扫码关注公众号           扫码咨询技术支持           扫码咨询技术服务
  
客服热线:400-901-9800  客服QQ:4009019800  技术答疑  技术支持  质量反馈  人才招聘  关于我们  联系我们
产品中心-北京博奥森生物技术有限公司
首页 > 产品中心 > 一抗 > 产品信息
CD16a Recombinant Rabbit mAb (bsm-60782R)  
订购热线:400-901-9800
订购邮箱:sales@bioss.com.cn
订购QQ:  400-901-9800
技术支持:techsupport@bioss.com.cn
25ul/800.00元
50ul/1400.00元
100ul/2500.00元
大包装/询价

产品编号 bsm-60782R
英文名称 CD16a Recombinant Rabbit mAb
中文名称 FC段γ受体3/免疫球蛋白G Fc段受体III重组兔单克隆抗体
别    名 CD16; CD16-II; CD16A; FCG3; FCGR3; FCGRIII; FCR-10; FCRIII; FCRIIIA; FcGRIIIA; IGFR3; IMD20; CD16-2; Fcgr4; FCG3A_HUMAN; FCGR3A; IgG Fc receptor III-A; CD16a antigen; Fc-gamma RIII-alpha (Fc-gamma RIII | Fc-gamma RIIIa | FcRIII | FcRIIIa | FcgammaRIIIA); IgG Fc receptor III-2; FCGR3_MOUSE; IgG Fc receptor III; Fc-gamma RIII (FcRIII); FCGR3_RAT;   
抗体来源 Rabbit
克隆类型 Recombinant
克 隆 号 B12F4
交叉反应 Human
产品应用 IHC-P=1:100-500,IHC-F=1:100-500,IF=1:100-500
not yet tested in other applications.
optimal dilutions/concentrations should be determined by the end user.
理论分子量 27 kDa
细胞定位 细胞膜 分泌型蛋白 
性    状 Liquid
浓    度 1mg/ml
免 疫 原 KLH conjugated synthetic peptide derived from human IGFR3/CD16 
亚    型 IgG
纯化方法 affinity purified by Protein A
缓 冲 液 PBS, Glycerol, BSA.
保存条件 Shipped at 4℃. Store at -20℃ for one year. Avoid repeated freeze/thaw cycles.
注意事项 This product as supplied is intended for research use only, not for use in human, therapeutic or diagnostic applications.
PubMed PubMed
产品介绍 This gene encodes a receptor for the Fc portion of immunoglobulin G, and it is involved in the removal of antigen-antibody complexes from the circulation, as well as other responses, including antibody dependent cellular mediated cytotoxicity and antibody dependent enhancement of virus infections. This gene (FCGR3A) is highly similar to another nearby gene (FCGR3B) located on chromosome 1. The receptor encoded by this gene is expressed on natural killer (NK) cells as an integral membrane glycoprotein anchored through a transmembrane peptide, whereas FCGR3B is expressed on polymorphonuclear neutrophils (PMN) where the receptor is anchored through a phosphatidylinositol (PI) linkage. Mutations in this gene are associated with immunodeficiency 20, and have been linked to susceptibility to recurrent viral infections, susceptibility to systemic lupus erythematosus, and alloimmune neonatal neutropenia. Alternatively spliced transcript variants encoding different isoforms have been found for this gene. [provided by RefSeq, Aug 2020]

Function:
Receptor for the Fc region of IgG. Binds complexed or aggregated IgG and also monomeric IgG. Mediates antibody-dependent cellular cytotoxicity (ADCC) and other antibody-dependent responses, such as phagocytosis.

Subunit:
Exists as a heterooligomeric receptor complex with Fc epsilon receptor I gamma subunit and / or the CD3 zeta subunit. Interacts with INPP5D/SHIP1.

Subcellular Location:
Cell membrane. Secreted. Exists also as a soluble receptor.

Tissue Specificity:
Expressed on natural killer cells, macrophages, subpopulation of T-cells, immature thymocytes and placental trophoblasts.

Post-translational modifications:
Glycosylated. Contains high mannose- and complex-type oligosaccharides. The soluble form is produced by a proteolytic cleavage. [MISCELLANEOUS] Encoded by one of two nearly indentical genes: FCGR3A (Shown here) and FCGR3B which are expressed in a tissue-specific manner. The Phe-203 in III-A determines the transmembrane domains whereas the 'Ser-203' in III-B determines the GPI-anchoring.

Similarity:
Contains 2 Ig-like C2-type (immunoglobulin-like) domains.

