扫码关注公众号           扫码咨询技术支持           扫码咨询技术服务
  
客服热线:400-901-9800  客服QQ:4009019800  技术答疑  技术支持  质量反馈  人才招聘  关于我们  联系我们
产品中心-北京博奥森生物技术有限公司
首页 > 产品中心 > 一抗 > 产品信息
FKBP52 Recombinant Rabbit mAb (bsm-60690R)  
订购热线:400-901-9800
订购邮箱:sales@bioss.com.cn
订购QQ:  400-901-9800
技术支持:techsupport@bioss.com.cn
25ul/800.00元
50ul/1400.00元
100ul/2500.00元
大包装/询价

产品编号 bsm-60690R
英文名称 FKBP52 Recombinant Rabbit mAb
中文名称 热休克蛋白56重组兔单抗
别    名 FKBP51; FKBP52; FKBP59; HBI; Hsp56; PPIase; p52; FKBP-4; FKBP-52; FKPB52; p59; FKBP4_HUMAN; FKBP4; PPIase FKBP4; 51 kDa FK506-binding protein (FKBP51); 52 kDa FK506-binding protein (52 kDa FKBP | FKBP-52); 59 kDa immunophilin (p59); FK506-binding protein   
抗体来源 Rabbit
克隆类型 Recombinant
克 隆 号 R1A10
交叉反应 Human,Mouse,Rat
产品应用 WB=1:500-2000,IHC-P=1:100-500,IHC-F=1:100-500,IF=1:100-500,Flow-Cyt=1:50-100,ICC/IF=1:50-200
not yet tested in other applications.
optimal dilutions/concentrations should be determined by the end user.
理论分子量 52 kDa
细胞定位 细胞核 细胞浆 
性    状 Liquid
浓    度 1mg/ml
免 疫 原 KLH conjugated synthetic peptide derived from human FKBP52 
亚    型 IgG
纯化方法 affinity purified by Protein A
缓 冲 液 0.01M TBS (pH7.4) with 1% BSA, 0.02% Proclin300 and 50% Glycerol.
保存条件 Shipped at 4℃. Store at -20℃ for one year. Avoid repeated freeze/thaw cycles.
注意事项 This product as supplied is intended for research use only, not for use in human, therapeutic or diagnostic applications.
PubMed PubMed
产品介绍 The protein encoded by this gene is a member of the immunophilin protein family, which play a role in immunoregulation and basic cellular processes involving protein folding and trafficking. This encoded protein is a cis-trans prolyl isomerase that binds to the immunosuppressants FK506 and rapamycin. It has high structural and functional similarity to FK506-binding protein 1A (FKBP1A), but unlike FKBP1A, this protein does not have immunosuppressant activity when complexed with FK506. It interacts with interferon regulatory factor-4 and plays an important role in immunoregulatory gene expression in B and T lymphocytes. This encoded protein is known to associate with phytanoyl-CoA alpha-hydroxylase. It can also associate with two heat shock proteins (hsp90 and hsp70) and thus may play a role in the intracellular trafficking of hetero-oligomeric forms of the steroid hormone receptors. This protein correlates strongly with adeno-associated virus type 2 vectors (AAV) resulting in a significant increase in AAV-mediated transgene expression in human cell lines. Thus this encoded protein is thought to have important implications for the optimal use of AAV vectors in human gene therapy. The human genome contains several non-transcribed pseudogenes similar to this gene. [provided by RefSeq, Sep 2008]


Subcellular Location:
Cytoplasm; cytosol. Nucleus. Cytoplasm; cytoskeleton.

Tissue Specificity:
Widely expressed.

SWISS:
Q02790

Gene ID:
2288

Database links:

Entrez Gene: 2288 Human

Entrez Gene: 14228 Mouse

Entrez Gene: 260321 Rat

SwissProt: Q02790 Human

SwissProt: P30416 Mouse

SwissProt: Q9QVC8 Rat



产品图片
Paraformaldehyde-fixed, paraffin embedded Human Breast Cancer; Antigen retrieval by boiling in sodium citrate buffer (pH6.0) for 15 min; The section was incubated with FKBP52 Monoclonal Antibody, Unconjugated (bsm-60690R) at 1:200 overnight at 4°C, followed by conjugation to the bs-0295G-HRP and DAB (C-0010) staining.
Paraformaldehyde-fixed, paraffin embedded Human Testicles; Antigen retrieval by boiling in sodium citrate buffer (pH6.0) for 15 min; The section was incubated with FKBP52 Monoclonal Antibody, Unconjugated (bsm-60690R) at 1:200 overnight at 4°C, followed by conjugation to the bs-0295G-HRP and DAB (C-0010) staining.
Paraformaldehyde-fixed, paraffin embedded Rat Testicles; Antigen retrieval by boiling in sodium citrate buffer (pH6.0) for 15 min; The section was incubated with FKBP52 Monoclonal Antibody, Unconjugated (bsm-60690R) at 1:200 overnight at 4°C, followed by conjugation to the bs-0295G-HRP and DAB (C-0010) staining.
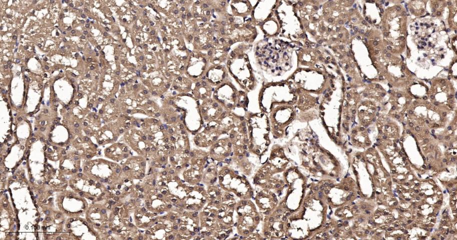
Paraformaldehyde-fixed, paraffin embedded Mouse Kidney; Antigen retrieval by boiling in sodium citrate buffer (pH6.0) for 15 min; The section was incubated with FKBP52 Monoclonal Antibody, Unconjugated (bsm-60690R) at 1:200 overnight at 4°C, followed by conjugation to the bs-0295G-HRP and DAB (C-0010) staining.
Paraformaldehyde-fixed, paraffin embedded Rat Cerebrum; Antigen retrieval by boiling in sodium citrate buffer (pH6.0) for 15 min; The section was incubated with FKBP52 Monoclonal Antibody, Unconjugated (bsm-60690R) at 1:200 overnight at 4°C, followed by conjugation to the bs-0295G-HRP and DAB (C-0010) staining.
Paraformaldehyde-fixed, paraffin embedded Mouse Cerebrum; Antigen retrieval by boiling in sodium citrate buffer (pH6.0) for 15 min; The section was incubated with FKBP52 Monoclonal Antibody, Unconjugated (bsm-60690R) at 1:200 overnight at 4°C, followed by conjugation to the bs-0295G-HRP and DAB (C-0010) staining.
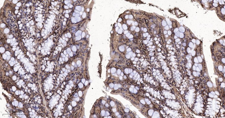
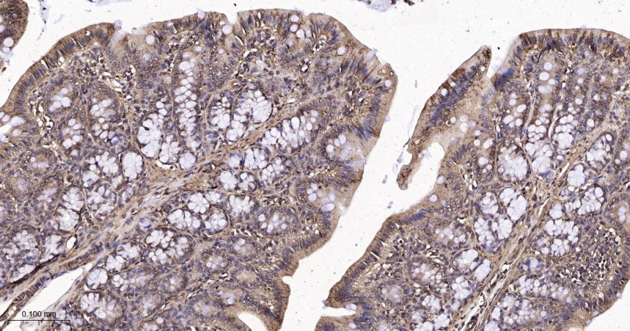
Paraformaldehyde-fixed, paraffin embedded Rat Colon; Antigen retrieval by boiling in sodium citrate buffer (pH6.0) for 15 min; The section was incubated with FKBP52 Monoclonal Antibody, Unconjugated (bsm-60690R) at 1:200 overnight at 4°C, followed by conjugation to the bs-0295G-HRP and DAB (C-0010) staining.
Paraformaldehyde-fixed, paraffin embedded Mouse Colon; Antigen retrieval by boiling in sodium citrate buffer (pH6.0) for 15 min; The section was incubated with FKBP52 Monoclonal Antibody, Unconjugated (bsm-60690R) at 1:200 overnight at 4°C, followed by conjugation to the bs-0295G-HRP and DAB (C-0010) staining.
版权所有 2004-2026 www.bioss.com.cn 北京博奥森生物技术有限公司
通过国际质量管理体系ISO 9001:2015 GB/T 19001-2016    证书编号: 00124Q34771R2M/1100
通过国际医疗器械-质量管理体系ISO 13485:2016 GB/T 42061-2022     证书编号: CQC24QY20047R0M/1100
京ICP备05066980号-1         京公网安备110107000727号