扫码关注公众号           扫码咨询技术支持           扫码咨询技术服务
  
客服热线:400-901-9800  客服QQ:4009019800  技术答疑  技术支持  质量反馈  人才招聘  关于我们  联系我们
产品中心-北京博奥森生物技术有限公司
首页 > 产品中心 > 一抗 > 产品信息
Claudin-18 Mouse mAb (bsm-34122M)  
订购热线:400-901-9800
订购邮箱:sales@bioss.com.cn
订购QQ:  400-901-9800
技术支持:techsupport@bioss.com.cn
50ul/1180.00元
100ul/1980.00元
大包装/询价

产品编号 bsm-34122M
英文名称 Claudin-18 Mouse mAb
中文名称 紧密连接蛋白18单克隆抗体
别    名 SFTA5; SFTPJ; CLD18_HUMAN; CLDN18; CLD18_MOUSE; D3ZLY1_RAT;   
研究领域 细胞生物  信号转导  转运蛋白  细胞粘附分子  内皮细胞  跨膜蛋白  
抗体来源 Mouse
克隆类型 Monoclonal
克 隆 号 7A12
交叉反应 Human
产品应用 IHC-P=1:100-500,IHC-F=1:100-500,IF=1:100-500
not yet tested in other applications.
optimal dilutions/concentrations should be determined by the end user.
理论分子量 28 kDa
细胞定位 细胞膜 
性    状 Liquid
浓    度 1mg/ml
免 疫 原 KLH conjugated synthetic peptide derived from human Claudin-18 
亚    型 IgG1, Kappa
纯化方法 affinity purified by Protein A
缓 冲 液 Liquid in PBS containing 50% Glycerol, 0.5% BSA and 0.02% Proclin300.
保存条件 Shipped at 4℃. Store at -20℃ for one year. Avoid repeated freeze/thaw cycles.
注意事项 This product as supplied is intended for research use only, not for use in human, therapeutic or diagnostic applications.
PubMed PubMed
产品介绍 The Claudin superfamily consists of many structurally related proteins in humans (1). These proteins are important structural and functional components of tight junctions in paracellular transport (1,2). Claudins are located in both epithelial and endothelial cells in all tight junction-bearing tissues (1). Three classes of proteins are known to localize to tight junctions, including the Claudins, Occludin and Junction adhesion molecule (3). Claudins, which consist of four transmembrane domains and two extracellular loops make up tight junction strands (4). Emerging evidence suggests that the Claudin family of proteins regulates transport through tight junctions via differential discrimination for solute size and charge (5).Claudin expression is often highly restricted to specfic regions of different tissues and may have an important role in transcellular transport through tight junctions (6).

SWISS:
P56856

Gene ID:
51208

Database links:

Entrez Gene: 51208 Human

Entrez Gene: 56492 Mouse

Entrez Gene: 315953 Rat

Omim: 609210 Human

SwissProt: P56856 Human

SwissProt: P56857 Mouse

SwissProt: D3ZLY1 Rat

Unigene: 655324 Human

Unigene: 386784 Mouse



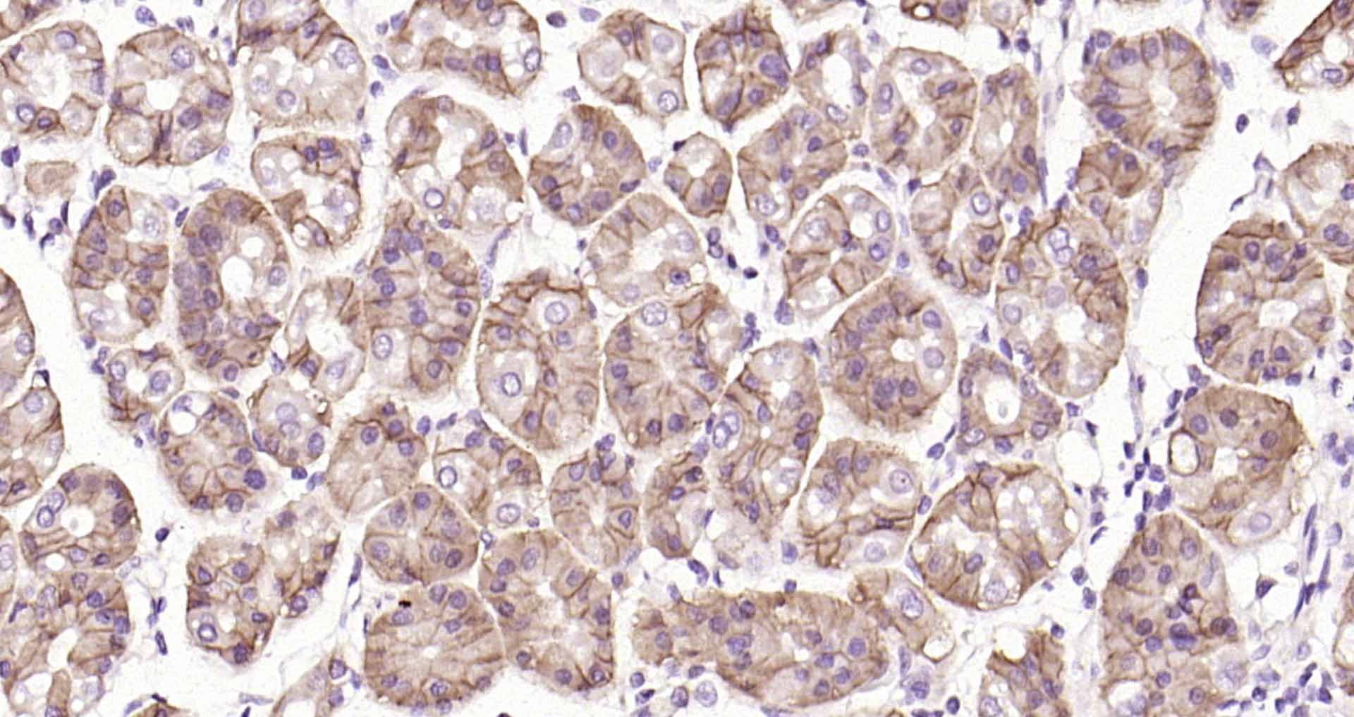
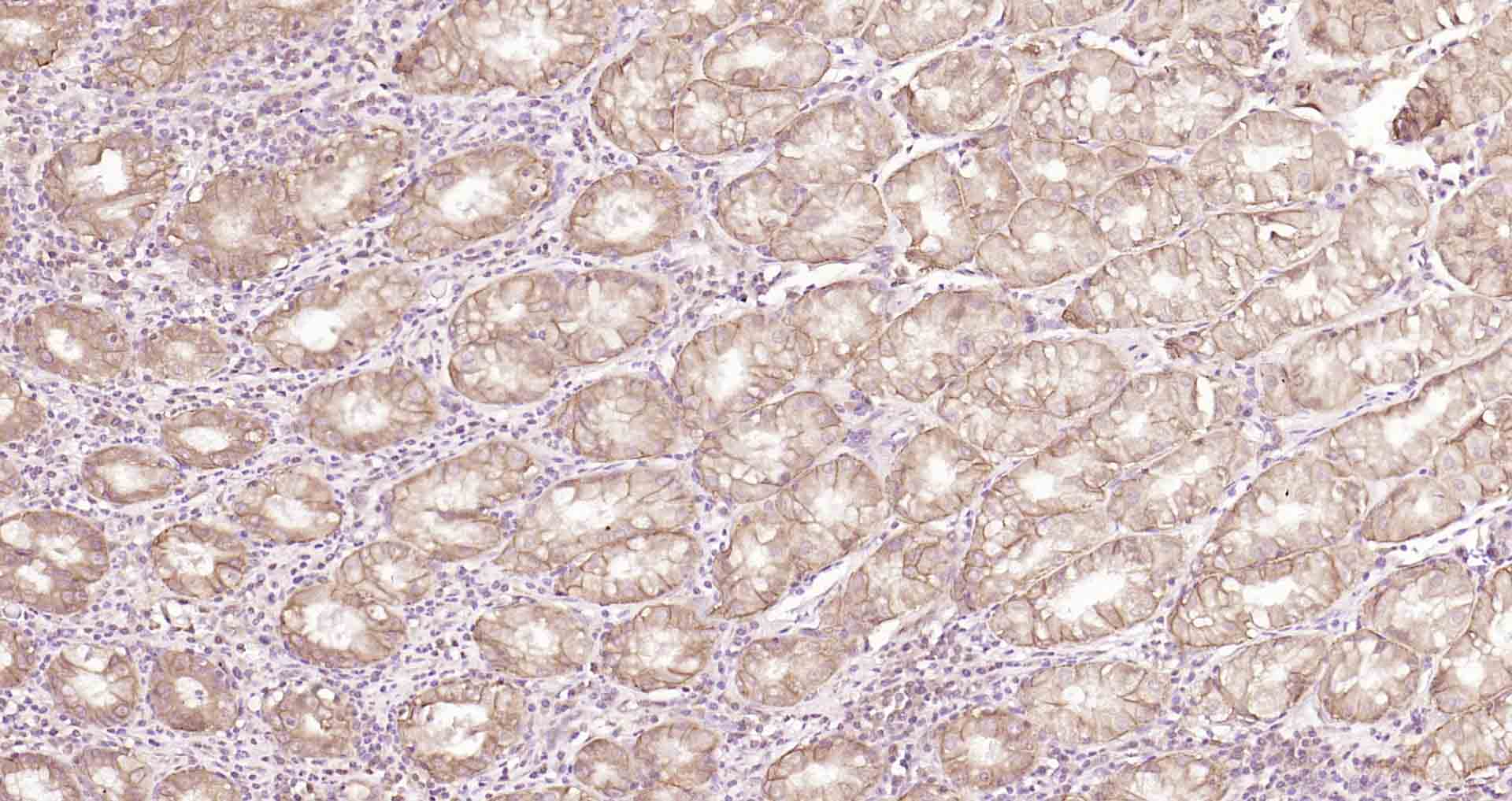
产品图片
Paraformaldehyde-fixed, paraffin embedded Human fundus of stomach; Antigen retrieval by boiling in sodium citrate buffer (pH6.0) for 15 min; The section was incubated with Claudin 18 Monoclonal Antibody, Unconjugated (bsm-34122M) at 1:200 overnight at 4°C, followed by conjugation to the bs-40296G-HRP and DAB (C-0010) staining.
Paraformaldehyde-fixed, paraffin embedded Human Stomach; Antigen retrieval by boiling in sodium citrate buffer (pH6.0) for 15 min; The section was incubated with Claudin 18 Monoclonal Antibody, Unconjugated (bsm-34122M) at 1:200 overnight at 4°C, followed by conjugation to the bs-40296G-HRP and DAB (C-0010) staining.
版权所有 2004-2026 www.bioss.com.cn 北京博奥森生物技术有限公司
通过国际质量管理体系ISO 9001:2015 GB/T 19001-2016    证书编号: 00124Q34771R2M/1100
通过国际医疗器械-质量管理体系ISO 13485:2016 GB/T 42061-2022     证书编号: CQC24QY20047R0M/1100
京ICP备05066980号-1         京公网安备110107000727号