扫码关注公众号           扫码咨询技术支持           扫码咨询技术服务
  
客服热线:400-901-9800  客服QQ:4009019800  技术答疑  技术支持  质量反馈  人才招聘  关于我们  联系我们
产品中心-北京博奥森生物技术有限公司
首页 > 产品中心 > 一抗 > 产品信息
HE4 Mouse mAb (bsm-43151M)  
订购热线:400-901-9800
订购邮箱:sales@bioss.com.cn
订购QQ:  400-901-9800
技术支持:techsupport@bioss.com.cn
100ul/1980.00元
200ug(PBS only)/5600.00元
大包装/询价

产品编号 bsm-43151M
英文名称 HE4 Mouse mAb
中文名称 附睾分泌蛋白4单克隆抗体
别    名 BENP; EDDM4; HE4; WAP5; dJ461P17.6; WFDC2_HUMAN; WFDC2; Epididymal secretory protein E4; Major epididymis-specific protein E4; Putative protease inhibitor WAP5;   
抗体来源 Mouse
克隆类型 Monoclonal
克 隆 号 11H4
交叉反应 Human
产品应用 IHC-P=1:100-500,IHC-F=1:100-500,IF=1:100-500
not yet tested in other applications.
optimal dilutions/concentrations should be determined by the end user.
理论分子量 13 kDa
性    状 Liquid
浓    度 1mg/ml
免 疫 原 Recombinant human WAP four-disulfide core domain protein 2: 31-124/124 
亚    型
纯化方法 affinity purified by Protein A
缓 冲 液 0.01M TBS (pH7.4) with 1% BSA, 0.02% Proclin300 and 50% Glycerol.
保存条件 Shipped at 4℃. Store at -20℃ for one year. Avoid repeated freeze/thaw cycles.
注意事项 This product as supplied is intended for research use only, not for use in human, therapeutic or diagnostic applications.
PubMed PubMed
产品介绍 This gene encodes a protein that is a member of the WFDC domain family. The WFDC domain, or WAP Signature motif, contains eight cysteines forming four disulfide bonds at the core of the protein, and functions as a protease inhibitor in many family members. This gene is expressed in pulmonary epithelial cells, and was also found to be expressed in some ovarian cancers. The encoded protein is a small secretory protein, which may be involved in sperm maturation. [provided by RefSeq, Jul 2008]

Function:
Broad range protease inhibitor.

Subcellular Location:
Secreted

Tissue Specificity:
Expressed in a number of normal tissues, including male reproductive system, regions of the respiratory tract and nasopharynx. Highly expressed in a number of tumors cells lines, such ovarian, colon, breast, lung and renal cells lines. Initially described as being exclusively transcribed in the epididymis.

Similarity:
Contains 2 WAP domains.

SWISS:
Q14508

Gene ID:
10406

Database links:

Entrez Gene: 10406 Human

SwissProt: Q14508 Human

Unigene: 2719 Human



产品图片
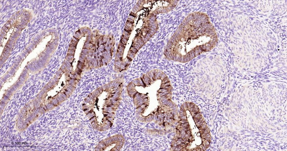
Paraformaldehyde-fixed, paraffin embedded Human Endometrial; Antigen retrieval by boiling in sodium citrate buffer (pH6.0) for 15 min; The section was incubated with HE4 Monoclonal Antibody, Unconjugated (bsm-43151M) at 1:200 overnight at 4°C, followed by conjugation to the bs-40296G-HRP and DAB (C-0010) staining.
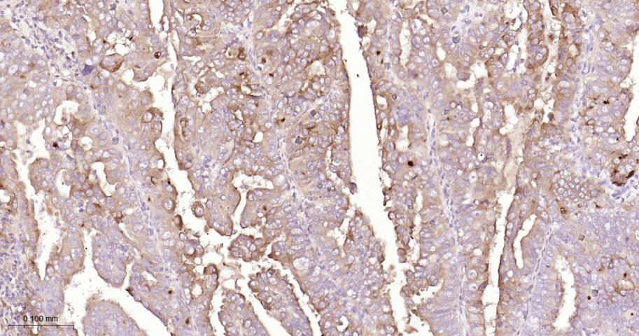
Paraformaldehyde-fixed, paraffin embedded Human Endometrial Cancer; Antigen retrieval by boiling in sodium citrate buffer (pH6.0) for 15 min; The section was incubated with HE4 Monoclonal Antibody, Unconjugated (bsm-43151M) at 1:200 overnight at 4°C, followed by conjugation to the bs-40296G-HRP and DAB (C-0010) staining.
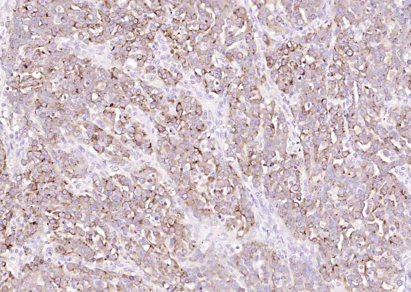
Paraformaldehyde-fixed, paraffin embedded Human Ovarian Cancer; Antigen retrieval by boiling in sodium citrate buffer (pH6.0) for 15 min; The section was incubated with HE4 Monoclonal Antibody, Unconjugated (bsm-43151M) at 1:200 overnight at 4°C, followed by conjugation to the bs-40296G-HRP and DAB (C-0010) staining.
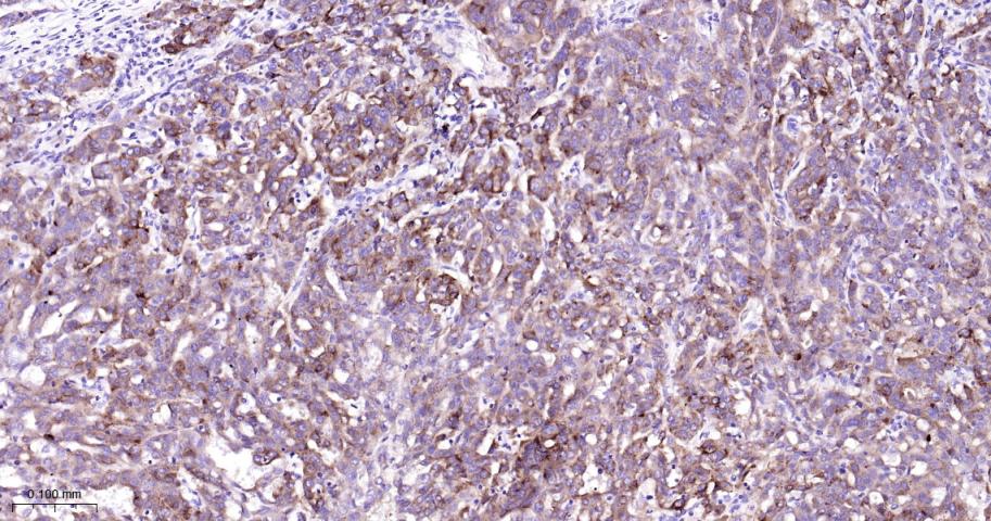
Paraformaldehyde-fixed, paraffin embedded (human uterus); Antigen retrieval by boiling in sodium citrate buffer (pH6.0) for 15min; Block endogenous peroxidase by 3% hydrogen peroxide for 20 minutes; Blocking buffer (normal goat serum) at 37°C for 30min; Incubation with (HE4 ) Monoclonal Antibody, Unconjugated (bsm-43151M) at 1:200 overnight at 4°C, followed by operating according to SP Kit(Mouse)(sp-0024) instructionsand DAB staining.
Paraformaldehyde-fixed, paraffin embedded (human Ovarian Tumor); Antigen retrieval by boiling in sodium citrate buffer (pH6.0) for 15min; Block endogenous peroxidase by 3% hydrogen peroxide for 20 minutes; Blocking buffer (normal goat serum) at 37°C for 30min; Incubation with (HE4 ) Monoclonal Antibody, Unconjugated (bsm-43151M) at 1:200 overnight at 4°C, followed by operating according to SP Kit(Mouse)(sp-0024) instructionsand DAB staining.
版权所有 2004-2026 www.bioss.com.cn 北京博奥森生物技术有限公司
通过国际质量管理体系ISO 9001:2015 GB/T 19001-2016    证书编号: 00124Q34771R2M/1100
通过国际医疗器械-质量管理体系ISO 13485:2016 GB/T 42061-2022     证书编号: CQC24QY20047R0M/1100
京ICP备05066980号-1         京公网安备110107000727号