扫码关注公众号           扫码咨询技术支持           扫码咨询技术服务
  
客服热线:400-901-9800  客服QQ:4009019800  技术答疑  技术支持  质量反馈  人才招聘  关于我们  联系我们
产品中心-北京博奥森生物技术有限公司
首页 > 产品中心 > 一抗 > 产品信息
Alpha Tubulin (Acetyl-Lys40) Recombinant Rabbit mAb (bsm-60706R)  
订购热线:400-901-9800
订购邮箱:sales@bioss.com.cn
订购QQ:  400-901-9800
技术支持:techsupport@bioss.com.cn
25ul/800.00元
50ul/1400.00元
100ul/2500.00元
大包装/询价

产品编号 bsm-60706R
英文名称 Alpha Tubulin (Acetyl-Lys40) Recombinant Rabbit mAb
中文名称 乙酰化微管蛋白α/Tubulin α重组兔单抗
别    名 TUBA4A | alpha-Tubulin (acetyl-K40); ac-alpha-Tubulin; acetyl-alpha-Tubulin; ac-Tubulin; TUBA4A | alpha-Tubulin (acetyl-Lys40); B-ALPHA-1; LIS3; TUBA3; Tuba-1; Tuba1; TBA1A_HUMAN; TUBA1A; Alpha-tubulin 3; Tubulin B-alpha-1; Tubulin alpha-3 chain; 3.6.5.-;  
产品类型 乙酰化抗体 重组兔单抗 
研究领域 细胞生物  染色质和核信号  表观遗传学  
抗体来源 Rabbit
克隆类型 Recombinant
克 隆 号 R2A9
交叉反应 Human,Mouse,Rat
产品应用 WB=1:1000-5000,IHC-P=1:100-500,IHC-F=1:100-500,IF=1:100-500,ICC/IF=1:50-200
not yet tested in other applications.
optimal dilutions/concentrations should be determined by the end user.
理论分子量 50 kDa
检测分子量 50
细胞定位 细胞浆 
性    状 Liquid
浓    度 1mg/ml
免 疫 原 KLH conjugated synthetic peptide derived from human Alpha Tubulin (Acetyl-Lys40): SD(Ac-K)TI 
亚    型 IgG
纯化方法 affinity purified by Protein A
缓 冲 液 0.01M TBS (pH7.4) with 1% BSA, 0.02% Proclin300 and 50% Glycerol.
保存条件 Shipped at 4℃. Store at -20℃ for one year. Avoid repeated freeze/thaw cycles.
注意事项 This product as supplied is intended for research use only, not for use in human, therapeutic or diagnostic applications.
PubMed PubMed
产品介绍 Microtubules of the eukaryotic cytoskeleton perform essential and diverse functions and are composed of a heterodimer of alpha and beta tubulin. The genes encoding these microtubule constituents are part of the tubulin superfamily, which is composed of six distinct families. Genes from the alpha, beta and gamma tubulin families are found in all eukaryotes. The alpha and beta tubulins represent the major components of microtubules, while gamma tubulin plays a critical role in the nucleation of microtubule assembly. There are multiple alpha and beta tubulin genes and they are highly conserved among and between species. This gene encodes an alpha tubulin that is a highly conserved homolog of a rat testis-specific alpha tubulin. Alternatively spliced transcript variants encoding different isoforms have been found for this gene. [provided by RefSeq, Jun 2013]


Subcellular Location:
Cytoplasm, cytoskeleton.

