扫码关注公众号           扫码咨询技术支持           扫码咨询技术服务
  
客服热线:400-901-9800  客服QQ:4009019800  技术答疑  技术支持  质量反馈  人才招聘  关于我们  联系我们
产品中心-北京博奥森生物技术有限公司
首页 > 产品中心 > 一抗 > 产品信息
CD99 Recombinant Rabbit mAb (bsm-60792R)  
订购热线:400-901-9800
订购邮箱:sales@bioss.com.cn
订购QQ:  400-901-9800
技术支持:techsupport@bioss.com.cn
25ul/800.00元
50ul/1400.00元
100ul/2500.00元
大包装/询价

产品编号 bsm-60792R
英文名称 CD99 Recombinant Rabbit mAb
中文名称 CD99重组兔单克隆抗体
别    名 HBA71; MIC2; MIC2X; MIC2Y; MSK5X; 1110061M03Rik; 2410026K10Rik; D4; Pilr-l; pilr-1; CD99_HUMAN; CD99; 12E7; E2 antigen; Protein MIC2; T-cell surface glycoprotein E2; CD99_MOUSE; Paired immunoglobin-like type 2 receptor-ligand (PILR-L); Pilrl;   
抗体来源 Rabbit
克隆类型 Recombinant
克 隆 号 D6E10
交叉反应 Human
产品应用 IHC-P=1:200-800,IHC-F=1:200-800,IF=1:200-800
not yet tested in other applications.
optimal dilutions/concentrations should be determined by the end user.
理论分子量 16 kDa
细胞定位 细胞膜 
性    状 Liquid
浓    度 1mg/ml
免 疫 原 KLH conjugated synthetic peptide derived from human CD99 
亚    型 IgG
纯化方法 affinity purified by Protein A
缓 冲 液 PBS, Glycerol, BSA.
保存条件 Shipped at 4℃. Store at -20℃ for one year. Avoid repeated freeze/thaw cycles.
注意事项 This product as supplied is intended for research use only, not for use in human, therapeutic or diagnostic applications.
PubMed PubMed
产品介绍 The protein encoded by this gene is a cell surface glycoprotein involved in leukocyte migration, T-cell adhesion, ganglioside GM1 and transmembrane protein transport, and T-cell death by a caspase-independent pathway. In addition, the encoded protein may have the ability to rearrange the actin cytoskeleton and may also act as an oncosuppressor in osteosarcoma. This gene is found in the pseudoautosomal region of chromosomes X and Y and escapes X-chromosome inactivation. There is a related pseudogene located immediately adjacent to this locus. [provided by RefSeq, Mar 2016]

Function:
Involved in T-cell adhesion processes. Plays a role in a late step of leukocyte extravasation helping leukocytes to overcome the endothelial basement membrane. Acts at the same site as, but independently of, PECAM1.

Subunit:
Homodimer. Interacts with PILRB.

Subcellular Location:
Membrane; Single-pass type I membrane protein.

Tissue Specificity:
Natural killer cells.

Similarity:
Belongs to the CD99 family.

SWISS:
P14209

Gene ID:
4267

Database links:

