扫码关注公众号           扫码咨询技术支持           扫码咨询技术服务
  
客服热线:400-901-9800  客服QQ:4009019800  技术答疑  技术支持  质量反馈  人才招聘  关于我们  联系我们
产品中心-北京博奥森生物技术有限公司
首页 > 产品中心 > 一抗 > 产品信息
GATA3 Recombinant Rabbit mAb (bsm-60794R)  
订购热线:400-901-9800
订购邮箱:sales@bioss.com.cn
订购QQ:  400-901-9800
技术支持:techsupport@bioss.com.cn
25ul/800.00元
50ul/1400.00元
100ul/2500.00元
大包装/询价

产品编号 bsm-60794R
英文名称 GATA3 Recombinant Rabbit mAb
中文名称 GATA结合蛋白3重组兔单克隆抗体
别    名 HDR; HDRS; Gata-3; jal; GATA3_HUMAN; GATA3; GATA-binding factor 3; GATA3_MOUSE;  
抗体来源 Rabbit
克隆类型 Recombinant
克 隆 号 A1F12
交叉反应 Human,Mouse
产品应用 WB=1:500-2000,IHC-P=1:200-800,IHC-F=1:200-800,IF=1:200-800,Flow-Cyt=1:50-100,ICC/IF=1:100-200
not yet tested in other applications.
optimal dilutions/concentrations should be determined by the end user.
理论分子量 49 kDa
检测分子量 46
细胞定位 细胞核 
性    状 Liquid
浓    度 1mg/ml
免 疫 原 A synthesized peptide derived from human GATA3: 1-220/443 
亚    型 IgG
纯化方法 affinity purified by Protein A
缓 冲 液 PBS, Glycerol, BSA.
保存条件 Shipped at 4℃. Store at -20℃ for one year. Avoid repeated freeze/thaw cycles.
注意事项 This product as supplied is intended for research use only, not for use in human, therapeutic or diagnostic applications.
PubMed PubMed
产品介绍 Members of the GATA family share a conserved zinc finger DNA-binding domain and are capable of binding the WGATAR consensus sequence. GATA-1 is erythroid-specific and is responsible for the regulated transcription of erythroid genes. It is an essential component in the generation of the erythroid lineage. GATA-2 is expressed in embryonic brain and liver, HeLa and endothelial cells, as well as in erythroid cells. Studies with a modified GATA consensus sequence, AGATCTTA, have shown that GATA-2 and GATA-3 recognize this mutated consensus while GATA-1 has poor recognition of this sequence. This indicates broader regulatory capabilities of GATA-2 and GATA-3 than GATA-1. GATA-3 is highly expressed in T lymphocytes. GATA-4, GATA-5 and GATA-6 comprise a subfamily of transcription factors. Both GATA-4 and GATA-6 are found in heart, pancreas and ovary; lung and liver tissues exhibit GATA-6, but not GATA-4 expression. GATA-5 expression has been observed in differentiated heart and gut tissues and is present throughout the course of development in the heart. Although expression patterns of the various GATA transcription factors may overlap, it is not yet apparent how the GATA factors are able to discriminate in binding their appropriate target sites.

Function:
Transcriptional activator which binds to the enhancer of the T-cell receptor alpha and delta genes. Binds to the consensus sequence 5'-AGATAG-3'.

Subcellular Location:
Nucleus.

Tissue Specificity:
T-cells and endothelial cells.

DISEASE:
Defects in GATA3 are the cause of hypoparathyroidism with sensorineural deafness and renal dysplasia (HDR) [MIM:146255]; also known as Barakat syndrome.

Similarity:
Contains 2 GATA-type zinc fingers.

Database links:

