扫码关注公众号           扫码咨询技术支持           扫码咨询技术服务
  
客服热线:400-901-9800  客服QQ:4009019800  技术答疑  技术支持  质量反馈  人才招聘  关于我们  联系我们
产品中心-北京博奥森生物技术有限公司
首页 > 产品中心 > 一抗 > 产品信息
AACT Recombinant Rabbit mAb (bsm-60780R)  
订购热线:400-901-9800
订购邮箱:sales@bioss.com.cn
订购QQ:  400-901-9800
技术支持:techsupport@bioss.com.cn
25ul/800.00元
50ul/1400.00元
100ul/2500.00元
大包装/询价

产品编号 bsm-60780R
英文名称 AACT Recombinant Rabbit mAb
中文名称 α-1抗胰糜蛋白酶/SERPINA3重组兔单克隆抗体
别    名 AACT; ACT; GIG24; GIG25; AACT_HUMAN; SERPINA3; Cell growth-inhibiting gene 24/25 protein; Serpin A3;   
抗体来源 Rabbit
克隆类型 Recombinant
克 隆 号 A12D5
交叉反应 Human
产品应用 WB=1:2000-10000,IHC-P=1:200-800,IHC-F=1:200-800,IF=1:200-800
not yet tested in other applications.
optimal dilutions/concentrations should be determined by the end user.
理论分子量 45 kDa
检测分子量 60
细胞定位 分泌型蛋白 
性    状 Lyophilized or Liquid
浓    度 1mg/ml
免 疫 原 Full length native Protein: 1-423/423 
亚    型 IgG
纯化方法 affinity purified by Protein A
缓 冲 液 PBS, Glycerol, BSA.
保存条件 Shipped at 4℃. Store at -20℃ for one year. Avoid repeated freeze/thaw cycles.
注意事项 This product as supplied is intended for research use only, not for use in human, therapeutic or diagnostic applications.
PubMed PubMed
产品介绍 Alpha 1-Antichymotrypsin, a member of the serine proteinase inhibitor (serpin) family, inhibits neutrophil proteinase cathepsin G and mast cell chymases, and protects the lower respiratory tract from damage by proteolytic enzymes. It contains a reactive centre loop, which interacts with cognate proteinases, resulting in loop cleavage and a major conformational change. Recently, alpha 1-antichymotrypsin has been identified as a major constituent of the neurofibrillary plaques associated with Alzheimers disease, and in vitro studies have shown that it enhances the rate of amyloid-fibril formation. These observations and recent genetic evidence suggest that alpha 1-antichymotrypsin is important in the pathogenesis of Alzheimers disease.

Function:
Although its physiological function is unclear, it can inhibit neutrophil cathepsin G and mast cell chymase, both of which can convert angiotensin-1 to the active angiotensin-2.

Subunit:
Interacts with DNAJC1.

Subcellular Location:
Secreted.

Tissue Specificity:
Plasma. Synthesized in the liver. Like the related alpha-1-antitrypsin, its concentration increases in the acute phase of inflammation or infection. Found in the amyloid plaques from the hippocampus of Alzheimer disease brains.

Similarity:
Belongs to the serpin family.

SWISS:
P01011

Gene ID:
12

Database links:

Entrez Gene: 12 Human

Omim: 107280 Human

SwissProt: P01011 Human

Unigene: 534293 Human

Unigene: 710488 Human



AACT是由神经胶质细胞分泌并参与淀粉样纤维生成和沉积的一种色氨酸蛋白酶抑制剂,被认为是Aβ肽的假性底物,与Aβ肽具有很高的亲合性,可促进Aβ肽的纤维化以生成淀粉样沉积。
ApoE作为AD的另一种病理伴随性物质,也可识别并与Aβ肽相结合,促进Aβ肽沉积生成淀粉样老年斑块。由于AACT和ApoE在AD发病中具有共同的作用途径,因此探讨其相互作用可能是AD治疗中一个新的途径。
AACT是一种丝氨酸蛋白酶抑制剂,可以中和糜蛋白酶等酶活性的蛋白酶,存在于大多数的组织细胞、巨噬细胞以及多种胃肠道和肺部肿瘤中,但多形核白细胞中无此物质,它可以作为组织细胞瘤和良性/恶性纤维组织细胞瘤的标志。此抗体与人的AACT反应,主要用于恶性纤维组织细胞瘤等恶性肿瘤的诊断,也可用于胃癌﹑肺癌、肾癌等肿瘤的研究。
产品图片
25 ug total protein per lane of various lysates (see on figure) probed with AACT monoclonal antibody, unconjugated (bsm-60780R) at 1:1000 dilution and 4°C overnight incubation. Followed by conjugated secondary antibody incubation at r.t. for 60 min.
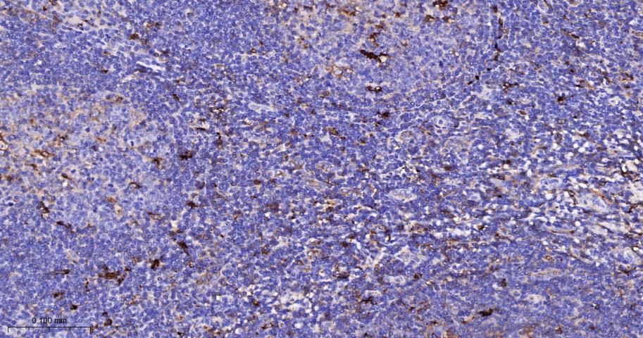
Paraformaldehyde-fixed, paraffin embedded Human Tonsil; Antigen retrieval by boiling in sodium citrate buffer (pH6.0) for 15 min; Antibody incubation with AACT Monoclonal Antibody, Unconjugated(bsm-60780R) at 1:200 overnight at 4°C, followed by conjugation to the SP Kit (Rabbit, SP-0023) and DAB (C-0010) staining.
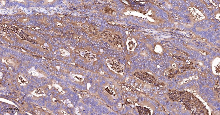
Paraformaldehyde-fixed, paraffin embedded Human Colon Cancer; Antigen retrieval by boiling in sodium citrate buffer (pH6.0) for 15 min; Antibody incubation with AACT Monoclonal Antibody, Unconjugated(bsm-60780R) at 1:200 overnight at 4°C, followed by conjugation to the SP Kit (Rabbit, SP-0023) and DAB (C-0010) staining.
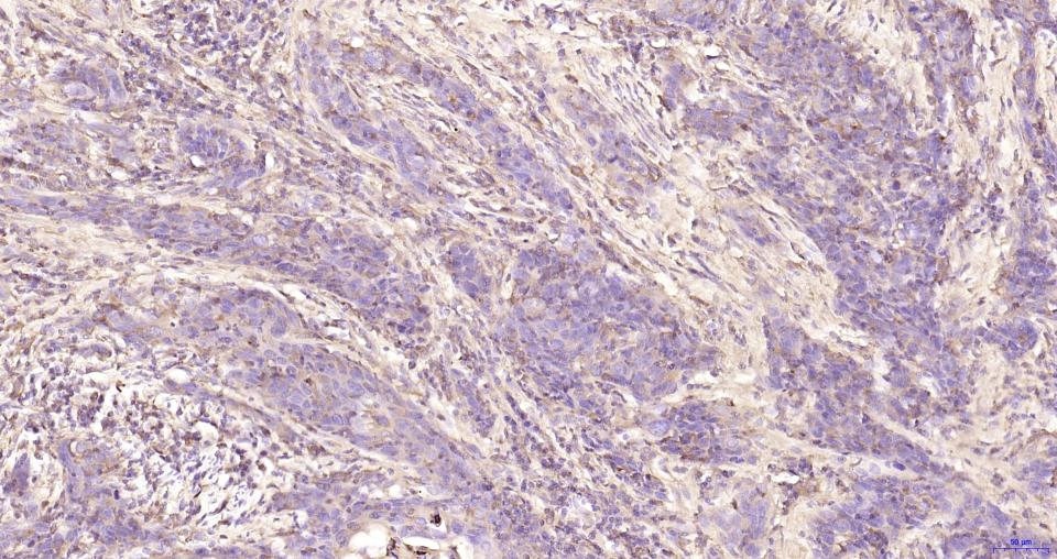