SWISS:
P08637

Gene ID:
2214

Database links:

Entrez Gene: 2214 Human

Entrez Gene: 14131 Mouse

Entrez Gene: 304966 Rat

Omim: 146740 Human

SwissProt: P08637 Human

SwissProt: P08508 Mouse

SwissProt: P27645 Rat

Unigene: 372679 Human



产品图片
Paraformaldehyde-fixed, paraffin embedded Human Thymus; Antigen retrieval by boiling in sodium citrate buffer (pH6.0) for 15 min; Antibody incubation with CD16a Monoclonal Antibody, Unconjugated(bsm-60782R) at 1:200 overnight at 4°C, followed by conjugation to the bs-0295G-HRP and DAB (C-0010) staining.
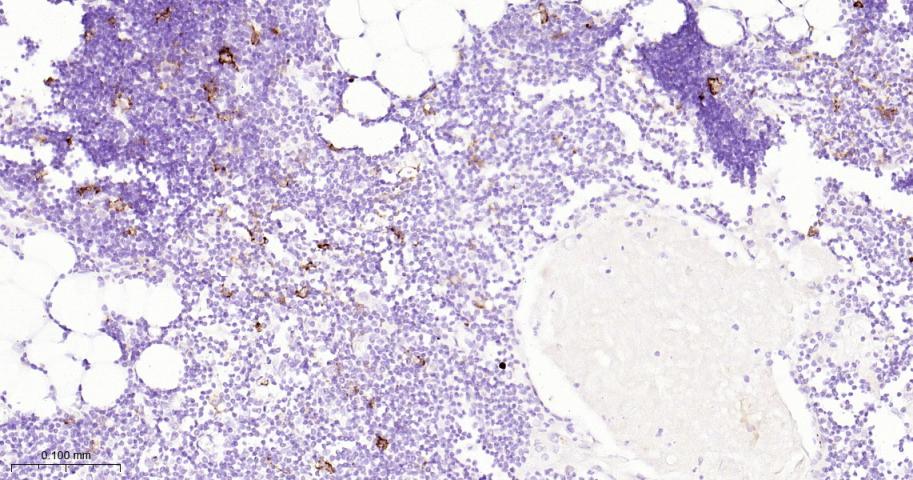
Paraformaldehyde-fixed, paraffin embedded Human Spleen; Antigen retrieval by boiling in sodium citrate buffer (pH6.0) for 15 min; Antibody incubation with CD16a Monoclonal Antibody, Unconjugated(bsm-60782R) at 1:200 overnight at 4°C, followed by conjugation to the bs-0295G-HRP and DAB (C-0010) staining.
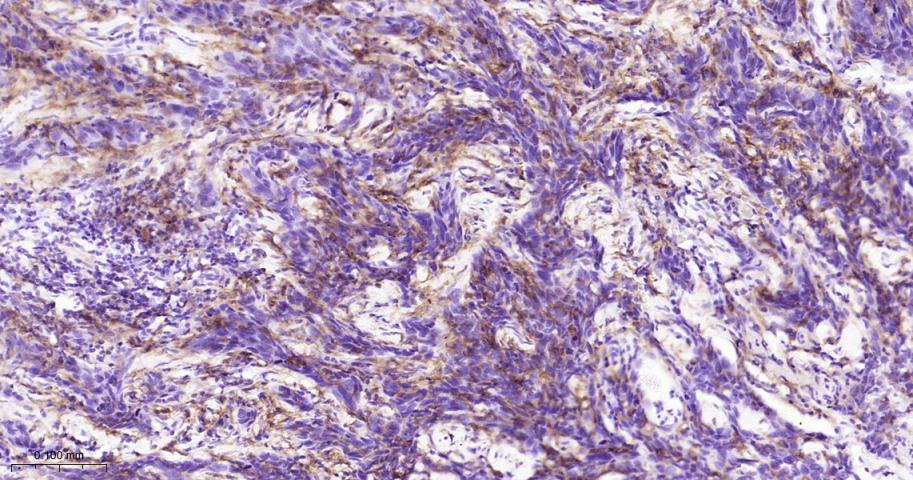
Paraformaldehyde-fixed, paraffin embedded Human Liver; Antigen retrieval by boiling in sodium citrate buffer (pH6.0) for 15 min; Antibody incubation with CD16a Monoclonal Antibody, Unconjugated(bsm-60782R) at 1:200 overnight at 4°C, followed by conjugation to the bs-0295G-HRP and DAB (C-0010) staining.
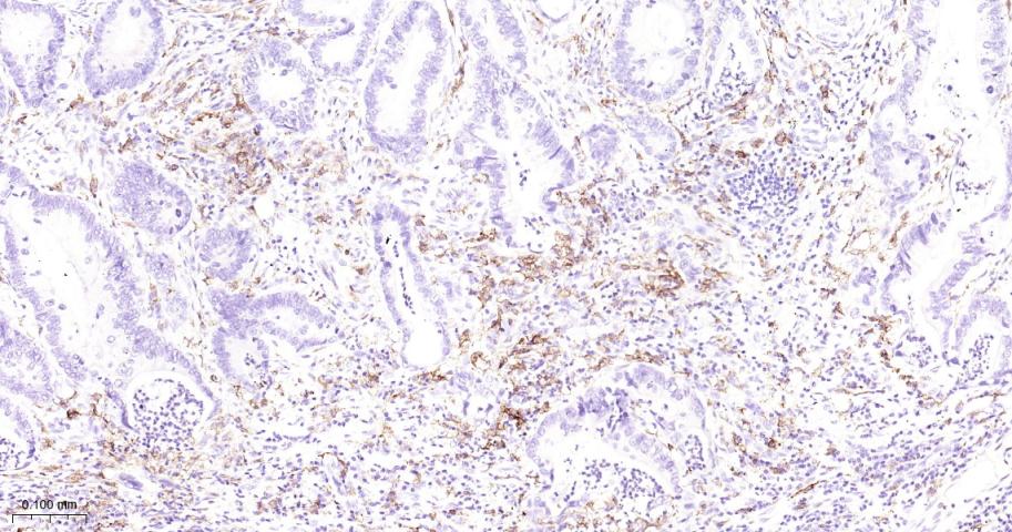
Paraformaldehyde-fixed, paraffin embedded Human Colon Cancer; Antigen retrieval by boiling in sodium citrate buffer (pH6.0) for 15 min; Antibody incubation with CD16a Monoclonal Antibody, Unconjugated(bsm-60782R) at 1:200 overnight at 4°C, followed by conjugation to the bs-0295G-HRP and DAB (C-0010) staining.
Paraformaldehyde-fixed, paraffin embedded Human Cervical Cancer; Antigen retrieval by boiling in sodium citrate buffer (pH6.0) for 15 min; Antibody incubation with CD16a Monoclonal Antibody, Unconjugated(bsm-60782R) at 1:200 overnight at 4°C, followed by conjugation to the bs-0295G-HRP and DAB (C-0010) staining.