Entrez Gene: 2625 Human

Entrez Gene: 14462 Mouse

Entrez Gene: 85471 Rat

Omim: 131320 Human

SwissProt: P23771 Human

SwissProt: P23772 Mouse

Unigene: 524134 Human

Unigene: 313866 Mouse



GATA-3属于转录调节性因子,表达在脑组织、胸腺中及其他很多组织中,并调节该类T细胞的发育和功能.
产品图片
25 ug total protein per lane of various lysates (see on figure) probed with GATA3 monoclonal antibody, unconjugated (bsm-60794R) at 1:1000 dilution and 4°C overnight incubation. Followed by conjugated secondary antibody incubation at r.t. for 60 min.
Paraformaldehyde-fixed, paraffin embedded Mouse Bladder; Antigen retrieval by boiling in sodium citrate buffer (pH6.0) for 15 min; The section was incubated with GATA3 Monoclonal Antibody, Unconjugated (bsm-60794R) at 1:200 overnight at 4°C, followed by conjugation to the bs-0295G-HRP and DAB (C-0010) staining.
Paraformaldehyde-fixed, paraffin embedded Human Breast Cancer; Antigen retrieval by boiling in sodium citrate buffer (pH6.0) for 15 min; The section was incubated with GATA3 Monoclonal Antibody, Unconjugated (bsm-60794R) at 1:200 overnight at 4°C, followed by conjugation to the bs-0295G-HRP and DAB (C-0010) staining.
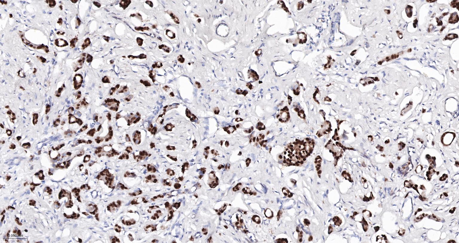
Paraformaldehyde-fixed, paraffin embedded Human Invasive urothelial carcinoma of bladder; Antigen retrieval by boiling in sodium citrate buffer (pH6.0) for 15 min; The section was incubated with GATA3 Monoclonal Antibody, Unconjugated (bsm-60794R) at 1:200 overnight at 4°C, followed by conjugation to the bs-0295G-HRP and DAB (C-0010) staining.
Paraformaldehyde-fixed, paraffin embedded Human Bladder; Antigen retrieval by boiling in sodium citrate buffer (pH6.0) for 15 min; The section was incubated with GATA3 Monoclonal Antibody, Unconjugated (bsm-60794R) at 1:200 overnight at 4°C, followed by conjugation to the bs-0295G-HRP and DAB (C-0010) staining.
Paraformaldehyde-fixed, paraffin embedded Human kidney; Antigen retrieval by boiling in sodium citrate buffer (pH6.0) for 15 min; Antibody incubation with GATA3 Monoclonal Antibody, Unconjugated(bsm-60794R) at 1:200 overnight at 4°C, followed by conjugation to the bs-0295G-HRP and DAB (C-0010) staining.
Paraformaldehyde-fixed, paraffin embedded Mouse kidney; Antigen retrieval by boiling in sodium citrate buffer (pH6.0) for 15 min; Antibody incubation with GATA3 Monoclonal Antibody, Unconjugated(bsm-60794R) at 1:200 overnight at 4°C, followed by conjugation to the bs-0295G-HRP and DAB (C-0010) staining.
4% Paraformaldehyde-fixed T-47D (H) cell; Triton X-100 at r.t. for 20 min; Antibody incubation with (GATA3) monoclonal Antibody, unconjugated (bsm-60794R) 1:100, 90 min at 37°C; followed by BF488 conjugated Goat Anti-Rabbit IgG antibody (green, bs-60295G-BF488) at 37°C for 90 min, DAPI (blue, C02-04002) was used to stain the cell nuclei. PBS instead of the primary antibody was used as the blank control.
Paraformaldehyde-fixed, paraffin embedded human kidney; Antigen retrieval by boiling in sodium citrate buffer (pH6.0) for 15 min; The section was incubated with GATA3 Monoclonal Antibody, Unconjugated (bsm-60794R) at 1:200 overnight at 4°C. Followed by conjugated Goat Anti-Rabbit IgG antibody (Rouse Red, bs-0295G-BF647), DAPI (blue, C02-04002) was used to stain the cell nuclei.
Paraformaldehyde-fixed, paraffin embedded human Breast Cancer; Antigen retrieval by boiling in sodium citrate buffer (pH6.0) for 15 min; The section was incubated with GATA3 Monoclonal Antibody, Unconjugated (bsm-60794R) at 1:200 overnight at 4°C. Followed by conjugated Goat Anti-Rabbit IgG antibody (Rouse Red, bs-0295G-BF647), DAPI (blue, C02-04002) was used to stain the cell nuclei.
The T-47D (H) cells were fixed with 4% PFA (10 min at r.t.) and then permeabilized with 90% ice-cold methanol for 20 min at -20℃,the cells then were incubated in 5%BSA to block non-specific protein-protein interactions (30 min at r.t.), followed by secondary antibody incubation for 40 min at room temperature. Primary Antibody (green):Rabbit Anti-GATA3 antibody (bsm-60794R,1:100); Isotype Control (orange): Rabbit IgG (bs-0295P). Blank control (black): PBS. Acquisition of 20,000 events was performed.
版权所有 2004-2026 www.bioss.com.cn 北京博奥森生物技术有限公司
通过国际质量管理体系ISO 9001:2015 GB/T 19001-2016    证书编号: 00124Q34771R2M/1100
通过国际医疗器械-质量管理体系ISO 13485:2016 GB/T 42061-2022     证书编号: CQC24QY20047R0M/1100
京ICP备05066980号-1         京公网安备110107000727号