Tissue Specificity:
Widely expressed. Overexpressed in Platelet, Brain, and Frontal cortex

SWISS:
Q71U36

Gene ID:
7846

Database links:

Entrez Gene: 7277 Human

Entrez Gene: 22145 Mouse

Entrez Gene: 316531 Rat

SwissProt: P68366 Human

SwissProt: P68368 Mouse

SwissProt: Q5XIF6 Rat



产品图片
Hela (H) cells were treated with or without Trichostatin A (500 ng/ml ) for 4 h, 25 μg total protein per lane of cell lysates (see on figure) probed with Alpha Tubulin (Acetyl-Lys40) monoclonal antibody, unconjugated (bsm-60706R) at 1:1000 dilution and 4°C overnight incubation. Followed by conjugated secondary antibody incubation at r.t. for 60 min.
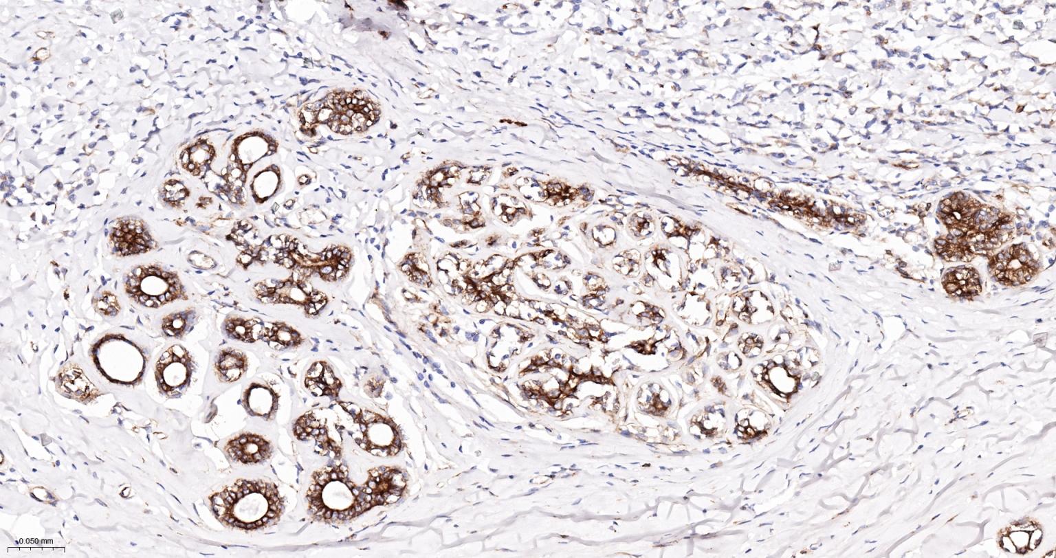
Paraformaldehyde-fixed, paraffin embedded Human Breast Cancer; Antigen retrieval by boiling in sodium citrate buffer (pH6.0) for 15 min; The section was incubated with Alpha Tubulin (Acetyl-Lys40) Monoclonal Antibody, Unconjugated (bsm-60706R) at 1:100 overnight at 4°C, followed by conjugation to the bs-0295G-HRP and DAB (C-0010) staining.
Paraformaldehyde-fixed, paraffin embedded Human Right temporal lobe; Antigen retrieval by boiling in sodium citrate buffer (pH6.0) for 15 min; The section was incubated with Alpha Tubulin (Acetyl-Lys40) Monoclonal Antibody, Unconjugated (bsm-60706R) at 1:100 overnight at 4°C, followed by conjugation to the bs-0295G-HRP and DAB (C-0010) staining.
