扫码关注公众号           扫码咨询技术支持           扫码咨询技术服务
  
客服热线:400-901-9800  客服QQ:4009019800  技术答疑  技术支持  质量反馈  人才招聘  关于我们  联系我们
产品中心-北京博奥森生物技术有限公司
首页 > 产品中心 > 一抗 > 产品信息
Nestin Recombinant Rabbit mAb (bsm-60783R)  
订购热线:400-901-9800
订购邮箱:sales@bioss.com.cn
订购QQ:  400-901-9800
技术支持:techsupport@bioss.com.cn
25ul/800.00元
50ul/1400.00元
100ul/2500.00元
大包装/询价

产品编号 bsm-60783R
英文名称 Nestin Recombinant Rabbit mAb
中文名称 巢蛋白/神经上皮干细胞蛋白重组兔单克隆抗体
别    名 Nbla00170; ESTM46; Ifaprc2; Marc2; RC2; NEST_HUMAN; NES; NEST_MOUSE; NEST_RAT;   
抗体来源 Rabbit
克隆类型 Recombinant
克 隆 号 B5H6
交叉反应 Human
产品应用 WB=1:1000-5000,IHC-P=1:200-1000,IHC-F=1:200-1000,IF=1:200-1000,ICC/IF=1:100-500
not yet tested in other applications.
optimal dilutions/concentrations should be determined by the end user.
理论分子量 178 kDa
检测分子量 240-300
细胞定位 细胞浆 
性    状 Lyophilized or Liquid
浓    度 1mg/ml
免 疫 原 KLH conjugated synthetic peptide derived from human Nestin 
亚    型 IgG
纯化方法 affinity purified by Protein A
缓 冲 液 PBS, Glycerol, BSA.
保存条件 Shipped at 4℃. Store at -20℃ for one year. Avoid repeated freeze/thaw cycles.
注意事项 This product as supplied is intended for research use only, not for use in human, therapeutic or diagnostic applications.
PubMed PubMed
产品介绍 Nestin is a Class VI intermediate filament expressed in the developing central nervous system (CNS) in early embryonic neuroepithelial stem cells. This protein has been widely used as a predominant marker for stem / progenitor cells, glioma cells, and tumor endothelial cells in the mammalian CNS. Furthermore, it is a superior angiogenic marker to evaluate neovascularity of endothelial cells in tumor.

Function:
Required for brain and eye development (By similarity). Promotes the disassembly of phosphorylated vimentin intermediate filaments (IF) during mitosis and may play a role in the trafficking and distribution of IF proteins and other cellular factors to daughter cells during progenitor cell division. Required for survival, renewal and mitogen-stimulated proliferation of neural progenitor cells.

Subunit:
Forms homodimers and homotetramers in vitro. In mixtures with other intermediate filament proteins such as vimentin and alpha-internexin, this protein preferentially forms heterodimers which can assemble to form intermediate filaments if nestin does not exceed 25%. Interacts with FHOD3.

Subcellular Location:
cytoplasm

Tissue Specificity:
CNS stem cells.

Post-translational modifications:
Constitutively phosphorylated. This increases during mitosis when the cytoplasmic intermediate filament network is reorganized.

Similarity:
Belongs to the intermediate filament family.

SWISS:
P48681

Gene ID:
10763

Database links:

Entrez Gene: 10763 Human

Entrez Gene: 18008 Mouse

Entrez Gene: 25491 Rat

Omim: 600915 Human

SwissProt: P48681 Human

SwissProt: Q6P5H2 Mouse

SwissProt: P21263 Rat

Unigene: 527971 Human

Unigene: 331129 Mouse

Unigene: 9701 Rat



神经干细胞标志物在动物体早期发育过程中,中枢神经系统发育尤为重要 。Nestin是一种中等纤维蛋白,它在哺乳动物神经前体细胞中表达较高,目前已被广泛用于神经前体细胞的重要标志分子。研究Nestin的表达调控规律,将有助于人们认识神经前体细胞的生物特性。此抗体还表达中枢神经系统干细胞及神经上皮细胞。
产品图片
25 ug total protein per lane of various lysates (see on figure) probed with Nestin monoclonal antibody, unconjugated (bsm-60783R) at 1:1000 dilution and 4°C overnight incubation. Followed by conjugated secondary antibody incubation at r.t. for 60 min.
25 ug total protein per lane of various lysates (see on figure) probed with Nestin monoclonal antibody, unconjugated (bsm-60783R) at 1:5000 dilution and 4°C overnight incubation. Followed by conjugated secondary antibody incubation at r.t. for 60 min.
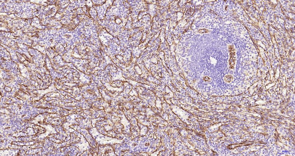
Paraformaldehyde-fixed, paraffin embedded Human Spleen; Antigen retrieval by boiling in sodium citrate buffer (pH6.0) for 15 min; Antibody incubation with Nestin Monoclonal Antibody, Unconjugated(bsm-60783R) at 1:200 overnight at 4°C, followed by conjugation to the SP Kit (Rabbit, SP-0023) and DAB (C-0010) staining.
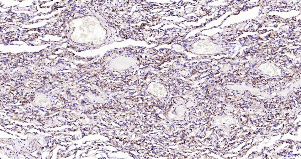
Paraformaldehyde-fixed, paraffin embedded Human Lung; Antigen retrieval by boiling in sodium citrate buffer (pH6.0) for 15 min; Antibody incubation with Nestin Monoclonal Antibody, Unconjugated(bsm-60783R) at 1:200 overnight at 4°C, followed by conjugation to the SP Kit (Rabbit, SP-0023) and DAB (C-0010) staining.
Paraformaldehyde-fixed, paraffin embedded Human Glioma; Antigen retrieval by boiling in sodium citrate buffer (pH6.0) for 15 min; Antibody incubation with Nestin Monoclonal Antibody, Unconjugated(bsm-60783R) at 1:200 overnight at 4°C, followed by conjugation to the SP Kit (Rabbit, SP-0023) and DAB (C-0010) staining.
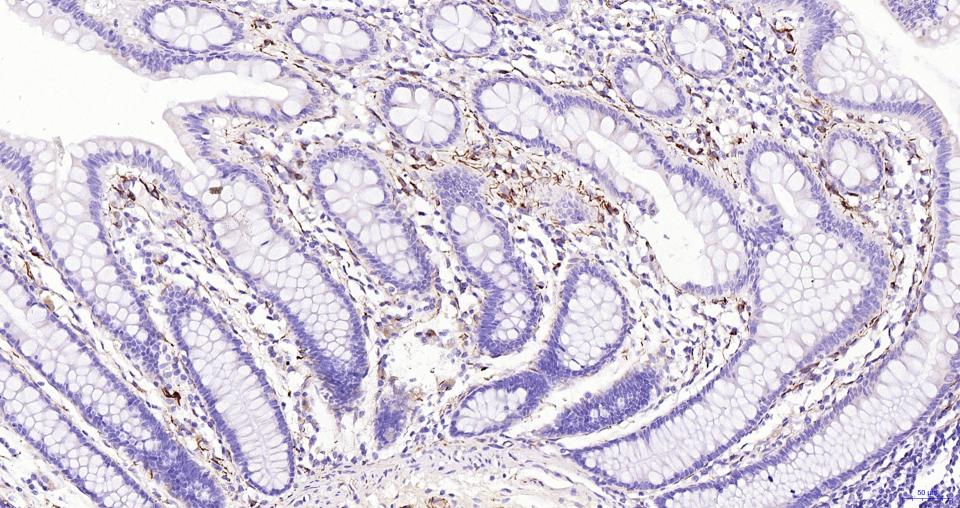
Paraformaldehyde-fixed, paraffin embedded Human Colon; Antigen retrieval by boiling in sodium citrate buffer (pH6.0) for 15 min; Antibody incubation with Nestin Monoclonal Antibody, Unconjugated(bsm-60783R) at 1:200 overnight at 4°C, followed by conjugation to the SP Kit (Rabbit, SP-0023) and DAB (C-0010) staining.
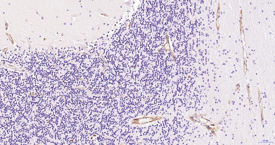
