扫码关注公众号           扫码咨询技术支持           扫码咨询技术服务
  
客服热线:400-901-9800  客服QQ:4009019800  技术答疑  技术支持  质量反馈  人才招聘  关于我们  联系我们
产品中心-北京博奥森生物技术有限公司
首页 > 产品中心 > 一抗 > 产品信息
GART Recombinant Rabbit mAb (bsm-52537R)  
订购热线:400-901-9800
订购邮箱:sales@bioss.com.cn
订购QQ:  400-901-9800
技术支持:techsupport@bioss.com.cn
50ul/1400.00元
100ul/2500.00元
大包装/询价

产品编号 bsm-52537R
英文名称 GART Recombinant Rabbit mAb
中文名称 甘氨酰胺核苷酸合成酶重组兔单抗
别    名 AIRS; GARS; GARTF; PAIS; PGFT; PRGS; Gaps; PUR2_HUMAN; GART; PUR2_MOUSE;   
研究领域 肿瘤  细胞生物  信号转导  新陈代谢  表观遗传学  
抗体来源 Rabbit
克隆类型 Recombinant
克 隆 号 6A8
交叉反应 Human,Mouse,Rat
产品应用 WB=1:500-2000,IHC-P=1:100-500,IHC-F=1:100-500,IF=1:100-500,Flow-Cyt=1:50-100,ICC/IF=1:50-200
not yet tested in other applications.
optimal dilutions/concentrations should be determined by the end user.
理论分子量 107 kDa
检测分子量 120
细胞定位 细胞浆 
性    状 Liquid
浓    度 1mg/ml
免 疫 原 Recombinant Human GART protein: 570-750/1010 
亚    型 IgG
纯化方法 affinity purified by Protein A
缓 冲 液 0.01M TBS (pH7.4) with 1% BSA, 0.02% Proclin300 and 50% Glycerol.
保存条件 Shipped at 4℃. Store at -20℃ for one year. Avoid repeated freeze/thaw cycles.
注意事项 This product as supplied is intended for research use only, not for use in human, therapeutic or diagnostic applications.
PubMed PubMed
产品介绍 Purines are critical for energy metabolism, cell signaling and cell reproduction and also function as precursors for coenzymes, energy transfer molecules, regulatory factors and proteins involved in RNA and DNA synthesis. GART (GAR transformylase), also referred to as AIRS, GARS, PAIS, PGFT, PRGS or GARTF, is 1,010 amino acids in length and is a key folate-dependent trifunctional enzyme with phosphoribosylglycinamide formyltransferase, phosphoribosylglycinamide synthetase and AICAR (phosphoribosylaminoimidazole synthetase) activity required for de novo purine biosynthesis. Cancer cells require considerable amounts of purines to sustain their accelerated growth and GART is, therefore, a target for cancer chemotherapy. GART is highly conserved in vertebrates. Two isoforms of GART are expressed due to alternative splicing events.

SWISS:
P22102

Gene ID:
2618

Database links:

Entrez Gene: 2618 Human

Entrez Gene: 14450 Mouse

Entrez Gene: 288259 Rat

Omim: 138440 Human

SwissProt: P22102 Human

SwissProt: Q64737 Mouse

Unigene: 473648 Human

Unigene: 4505 Mouse



产品图片
25 ug total protein per lane of various lysates (see on figure) probed with GART monoclonal antibody, unconjugated (bsm-52537R) at 1:1000 dilution and 4°C overnight incubation. Followed by conjugated secondary antibody incubation at r.t. for 60 min.
Paraformaldehyde-fixed, paraffin embedded Mouse Spleen; Antigen retrieval by boiling in sodium citrate buffer (pH6.0) for 15 min; The section was incubated with GART Monoclonal Antibody, Unconjugated (bsm-52537R) at 1:200 overnight at 4°C, followed by conjugation to the bs-0295G-HRP and DAB (C-0010) staining.
Paraformaldehyde-fixed, paraffin embedded Rat Spleen; Antigen retrieval by boiling in sodium citrate buffer (pH6.0) for 15 min; The section was incubated with GART Monoclonal Antibody, Unconjugated (bsm-52537R) at 1:200 overnight at 4°C, followed by conjugation to the bs-0295G-HRP and DAB (C-0010) staining.
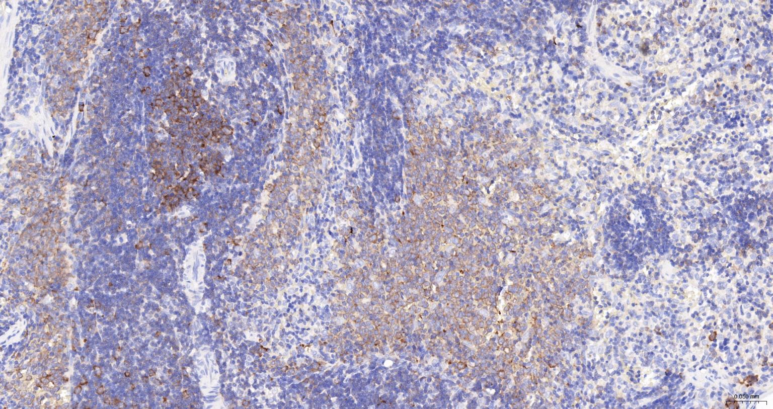
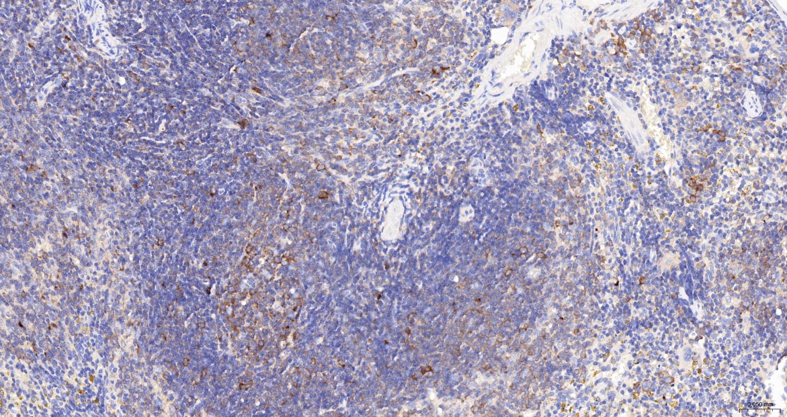
Paraformaldehyde-fixed, paraffin embedded Human Tonsil; Antigen retrieval by boiling in sodium citrate buffer (pH6.0) for 15 min; The section was incubated with GART Monoclonal Antibody, Unconjugated (bsm-52537R) at 1:200 overnight at 4°C, followed by conjugation to the bs-0295G-HRP and DAB (C-0010) staining.
Paraformaldehyde-fixed, paraffin embedded Human Cervical Cancer; Antigen retrieval by boiling in sodium citrate buffer (pH6.0) for 15 min; The section was incubated with GART Monoclonal Antibody, Unconjugated (bsm-52537R) at 1:200 overnight at 4°C, followed by conjugation to the bs-0295G-HRP and DAB (C-0010) staining.
Paraformaldehyde-fixed, paraffin embedded Mouse Testicles; Antigen retrieval by boiling in sodium citrate buffer (pH6.0) for 15 min; The section was incubated with GART Monoclonal Antibody, Unconjugated (bsm-52537R) at 1:200 overnight at 4°C. Followed by conjugated Goat Anti-Rabbit IgG antibody (Red, bs-0295G-BF594), DAPI (blue, C02-04002) was used to stain the cell nuclei.
