扫码关注公众号           扫码咨询技术支持           扫码咨询技术服务
  
客服热线:400-901-9800  客服QQ:4009019800  技术答疑  技术支持  质量反馈  人才招聘  关于我们  联系我们
产品中心-北京博奥森生物技术有限公司
首页 > 产品中心 > 一抗 > 产品信息
CBX4 Recombinant Rabbit mAb (bsm-60681R)  
订购热线:400-901-9800
订购邮箱:sales@bioss.com.cn
订购QQ:  400-901-9800
技术支持:techsupport@bioss.com.cn
25ul/800.00元
50ul/1400.00元
100ul/2500.00元
大包装/询价

产品编号 bsm-60681R
英文名称 CBX4 Recombinant Rabbit mAb
中文名称 染色盒同源物4重组兔单抗
别    名 NBP16; PC2; MPc2; CBX4_HUMAN; CBX4; Chromobox protein homolog 4; Polycomb 2 homolog (Pc2 | hPc2); 2.3.2.-; CBX4_MOUSE; E3 SUMO-protein transferase CBX4; Polycomb 2 homolog (Pc2 | mPc2);   
抗体来源 Rabbit
克隆类型 Recombinant
克 隆 号 R6H11
交叉反应 Mouse,Rat
产品应用 IHC-P=1:100-500,IHC-F=1:100-500,IF=1:100-500
not yet tested in other applications.
optimal dilutions/concentrations should be determined by the end user.
理论分子量 61 kDa
细胞定位 细胞核 
性    状 Liquid
浓    度 1mg/ml
免 疫 原 KLH conjugated synthetic peptide derived from human CBX4 
亚    型 IgG
纯化方法 affinity purified by Protein A
缓 冲 液 0.01M TBS (pH7.4) with 1% BSA, 0.02% Proclin300 and 50% Glycerol.
保存条件 Shipped at 4℃. Store at -20℃ for one year. Avoid repeated freeze/thaw cycles.
注意事项 This product as supplied is intended for research use only, not for use in human, therapeutic or diagnostic applications.
PubMed PubMed
产品介绍 Enables SUMO binding activity; SUMO ligase activity; and enzyme binding activity. Involved in negative regulation of transcription by RNA polymerase II. Located in nuclear body. Part of PRC1 complex. Implicated in hepatocellular carcinoma. Biomarker of hepatocellular carcinoma. [provided by Alliance of Genome Resources, Apr 2022]

Subcellular Location:
Nucleus.

Tissue Specificity:
Ubiquitous.

SWISS:
O00257

Gene ID:
8535

Database links:


Entrez Gene: 8535 Human

Entrez Gene: 12418 Mouse

Entrez Gene: 501403 Rat

SwissProt: O00257 Human

SwissProt: O55187 Mouse




产品图片
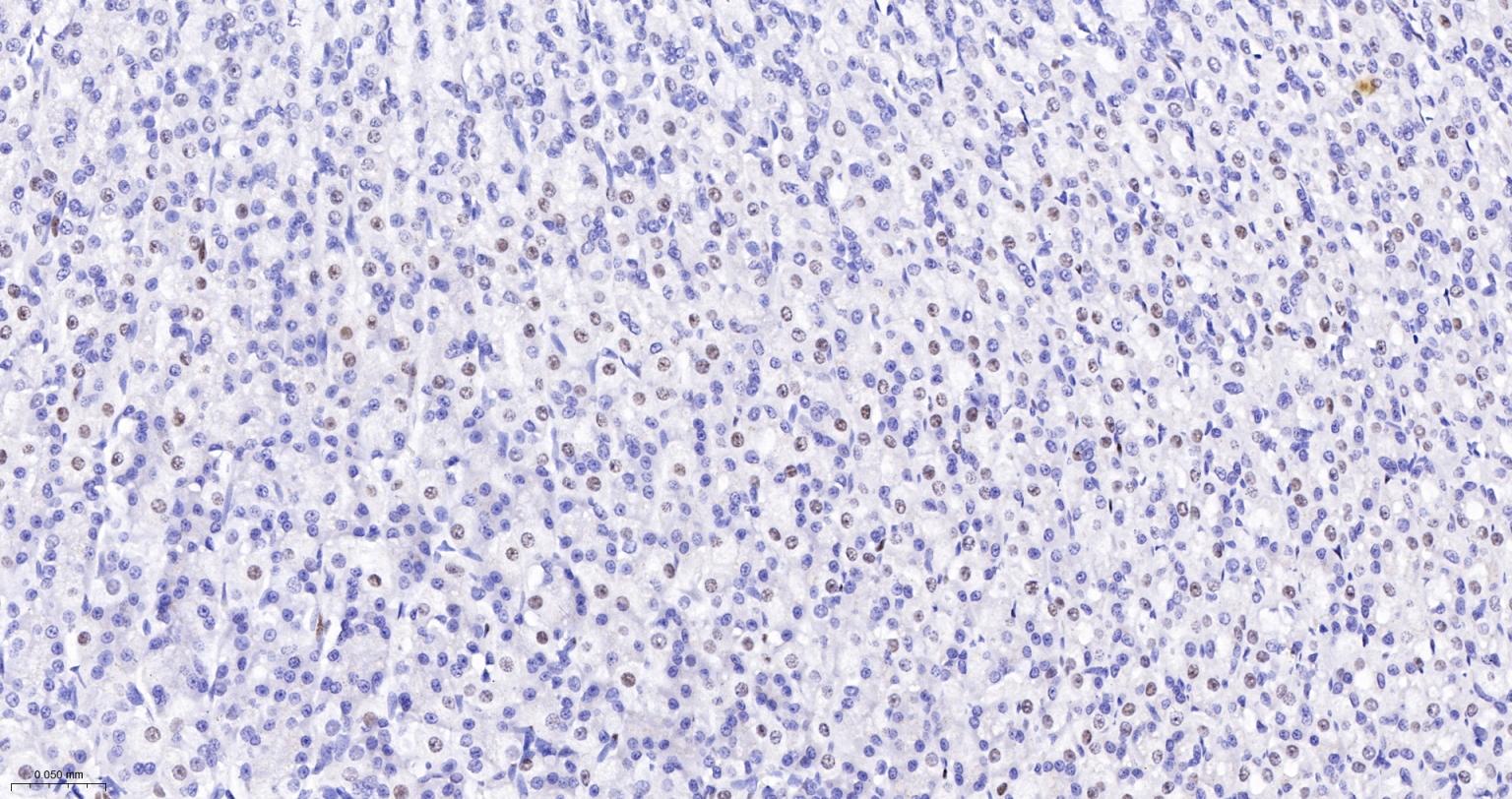
Paraformaldehyde-fixed, paraffin embedded Rat Stomach; Antigen retrieval by boiling in sodium citrate buffer (pH6.0) for 15 min; The section was incubated with CBX4 Monoclonal Antibody, Unconjugated (bsm-60681R) at 1:200 overnight at 4°C, followed by conjugation to the bs-0295G-HRP and DAB (C-0010) staining.
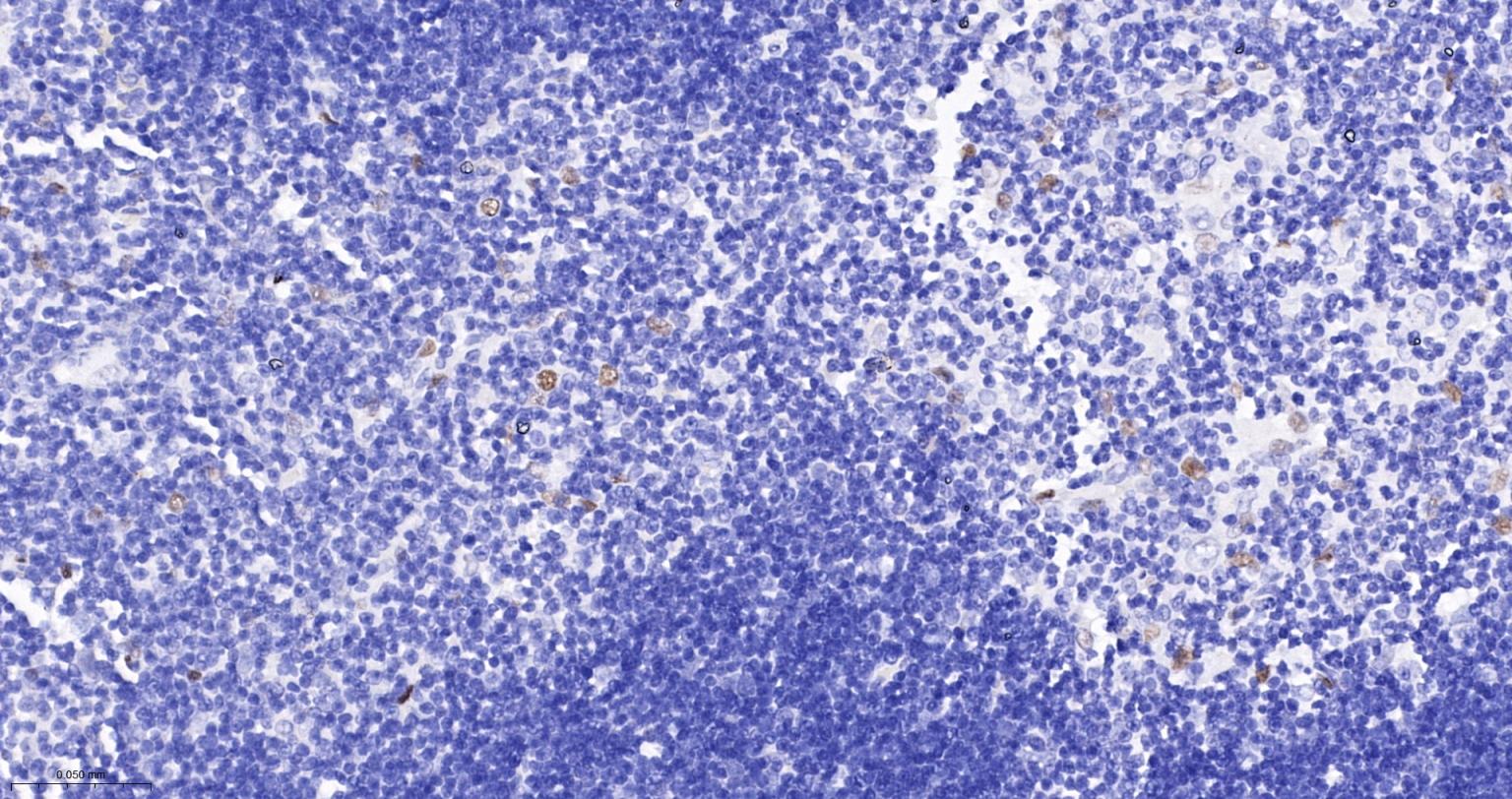
Paraformaldehyde-fixed, paraffin embedded Rat Thymus; Antigen retrieval by boiling in sodium citrate buffer (pH6.0) for 15 min; The section was incubated