Paraformaldehyde-fixed, paraffin embedded Human Cerebellum; Antigen retrieval by boiling in sodium citrate buffer (pH6.0) for 15 min; Antibody incubation with Nestin Monoclonal Antibody, Unconjugated(bsm-60783R) at 1:200 overnight at 4°C, followed by conjugation to the SP Kit (Rabbit, SP-0023) and DAB (C-0010) staining.
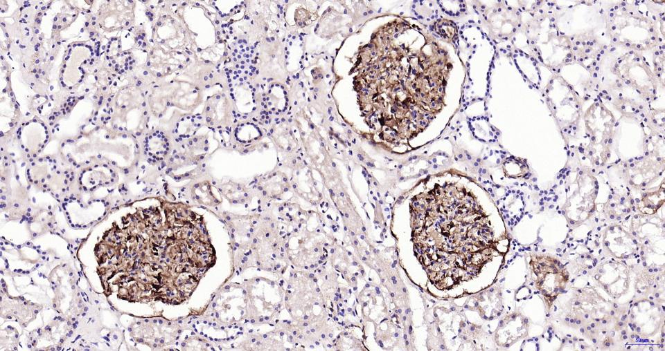
Paraformaldehyde-fixed, paraffin embedded Human Kidney; Antigen retrieval by boiling in sodium citrate buffer (pH6.0) for 15 min; Antibody incubation with Nestin Monoclonal Antibody, Unconjugated(bsm-60783R) at 1:200 overnight at 4°C, followed by conjugation to the SP Kit (Rabbit, SP-0023) and DAB (C-0010) staining.
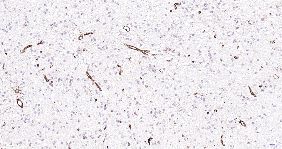
Paraformaldehyde-fixed, paraffin embedded Human Cerebrum; Antigen retrieval by boiling in sodium citrate buffer (pH6.0) for 15 min; Antibody incubation with Nestin Monoclonal Antibody, Unconjugated(bsm-60783R) at 1:200 overnight at 4°C, followed by conjugation to the SP Kit (Rabbit, SP-0023) and DAB (C-0010) staining.
4% Paraformaldehyde-fixed U251 (H) cell; Triton X-100 at r.t. for 20 min; Antibody incubation with (Nestin) monoclonal Antibody, unconjugated (bsm-60783R) 1:100, 90 min at 37°C; followed by conjugated Goat Anti-Rabbit IgG antibody (green, bs-60295G-BF488) at 37°C for 90 min, DAPI (blue, C02-04002) was used to stain the cell nuclei. PBS instead of the primary antibody was used as the blank control.
Paraformaldehyde-fixed, paraffin embedded Human Kidney; Antigen retrieval by boiling in sodium citrate buffer (pH6.0) for 15 min; The section was incubated with Nestin Monoclonal Antibody, Unconjugated (bsm-60783R) at 1:200 overnight at 4°C. Followed by conjugated Goat Anti-Rabbit IgG antibody (Red, bs-0295G-BF594), DAPI (blue, C02-04002) was used to stain the cell nuclei.
Paraformaldehyde-fixed, paraffin embedded Human Spleen; Antigen retrieval by boiling in sodium citrate buffer (pH6.0) for 15 min; The section was incubated with Nestin Monoclonal Antibody, Unconjugated (bsm-60783R) at 1:200 overnight at 4°C. Followed by conjugated Goat Anti-Rabbit IgG antibody (Red, bs-0295G-BF594), DAPI (blue, C02-04002) was used to stain the cell nuclei.
版权所有 2004-2026 www.bioss.com.cn 北京博奥森生物技术有限公司
通过国际质量管理体系ISO 9001:2015 GB/T 19001-2016    证书编号: 00124Q34771R2M/1100
通过国际医疗器械-质量管理体系ISO 13485:2016 GB/T 42061-2022     证书编号: CQC24QY20047R0M/1100
京ICP备05066980号-1         京公网安备110107000727号