扫码关注公众号           扫码咨询技术支持           扫码咨询技术服务
  
客服热线:400-901-9800  客服QQ:4009019800  技术答疑  技术支持  质量反馈  人才招聘  关于我们  联系我们
产品中心-北京博奥森生物技术有限公司
首页 > 产品中心 > 一抗 > 产品信息
LILRB1 Recombinant Rabbit mAb (bsm-60710R)  
订购热线:400-901-9800
订购邮箱:sales@bioss.com.cn
订购QQ:  400-901-9800
技术支持:techsupport@bioss.com.cn
25ul/800.00元
50ul/1400.00元
100ul/2500.00元
大包装/询价

产品编号 bsm-60710R
英文名称 LILRB1 Recombinant Rabbit mAb
中文名称 细胞表面免疫球蛋白样转录因子2重组兔单抗
别    名 CD85J; ILT-2; ILT2; LIR-1; LIR1; MIR-7; MIR7; PIR-B; PIRB; LIRB1_HUMAN; LILRB1; Leukocyte immunoglobulin-like receptor 1; CD85 antigen-like family member J; Immunoglobulin-like transcript 2 (ILT-2); Monocyte/macrophage immunoglobulin-like receptor 7 (MIR-  
研究领域 细胞表面分子  淋巴细胞  b-淋巴细胞  细胞膜蛋白  
抗体来源 Rabbit
克隆类型 Recombinant
克 隆 号 R8A2
交叉反应 Human
产品应用 WB=1:500-1000,IHC-P=1:100-500,IHC-F=1:100-500,IF=1:100-500,Flow-Cyt=1:50-100,ICC/IF=1:50-200
not yet tested in other applications.
optimal dilutions/concentrations should be determined by the end user.
理论分子量 72 kDa
检测分子量 110
细胞定位 细胞膜 
性    状 Liquid
浓    度 1mg/ml
免 疫 原 KLH conjugated synthetic peptide derived from human LILRB1 
亚    型 IgG
纯化方法 affinity purified by Protein A
缓 冲 液 0.01M TBS (pH7.4) with 1% BSA, 0.02% Proclin300 and 50% Glycerol.
保存条件 Shipped at 4℃. Store at -20℃ for one year. Avoid repeated freeze/thaw cycles.
注意事项 This product as supplied is intended for research use only, not for use in human, therapeutic or diagnostic applications.
PubMed PubMed
产品介绍 This gene is a member of the leukocyte immunoglobulin-like receptor (LIR) family, which is found in a gene cluster at chromosomal region 19q13.4. The encoded protein belongs to the subfamily B class of LIR receptors which contain two or four extracellular immunoglobulin domains, a transmembrane domain, and two to four cytoplasmic immunoreceptor tyrosine-based inhibitory motifs (ITIMs). The receptor is expressed on immune cells where it binds to MHC class I molecules on antigen-presenting cells and transduces a negative signal that inhibits stimulation of an immune response. It is thought to control inflammatory responses and cytotoxicity to help focus the immune response and limit autoreactivity. Multiple transcript variants encoding different isoforms have been found for this gene. [provided by RefSeq, Jul 2008]

Subcellular Location:
Membrane; Single-pass type I membrane protein.

Tissue Specificity:
Expressed on monocytes and B-cells, and at lower levels on dendritic cells. Detected at low levels in natural killer (NK) cells.

SWISS:
Q8NHL6

Gene ID:
10859

Database links:


Entrez Gene: 10859 Human

SwissProt: Q8NHL6 Human




产品图片
25 ug total protein per lane of various lysates (see on figure) probed with LILRB1 monoclonal antibody, unconjugated (bsm-60710R) at 1:1000 dilution and 4°C overnight incubation. Followed by conjugated secondary antibody incubation at r.t. for 60 min.
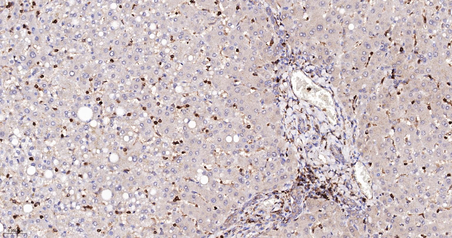
Paraformaldehyde-fixed, paraffin embedded Human Liver; Antigen retrieval by boiling in sodium citrate buffer (pH6.0) for 15 min; The section was incubated with LILRB1 Monoclonal Antibody, Unconjugated (bsm-60710R) at 1:200 overnight at 4°C, followed by conjugation to the bs-0295G-HRP and DAB (C-0010) staining.
4% Paraformaldehyde-fixed THP-1 (H) cell; Antibody incubation with (LILRB1) monoclonal Antibody, unconjugated (bsm-60710R) 1:100, 90 min at 37°C; followed by conjugated Goat Anti-Rabbit IgG antibody (green, bs-60295G-BF488) at 37°C for 90 min, DAPI (blue, C02-04002) was used to stain the cell nuclei. PBS instead of the primary antibody was used as the blank control.
The THP-1 (H) cells were incubated in 5%BSA to block non-specific protein-protein interactions (30 min at r.t.) , followed by secondary antibody incubation for 40 min at room temperature. Primary Antibody (green): Rabbit Anti-LILRB1 antibody (bsm-60710R,1:100); Isotype Control (orange): Rabbit IgG (bs-0295P). Blank control (black): PBS. Acquisition of 20,000 events was performed.
版权所有 2004-2026 www.bioss.com.cn 北京博奥森生物技术有限公司
通过国际质量管理体系ISO 9001:2015 GB/T 19001-2016    证书编号: 00124Q34771R2M/1100
通过国际医疗器械-质量管理体系ISO 13485:2016 GB/T 42061-2022     证书编号: CQC24QY20047R0M/1100
京ICP备05066980号-1         京公网安备110107000727号