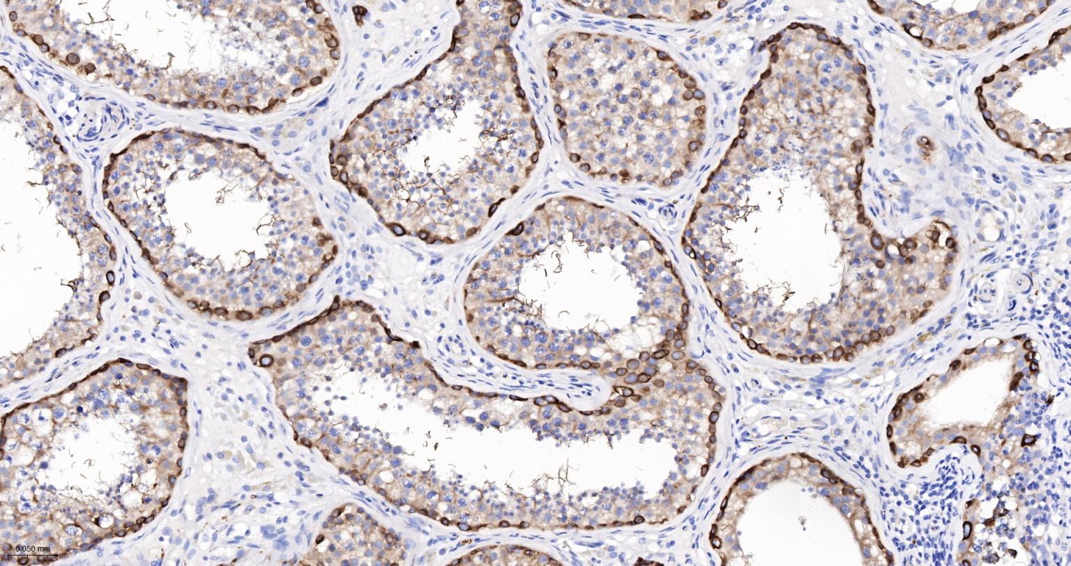
Paraformaldehyde-fixed, paraffin embedded Human Testicles; Antigen retrieval by boiling in sodium citrate buffer (pH6.0) for 15 min; The section was incubated with Alpha Tubulin (Acetyl-Lys40) Monoclonal Antibody, Unconjugated (bsm-60706R) at 1:100 overnight at 4°C, followed by conjugation to the bs-0295G-HRP and DAB (C-0010) staining.
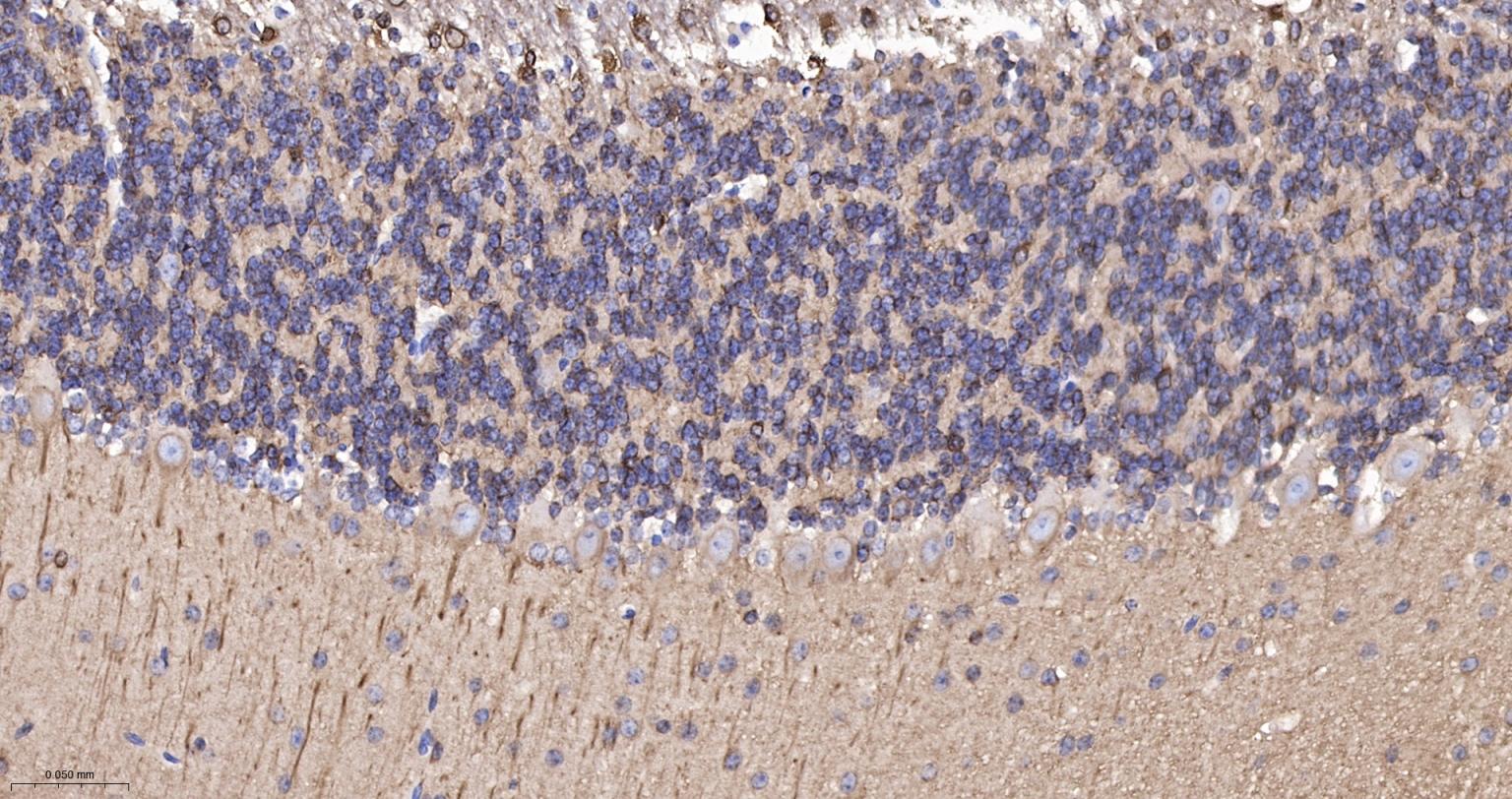
Paraformaldehyde-fixed, paraffin embedded Human Cerebellum; Antigen retrieval by boiling in sodium citrate buffer (pH6.0) for 15 min; The section was incubated with Alpha Tubulin (Acetyl-Lys40) Monoclonal Antibody, Unconjugated (bsm-60706R) at 1:100 overnight at 4°C, followed by conjugation to the bs-0295G-HRP and DAB (C-0010) staining.
Paraformaldehyde-fixed, paraffin embedded Rat Cerebellum; Antigen retrieval by boiling in sodium citrate buffer (pH6.0) for 15 min; The section was incubated with Alpha Tubulin (Acetyl-Lys40) Monoclonal Antibody, Unconjugated (bsm-60706R) at 1:100 overnight at 4°C, followed by conjugation to the bs-0295G-HRP and DAB (C-0010) staining.
