扫码关注公众号           扫码咨询技术支持           扫码咨询技术服务
  
客服热线:400-901-9800  客服QQ:4009019800  技术答疑  技术支持  质量反馈  人才招聘  关于我们  联系我们
产品中心-北京博奥森生物技术有限公司
首页 > 产品中心 > 一抗 > 产品信息
RPL5 Rabbit pAb (bs-25696R)  
订购热线:400-901-9800
订购邮箱:sales@bioss.com.cn
订购QQ:  400-901-9800
技术支持:techsupport@bioss.com.cn
50ul/1180.00元
100ul/1980.00元
200ul/2800.00元
大包装/询价

产品编号 bs-25696R
英文名称 RPL5 Rabbit pAb
中文名称 核糖体蛋白L5抗体
别    名 L5; MSTP030; PPP1R135; uL18; Ska23; Ska; Skax23; U21RNA; RL5_HUMAN; RPL5; 60S ribosomal protein L5; RL5_MOUSE; RL5_RAT;   
抗体来源 Rabbit
克隆类型 Polyclonal
克 隆 号
交叉反应 Human,Mouse,Rat (predicted: Rabbit,Pig,Sheep,Cow,Chicken,Dog,Horse)
产品应用 WB=1:500-2000,IHC-P=1:100-500,IHC-F=1:100-500,IF=1:100-500
not yet tested in other applications.
optimal dilutions/concentrations should be determined by the end user.
理论分子量 34 kDa
细胞定位 细胞核 细胞浆 
性    状 Liquid
浓    度 1mg/ml
免 疫 原 KLH conjugated synthetic peptide derived from human RPL5: 131-230/297 
亚    型
纯化方法 affinity purified by Protein A
缓 冲 液 0.01M TBS (pH7.4) with 1% BSA, 0.02% Proclin300 and 50% Glycerol.
保存条件 Shipped at 4℃. Store at -20℃ for one year. Avoid repeated freeze/thaw cycles.
注意事项 This product as supplied is intended for research use only, not for use in human, therapeutic or diagnostic applications.
PubMed PubMed
产品介绍 Ribosomes, the organelles that catalyze protein synthesis, consist of a small 40S subunit and a large 60S subunit. Together these subunits are composed of 4 RNA species and approximately 80 structurally distinct proteins. This gene encodes a ribosomal protein that is a component of the 60S subunit. The protein belongs to the L18P family of ribosomal proteins. It is located in the cytoplasm. The protein binds 5S rRNA to form a stable complex called the 5S ribonucleoprotein particle (RNP), which is necessary for the transport of nonribosome-associated cytoplasmic 5S rRNA to the nucleolus for assembly into ribosomes. The protein interacts specifically with the beta subunit of casein kinase II. Variable expression of this gene in colorectal cancers compared to adjacent normal tissues has been observed, although no correlation between the level of expression and the severity of the disease has been found. This gene is co-transcribed with the small nucleolar RNA gene U21, which is located in its fifth intron. As is typical for genes encoding ribosomal proteins, there are multiple processed pseudogenes of this gene dispersed through the genome.

Function:
Required for rRNA maturation and formation of the 60S ribosomal subunits. This protein binds 5S RNA.

Subcellular Location:
Cytoplasm. Nucleus

DISEASE:
Defects in RPL5 are the cause of Diamond-Blackfan anemia type 6 (DBA6) . DBA6 is a form of Diamond-Blackfan anemia, a congenital non-regenerative hypoplastic anemia that usually presents early in infancy. Diamond-Blackfan anemia is characterized by a moderate to severe macrocytic anemia, erythroblastopenia, and an increased risk of malignancy. 30 to 40% of Diamond-Blackfan anemia patients present with short stature and congenital anomalies, the most frequent being craniofacial (Pierre-Robin syndrome and cleft palate), thumb and urogenital anomalies.

Similarity:
Belongs to the ribosomal protein L18P family.

