扫码关注公众号           扫码咨询技术支持           扫码咨询技术服务
  
客服热线:400-901-9800  客服QQ:4009019800  技术答疑  技术支持  质量反馈  人才招聘  关于我们  联系我们
产品中心-北京博奥森生物技术有限公司
首页 > 产品中心 > 一抗 > 产品信息
Podoplanin Mouse mAb (bsm-34236M)  
订购热线:400-901-9800
订购邮箱:sales@bioss.com.cn
订购QQ:  400-901-9800
技术支持:techsupport@bioss.com.cn
50ul/1180.00元
100ul/1980.00元
大包装/询价

产品编号 bsm-34236M
英文名称 Podoplanin Mouse mAb
中文名称 平足蛋白/淋巴管内皮细胞蛋白单克隆抗体
别    名 AGGRUS; D2-40; GP36; GP40; Gp38; HT1A-1; OTS8; PA2.26; T1A; T1A-2; T1A2; TI1A; E11; OTS-8; RANDAM-2; T1-alpha; T1alpha; RTI140; RTI40; PDPN_HUMAN; PDPN; Glycoprotein 36 (Gp36); PA2.26 antigen; T1-alpha (T1A); PDPN_MOUSE; Glycoprotein 38 (Gp38); Transmembrane glycoprotein E11 (E11); PDPN_RAT; E11 antigen epitope; Type I cell 40 kDa protein;   
抗体来源 Mouse
克隆类型 Monoclonal
克 隆 号 5C9
交叉反应 Human
产品应用 WB=1:500-2000,IHC-P=1:50-200,IHC-F=1:50-200,IF=1:50-200
not yet tested in other applications.
optimal dilutions/concentrations should be determined by the end user.
细胞定位 细胞浆 细胞膜 
性    状 Liquid
浓    度 1mg/ml
免 疫 原 Recombinant human podoplanin protein: 1-172/172 
亚    型 IgG2b,k
纯化方法 affinity purified by Protein A
缓 冲 液 0.01M TBS (pH7.4) with 1% BSA, 0.02% Proclin300 and 50% Glycerol.
保存条件 Shipped at 4℃. Store at -20℃ for one year. Avoid repeated freeze/thaw cycles.
注意事项 This product as supplied is intended for research use only, not for use in human, therapeutic or diagnostic applications.
PubMed PubMed
产品介绍 This gene encodes a type-I integral membrane glycoprotein with diverse distribution in human tissues. The physiological function of this protein may be related to its mucin-type character. The homologous protein in other species has been described as a differentiation antigen and influenza-virus receptor. The specific function of this protein has not been determined but it has been proposed as a marker of lung injury. Alternatively spliced transcript variants encoding different isoforms have been identified. [provided by RefSeq, Jul 2008]

Function:
May be involved in cell migration and/or actin cytoskeleton organization. When expressed in keratinocytes, induces changes in cell morphology with transfected cells showing an elongated shape, numerous membrane protrusions, major reorganization of the actin cytoskeleton, increased motility and decreased cell adhesion. Required for normal lung cell proliferation and alveolus formation at birth. Induces platelet aggregation. Does not have any effect on folic acid or amino acid transport. Does not function as a water channel or as a regulator of aquaporin-type water channels.

Subcellular Location:
Membrane; Single-pass type I membrane protein. Cell projection, filopodium membrane; Single-pass type I membrane protein. Cell projection, lamellipodium membrane; Single-pass type I membrane protein. Cell projection, microvillus membrane; Single-pass type I membrane protein. Cell projection, ruffle membrane; Single-pass type I membrane protein. Note=Localized to actin-rich microvilli and plasma membrane projections such as filopodia, lamellipodia and ruffles.

Tissue Specificity:
Highly expressed in placenta, lung, skeletal muscle and brain. Weakly expressed in brain, kidney and liver. In placenta, expressed on the apical plasma membrane of endothelium. In lung, expressed in alveolar epithelium. Up-regulated in colorectal tumors and expressed in 25% of early oral squamous cell carcinomas.

Post-translational modifications:
Extensively O-glycosylated. Contains sialic acid residues. O-glycosylation is necessary for platelet aggregation activity. The N-terminus is blocked.

Similarity:
Belongs to the podoplanin family.

SWISS:
Q86YL7

Gene ID:
10630

Database links:
Entrez Gene: 10630 Human

Entrez Gene: 14726 Mouse

Entrez Gene: 54320 Rat

SwissProt: Q86YL7 Human

SwissProt: Q62011 Mouse

SwissProt: Q64294 Rat



Podoplanin Protein是一种肾小球足状突细胞膜粘蛋白,目前已成为一种新的淋巴管内皮标记物蛋白,在少数小静脉上也有表达。 podoplanin Protein是淋巴管内皮高度敏感且特异性的标记物,作为肿瘤细胞的血小板聚集介导因子而发挥作用,能促进肿瘤细胞迁移及增加肿瘤细胞侵袭力。
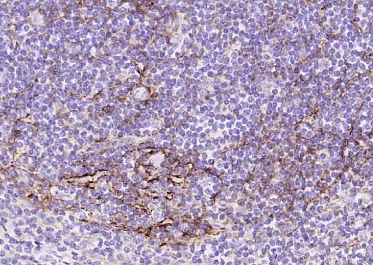
产品图片
Paraformaldehyde-fixed, paraffin embedded (human tonsil); Antigen retrieval by boiling in sodium citrate buffer (pH6.0) for 15min; Block endogenous peroxidase by 3% hydrogen peroxide for 20 minutes; Blocking buffer (normal goat serum) at 37°C for 30min; Incubation with (Podoplanin) Monoclonal Antibody, Unconjugated (bsm-34236M) at 1:200 overnight at 4°C, followed by operating according to SP Kit(Mouse)(sp-0024) instructionsand DAB staining.
版权所有 2004-2026 www.bioss.com.cn 北京博奥森生物技术有限公司
通过国际质量管理体系ISO 9001:2015 GB/T 19001-2016    证书编号: 00124Q34771R2M/1100
通过国际医疗器械-质量管理体系ISO 13485:2016 GB/T 42061-2022     证书编号: CQC24QY20047R0M/1100
京ICP备05066980号-1         京公网安备110107000727号