Entrez Gene: 4267 Human

Entrez Gene: 673094 Mouse

Omim: 313470 Human

SwissProt: P14209 Human

SwissProt: Q8VCN6 Mouse

Unigene: 653349 Human

Unigene: 423040 Mouse



CD99(P30/32MIC2)是一种跨膜蛋白,为MIC2基因产物。分布于淋巴细胞、胸腺皮质细胞、卵巢的颗粒细胞、胰岛细胞和睾丸支持细胞。
产品图片
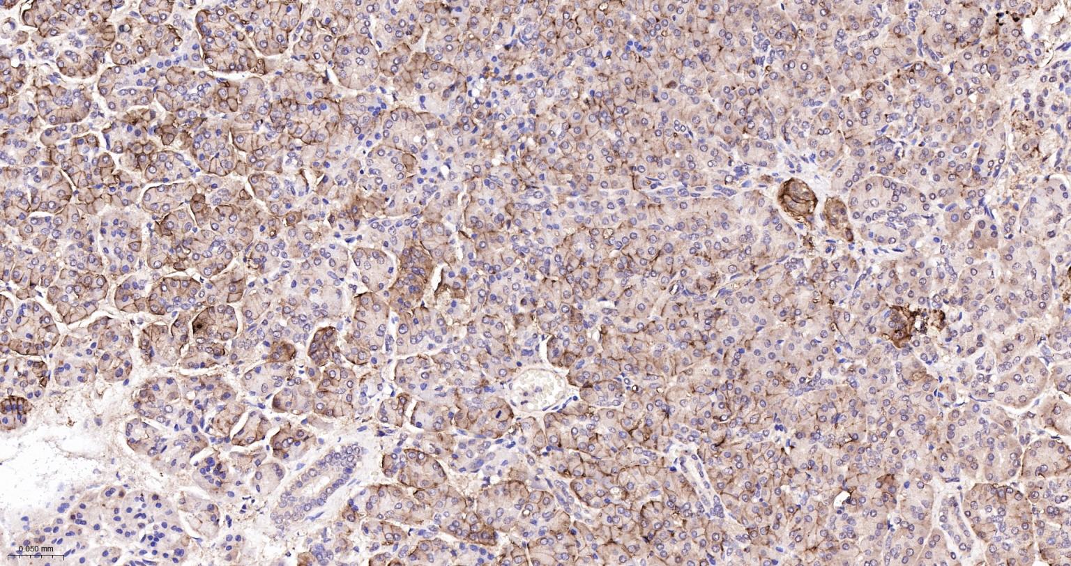
Paraformaldehyde-fixed, paraffin embedded Human Pancreas; Antigen retrieval by boiling in sodium citrate buffer (pH6.0) for 15 min; The section was incubated with CD99 Monoclonal Antibody, Unconjugated (bsm-60792R) at 1:200 overnight at 4°C, followed by conjugation to the bs-0295G-HRP and DAB (C-0010) staining.
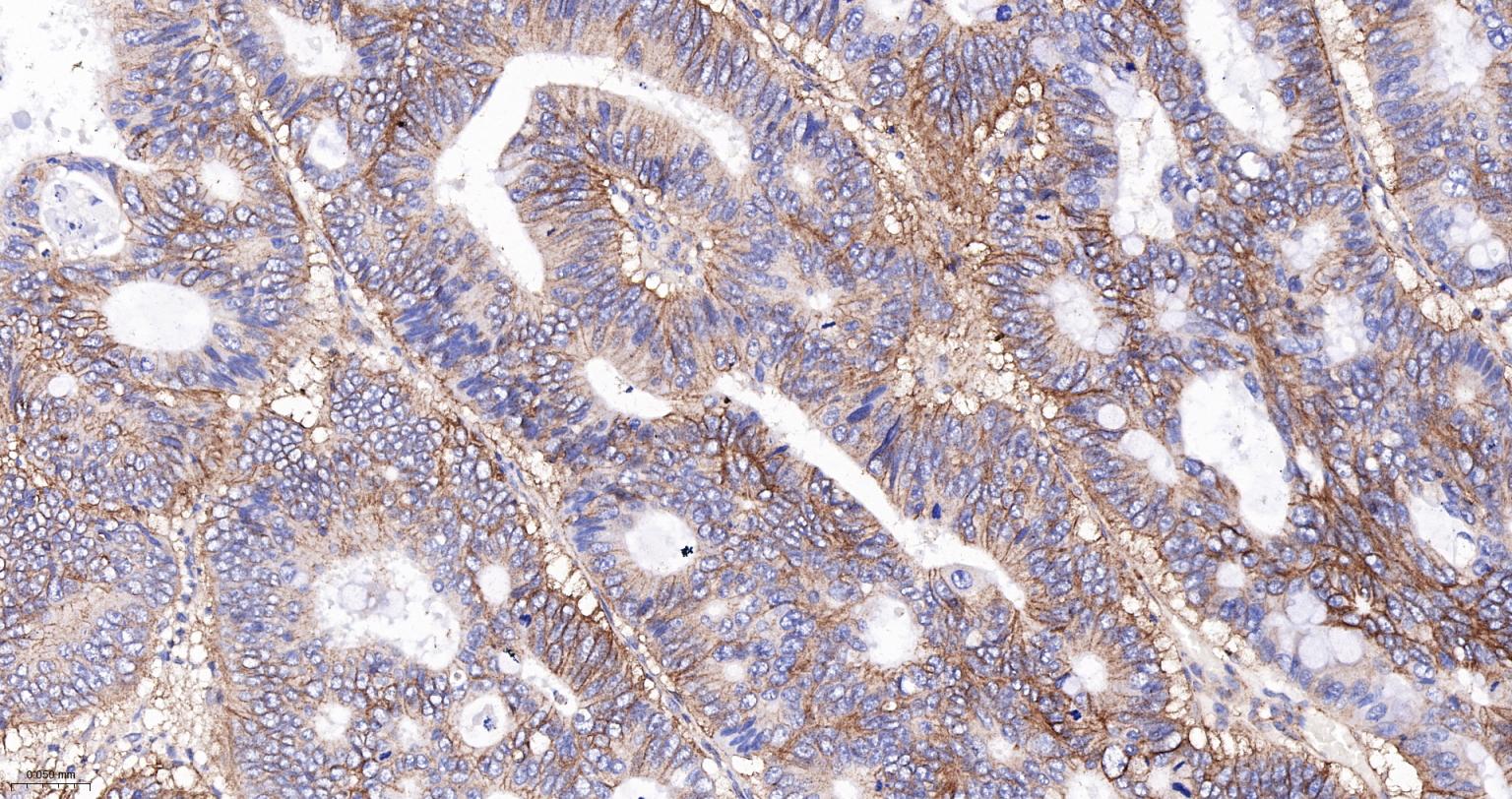
Paraformaldehyde-fixed, paraffin embedded Human Colon Cancer; Antigen retrieval by boiling in sodium citrate buffer (pH6.0) for 15 min; The section was incubated with CD99 Monoclonal Antibody, Unconjugated (bsm-60792R) at 1:200 overnight at 4°C, followed by conjugation to the bs-0295G-HRP and DAB (C-0010) staining.
版权所有 2004-2026 www.bioss.com.cn 北京博奥森生物技术有限公司
通过国际质量管理体系ISO 9001:2015 GB/T 19001-2016    证书编号: 00124Q34771R2M/1100
通过国际医疗器械-质量管理体系ISO 13485:2016 GB/T 42061-2022     证书编号: CQC24QY20047R0M/1100
京ICP备05066980号-1         京公网安备110107000727号