Database links:

Entrez Gene: 6125 Human

Entrez Gene: 100503670 Mouse

Entrez Gene: 81763 Rat

Omim: 603634 Human

SwissProt: P46777 Human

SwissProt: P47962 Mouse

SwissProt: P09895 Rat

Unigene: 532359 Human

Unigene: 277897 Mouse

Unigene: 426204 Mouse

Unigene: 92980 Rat



产品图片
Sample: Lane 1: Human MOLT4 cell lysates Lane 2: Human U251 cell lysates Lane 3: Human U-2 OS cell lysates Primary: Anti-RPL5 (bs-25696R) at 1/1000 dilution Secondary: IRDye800CW Goat Anti-Rabbit IgG at 1/20000 dilution Predicted band size: kDa Observed band size: 35 kDa
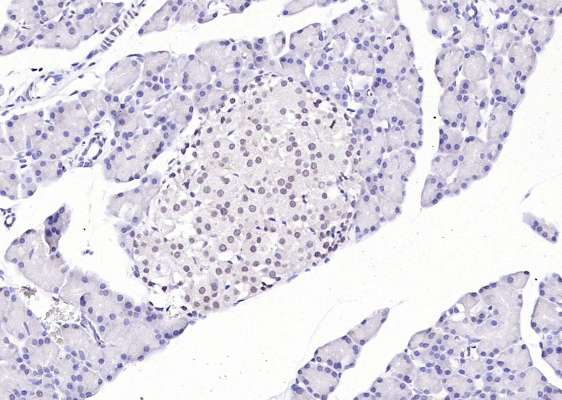
Paraformaldehyde-fixed, paraffin embedded (mouse pancreas); Antigen retrieval by boiling in sodium citrate buffer (pH6.0) for 15min; Block endogenous peroxidase by 3% hydrogen peroxide for 20 minutes; Blocking buffer (normal goat serum) at 37°C for 30min; Incubation with (RPL5 ) Polyclonal Antibody, Unconjugated (bs-25696R) at 1:200 overnight at 4°C, followed by operating according to SP Kit(Rabbit) (sp-0023) instructionsand DAB staining.
Paraformaldehyde-fixed, paraffin embedded (human brain); Antigen retrieval by boiling in sodium citrate buffer (pH6.0) for 15min; Block endogenous peroxidase by 3% hydrogen peroxide for 20 minutes; Blocking buffer (normal goat serum) at 37°C for 30min; Incubation with (RPL5 ) Polyclonal Antibody, Unconjugated (bs-25696R) at 1:200 overnight at 4°C, followed by operating according to SP Kit(Rabbit) (sp-0023) instructionsand DAB staining.
Paraformaldehyde-fixed, paraffin embedded (human colon ); Antigen retrieval by boiling in sodium citrate buffer (pH6.0) for 15min; Block endogenous peroxidase by 3% hydrogen peroxide for 20 minutes; Blocking buffer (normal goat serum) at 37°C for 30min; Incubation with (RPL5 ) Polyclonal Antibody, Unconjugated (bs-25696R) at 1:200 overnight at 4°C, followed by operating according to SP Kit(Rabbit) (sp-0023) instructionsand DAB staining.
Paraformaldehyde-fixed, paraffin embedded (human colon carcinoma); Antigen retrieval by boiling in sodium citrate buffer (pH6.0) for 15min; Block endogenous peroxidase by 3% hydrogen peroxide for 20 minutes; Blocking buffer (normal goat serum) at 37°C for 30min; Incubation with (RPL5 ) Polyclonal Antibody, Unconjugated (bs-25696R) at 1:200 overnight at 4°C, followed by operating according to SP Kit(Rabbit) (sp-0023) instructionsand DAB staining.
Paraformaldehyde-fixed, paraffin embedded (rat pancreas); Antigen retrieval by boiling in sodium citrate buffer (pH6.0) for 15min; Block endogenous peroxidase by 3% hydrogen peroxide for 20 minutes; Blocking buffer (normal goat serum) at 37°C for 30min; Incubation with (RPL5 ) Polyclonal Antibody, Unconjugated (bs-25696R) at 1:200 overnight at 4°C, followed by operating according to SP Kit(Rabbit) (sp-0023) instructionsand DAB staining.
版权所有 2004-2026 www.bioss.com.cn 北京博奥森生物技术有限公司
通过国际质量管理体系ISO 9001:2015 GB/T 19001-2016    证书编号: 00124Q34771R2M/1100
通过国际医疗器械-质量管理体系ISO 13485:2016 GB/T 42061-2022     证书编号: CQC24QY20047R0M/1100
京ICP备05066980号-1         京公网安备110107000727号