with CBX4 Monoclonal Antibody, Unconjugated (bsm-60681R) at 1:200 overnight at 4°C, followed by conjugation to the bs-0295G-HRP and DAB (C-0010) staining.
Paraformaldehyde-fixed, paraffin embedded Mouse Thymus; Antigen retrieval by boiling in sodium citrate buffer (pH6.0) for 15 min; The section was incubated with CBX4 Monoclonal Antibody, Unconjugated (bsm-60681R) at 1:200 overnight at 4°C, followed by conjugation to the bs-0295G-HRP and DAB (C-0010) staining.
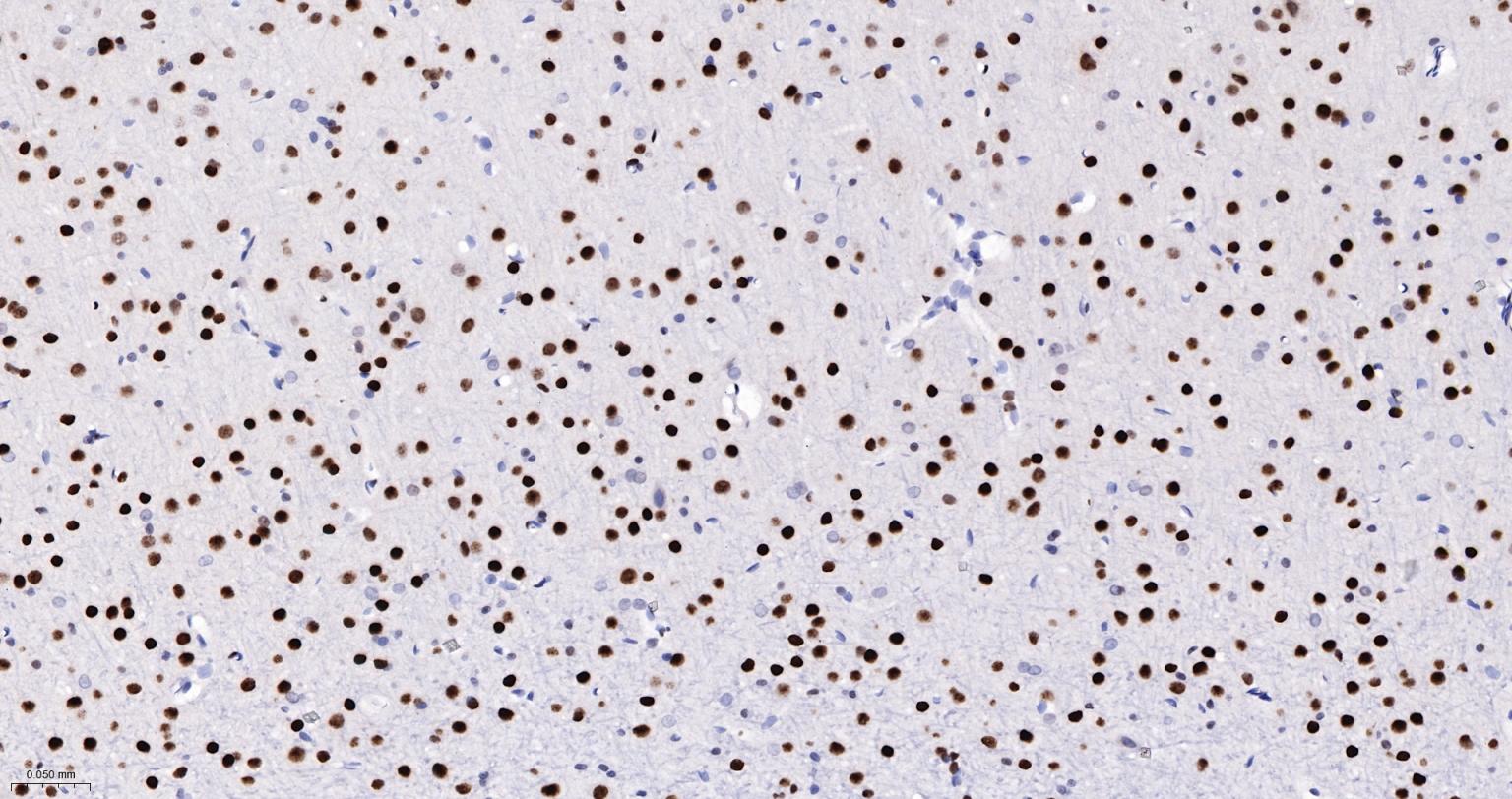
Paraformaldehyde-fixed, paraffin embedded Rat Cerebrum; Antigen retrieval by boiling in sodium citrate buffer (pH6.0) for 15 min; The section was incubated with CBX4 