扫码关注公众号           扫码咨询技术支持           扫码咨询技术服务
  
客服热线:400-901-9800  客服QQ:4009019800  技术答疑  技术支持  质量反馈  人才招聘  关于我们  联系我们
产品中心-北京博奥森生物技术有限公司
首页 > 产品中心 > 一抗 > 产品信息
TFG Recombinant Rabbit mAb (bsm-52676R)  
订购热线:400-901-9800
订购邮箱:sales@bioss.com.cn
订购QQ:  400-901-9800
技术支持:techsupport@bioss.com.cn
50ul/1400.00元
100ul/2500.00元
大包装/询价

产品编号 bsm-52676R
英文名称 TFG Recombinant Rabbit mAb
中文名称 TRK融合基因蛋白重组兔单抗
别    名 HMSNP; SPG57; TF6; TRKT3; TFG_HUMAN; TFG; TRK-fused gene protein;  
研究领域 肿瘤  细胞生物  信号转导  细胞凋亡  淋巴细胞  b-淋巴细胞  表观遗传学  
抗体来源 Rabbit
克隆类型 Recombinant
克 隆 号 5C1
交叉反应 Human,Mouse,Rat
产品应用 WB=1:500-2000,IHC-P=1:50-200,IHC-F=1:50-200,IF=1:50-200,ICC/IF=1:50-200,IP=1:20-50
not yet tested in other applications.
optimal dilutions/concentrations should be determined by the end user.
理论分子量 43 kDa
检测分子量 55
细胞定位 细胞核 
性    状 Liquid
浓    度 1mg/ml
免 疫 原 KLH conjugated synthetic peptide derived from human TFG 
亚    型 IgG
纯化方法 affinity purified by Protein A
缓 冲 液 1*TBS (pH7.4), 0.05% BSA, 40% Glycerol. Preservative: 0.02% Proclin300.
保存条件 Shipped at 4℃. Store at -20℃ for one year. Avoid repeated freeze/thaw cycles.
注意事项 This product as supplied is intended for research use only, not for use in human, therapeutic or diagnostic applications.
PubMed PubMed
产品介绍 There are several documented fusion oncoproteins encoded partially by this gene. This gene also participates in several oncogenic rearrangements resulting in anaplastic lymphoma and mixoid chondrosarcoma, and may play a role in the NF-kappaB pathway. Multiple transcript variants have been found for this gene. [provided by RefSeq, Sep 2010]

SWISS:
Q92734

Gene ID:
10342

产品图片
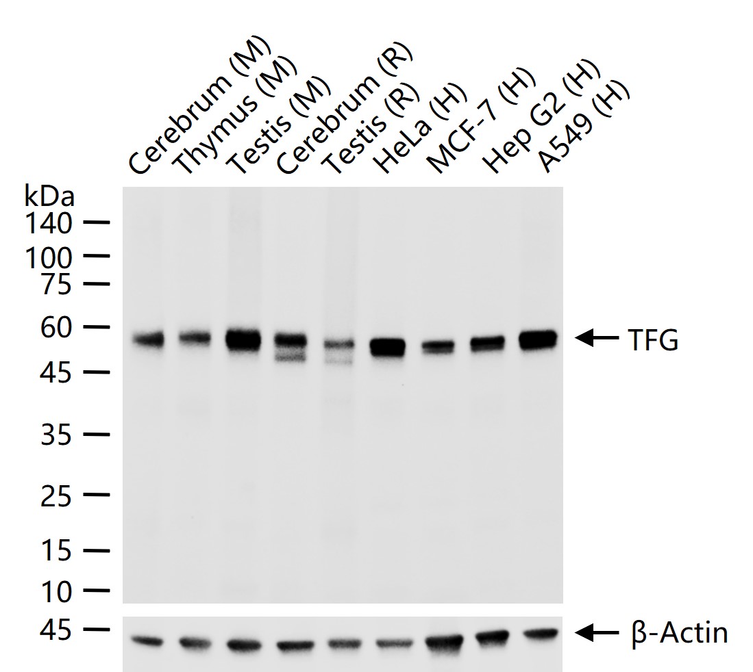
25 ug total protein per lane of various lysates (see on figure) probed with TFG monoclonal antibody, unconjugated (bsm-52676R) at 1:1000 dilution and 4°C overnight incubation. Followed by conjugated secondary antibody incubation at r.t. for 60 min.
版权所有 2004-2026 www.bioss.com.cn 北京博奥森生物技术有限公司
通过国际质量管理体系ISO 9001:2015 GB/T 19001-2016    证书编号: 00124Q34771R2M/1100
通过国际医疗器械-质量管理体系ISO 13485:2016 GB/T 42061-2022     证书编号: CQC24QY20047R0M/1100
京ICP备05066980号-1         京公网安备110107000727号