扫码关注公众号           扫码咨询技术支持           扫码咨询技术服务
  
客服热线:400-901-9800  客服QQ:4009019800  技术答疑  技术支持  质量反馈  人才招聘  关于我们  联系我们
产品中心-北京博奥森生物技术有限公司
首页 > 产品中心 > 一抗 > 产品信息
OPA1 Recombinant Rabbit mAb (bsm-54144R)  
订购热线:400-901-9800
订购邮箱:sales@bioss.com.cn
订购QQ:  400-901-9800
技术支持:techsupport@bioss.com.cn
50ul/1400.00元
100ul/2500.00元
大包装/询价

产品编号 bsm-54144R
英文名称 OPA1 Recombinant Rabbit mAb
中文名称 视神经萎缩相关蛋白1重组兔单抗
别    名 BERHS; MGM1; MTDPS14; NPG; NTG; largeG; 1200011N24Rik; lilr3; mKIAA0567; OPA1_HUMAN; OPA1; Optic atrophy protein 1; 3.6.5.5; KIAA0567; OPA1_MOUSE; Large GTP-binding protein (LargeG); Optic atrophy protein 1 homolog; OPA1_RAT;   
研究领域 心血管  细胞生物  神经生物学  
抗体来源 Rabbit
克隆类型 Recombinant
克 隆 号 9A7
交叉反应 Human,Mouse,Rat
产品应用 WB=1:500-2000,IHC-P=1:100-500,IHC-F=1:100-500,IF=1:100-500
not yet tested in other applications.
optimal dilutions/concentrations should be determined by the end user.
理论分子量 111 kDa
检测分子量 80-100
细胞定位 细胞浆 细胞膜 
性    状 Liquid
浓    度 1mg/ml
免 疫 原 KLH conjugated synthetic peptide derived from human OPA1 
亚    型 IgG
纯化方法 affinity purified by Protein A
缓 冲 液 1*TBS (pH7.4), 0.05% BSA, 40% Glycerol. Preservative: 0.02% Proclin300.
保存条件 Store at 4℃ after thawing. Aliquot store at -20℃. Avoid repeated freeze / thaw cycles.
注意事项 This product as supplied is intended for research use only, not for use in human, therapeutic or diagnostic applications.
PubMed PubMed
产品介绍 OPA1 is a 120kDa protein belonging to the dynamin family. The OPA1 gene has been localized to 3q29. The gene is targeted to mitochondria and is involved in mitochondrial biogenesis. Defects in OPA1 are a cause of optic atrophy type 1. OPA1 is mostly expressed in retina but can also be expressed in brain, testis, heart and skeletal muscle.

