扫码关注公众号           扫码咨询技术支持           扫码咨询技术服务
  
客服热线:400-901-9800  客服QQ:4009019800  技术答疑  技术支持  质量反馈  人才招聘  关于我们  联系我们
产品中心-北京博奥森生物技术有限公司
首页 > 产品中心 > 一抗 > 产品信息
Granzyme B Recombinant Rabbit mAb (bsm-60779R)  
订购热线:400-901-9800
订购邮箱:sales@bioss.com.cn
订购QQ:  400-901-9800
技术支持:techsupport@bioss.com.cn
25ul/800.00元
50ul/1400.00元
100ul/2500.00元
大包装/询价

产品编号 bsm-60779R
英文名称 Granzyme B Recombinant Rabbit mAb
中文名称 颗粒酶B重组兔单克隆抗体
别    名 C11; CCPI; CGL-1; CGL1; CSP-B; CSPB; CTLA1; CTSGL1; HLP; SECT; CCP-1/C11; CCP1; Ctla-1; GZB; RNKP-1; GRAB_HUMAN; GZMB; Cathepsin G-like 1 (CTSGL1); Cytotoxic T-lymphocyte proteinase 2 (Lymphocyte protease); Fragmentin-2; Granzyme-2; Human lymphocyte protein (HLP); T-cell serine protease 1-3E; 3.4.21.79; GRB; GRAB_MOUSE; Cytotoxic cell protease 1 (CCP1); GRAB_RAT; Fragmentin; Natural killer cell protease 1;   
抗体来源 Rabbit
克隆类型 Recombinant
克 隆 号 G1C9
交叉反应 Human
产品应用 WB=1:500-2000,IHC-P=1:50-200,IHC-F=1:50-200,IF=1:50-200
not yet tested in other applications.
optimal dilutions/concentrations should be determined by the end user.
理论分子量 25 kDa
检测分子量 32
细胞定位 细胞外基质 分泌型蛋白 
性    状 Liquid
浓    度 1mg/ml
免 疫 原 A synthesized peptide derived from human Granzyme B: 150-200/247 
亚    型 IgG
纯化方法 affinity purified by Protein A
缓 冲 液 PBS, Glycerol, BSA.
保存条件 Shipped at 4℃. Store at -20℃ for one year. Avoid repeated freeze/thaw cycles.
注意事项 This product as supplied is intended for research use only, not for use in human, therapeutic or diagnostic applications.
PubMed PubMed
产品介绍 Cytolytic T lymphocytes (CTL) and natural killer (NK) cells share the remarkable ability to recognize, bind, and lyse specific target cells. They are thought to protect their host by lysing cells bearing on their surface 'nonself' antigens, usually peptides or proteins resulting from infection by intracellular pathogens. The protein encoded by this gene is crucial for the rapid induction of target cell apoptosis by CTL in cell-mediated immune response. [provided by RefSeq, Jul 2008]

Function:
This enzyme is necessary for target cell lysis in cell-mediated immune responses. It cleaves after Asp. Seems to be linked to an activation cascade of caspases (aspartate-specific cysteine proteases) responsible for apoptosis execution. Cleaves caspase-3, -7, -9 and 10 to give rise to active enzymes mediating apoptosis.

Subcellular Location:
Cytoplasmic granule. Note=Cytoplasmic granules of cytolytic T-lymphocytes and natural killer cells.

Similarity:
Belongs to the peptidase S1 family. Granzyme subfamily. Contains 1 peptidase S1 domain.

SWISS:
P10144

Gene ID:
3002

Database links:

Entrez Gene: 3002 Human

Entrez Gene: 14939 Mouse

Entrez Gene: 171528 Rat

Omim: 123910 Human

SwissProt: P10144 Human

SwissProt: P04187 Mouse

SwissProt: P18291 Rat

Unigene: 1051 Human

Unigene: 14874 Mouse

Unigene: 132115 Rat

Unigene: 145789 Rat

Unigene: 21395 Rat



Granzyme B—是一种丝氨酸蛋白酶,作用在细胞凋亡中。
产品图片
25 ug total protein per lane of various lysates (see on figure) probed with Granzyme B monoclonal antibody, unconjugated (bsm-60779R) at 1:1000 dilution and 4°C overnight incubation. Followed by conjugated secondary antibody incubation at r.t. for 60 min.
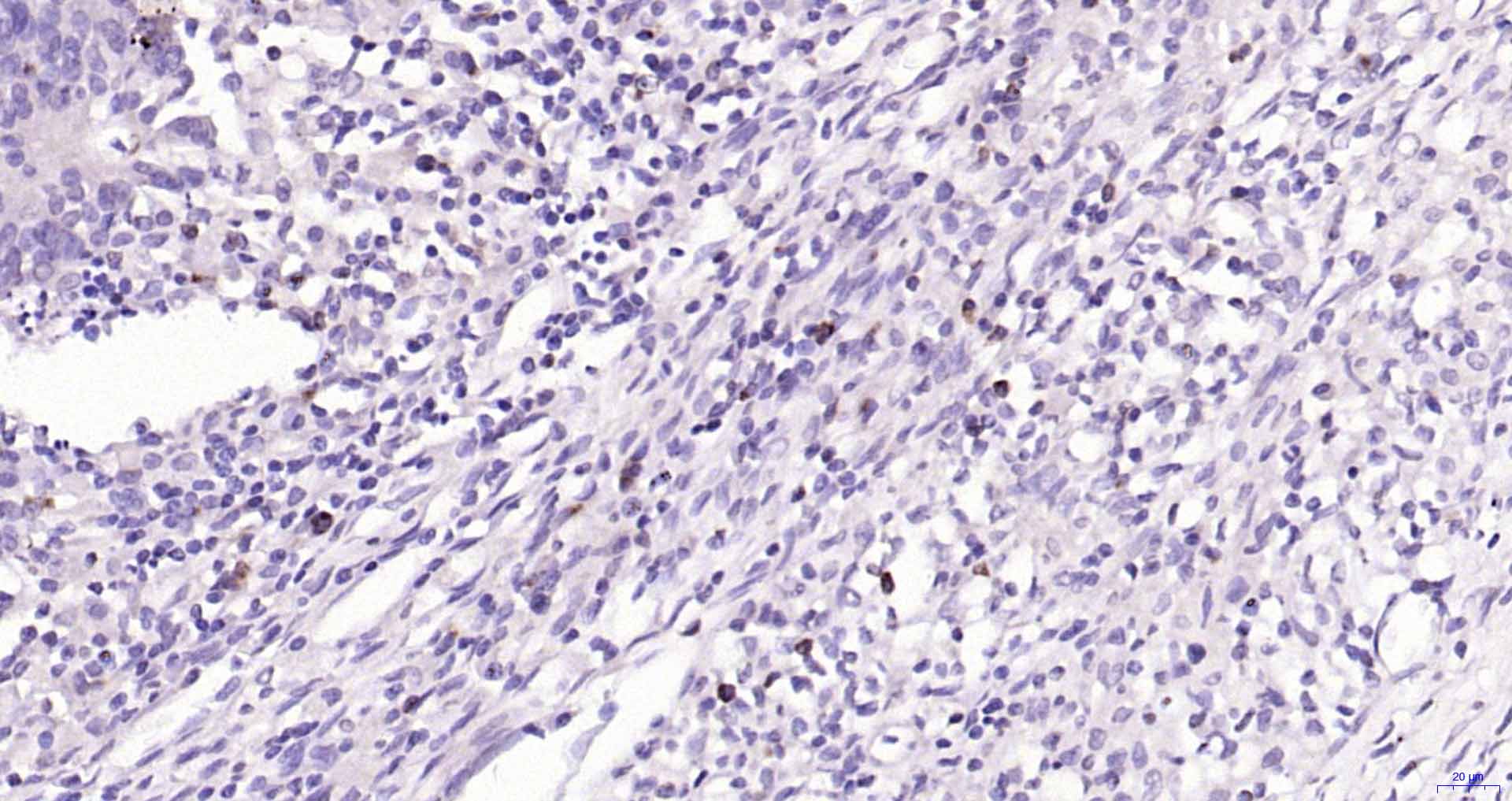
Paraformaldehyde-fixed, paraffin embedded Human Colon Cancer; Antigen retrieval by boiling in sodium citrate buffer (pH6.0) for 15 min; Antibody incubation with Granzyme B Monoclonal Antibody, Unconjugated(bsm-60779R) at 1:300 overnight at 4°C, followed by conjugation to the SP Kit (Rabbit, SP-0023) and DAB (C-0010) staining.
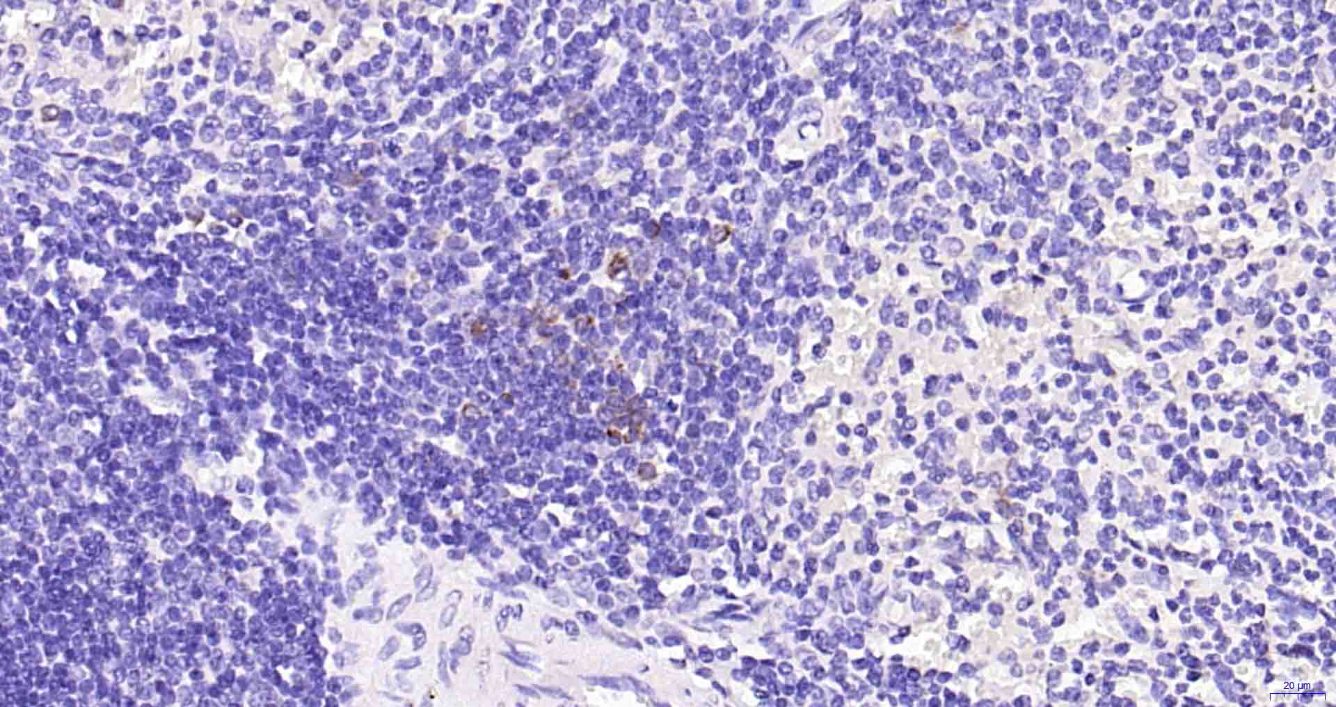
