扫码关注公众号           扫码咨询技术支持           扫码咨询技术服务
  
客服热线:400-901-9800  客服QQ:4009019800  技术答疑  技术支持  质量反馈  人才招聘  关于我们  联系我们
产品中心-北京博奥森生物技术有限公司
首页 > 产品中心 > 一抗 > 产品信息
Cyclin G Rabbit pAb (bs-25631R)  
订购热线:400-901-9800
订购邮箱:sales@bioss.com.cn
订购QQ:  400-901-9800
技术支持:techsupport@bioss.com.cn
50ul/1180.00元
100ul/1980.00元
200ul/2800.00元
大包装/询价

产品编号 bs-25631R
英文名称 Cyclin G Rabbit pAb
中文名称 周期素G抗体
别    名 CCNG; CCNG1_HUMAN; CCNG1; Cyclin-G; CYCG1;   
抗体来源 Rabbit
克隆类型 Polyclonal
克 隆 号
交叉反应 Human,Mouse,Rat (predicted: Rabbit,Pig,Sheep,Cow,Dog,Horse)
产品应用 WB=1:500-2000,IHC-P=1:100-500,IHC-F=1:100-500,IF=1:100-500
not yet tested in other applications.
optimal dilutions/concentrations should be determined by the end user.
理论分子量 34 kDa
细胞定位 细胞核 
性    状 Liquid
浓    度 1mg/ml
免 疫 原 KLH conjugated synthetic peptide derived from mouse Cyclin G: 251-344/344 
亚    型 IgG
纯化方法 affinity purified by Protein A
缓 冲 液 0.01M TBS (pH7.4) with 1% BSA, 0.02% Proclin300 and 50% Glycerol.
保存条件 Shipped at 4℃. Store at -20℃ for one year. Avoid repeated freeze/thaw cycles.
注意事项 This product as supplied is intended for research use only, not for use in human, therapeutic or diagnostic applications.
PubMed PubMed
产品介绍 Cyclin G contains a typical N terminal cyclin box and a carboxy terminal domain sequence homologous to the tyrosine phosphorylation site of the epidermal growth factor receptor. Cyclin G2 shares 53% amino acid sequence identity with cyclin G1. Peak expression of cyclin G2 is seen in late S phase, as opposed to cyclin G1 expression, which is constitutive.

Function:
May play a role in growth regulation. Is associated with G2/M phase arrest in response to DNA damage. May be an intermediate by which p53 mediates its role as an inhibitor of cellular proliferation (By similarity).

Subcellular Location:
Nucleus. DNA replication foci after DNA damage.

Tissue Specificity:
High levels in skeletal muscle, ovary, kidney and colon.

Similarity:
Belongs to the cyclin family. Cyclin G subfamily.

Database links:

Entrez Gene: 900 Human

Omim: 601578 Human

SwissProt: P51959 Human

Unigene: 79101 Human



Cyclin G的生物功能还没有完全清楚,他是细胞周期蛋白家族中近来发现的新成员,也是已知的唯一受到肿瘤抑制基因p53调控的细胞周期蛋白。
近年来经研究发现,Cyclin G可能有促进细胞增长的作用,在细胞增殖和神经再生中的可能起到一定的作用。
产品图片
Sample: Lane 1: Human HepG2 cell lysates Lane 2: Human 293T cell lysates Lane 3: Human U87MG cell lysates Primary: Anti-Cyclin G (bs-25631R) at 1/500 dilution Secondary: IRDye800CW Goat Anti-Rabbit IgG at 1/20000 dilution Predicted band size: 34 kDa Observed band size: 35 kDa
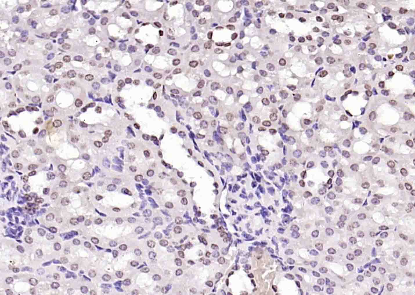
Paraformaldehyde-fixed, paraffin embedded (human breast carcinoma); Antigen retrieval by boiling in sodium citrate buffer (pH6.0) for 15min; Block endogenous peroxidase by 3% hydrogen peroxide for 20 minutes; Blocking buffer (normal goat serum) at 37°C for 30min; Incubation with (Cyclin G) Polyclonal Antibody, Unconjugated (bs-25631R) at 1:200 overnight at 4°C, followed by operating according to SP Kit(Rabbit) (sp-0023) instructionsand DAB staining.
Paraformaldehyde-fixed, paraffin embedded (human kidney); Antigen retrieval by boiling in sodium citrate buffer (pH6.0) for 15min; Block endogenous peroxidase by 3% hydrogen peroxide for 20 minutes; Blocking buffer (normal goat serum) at 37°C for 30min; Incubation with (Cyclin G) Polyclonal Antibody, Unconjugated (bs-25631R) at 1:200 overnight at 4°C, followed by operating according to SP Kit(Rabbit) (sp-0023) instructionsand DAB staining.
Paraformaldehyde-fixed, paraffin embedded (mouse kidney); Antigen retrieval by boiling in sodium citrate buffer (pH6.0) for 15min; Block endogenous peroxidase by 3% hydrogen peroxide for 20 minutes; Blocking buffer (normal goat serum) at 37°C for 30min; Incubation with (Cyclin G) Polyclonal Antibody, Unconjugated (bs-25631R) at 1:200 overnight at 4°C, followed by operating according to SP Kit(Rabbit) (sp-0023) instructionsand DAB staining.
Paraformaldehyde-fixed, paraffin embedded (rat brain); Antigen retrieval by boiling in sodium citrate buffer (pH6.0) for 15min; Block endogenous peroxidase by 3% hydrogen peroxide for 20 minutes; Blocking buffer (normal goat serum) at 37°C for 30min; Incubation with (Cyclin G) Polyclonal Antibody, Unconjugated (bs-25631R) at 1:200 overnight at 4°C, followed by operating according to SP Kit(Rabbit) (sp-0023) instructionsand DAB staining.
版权所有 2004-2026 www.bioss.com.cn 北京博奥森生物技术有限公司
通过国际质量管理体系ISO 9001:2015 GB/T 19001-2016    证书编号: 00124Q34771R2M/1100
通过国际医疗器械-质量管理体系ISO 13485:2016 GB/T 42061-2022     证书编号: CQC24QY20047R0M/1100
京ICP备05066980号-1         京公网安备110107000727号