SWISS:
O60313

Gene ID:
4976

产品图片
25 ug total protein per lane of various lysates (see on figure) probed with OPA1 monoclonal antibody, unconjugated (bsm-54144R) at 1:1000 dilution and 4°C overnight incubation. Followed by conjugated secondary antibody incubation at r.t. for 60 min.
Paraformaldehyde-fixed, paraffin embedded Human Liver; Antigen retrieval by boiling in sodium citrate buffer (pH6.0) for 15 min; The section was incubated with OPA1 Monoclonal Antibody, Unconjugated (bsm-54144R) at 1:200 overnight at 4°C, followed by conjugation to the bs-0295G-HRP and DAB (C-0010) staining.
Paraformaldehyde-fixed, paraffin embedded Rat Liver; Antigen retrieval by boiling in sodium citrate buffer (pH6.0) for 15 min; The section was incubated with OPA1 Monoclonal Antibody, Unconjugated (bsm-54144R) at 1:200 overnight at 4°C, followed by conjugation to the bs-0295G-HRP and DAB (C-0010) staining.
Paraformaldehyde-fixed, paraffin embedded Mouse Eye; Antigen retrieval by boiling in sodium citrate buffer (pH6.0) for 15 min; The section was incubated with OPA1 Monoclonal Antibody, Unconjugated (bsm-54144R) at 1:200 overnight at 4°C, followed by conjugation to the bs-0295G-HRP and DAB (C-0010) staining.
Paraformaldehyde-fixed, paraffin embedded Human Heart; Antigen retrieval by boiling in sodium citrate buffer (pH6.0) for 15 min; The section was incubated with OPA1 Monoclonal Antibody, Unconjugated (bsm-54144R) at 1:200 overnight at 4°C, followed by conjugation to the bs-0295G-HRP and DAB (C-0010) staining.
Paraformaldehyde-fixed, paraffin embedded Rat Heart; Antigen retrieval by boiling in sodium citrate buffer (pH6.0) for 15 min; The section was incubated with OPA1 Monoclonal Antibody, Unconjugated (bsm-54144R) at 1:200 overnight at 4°C, followed by conjugation to the bs-0295G-HRP and DAB (C-0010) staining.
Paraformaldehyde-fixed, paraffin embedded Mouse Heart; Antigen retrieval by boiling in sodium citrate buffer (pH6.0) for 15 min; The section was incubated with OPA1 Monoclonal Antibody, Unconjugated (bsm-54144R) at 1:200 overnight at 4°C, followed by conjugation to the bs-0295G-HRP and DAB (C-0010) staining.
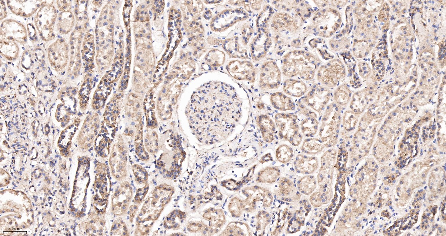
Paraformaldehyde-fixed, paraffin embedded Human Kidney; Antigen retrieval by boiling in sodium citrate buffer (pH6.0) for 15 min; The section was incubated with OPA1 Monoclonal Antibody, Unconjugated (bsm-54144R) at 1:200 overnight at 4°C, followed by conjugation to the bs-0295G-HRP and DAB (C-0010) staining.
Paraformaldehyde-fixed, paraffin embedded Rat Kidney; Antigen retrieval by boiling in sodium citrate buffer (pH6.0) for 15 min; The section was incubated with OPA1 Monoclonal Antibody, Unconjugated (bsm-54144R) at 1:200 overnight at 4°C, followed by conjugation to the bs-0295G-HRP and DAB (C-0010) staining.
Paraformaldehyde-fixed, paraffin embedded Mouse Kidney; Antigen retrieval by boiling in sodium citrate buffer (pH6.0) for 15 min; The section was incubated with OPA1 Monoclonal Antibody, Unconjugated (bsm-54144R) at 1:200 overnight at 4°C, followed by conjugation to the bs-0295G-HRP and DAB (C-0010) staining.
Paraformaldehyde-fixed, paraffin embedded Human Cerebrum; Antigen retrieval by boiling in sodium citrate buffer (pH6.0) for 15 min; The section was incubated with OPA1 Monoclonal Antibody, Unconjugated (bsm-54144R) at 1:200 overnight at 4°C, followed by conjugation to the bs-0295G-HRP and DAB (C-0010) staining.
Paraformaldehyde-fixed, paraffin embedded Rat Cerebrum; Antigen retrieval by boiling in sodium citrate buffer (pH6.0) for 15 min; The section was incubated with OPA1 Monoclonal Antibody, Unconjugated (bsm-54144R) at 1:200 overnight at 4°C, followed by conjugation to the bs-0295G-HRP and DAB (C-0010) staining.
Paraformaldehyde-fixed, paraffin embedded Mouse Cerebrum; Antigen retrieval by boiling in sodium citrate buffer (pH6.0) for 15 min; The section was incubated with OPA1 Monoclonal Antibody, Unconjugated (bsm-54144R) at 1:200 overnight at 4°C, followed by conjugation to the bs-0295G-HRP and DAB (C-0010) staining.
版权所有 2004-2026 www.bioss.com.cn 北京博奥森生物技术有限公司
通过国际质量管理体系ISO 9001:2015 GB/T 19001-2016    证书编号: 00124Q34771R2M/1100
通过国际医疗器械-质量管理体系ISO 13485:2016 GB/T 42061-2022     证书编号: CQC24QY20047R0M/1100
京ICP备05066980号-1         京公网安备110107000727号