Monoclonal Antibody, Unconjugated (bsm-60681R) at 1:200 overnight at 4°C, followed by conjugation to the bs-0295G-HRP and DAB (C-0010) staining.
Paraformaldehyde-fixed, paraffin embedded Mouse Cerebrum; Antigen retrieval by boiling in sodium citrate buffer (pH6.0) for 15 min; The section was incubated with CBX4 Monoclonal Antibody, Unconjugated (bsm-60681R) at 1:200 overnight at 4°C, followed by conjugation to the bs-0295G-HRP and DAB (C-0010) staining.
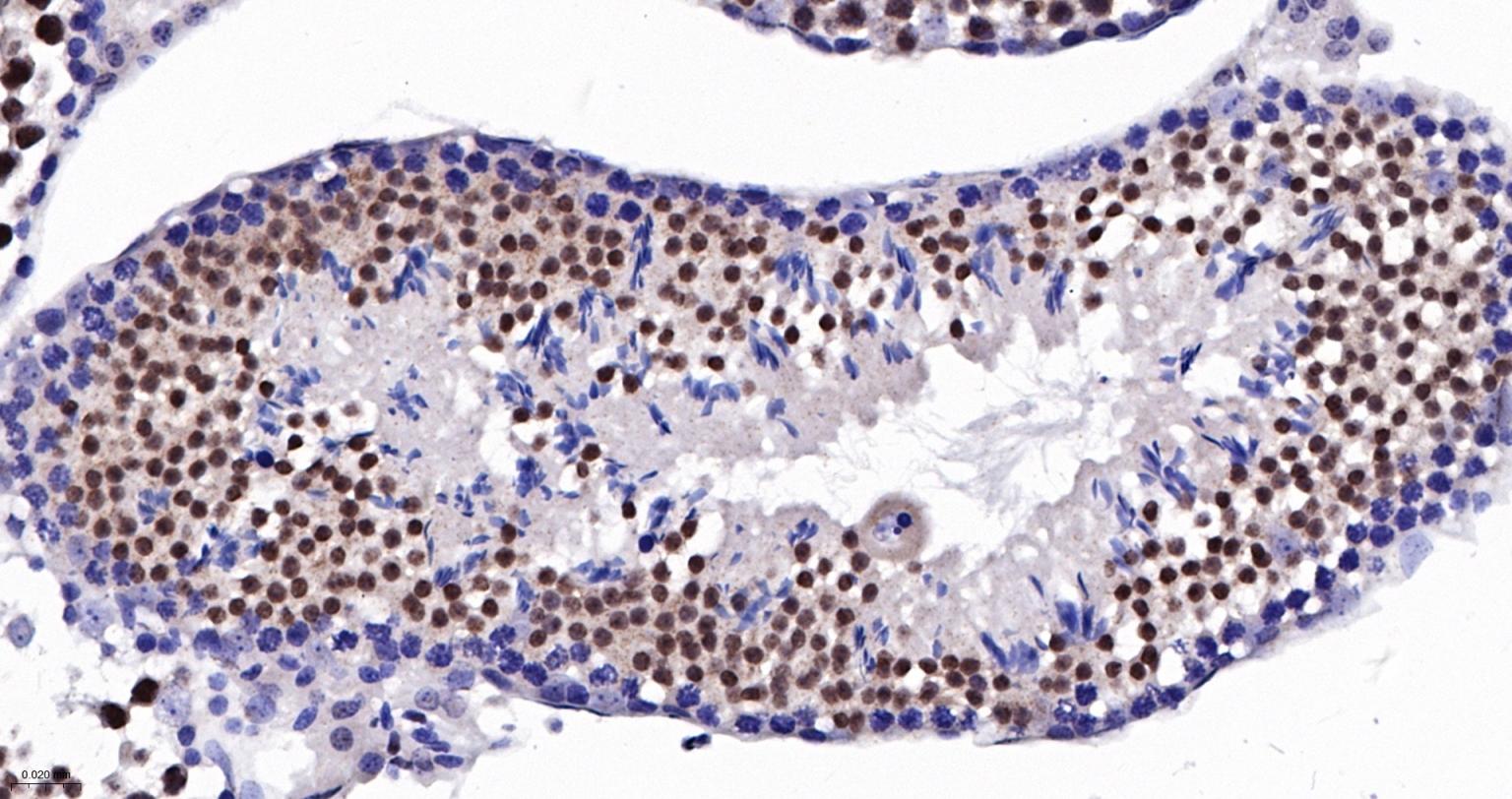
Paraformaldehyde-fixed, paraffin embedded Rat Testicles; Antigen retrieval by boiling in sodium citrate buffer (pH6.0) for 15 min; The section was incubated with CBX4 Monoclonal Antibody, Unconjugated (bsm-60681R) at 1:200 overnight at 4°C, followed by conjugation to the bs-0295G-HRP and DAB (C-0010) staining.
Paraformaldehyde-fixed, paraffin embedded Mouse Testicles; Antigen retrieval by boiling in sodium citrate buffer (pH6.0) for 15 min; The section was incubated with CBX4 Monoclonal Antibody, Unconjugated (bsm-60681R) at 1:200 overnight at 4°C, followed by conjugation to the bs-0295G-HRP and DAB (C-0010) staining.
版权所有 2004-2026 www.bioss.com.cn 北京博奥森生物技术有限公司
通过国际质量管理体系ISO 9001:2015 GB/T 19001-2016    证书编号: 00124Q34771R2M/1100
通过国际医疗器械-质量管理体系ISO 13485:2016 GB/T 42061-2022     证书编号: CQC24QY20047R0M/1100
京ICP备05066980号-1         京公网安备110107000727号