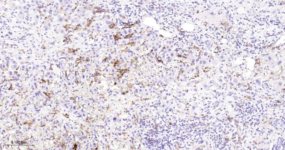
Paraformaldehyde-fixed, paraffin embedded Human Liver Cancer; Antigen retrieval by boiling in sodium citrate buffer (pH6.0) for 15 min; Antibody incubation with CD16a Monoclonal Antibody, Unconjugated(bsm-60782R) at 1:200 overnight at 4°C, followed by conjugation to the bs-0295G-HRP and DAB (C-0010) staining.
Paraformaldehyde-fixed, paraffin embedded Human Lung; Antigen retrieval by boiling in sodium citrate buffer (pH6.0) for 15 min; Antibody incubation with CD16a Monoclonal Antibody, Unconjugated(bsm-60782R) at 1:200 overnight at 4°C, followed by conjugation to the bs-0295G-HRP and DAB (C-0010) staining.
Paraformaldehyde-fixed, paraffin embedded Human Spleen; Antigen retrieval by boiling in sodium citrate buffer (pH6.0) for 15 min; The section was incubated with CD16a Monoclonal Antibody, Unconjugated (bsm-60782R) at 1:200 overnight at 4°C. Followed by conjugated Goat Anti-Rabbit IgG antibody (green, bs-0295G-BF488), DAPI (blue, C02-04002) was used to stain the cell nuclei.
Paraformaldehyde-fixed, paraffin embedded Human Liver; Antigen retrieval by boiling in sodium citrate buffer (pH6.0) for 15 min; The section was incubated with CD16a Monoclonal Antibody, Unconjugated (bsm-60782R) at 1:200 overnight at 4°C. Followed by conjugated Goat Anti-Rabbit IgG antibody (green, bs-0295G-BF488), DAPI (blue, C02-04002) was used to stain the cell nuclei.
版权所有 2004-2026 www.bioss.com.cn 北京博奥森生物技术有限公司
通过国际质量管理体系ISO 9001:2015 GB/T 19001-2016    证书编号: 00124Q34771R2M/1100
通过国际医疗器械-质量管理体系ISO 13485:2016 GB/T 42061-2022     证书编号: CQC24QY20047R0M/1100
京ICP备05066980号-1         京公网安备110107000727号