Paraformaldehyde-fixed, paraffin embedded Human Tonsil; Antigen retrieval by boiling in sodium citrate buffer (pH6.0) for 15 min; The section was incubated with GART Monoclonal Antibody, Unconjugated (bsm-52537R) at 1:200 overnight at 4°C. Followed by conjugated Goat Anti-Rabbit IgG antibody (Red, bs-0295G-BF594), DAPI (blue, C02-04002) was used to stain the cell nuclei.
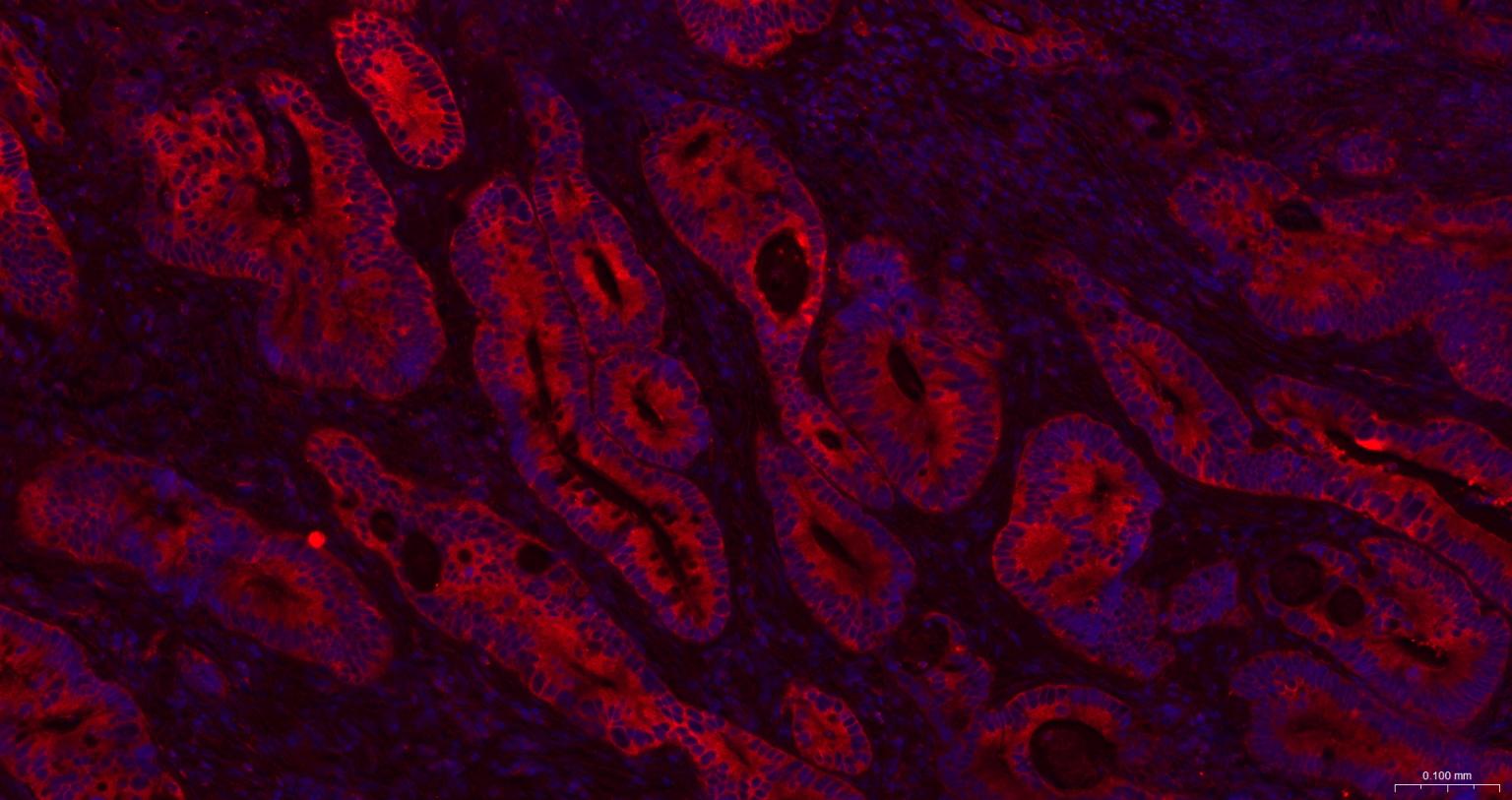
Paraformaldehyde-fixed, paraffin embedded Human Colon Cancer; Antigen retrieval by boiling in sodium citrate buffer (pH6.0) for 15 min; The section was incubated with GART Monoclonal Antibody, Unconjugated (bsm-52537R) at 1:200 overnight at 4°C. Followed by conjugated Goat Anti-Rabbit IgG antibody (Red, bs-0295G-BF594), DAPI (blue, C02-04002) was used to stain the cell nuclei.
Paraformaldehyde-fixed, paraffin embedded Mouse Small Intestine; Antigen retrieval by boiling in sodium citrate buffer (pH6.0) for 15 min; The section was incubated with GART Monoclonal Antibody, Unconjugated (bsm-52537R) at 1:200 overnight at 4°C. Followed by conjugated Goat Anti-Rabbit IgG antibody (Red, bs-0295G-BF594), DAPI (blue, C02-04002) was used to stain the cell nuclei.
Paraformaldehyde-fixed, paraffin embedded Rat Small Intestine; Antigen retrieval by boiling in sodium citrate buffer (pH6.0) for 15 min; The section was incubated with GART Monoclonal Antibody, Unconjugated (bsm-52537R) at 1:200 overnight at 4°C. Followed by conjugated Goat Anti-Rabbit IgG antibody (Red, bs-0295G-BF594), DAPI (blue, C02-04002) was used to stain the cell nuclei.
The Hela (H) cells were fixed with 4% PFA (10 min at r.t.) and then permeabilized with 90% ice-cold methanol for 20 min at -20℃,the cells then were incubated in 5%BSA to block non-specific protein-protein interactions (30 min at r.t.), followed by secondary antibody incubation for 40 min at room temperature. Primary Antibody (green):Rabbit Anti-GART antibody (bsm-52537R,1:100); Isotype Control (orange): Rabbit IgG (bs-0295P). Blank control (black): PBS. Acquisition of 20,000 events was performed.
版权所有 2004-2026 www.bioss.com.cn 北京博奥森生物技术有限公司
通过国际质量管理体系ISO 9001:2015 GB/T 19001-2016    证书编号: 00124Q34771R2M/1100
通过国际医疗器械-质量管理体系ISO 13485:2016 GB/T 42061-2022     证书编号: CQC24QY20047R0M/1100
京ICP备05066980号-1         京公网安备110107000727号