扫码关注公众号           扫码咨询技术支持           扫码咨询技术服务
  
客服热线:400-901-9800  客服QQ:4009019800  技术答疑  技术支持  质量反馈  人才招聘  关于我们  联系我们
产品中心-北京博奥森生物技术有限公司
首页 > 产品中心 > 一抗 > 产品信息
ACOT13 Rabbit pAb (bs-42157R)  
订购热线:400-901-9800
订购邮箱:sales@bioss.com.cn
订购QQ:  400-901-9800
技术支持:techsupport@bioss.com.cn
50ul/1180.00元
100ul/1980.00元
200ul/2800.00元
大包装/询价

产品编号 bs-42157R
英文名称 ACOT13 Rabbit pAb
中文名称 酰基辅酶A硫酯酶13抗体
别    名 CK820_G0045331; THEM2; HT012; PNAS-27; 0610006O17Rik; CR201_G0046122; ACO13_HUMAN; ACOT13; Acyl-CoA thioesterase 13; Hotdog-fold thioesterase superfamily member 2; Palmitoyl-CoA hydrolase; Thioesterase superfamily member 2 (THEM2); 3.1.2.-; ACO13_MOUSE; ACO13_PONAB;   
抗体来源 Rabbit
克隆类型 Polyclonal
克 隆 号
交叉反应 Human (predicted: Mouse,Rat,Rabbit,Dog,Horse)
产品应用 IHC-P=1:100-500,IHC-F=1:100-500,IF=1:100-500
not yet tested in other applications.
optimal dilutions/concentrations should be determined by the end user.
理论分子量 15 kDa
细胞定位 细胞核 细胞浆 
性    状 Liquid
浓    度 1mg/ml
免 疫 原 Recombinant human ACOT13 protein: 1-140/140 
亚    型 IgG
纯化方法 affinity purified by Protein A
缓 冲 液 0.01M TBS (pH7.4) with 1% BSA, 0.02% Proclin300 and 50% Glycerol.
保存条件 Shipped at 4℃. Store at -20℃ for one year. Avoid repeated freeze/thaw cycles.
注意事项 This product as supplied is intended for research use only, not for use in human, therapeutic or diagnostic applications.
PubMed PubMed
产品介绍 This gene encodes a member of the thioesterase superfamily. In humans, the protein co-localizes with microtubules and is essential for sustained cell proliferation. The orthologous mouse protein forms a homotetramer and is associated with mitochondria. The mouse protein functions as a medium- and long-chain acyl-CoA thioesterase. Multiple transcript variants encoding different isoforms have been found for this gene.[provided by RefSeq, May 2009]

Function:
Catalyzes the hydrolysis of acyl-CoAs into free fatty acids and coenzyme A (CoASH), regulating their respective intracellular levels (PubMed:16934754, PubMed:19170545). Has acyl-CoA thioesterase activity towards medium (C12) and long-chain (C18) fatty acyl-CoA substrates (By similarity) (PubMed:16934754, PubMed:19170545). Can also hydrolyze 3-hydroxyphenylacetyl-CoA and 3,4-dihydroxyphenylacetyl-CoA (in vitro) (By similarity) (PubMed:16934754, PubMed:19170545). May play a role in controlling adaptive thermogenesis (By similarity).

Subcellular Location:
Cytoplasm. Mitochondrion.

Similarity:
Belongs to the thioesterase PaaI family.

SWISS:
Q9NPJ3

Gene ID:
55856

Database links:

Entrez Gene: 748065 Chimpanzee

Entrez Gene: 55856 Human

Entrez Gene: 66834 Mouse

Entrez Gene: 100173179 Orangutan

Entrez Gene: 291135 Rat

SwissProt: Q9NPJ3 Human

SwissProt: Q9CQR4 Mouse

SwissProt: Q5R833 Orangutan

Unigene: 727546 Human

Unigene: 2125 Mouse



产品图片
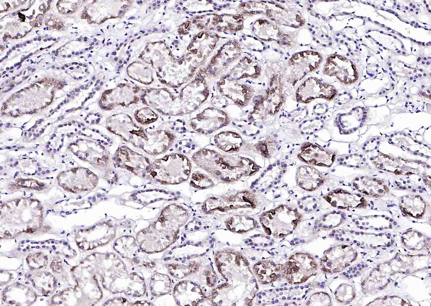
Paraformaldehyde-fixed, paraffin embedded (human kidney); Antigen retrieval by boiling in sodium citrate buffer (pH6.0) for 15min; Block endogenous peroxidase by 3% hydrogen peroxide for 20 minutes; Blocking buffer (normal goat serum) at 37°C for 30min; Incubation with (ACOT13) Polyclonal Antibody, Unconjugated (bs-42157R) at 1:200 overnight at 4°C, followed by operating according to SP Kit(Rabbit) (sp-0023) instructionsand DAB staining.
Paraformaldehyde-fixed, paraffin embedded (human liver carcinoma); Antigen retrieval by boiling in sodium citrate buffer (pH6.0) for 15min; Block endogenous peroxidase by 3% hydrogen peroxide for 20 minutes; Blocking buffer (normal goat serum) at 37°C for 30min; Incubation with (ACOT13) Polyclonal Antibody, Unconjugated (bs-42157R) at 1:200 overnight at 4°C, followed by operating according to SP Kit(Rabbit) (sp-0023) instructionsand DAB staining.
Paraformaldehyde-fixed, paraffin embedded (human lung carcinoma); Antigen retrieval by boiling in sodium citrate buffer (pH6.0) for 15min; Block endogenous peroxidase by 3% hydrogen peroxide for 20 minutes; Blocking buffer (normal goat serum) at 37°C for 30min; Incubation with (ACOT13) Polyclonal Antibody, Unconjugated (bs-42157R) at 1:200 overnight at 4°C, followed by operating according to SP Kit(Rabbit) (sp-0023) instructionsand DAB staining.
版权所有 2004-2026 www.bioss.com.cn 北京博奥森生物技术有限公司
通过国际质量管理体系ISO 9001:2015 GB/T 19001-2016    证书编号: 00124Q34771R2M/1100
通过国际医疗器械-质量管理体系ISO 13485:2016 GB/T 42061-2022     证书编号: CQC24QY20047R0M/1100
京ICP备05066980号-1         京公网安备110107000727号