Paraformaldehyde-fixed, paraffin embedded Human Cervical Cancer; Antigen retrieval by boiling in sodium citrate buffer (pH6.0) for 15 min; Antibody incubation with AACT Monoclonal Antibody, Unconjugated(bsm-60780R) at 1:200 overnight at 4°C, followed by conjugation to the SP Kit (Rabbit, SP-0023)and DAB (C-0010) staining.
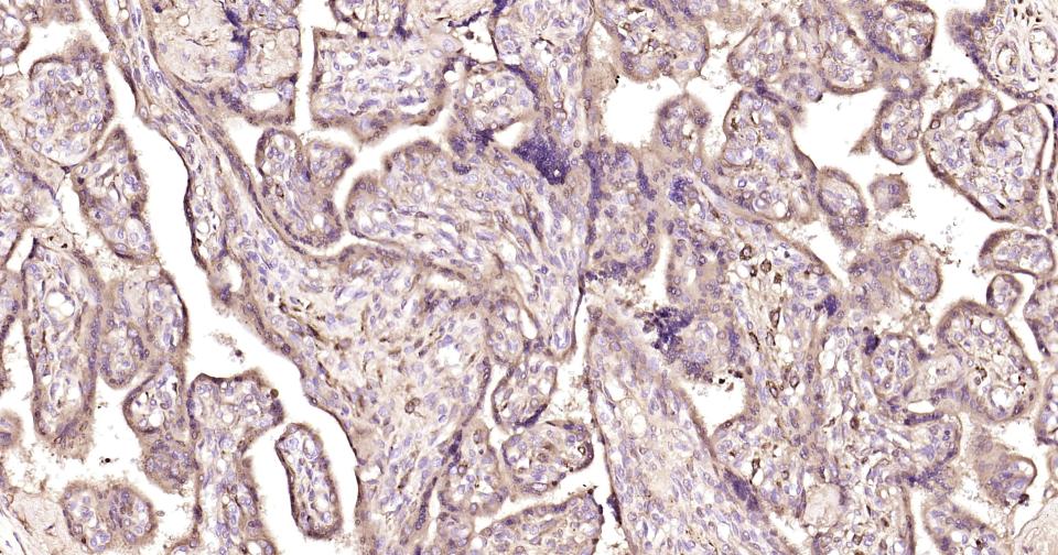
Paraformaldehyde-fixed, paraffin embedded Human Placenta; Antigen retrieval by boiling in sodium citrate buffer (pH6.0) for 15 min; Antibody incubation with AACT Monoclonal Antibody, Unconjugated(bsm-60780R) at 1:200 overnight at 4°C, followed by conjugation to the SP Kit (Rabbit, SP-0023) and DAB (C-0010) staining.
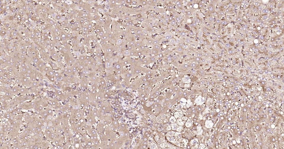
Paraformaldehyde-fixed, paraffin embedded Human Liver; Antigen retrieval by boiling in sodium citrate buffer (pH6.0) for 15 min; Antibody incubation with AACT Monoclonal Antibody, Unconjugated(bsm-60780R) at 1:200 overnight at 4°C, followed by conjugation to the SP Kit (Rabbit, SP-0023) and DAB (C-0010) staining.
Paraformaldehyde-fixed, paraffin embedded Human tonsils; Antigen retrieval by boiling in sodium citrate buffer (pH6.0) for 15 min; Antibody incubation with AACT Monoclonal Antibody, Unconjugated (bsm-60780R) at 1:200 overnight at 4°C. Followed by conjugated Goat Anti-Rabbit IgG antibody (green, bs-0295G-BF488), DAPI (blue, C02-04002) was used to stain the cell nuclei.
版权所有 2004-2026 www.bioss.com.cn 北京博奥森生物技术有限公司
通过国际质量管理体系ISO 9001:2015 GB/T 19001-2016    证书编号: 00124Q34771R2M/1100
通过国际医疗器械-质量管理体系ISO 13485:2016 GB/T 42061-2022     证书编号: CQC24QY20047R0M/1100
京ICP备05066980号-1         京公网安备110107000727号