Paraformaldehyde-fixed, paraffin embedded Mouse Cerebellum; Antigen retrieval by boiling in sodium citrate buffer (pH6.0) for 15 min; The section was incubated with Alpha Tubulin (Acetyl-Lys40) Monoclonal Antibody, Unconjugated (bsm-60706R) at 1:100 overnight at 4°C, followed by conjugation to the bs-0295G-HRP and DAB (C-0010) staining.
Paraformaldehyde-fixed, paraffin embedded Rat Cerebrum; Antigen retrieval by boiling in sodium citrate buffer (pH6.0) for 15 min; The section was incubated with Alpha Tubulin (Acetyl-Lys40) Monoclonal Antibody, Unconjugated (bsm-60706R) at 1:100 overnight at 4°C, followed by conjugation to the bs-0295G-HRP and DAB (C-0010) staining.
Paraformaldehyde-fixed, paraffin embedded Mouse Cerebrum; Antigen retrieval by boiling in sodium citrate buffer (pH6.0) for 15 min; The section was incubated with Alpha Tubulin (Acetyl-Lys40) Monoclonal Antibody, Unconjugated (bsm-60706R) at 1:100 overnight at 4°C, followed by conjugation to the bs-0295G-HRP and DAB (C-0010) staining.
版权所有 2004-2026 www.bioss.com.cn 北京博奥森生物技术有限公司
通过国际质量管理体系ISO 9001:2015 GB/T 19001-2016    证书编号: 00124Q34771R2M/1100
通过国际医疗器械-质量管理体系ISO 13485:2016 GB/T 42061-2022     证书编号: CQC24QY20047R0M/1100
京ICP备05066980号-1         京公网安备110107000727号