet tested in other applications.
optimal dilutions/concentrations should be determined by the end user.
细胞定位 细胞核 细胞浆 细胞膜 
性    状 Liquid
浓    度 1mg/ml
免 疫 原 KLH conjugated synthetic peptide derived from human CTNND 
亚    型 IgG2b, Kappa
纯化方法 affinity purified by Protein A
缓 冲 液 PBS, pH7.2, 0.02% Porcolin 300, containing stabilizing protein.
保存条件 Shipped at 4℃. Store at -20℃ for one year. Avoid repeated freeze/thaw cycles.
注意事项 This product as supplied is intended for research use only, not for use in human, therapeutic or diagnostic applications.
PubMed PubMed
产品介绍 Binds to and inhibits the transcriptional repressor ZBTB33, which may lead to activation of target genes of the Wnt signaling pathway (By similarity). May associate with and regulate the cell adhesion properties of both C- and E-cadherins. Implicated both in cell transformation by SRC and in ligand-induced receptor signaling through the EGF, PDGF, CSF-1 and ERBB2 receptors. Promotes GLIS2 C-terminal cleavage.

Function:
Binds to and inhibits the transcriptional repressor ZBTB33, which may lead to activation of target genes of the Wnt signaling pathway (By similarity). May associate with and regulate the cell adhesion properties of both C- and E-cadherins. Implicated both in cell transformation by SRC and in ligand-induced receptor signaling through the EGF, PDGF, CSF-1 and ERBB2 receptors. Promotes GLIS2 C-terminal cleavage.

Subunit:
Cytoplasm. Nucleus. Cell membrane. Note=Interaction with GLIS2 promotes nuclear translocation. Detected at cell-cell contacts. NANOS1 induces its translocation from sites of cell-cell contact to the cytoplasm.

Subcellular Location:
Cytoplasm. Nucleus. Cell membrane. Interaction with GLIS2 promotes nuclear translocation (By similarity). NANOS1 induces its translocation from sites of cell-cell contact to the cytoplasm.

Tissue Specificity:
Expressed in vascular endothelium.

Post-translational modifications:
Phosphorylated by FER and other protein-tyrosine kinases. Phosphorylated at Ser-288 by PAK7/PAK5. Dephosphorylated by PTPRJ.

Similarity:
Belongs to the beta-catenin family. Contains 10 ARM repeats.

Database links:

Entrez Gene: 1500 Human

Entrez Gene: 12388 Mouse

Entrez Gene: 311163 Rat

Omim: 601045 Human

SwissProt: O60716 Human

SwissProt: P30999 Mouse

Unigene: 166011 Human

Unigene: 35738 Mouse

Unigene: 9435 Rat



p120-连环素也可能参与细胞侵入力调节.
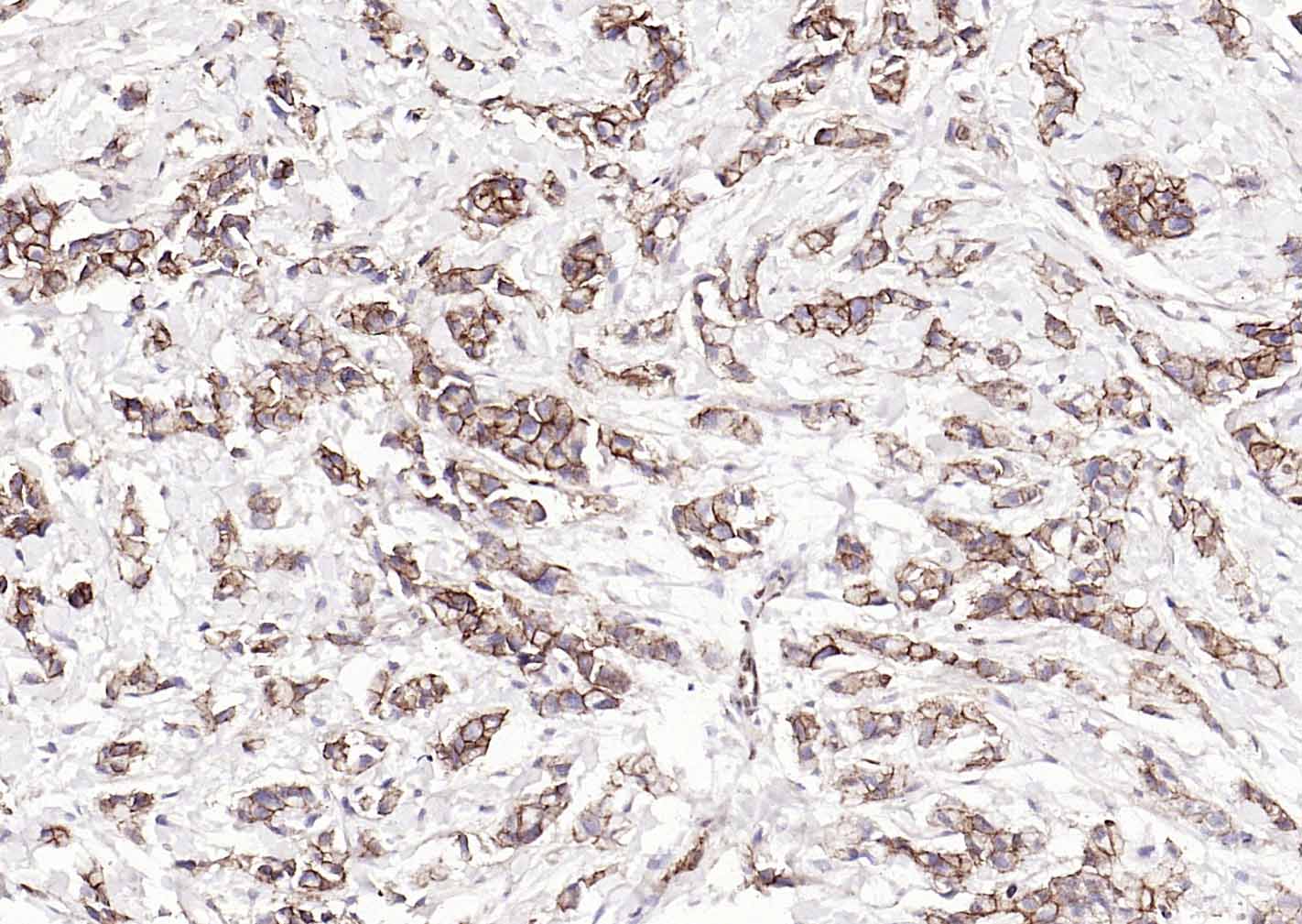
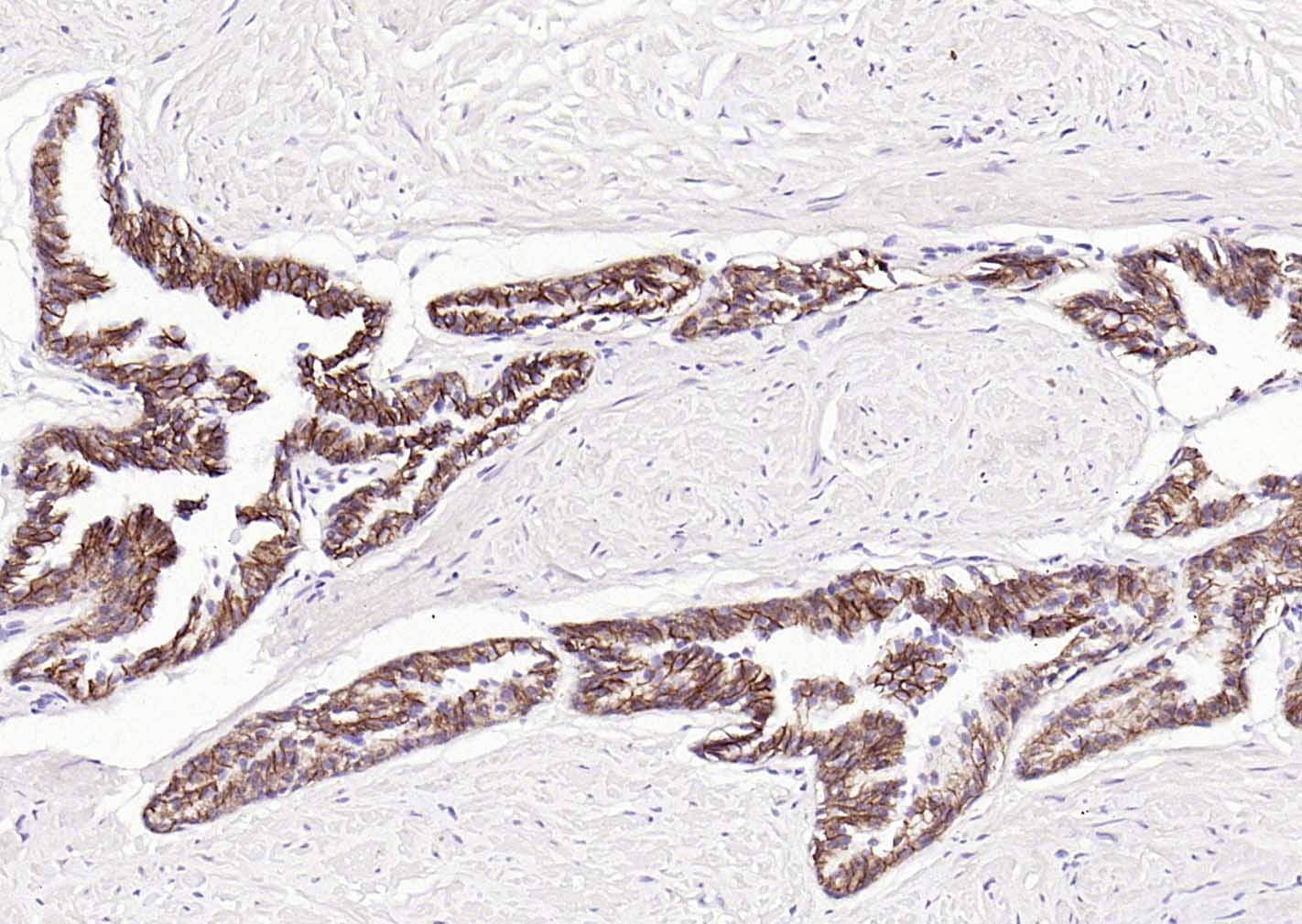
产品图片
Paraformaldehyde-fixed, paraffin embedded (human breast carcinoma); Antigen retrieval by boiling in sodium citrate buffer (pH6.0) for 15min; Block endogenous peroxidase by 3% hydrogen peroxide for 20 minutes; Blocking buffer (normal goat serum) at 37°C for 30min; Incubation with (CTNND1) Monoclonal Antibody, Unconjugated (bsm-34155M) at 1:200 overnight at 4°C, followed by operating according to SP Kit(Mouse)(sp-0024) instructionsand DAB staining.
Paraformaldehyde-fixed, paraffin embedded (Human prostate); Antigen retrieval by boiling in sodium citrate buffer (pH6.0) for 15min; Block endogenous peroxidase by 3% hydrogen peroxide for 20 minutes; Blocking buffer (normal goat serum) at 37°C for 30min; Incubation with (CTNND1) Monoclonal Antibody, Unconjugated (bsm-34155M) at 1:200 overnight at 4°C, followed by operating according to SP Kit(Mouse)(sp-0024) instructionsand DAB staining.
版权所有 2004-2026 www.bioss.com.cn 北京博奥森生物技术有限公司
通过国际质量管理体系ISO 9001:2015 GB/T 19001-2016    证书编号: 00124Q34771R2M/1100
通过国际医疗器械-质量管理体系ISO 13485:2016 GB/T 42061-2022     证书编号: CQC24QY20047R0M/1100
京ICP备05066980号-1         京公网安备110107000727号