Paraformaldehyde-fixed, paraffin embedded Human Spleen; Antigen retrieval by boiling in sodium citrate buffer (pH6.0) for 15 min; Antibody incubation with Granzyme B Monoclonal Antibody, Unconjugated(bsm-60779R) at 1:300 overnight at 4°C, followed by conjugation to the SP Kit (Rabbit, SP-0023) and DAB (C-0010) staining.
Paraformaldehyde-fixed, paraffin embedded Human Colon Cancer; Antigen retrieval by boiling in sodium citrate buffer (pH6.0) for 15 min; The section was incubated with Granzyme B Monoclonal Antibody, Unconjugated (bsm-60779R) at 1:200 overnight at 4°C. Followed by conjugated Goat Anti-Rabbit IgG antibody (Red, bs-0295G-BF594), DAPI (blue, C02-04002) was used to stain the cell nuclei.
版权所有 2004-2026 www.bioss.com.cn 北京博奥森生物技术有限公司
通过国际质量管理体系ISO 9001:2015 GB/T 19001-2016    证书编号: 00124Q34771R2M/1100
通过国际医疗器械-质量管理体系ISO 13485:2016 GB/T 42061-2022     证书编号: CQC24QY20047R0M/1100
京ICP备05066980号-1         京公网安备110107000727号